- 根管治療
- 詰め物・被せもの
40代女性 精密根管治療で根尖病巣を治療して被せ物を作り直した症例
ご相談内容
「被せ物が外れてしまったので診てほしい」とご相談いただきました。
カウンセリング・診断結果
拝見したところ、右下奥歯(第2小臼歯)には保険診療の白い被せ物であるCAD/CAM冠が装着されていましたが、破折して外れている状態でした。
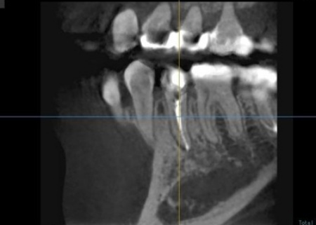
右下奥歯を詳しく検査をした結果、過去に細菌感染した神経を取り除いてから薬を詰める「根管治療」が行われていることがわかりました。
ただ、その手前の右下奥歯(第1小臼歯)では、歯の内部に細菌が侵入して炎症が生じており、歯根の先に膿が溜まる根尖(こんせん)病巣を発症しています。
このまま放置すると、歯根の周辺組織にまで感染が広がって歯を支える骨が溶け、将来的に歯を失うリスクがあります。
以上のことから、根尖病巣を早急に治療し、新しく被せ物を作り直す必要があると診断しました。
行ったご提案・治療内容
診断結果を踏まえ、保険診療の根管治療では感染源の除去が難しいため、より確実に治療できる「精密根管治療」を提案し、同意いただきました。
精密根管治療とは、歯科用顕微鏡であるマイクロスコープを用いて歯の内部を拡大しながら、細菌を丁寧に除去する治療方法です。
肉眼では見えにくい部分まで確認できるため、より精度の高い治療が可能で、再発リスクの軽減が期待できます。一方で、自費診療のため費用が比較的高くなる点がデメリットです。
まず、血液や唾液に含まれる細菌が根管内に入るのを防ぐため、ゴム製のシートであるラバーダムで患部周辺を覆って治療部位だけを露出させ、マイクロスコープで確認しながら感染部位を丁寧に除去しました。
根管内が清潔になったら、再び細菌が入り込まないようにしっかりと薬を詰めて封鎖後、レントゲン撮影で根尖病巣の治癒を確認しました。
続いて、歯の形を整えてから精密な型取りを行い、被せ物を作製します。
後日、完成した被せ物を装着し、噛み合わせや見た目に問題がないかを確認して、治療を終了しました。
この治療のリスクについて
・まれに根管治療後も再治療、外科手術、抜歯などの処置が必要となる場合があります
・治療中まれに器具の破折、被せ物や詰め物など修復物の損傷、歯の破折が起こる場合があります
・治療中や治療後に不快症状が出たり、治療後に痛みや腫れなどが生じたりする可能性があります
・一部の治療を除き、自費診療(保険適用外)です
- 年齢・性別 40代女性
- 診療種別 自由診療
- 治療期間の目安 -
- 治療回数の目安 3回
-
治療費総額の目安
154,000円
(精密根管治療 1根管)
※掲載された情報は治療の効果を保証するものではありません。
ご利用により万一何らかの損害が発生したとしても、当サイトは一切責任を負いかねますのでご了承ください。
画像をクリックすると拡大・詳細コメントを確認いただけます
-
武内歯科医院TEL:0457612300 -
武内歯科医院TEL:0457612300
-
武内歯科医院TEL:0457612300 -
武内歯科医院TEL:0457612300 -
武内歯科医院TEL:0457612300
-
武内歯科医院TEL:0457612300 -
武内歯科医院TEL:0457612300 -
武内歯科医院TEL:0457612300
-
武内歯科医院TEL:0457612300 -
武内歯科医院TEL:0457612300 -
武内歯科医院TEL:0457612300
-
武内歯科医院TEL:0457612300
問題を報告する
掲載内容に問題がありますか?
こちらのフォームではココシカ!利用規約に違反している可能性のある情報や、
その他の問題がある内容について直接報告することができます。
この機能は、詐欺、スパム、虚偽、不正確であると思われる情報を報告するためのものです。
報告すべき情報の例
- ・差別的または不快感を与えるもの: 性別、年齢、人種、宗教、身体的特徴などに基づく差別が見られるものはこちらに該当します。過度な出血など過激な表現など不適切な内容が含まれる場合も対象です。
- ・虚偽の情報: 何らかの根拠により虚偽が認められる情報が対象です。
- ・不正確な情報: 治療名やリスク、金額、医院情報などに不正確な内容が含まれるものです。多くの場合、これらの問題はココシカ!の掲載基準違反ではありませんが、情報の更新が求められる場合があります。
- ・広告行為: 本サービスの趣旨に反する投稿です。サービス広告、企業やアプリの宣伝、その他問題があると確認された投稿が該当します。
- ・その他: これらのカテゴリーに当てはまらない問題については、[その他] を選択し詳しい情報をご提供ください。
ココシカ!の情報、技術的な問題、医院ページのレビュー、掲載情報に関する問い合わせ、検索結果などに関する一般的な質問、これらの問題に関するお問い合わせは、サポートチームまでご連絡下さい。
| 診療科目 | 一般歯科、矯正歯科、小児矯正、ホワイトニング、インプラント、詰め物・被せ物、根管治療、顎関節症治療 |
|---|---|
| 自由診療 | ワイヤー矯正、マウスピース矯正、インプラント、根管治療、セラミック・ジルコニア、ブリッジ、顎関節症 |
| 住所 | 〒235-0023 神奈川県横浜市磯子区森1-11-4 パシフィック磯子マンション101 |
| アクセス | JR根岸線 磯子駅 西口より徒歩3分 |
| 診療時間 | 9:00~13:00 14:30~18:00 |
| 休診日 | 月曜 日曜 祝日 |
| 代表者 | 武内 清隆 |
※記載の内容は最新の情報と異なる場合がございます。正確な情報は歯科医院にご確認ください。
この歯科医院の他の症例
NEW CONTENT 新着コンテンツ
-
「第22回 一般社団法人 日本外傷歯学会・総会・学術大会」開幕、リハビリにフォーカスして歯の損失リスク軽減を目指す
2022.8.8 一般歯科
-
クラウド型歯科用レセコン「POWER5G」が口腔内シミュレーションサービス「DMFTシミュレーター」と提携
2022.6.28 予防歯科
-
豪発のブランド「ビーボックス」から歯固め発売、乳幼児でも持ちやすい設計に
2022.6.24 小児歯科
-
韓国発ライフスタイルケアブランド「ソルトレイン」日本初上陸、伊勢丹新宿でポップアップも
2022.6.22 その他
-
デントウェーブ運営の歯科衛生士向けコミュニティ「歯科衛生士のcoe」無料オンラインイベント開催
2022.3.2 その他
-
竹素材のオーガニック歯ブラシ、日本発サステナブランド「ミヨオーガニック」展開
2022.2.17 予防歯科
