NEW CASES 症例の新着
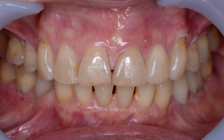
60代女性 歯根が折れた左下奥歯を抜いてインプラント治療を行った症例
- 詰め物・被せもの
- インプラント
- 抜歯
- 治療期間の目安 約4ヶ月
- 治療回数の目安 -
- 治療費総額の目安 約450,000円
治療のリスク
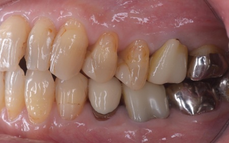
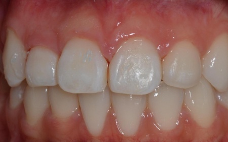
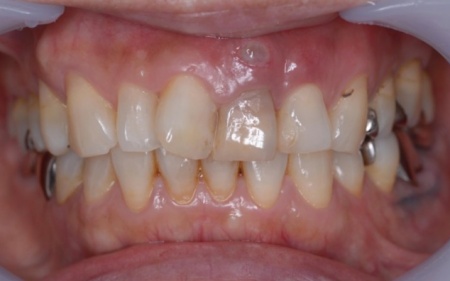
・外科処置後に腫れ、出血が生じる場合があります ・外科手術のため、術後に痛みや腫れ、違和感を伴います ・メンテナンスを怠ったり、喫煙したりすると、お口の中に大きな悪影響を及ぼし、インプラント周囲炎などにかかる可能性があります ・糖尿病、肝硬変、心臓病などの持病をお持ちの場合、インプラント治療が...60代女性 銀歯をジルコニアクラウンで修復した症例
- 詰め物・被せもの
- セラミック・ジルコニア
- 治療期間の目安 約2週間
- 治療回数の目安 -
-
治療費総額の目安
約130,000円
(補綴治療)
治療のリスク
・装着に際し、天然歯を削る場合があります ・硬い素材の場合、他の天然歯を傷つけることがあります ・噛み合わせや歯ぎしりが強い場合、セラミックが割れる可能性があります ・一部の治療を除き、自費診療(保険適用外治療)です...60代男性 割れた部分入れ歯に補強線を埋め込んで修理した症例
- 部分入れ歯
- 治療期間の目安 -
- 治療回数の目安 1回
- 治療費総額の目安 約4,000円(保険診療3割負担)
治療のリスク
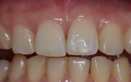
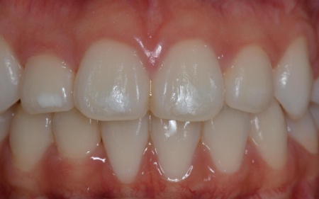
・着脱式のため、食後の清掃が必要です ・最初のうちは異物感があり、慣れるまで時間がかかる場合があります ・慣れるまでは、入れ歯の裏側の粘膜に傷ができる場合があります...30代女性 前歯の差し歯を審美性の高いe.maxレイヤリングクラウンで作り直した症例
- 詰め物・被せもの
- セラミック・ジルコニア
- 治療期間の目安 1.5ヶ月
- 治療回数の目安 4回
-
治療費総額の目安
約384,000円
(e.maxレイヤリングクラウン2本分・仮歯・精密印象費用等を含む)
治療のリスク
・装着に際し、天然歯を削る場合があります ・硬い素材の場合、他の天然歯を傷つけることがあります ・噛み合わせや歯ぎしりが強い場合、セラミックが割れる可能性があります ・一部の治療を除き、自費診療(保険適用外治療)です...70代女性 右上奥歯の欠損部にインプラントを2本埋入して噛み合わせを回復させた症例
- 骨再生
- インプラント
- その他の診療
- 再生医療
- 治療期間の目安 約6ヶ月
- 治療回数の目安 -
- 治療費総額の目安 約830,000円
治療のリスク
・外科手術のため、術後に痛みや腫れ、違和感を伴います ・メンテナンスを怠ったり、喫煙したりすると、お口の中に大きな悪影響を及ぼし、インプラント周囲炎などにかかる可能性があります ・糖尿病、肝硬変、心臓病などの持病をお持ちの場合、インプラント治療ができない可能性があります ・自費診療(保険適用外...80代女性 奥歯が折れて使えなくなった部分入れ歯を修理した症例
- 部分入れ歯
- 治療期間の目安 -
- 治療回数の目安 1回
-
治療費総額の目安
約1,000円
(保険治療1割負担)
治療のリスク
・着脱式のため、食後の清掃が必要です ・最初のうちは異物感があり、慣れるまで時間がかかる場合があります ・慣れるまでは、入れ歯の裏側の粘膜に傷ができる場合があります...30代男性 前歯の歯並びをクローズドコイルとマルチブラケット装置を併用したスピード矯正で改善した症例
- 矯正歯科
- ワイヤー矯正
- 歯科口腔外科
- 抜歯
- 治療期間の目安 3年
- 治療回数の目安 月1回(約40回)
