- 根管治療
30代女性 前歯の歯ぐきの腫れを根管治療で改善した症例
ご相談内容
「右上前歯の歯ぐきが腫れている」とご相談いただきました。
カウンセリング・診断結果
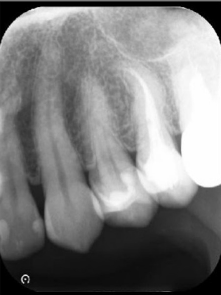
拝見したところ、左上前歯の歯ぐきが腫れていました。
レントゲン検査を行って詳しく調べた結果、歯の根の先に歯の頭と同程度の大きさの根尖病巣(こんせんびょうそう)が確認できました。
根尖病巣とは歯の根の先にできる膿の袋のような病変です。
歯の内部の神経や血管が通る細い管に細菌感染が起こり、その影響が根の先に広がることで生じます。
この状態が続くと歯ぐきが腫れるだけでなく痛みが出る可能性があるほか、周囲の歯に感染が広がるおそれがあります。
以上のことから、感染源を取り除く治療が必要と診断しました。
行ったご提案・治療内容
治療方法には以下の選択肢があります。
・抜歯
メリット:感染源を確実に取り除くことができる
デメリット:歯がなくなるため、歯を補う治療が必要になる
・歯の内部の感染を取り除く「根管治療」
メリット:ご自身の歯を残せる可能性がある
デメリット:複数回の通院が必要になる、症状が改善しなかったり再発したりする場合がある
今回はご自身の歯をなるべく残す方法として、歯科用顕微鏡「マイクロスコープ」を用いた根管治療を提案し、同意いただきました。
マイクロスコープでの根管治療は自費にはなりますが、根管の内部を拡大しながら治療を行うことで感染している部分をしっかりと取り除くことができます。
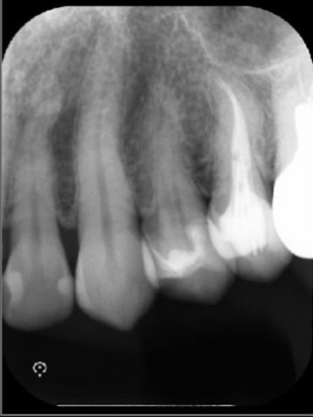
まず、右上前歯の裏側に小さな穴を開け、そこから根管内にアプローチします。
マイクロスコープを使用しながら、細い器具を用いて根管内の感染した組織を取り除き、洗浄液で内部を洗い流しました。
治療の際は、健康な歯質をできるだけ削らないよう注意しながら行っています。
感染組織の除去と洗浄を何回か繰り返し、根管内が清潔になったことを確認したうえで、再び細菌が侵入しないよう専用の薬を詰めました。
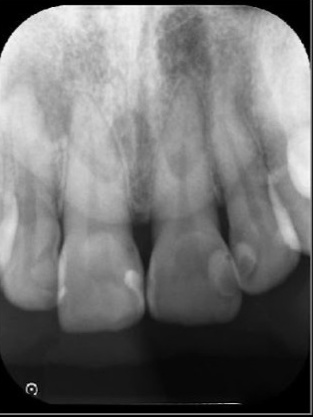
その後、歯の内部を補強するために土台となる支柱を設置し、歯科用の白い樹脂「コンポジットレジン」を用いて穴を塞ぎました。
根管治療後の歯には被せ物を装着するケースが一般的ですが、今回は残せた歯質の量が多かったため、被せ物は使用せずに経過をみる方針として治療を終了しています。
この治療のリスクについて
・まれに根管治療後も再治療、外科手術、抜歯などの処置が必要となる場合があります
・治療中まれに器具の破折、被せ物や詰め物など修復物の損傷、歯の破折が起こる場合があります
・治療中や治療後に不快症状が出たり、治療後に痛みや腫れなどが生じたりする可能性があります
・一部の治療を除き、自費診療(保険適用外)です
- 年齢・性別 30代女性
- 診療種別 自由診療
- 治療期間の目安 1ヶ月
- 治療回数の目安 -
- 治療費総額の目安 55,000円
※掲載された情報は治療の効果を保証するものではありません。
ご利用により万一何らかの損害が発生したとしても、当サイトは一切責任を負いかねますのでご了承ください。
画像をクリックすると拡大・詳細コメントを確認いただけます
-
武内歯科医院TEL:0457612300
-
武内歯科医院TEL:0457612300 -
