- 根管治療
- 詰め物・被せもの
- セラミック・ジルコニア
50代女性 治療が不十分だった歯に再度根管治療を施しジルコニアクラウンで修復した症例
ご相談内容
「欠けた歯を治して白い歯を入れたい」とご相談いただきました。
カウンセリング・診断結果
拝見したところ、左上の小臼歯が欠けていました。
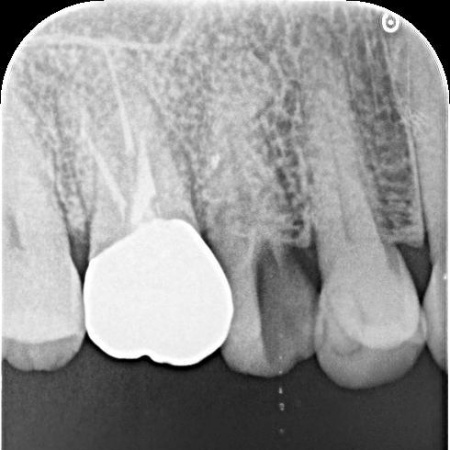
レントゲンを撮り詳しく確認したところ、過去に根管治療が施されていたものの、根の中に薬がしっかりと詰められておらず治療が不十分な状態でした。そのため、根管から歯根を覆う歯根膜が細菌感染して炎症を起こす慢性歯根膜炎が生じています。
根管治療とは、歯の神経を除去し神経が通っている根管を洗浄・消毒する治療です。
このまま放置すると細菌感染がさらに進行し、歯根周囲の骨が破壊されたり膿んだりして最終的に歯を失うおそれがあるため、早急な治療が必要と診断しました。
行ったご提案・治療内容
診断結果をお伝えした上で、再度根管治療を行ってから、殺菌効果の高いMTAセメントを用いて根管をしっかりと封鎖し、その後ジルコニアクラウンで修復する治療計画を提案し、同意いただきました。
ジルコニアクラウンは、人工ダイヤモンドとも呼ばれるほど高い強度と耐久性を持つジルコニアで作る被せ物です。
自然な白さと強度を兼ね備えているため、奥歯のような強い力がかかる場所に適しています。
ただし非常に硬いため、噛み合わせの調整が不十分な場合には噛み合わせる相手の歯に負担をかける可能性があります。
まず根管を丁寧に洗浄・消毒し、MTAセメントを用いて根の先端まで隙間なく密封しました。
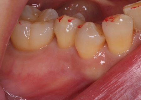
その後、被せ物を装着するために歯の形を整え、型取りを行っています。
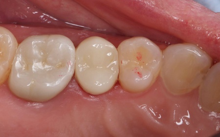
後日、完成したジルコニアセラミックが歯にピッタリと合っているか、噛み合わせに問題がないかを十分に確認した上で装着し、治療を終了しました。
この治療のリスクについて
・まれに根管治療後も再治療、外科手術、抜歯などの処置が必要となる場合があります
・治療中まれに器具の破折、被せ物や詰め物など修復物の損傷、歯の破折が起こる場合があります
・治療中や治療後に不快症状が出たり、治療後に痛みや腫れなどが生じたりする可能性があります
・装着に際し、天然歯を削る場合があります
・硬い素材の場合、他の天然歯を傷つけることがあります
・一部の治療を除き、自費診療(保険適用外治療)です
- 年齢・性別 50代女性
- 診療種別 自由診療
- 治療期間の目安 約1ヶ月
- 治療回数の目安 -
-
治療費総額の目安
約264,000円
(根管治療・補綴治療)
※掲載された情報は治療の効果を保証するものではありません。
ご利用により万一何らかの損害が発生したとしても、当サイトは一切責任を負いかねますのでご了承ください。
画像をクリックすると拡大・詳細コメントを確認いただけます
-
海谷歯科医院TEL:0352611515
-
海谷歯科医院TEL:0352611515
-
海谷歯科医院TEL:0352611515
-
海谷歯科医院TEL:0352611515 -
海谷歯科医院TEL:0352611515
-
海谷歯科医院TEL:0352611515
問題を報告する
掲載内容に問題がありますか?
こちらのフォームではココシカ!利用規約に違反している可能性のある情報や、
その他の問題がある内容について直接報告することができます。
この機能は、詐欺、スパム、虚偽、不正確であると思われる情報を報告するためのものです。
報告すべき情報の例
- ・差別的または不快感を与えるもの: 性別、年齢、人種、宗教、身体的特徴などに基づく差別が見られるものはこちらに該当します。過度な出血など過激な表現など不適切な内容が含まれる場合も対象です。
- ・虚偽の情報: 何らかの根拠により虚偽が認められる情報が対象です。
- ・不正確な情報: 治療名やリスク、金額、医院情報などに不正確な内容が含まれるものです。多くの場合、これらの問題はココシカ!の掲載基準違反ではありませんが、情報の更新が求められる場合があります。
- ・広告行為: 本サービスの趣旨に反する投稿です。サービス広告、企業やアプリの宣伝、その他問題があると確認された投稿が該当します。
- ・その他: これらのカテゴリーに当てはまらない問題については、[その他] を選択し詳しい情報をご提供ください。
ココシカ!の情報、技術的な問題、医院ページのレビュー、掲載情報に関する問い合わせ、検索結果などに関する一般的な質問、これらの問題に関するお問い合わせは、サポートチームまでご連絡下さい。
| 診療科目 | 一般歯科、矯正歯科、インプラント、詰め物・被せ物、歯科口腔外科、精密根管治療、歯周病治療、審美治療 |
|---|---|
| 自由診療 | 虫歯治療、精密根管治療、ワイヤー矯正、セラミック・ジルコニア、ブリッジ |
| 住所 | 〒162-0841 東京都新宿区払方町15番地 小暮ビル2F |
| アクセス | ●JR総武線市ヶ谷駅より 徒歩8分 ●地下鉄有楽町線市ヶ谷駅より 徒歩4分 ●大江戸線牛込神楽坂駅より 徒歩4分 ●JR総武線飯田橋駅より 徒歩14分 |
| 診療時間 | 10:00~13:00 14:30~19:30 |
| 休診日 | 土曜 日曜 祝日 |
| 代表者 | 海谷 幸利 |
※記載の内容は最新の情報と異なる場合がございます。正確な情報は歯科医院にご確認ください。
この歯科医院の他の症例
NEW CONTENT 新着コンテンツ
-
「第22回 一般社団法人 日本外傷歯学会・総会・学術大会」開幕、リハビリにフォーカスして歯の損失リスク軽減を目指す
2022.8.8 一般歯科
-
クラウド型歯科用レセコン「POWER5G」が口腔内シミュレーションサービス「DMFTシミュレーター」と提携
2022.6.28 予防歯科
-
豪発のブランド「ビーボックス」から歯固め発売、乳幼児でも持ちやすい設計に
2022.6.24 小児歯科
-
韓国発ライフスタイルケアブランド「ソルトレイン」日本初上陸、伊勢丹新宿でポップアップも
2022.6.22 その他
-
デントウェーブ運営の歯科衛生士向けコミュニティ「歯科衛生士のcoe」無料オンラインイベント開催
2022.3.2 その他
-
竹素材のオーガニック歯ブラシ、日本発サステナブランド「ミヨオーガニック」展開
2022.2.17 予防歯科