-
治療費総額の目安
約935,000円
(矯正治療代 保定装置)
治療のリスク
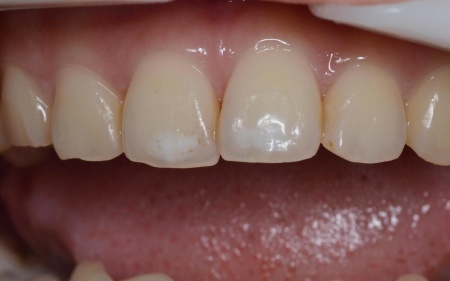
・治療中、発音しにくい場合があります ・治療中、舌が動かしにくいことがあります ・治療中、装置によってまれに頬の内側が傷つき、口内炎になる場合があります ・歯の移動に伴って、違和感や痛みを感じる場合があります ・冷たいものを飲んだときに歯がしみる「知覚過敏」の症状が出る場合があります ・正...20代男性 前歯のホワイトスポットにIcon治療を施した症例
- ホワイトニング
- その他の診療
- 治療期間の目安 -
- 治療回数の目安 1回
-
治療費総額の目安
38,500円
(Icon治療2本分)
治療のリスク
・治療中、歯にしみるような痛みが出る場合があります ・得られる効果は歯の質により様々です。予定通りの白さに達しない場合もあります ・自費診療(保険適用外治療)です...50代女性 ラミネートベニアで小さい前歯の形を整えた症例
- 詰め物・被せもの
- セラミック・ジルコニア
- ラミネートベニア
- 治療期間の目安 -
- 治療回数の目安 2回
- 治療費総額の目安 99,000円
治療のリスク
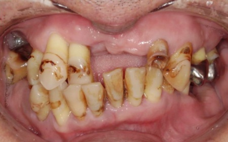
・非常に薄いセラミックのため、強度は弱くなります ・中の歯の色の影響を受けやすいため、変色が強い歯には適さない場合があります ・ご使用状況により、割れたり欠けたりする場合があります ・自費診療(保険適用外治療)です...60代男性 歯の欠損で不安定になった歯並びと噛み合わせを矯正治療やインプラントで改善した症例
- 矯正歯科
- ワイヤー矯正
- 詰め物・被せもの
- セラミック・ジルコニア
- インプラント
- ブリッジ
- 抜歯
- 治療期間の目安 約5年
- 治療回数の目安 -
- 治療費総額の目安 約5,727,000円
治療のリスク
・歯の移動に伴って、違和感や痛みを感じる場合があります ・持病をお持ちの方や、服用中のお薬の種類によっては、外科処置ができない場合があります ・外科手術のため、術後に痛みや腫れ、違和感を伴います ・メンテナンスを怠ったり、喫煙したりすると、お口の中に大きな悪影響を及ぼし、インプラント周囲炎など...40代女性 欠けたプラスチックの詰め物を除去してセラミックのインレーで修復した症例
- 詰め物・被せもの
- セラミック・ジルコニア
- 治療期間の目安 約2週間
- 治療回数の目安 -
-
治療費総額の目安
約100,000円
(詰め物治療)
治療のリスク
・装着に際し、天然歯を削る場合があります ・硬い素材の場合、他の天然歯を傷つけることがあります ・噛み合わせや歯ぎしりが強い場合、セラミックが割れる可能性があります ・一部の治療を除き、自費診療(保険適用外治療)です...10代男性 上前歯のすき間をワイヤー矯正のマルチブラケット装置で改善した症例
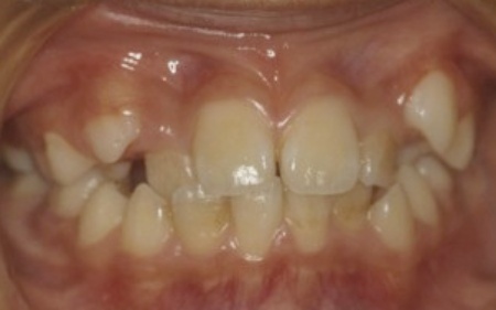
- 矯正歯科
- ワイヤー矯正
-
治療期間の目安
矯正期間 2年半
保定期間 2年 - 治療回数の目安 -
- 治療費総額の目安 約900,000円
治療のリスク
・治療中、発音しにくい場合があります ・治療中、舌が動かしにくいことがあります ・治療中、装置によってまれに頬の内側が傷つき、口内炎になる場合があります ・歯の移動に伴って、違和感や痛みを感じる場合があります ・冷たいものを飲んだときに歯がしみる「知覚過敏」の症状が出る場合があります ・正...60代女性 温存が難しい右上奥歯を抜いてインプラントで補った症例
- 骨再生
- 詰め物・被せもの
- インプラント
- 抜歯
- 治療期間の目安 約6ヶ月
- 治療回数の目安 -
- 治療費総額の目安 約360,000円
治療のリスク
・持病をお持ちの方や、服用中のお薬の種類によっては、外科処置ができない場合があります ・外科処置後に腫れ、出血が生じる場合があります ・外科処置後のメンテナンスを怠ると、良好な結果が得られない可能性があります ・外科手術のため、術後に痛みや腫れ、違和感を伴います ・メンテナンスを怠ったり、喫...70代女性 膿の袋ができた奥歯を抜歯しインプラントで補った症例
