FIND YOUR
CARE.
「自分の目で見てさがす・えらぶ」
歯医者さん検索は実績で探せる時代へ。
「ココだ!」と思える
歯科医院探しのお手伝い
FIND YOUR
CARE.
「自分の目で見てさがす・えらぶ」
歯医者さん検索は実績で探せる時代へ。
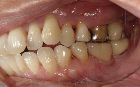
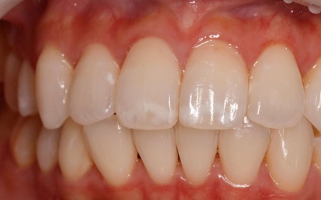
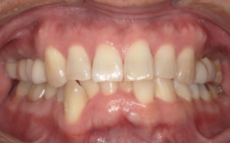
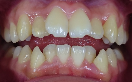
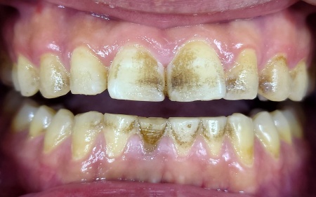
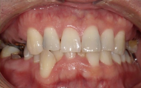
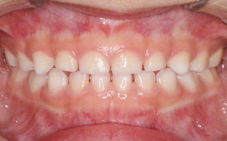
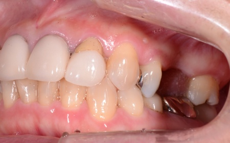
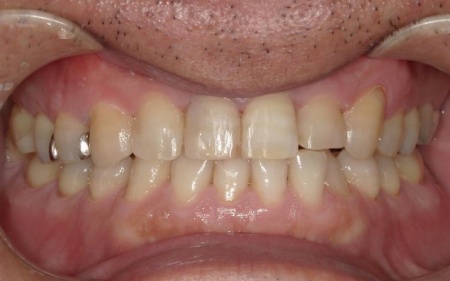
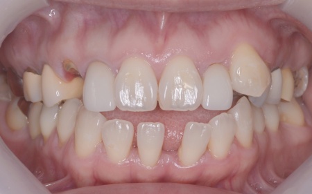
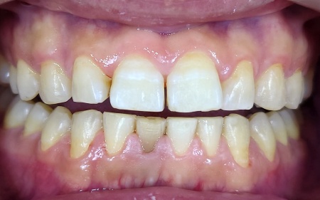
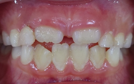
「なるべくなら失敗したくない!」誰だって思うことは同じです。
ここでは歯医者さんに相談する前に知っておきたい、歯科治療の基本情報をご紹介します。
「第22回 一般社団法人 日本外傷歯学会・総会・学術大会」開幕、リハビリにフォーカスして歯の損失リスク軽減を目指す
2022.8.8 一般歯科
クラウド型歯科用レセコン「POWER5G」が口腔内シミュレーションサービス「DMFTシミュレーター」と提携
2022.6.28 予防歯科
豪発のブランド「ビーボックス」から歯固め発売、乳幼児でも持ちやすい設計に
2022.6.24 小児歯科
韓国発ライフスタイルケアブランド「ソルトレイン」日本初上陸、伊勢丹新宿でポップアップも
2022.6.22 その他
デントウェーブ運営の歯科衛生士向けコミュニティ「歯科衛生士のcoe」無料オンラインイベント開催
2022.3.2 その他
竹素材のオーガニック歯ブラシ、日本発サステナブランド「ミヨオーガニック」展開
2022.2.17 予防歯科