武内歯科医院TEL:0457612300
-
武内歯科医院TEL:0457612300
-
武内歯科医院TEL:0457612300 -
武内歯科医院TEL:0457612300
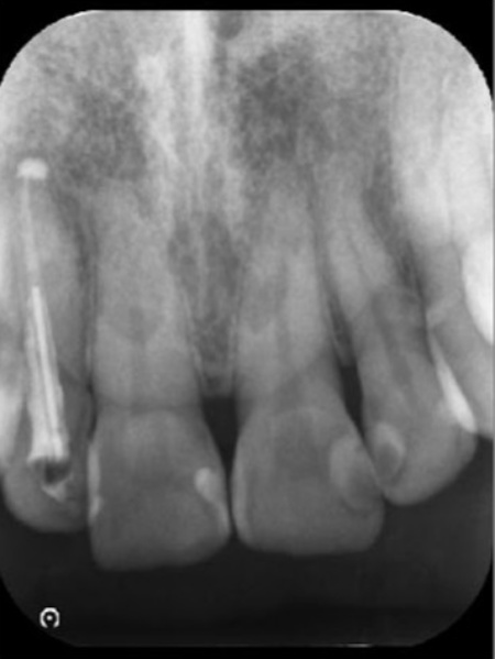
治療終了から2年後のレントゲン画像です。根尖病巣が改善しています。
問題を報告する
掲載内容に問題がありますか?
こちらのフォームではココシカ!利用規約に違反している可能性のある情報や、
その他の問題がある内容について直接報告することができます。
この機能は、詐欺、スパム、虚偽、不正確であると思われる情報を報告するためのものです。
報告すべき情報の例
- ・差別的または不快感を与えるもの: 性別、年齢、人種、宗教、身体的特徴などに基づく差別が見られるものはこちらに該当します。過度な出血など過激な表現など不適切な内容が含まれる場合も対象です。
- ・虚偽の情報: 何らかの根拠により虚偽が認められる情報が対象です。
- ・不正確な情報: 治療名やリスク、金額、医院情報などに不正確な内容が含まれるものです。多くの場合、これらの問題はココシカ!の掲載基準違反ではありませんが、情報の更新が求められる場合があります。
- ・広告行為: 本サービスの趣旨に反する投稿です。サービス広告、企業やアプリの宣伝、その他問題があると確認された投稿が該当します。
- ・その他: これらのカテゴリーに当てはまらない問題については、[その他] を選択し詳しい情報をご提供ください。
ココシカ!の情報、技術的な問題、医院ページのレビュー、掲載情報に関する問い合わせ、検索結果などに関する一般的な質問、これらの問題に関するお問い合わせは、サポートチームまでご連絡下さい。
| 診療科目 | 一般歯科、矯正歯科、小児矯正、ホワイトニング、インプラント、詰め物・被せ物、根管治療、顎関節症治療 |
|---|---|
| 自由診療 | ワイヤー矯正、マウスピース矯正、インプラント、根管治療、セラミック・ジルコニア、ブリッジ、顎関節症 |
| 住所 | 〒235-0023 神奈川県横浜市磯子区森1-11-4 パシフィック磯子マンション101 |
| アクセス | JR根岸線 磯子駅 西口より徒歩3分 |
| 診療時間 | 9:00~13:00 14:30~18:00 |
| 休診日 | 月曜 日曜 祝日 |
| 代表者 | 武内 清隆 |
※記載の内容は最新の情報と異なる場合がございます。正確な情報は歯科医院にご確認ください。
この歯科医院の他の症例
NEW CONTENT 新着コンテンツ
-
「第22回 一般社団法人 日本外傷歯学会・総会・学術大会」開幕、リハビリにフォーカスして歯の損失リスク軽減を目指す
2022.8.8 一般歯科
-
クラウド型歯科用レセコン「POWER5G」が口腔内シミュレーションサービス「DMFTシミュレーター」と提携
2022.6.28 予防歯科
-
豪発のブランド「ビーボックス」から歯固め発売、乳幼児でも持ちやすい設計に
2022.6.24 小児歯科
-
韓国発ライフスタイルケアブランド「ソルトレイン」日本初上陸、伊勢丹新宿でポップアップも
2022.6.22 その他
-
デントウェーブ運営の歯科衛生士向けコミュニティ「歯科衛生士のcoe」無料オンラインイベント開催
2022.3.2 その他
-
竹素材のオーガニック歯ブラシ、日本発サステナブランド「ミヨオーガニック」展開
2022.2.17 予防歯科
