- 歯石除去
- 骨再生
- 歯周外科
- 根管治療
- 歯周病
- 詰め物・被せもの
- セラミック・ジルコニア
60代女性 重度歯周病に対して精密根管治療・歯周治療・再生療法を併用した症例
ご相談内容
「歯ぐきが腫れて出血があり、膿が出る」とご相談いただきました。
カウンセリング・診断結果
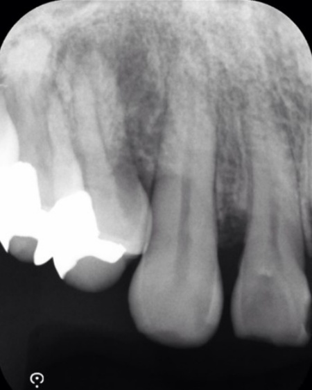
拝見したところ、右上奥歯の歯ぐきが腫れ、出血も見られました。
詳しく検査した結果、右上の小臼歯の周囲には膿の袋ができており、痛みや違和感の原因になっていると考えられました。
これは歯の神経が通る根管内の感染と、歯を支える歯ぐきや骨といった歯周組織の炎症が同時に起きている「エンドペリオ病変」と呼ばれる状態です。
このまま放置すると感染が広がり、歯を温存するのが難しくなる可能性があります。
また、右下の奥歯3本は歯周病が重度まで進行していました。
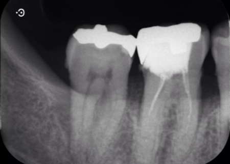
レントゲンを撮影したところ、歯の周囲の骨が溶けて歯ぐきの深い部分にまで歯石が付着していることが確認できました。
この状態が続くと、噛む力に耐えられず歯が揺れたり抜けたりするおそれがあります。
以上のことから、できるだけ早く感染源を取り除き、歯周組織の回復を目指す治療が必要と診断しました。
行ったご提案・治療内容
現在の症状を改善して、できるだけ歯を温存できるよう以下の治療を提案し、同意いただきました。
右上の奥歯については、根管内の感染と歯周病の両方の治療が必要です。
そこでまず、根管内を無菌的に清掃して感染源を取り除く精密根管治療と、歯ぐきの上や中に付着した歯石・細菌を除去し、炎症を改善する歯周治療を行います。
その後、失われた骨の回復を目指す再生療法を併用する方針としました。
最終的に装着する被せ物の種類には強度に優れ、見た目も自然なe.maxセラミックをおすすめしています。
また重度の歯周病が認められた右下の奥歯3本も歯周治療と再生療法を行い、口腔内の環境を改善する治療計画を説明しました。
再生療法は、骨の状態や全身の健康状態によって効果に個人差があります。
そのため必ずしも完全な回復を保証するものではないこと、また外科的処置を伴うため術後に腫れや痛みが出る可能性があることも併せてお伝えしています。
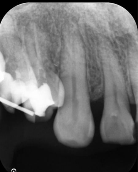
まず、右上奥歯の精密根管治療を行いました。
マイクロスコープ(歯科用顕微鏡)を用いて根管内を拡大視野で確認しながら、感染した組織を丁寧に除去しました。その後、再感染を防ぐため根管内に薬剤を充填しています。
続いて歯周治療として、歯ぐきの上に付着している歯石を専用の器具で除去し、歯ぐきの炎症を改善しました。
歯ぐきの状態が落ち着いたことを確認してから、再生療法に進みます。
再生療法では局所麻酔を行い、歯ぐきを慎重に開いて歯の根の表面を露出させました。
歯ぐきの奥深くに付着していた歯石をしっかり除去し、根の表面を滑らかに整えたあと骨の再生を促す材料を使用し、歯ぐきを元の位置に戻して縫合しました。
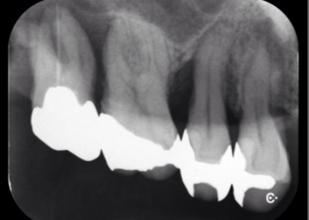
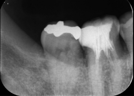
歯周組織の回復を確認したのち、右上奥歯の形を整え精密な型取りを行ったうえで、製作したe.maxセラミッククラウンを噛み合わせや見た目に配慮しながら装着しました。
右下の奥歯3本についても同様に、再生療法を行いました。
再生療法後は一定期間の経過観察を行い、歯ぐきの治癒状態や骨の回復状況を確認しています。
半年後のレントゲン検査では、失われていた骨の部分に新しい骨の形成が認められ、歯ぐきの腫れや出血も改善していました。
最後に痛みや違和感がないこと、見た目や噛み合わせに問題がないことを確認し、すべての治療を終了しました。
この治療のリスクについて
・まれに根管治療後も再治療、外科手術、抜歯などの処置が必要となる場合があります
・持病をお持ちの方や、服用中のお薬の種類によっては、外科処置ができない場合があります
・硬い素材の場合、他の天然歯を傷つけることがあります
・噛み合わせや歯ぎしりが強い場合、セラミックが割れる可能性があります