- インプラント
- 抜歯
- 治療期間の目安 約7ヶ月
- 治療回数の目安 -
- 治療費総額の目安 約910,000円
治療のリスク
・外科手術のため、術後に痛みや腫れ、違和感を伴います ・メンテナンスを怠ったり、喫煙したりすると、お口の中に大きな悪影響を及ぼし、インプラント周囲炎等にかかる可能性があります ・糖尿病、肝硬変、心臓病などの持病をお持ちの場合、インプラント治療ができない可能性があります ・高血圧、貧血・不整脈な...80代男性 右上奥歯にインプラント治療を施した症例
- インプラント
- ブリッジ
- 抜歯
- 静脈内鎮静治療
- 治療期間の目安 約6ヶ月
- 治療回数の目安 -
- 治療費総額の目安 約1,160,000円
治療のリスク
・外科手術のため、術後に痛みや腫れ、違和感を伴います ・メンテナンスを怠ったり、喫煙したりすると、お口の中に大きな悪影響を及ぼし、インプラント周囲炎等にかかる可能性があります ・糖尿病、肝硬変、心臓病などの持病をお持ちの場合、インプラント治療ができない可能性があります ・高血圧、貧血・不整脈な...50代男性 根管治療をやり直し歯を温存した症例
- 根管治療
- 詰め物・被せもの
- セラミック・ジルコニア
- 治療期間の目安 2ヶ月
- 治療回数の目安 5回
- 治療費総額の目安 187,000円
治療のリスク
・まれに根管治療後も再治療、外科手術、抜歯などの処置が必要となる場合があります ・治療中まれに器具の破折、被せ物や詰め物など修復物の損傷、歯の破折が起こる場合があります ・治療中や治療後に不快症状が出たり、治療後に痛みや腫れなどが生じたりする可能性があります ・装着に際し、天然歯を削る場合があ...30代女性 前歯の歯ぐきの腫れを根管治療で改善した症例
- 根管治療
- 治療期間の目安 1ヶ月
- 治療回数の目安 -
- 治療費総額の目安 55,000円
治療のリスク
・まれに根管治療後も再治療、外科手術、抜歯などの処置が必要となる場合があります ・治療中まれに器具の破折、被せ物や詰め物など修復物の損傷、歯の破折が起こる場合があります ・治療中や治療後に不快症状が出たり、治療後に痛みや腫れなどが生じたりする可能性があります ・一部の治療を除き、自費診療(保険...60代女性 温存が難しい奥歯を抜いてインプラントと親知らずの移植で噛み合わせを回復した症例
- 歯牙移植・再植
- 根管治療
- 矯正歯科
- 部分矯正
- 詰め物・被せもの
- セラミック・ジルコニア
- インプラント
- 歯科口腔外科
- 抜歯
- 治療期間の目安 約6ヶ月
- 治療回数の目安 -
-
治療費総額の目安
約810,000円
(インプラント・移植矯正・精密根管治療・E-MAX)
治療のリスク
・持病をお持ちの方や、服用中のお薬の種類によっては、外科処置ができない場合があります ・外科処置後に腫れ、出血が生じる場合があります ・外科処置後に痛みが長引く場合があります。必要に応じ痛み止めを併用します ・外科処置後のメンテナンスを怠ると、良好な結果が得られない可能性があります ・装着に...40代女性 精密根管治療で根尖病巣を治療して被せ物を作り直した症例
- 根管治療
- 詰め物・被せもの
- 治療期間の目安 -
- 治療回数の目安 3回
-
治療費総額の目安
154,000円
(精密根管治療 1根管)
治療のリスク
・まれに根管治療後も再治療、外科手術、抜歯などの処置が必要となる場合があります ・治療中まれに器具の破折、被せ物や詰め物など修復物の損傷、歯の破折が起こる場合があります ・治療中や治療後に不快症状が出たり、治療後に痛みや腫れなどが生じたりする可能性があります ・一部の治療を除き、自費診療(保険...80代女性 すり減って変色した下前歯をコンポジットレジンで治療した症例
- 虫歯
- コンポジットレジン
- 詰め物・被せもの
- 治療期間の目安 -
- 治療回数の目安 1回
- 治療費総額の目安 保険診療内