・外科処置後のメンテナンスを怠ると、良好な結果が得られない可能性があります
・一部の治療を除き、自費診療(保険適用外)です
- 年齢・性別 60代女性
- 診療種別 自由診療
-
治療期間の目安
1年
(改善までの経過観察期間込み) - 治療回数の目安 -
-
治療費総額の目安
約800,000円
(再生治療・根管治療・e.max)
※掲載された情報は治療の効果を保証するものではありません。
ご利用により万一何らかの損害が発生したとしても、当サイトは一切責任を負いかねますのでご了承ください。
画像をクリックすると拡大・詳細コメントを確認いただけます
-
武内歯科医院TEL:0457612300
-
武内歯科医院TEL:0457612300
-
武内歯科医院TEL:0457612300
-
武内歯科医院TEL:0457612300
-
武内歯科医院TEL:0457612300
-
武内歯科医院TEL:0457612300 -
武内歯科医院TEL:0457612300
-
武内歯科医院TEL:0457612300 -
武内歯科医院TEL:0457612300 -
武内歯科医院TEL:0457612300
-
武内歯科医院TEL:0457612300 -
武内歯科医院TEL:0457612300
問題を報告する
掲載内容に問題がありますか?
こちらのフォームではココシカ!利用規約に違反している可能性のある情報や、
その他の問題がある内容について直接報告することができます。
この機能は、詐欺、スパム、虚偽、不正確であると思われる情報を報告するためのものです。
報告すべき情報の例
- ・差別的または不快感を与えるもの: 性別、年齢、人種、宗教、身体的特徴などに基づく差別が見られるものはこちらに該当します。過度な出血など過激な表現など不適切な内容が含まれる場合も対象です。
- ・虚偽の情報: 何らかの根拠により虚偽が認められる情報が対象です。
- ・不正確な情報: 治療名やリスク、金額、医院情報などに不正確な内容が含まれるものです。多くの場合、これらの問題はココシカ!の掲載基準違反ではありませんが、情報の更新が求められる場合があります。
- ・広告行為: 本サービスの趣旨に反する投稿です。サービス広告、企業やアプリの宣伝、その他問題があると確認された投稿が該当します。
- ・その他: これらのカテゴリーに当てはまらない問題については、[その他] を選択し詳しい情報をご提供ください。
ココシカ!の情報、技術的な問題、医院ページのレビュー、掲載情報に関する問い合わせ、検索結果などに関する一般的な質問、これらの問題に関するお問い合わせは、サポートチームまでご連絡下さい。
| 診療科目 | 一般歯科、矯正歯科、小児矯正、ホワイトニング、インプラント、詰め物・被せ物、根管治療、顎関節症治療 |
|---|---|
| 自由診療 | ワイヤー矯正、マウスピース矯正、インプラント、根管治療、セラミック・ジルコニア、ブリッジ、顎関節症 |
| 住所 | 〒235-0023 神奈川県横浜市磯子区森1-11-4 パシフィック磯子マンション101 |
| アクセス | JR根岸線 磯子駅 西口より徒歩3分 |
| 診療時間 | 9:00~13:00 14:30~18:00 |
| 休診日 | 月曜 日曜 祝日 |
| 代表者 | 武内 清隆 |
※記載の内容は最新の情報と異なる場合がございます。正確な情報は歯科医院にご確認ください。
この歯科医院の他の症例
NEW CONTENT 新着コンテンツ
-
「第22回 一般社団法人 日本外傷歯学会・総会・学術大会」開幕、リハビリにフォーカスして歯の損失リスク軽減を目指す
2022.8.8 一般歯科
-
クラウド型歯科用レセコン「POWER5G」が口腔内シミュレーションサービス「DMFTシミュレーター」と提携
2022.6.28 予防歯科
-
豪発のブランド「ビーボックス」から歯固め発売、乳幼児でも持ちやすい設計に
2022.6.24 小児歯科
-
韓国発ライフスタイルケアブランド「ソルトレイン」日本初上陸、伊勢丹新宿でポップアップも
2022.6.22 その他
-
デントウェーブ運営の歯科衛生士向けコミュニティ「歯科衛生士のcoe」無料オンラインイベント開催
2022.3.2 その他
-
竹素材のオーガニック歯ブラシ、日本発サステナブランド「ミヨオーガニック」展開
2022.2.17 予防歯科
