- 矯正歯科
- ワイヤー矯正
- マウスピース矯正
60代女性 すきっ歯が目立つ噛み合わせをワイヤー矯正とアライナー矯正の併用で改善した症例
ご相談内容
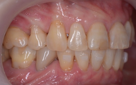
「以前矯正治療を行ったが、気付いたら前歯がすきっ歯になっていた」とご相談いただきました。
カウンセリング・診断結果
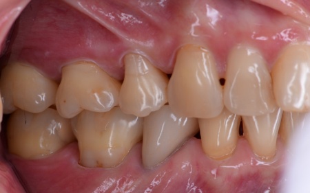
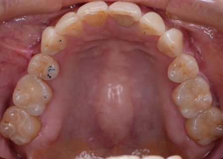
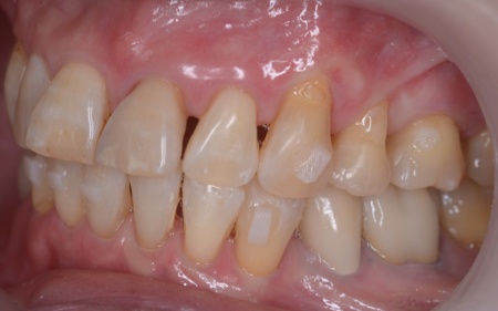
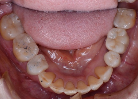
拝見したところ、前歯に隙間が空いており、いわゆるすきっ歯の状態でした。
すきっ歯は見た目の問題だけでなく、食べ物が詰まりやすくなり虫歯や歯周病のリスクが高まる、発音がしにくくなる、噛み合わせが悪化して消化器官や顎関節への負担が増えるなどのおそれがあります。
このまま放置すると、口腔内の環境が悪化して最終的に歯を失いかねないため、早めの治療が必要だと診断しました。
行ったご提案・治療内容
患者様は、歯並びと噛み合わせの根本的な改善を希望されています。
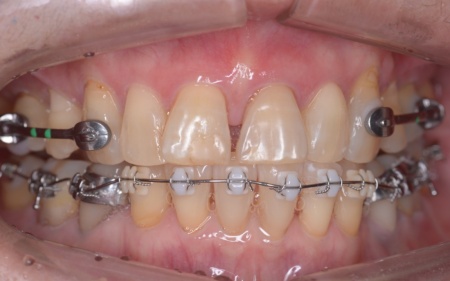
そのため、ワイヤー矯正である程度歯の移動を行ったのち、アライナー矯正(マウスピース矯正)で仕上げを行う矯正治療を提案し、同意いただきました。
2種類の矯正を組み合わせることで、歯をしっかり移動させながら、治療期間の短縮が望めます。
・ワイヤー矯正
歯の表面にブラケットと呼ばれるボタン状の装置を接着し、そこにワイヤーを通して歯を移動させる矯正治療です。
メリット:固定式の装置なので、歯をしっかりと移動させることができる
デメリット:自分では取り外せないため、歯磨きがしにくい
・アライナー矯正
患者様専用のアライナー(マウスピース)を作製し、定期的に交換しながら歯を移動させる矯正治療です。
メリット:マウスピースは取り外せるため、歯磨きなどの清掃がしやすい
デメリット:適応可能な症例が限られている。マウスピースの装着時間を守るなど、自己管理が必要になる
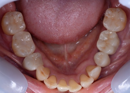
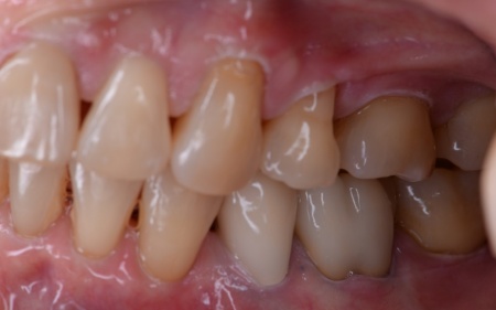
まずはワイヤー矯正を行い、ある程度まで歯並びを整えます。
その後アライナー矯正に移行し、正しい歯並びになるよう調整を行いました。
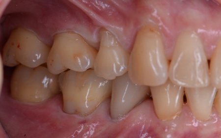
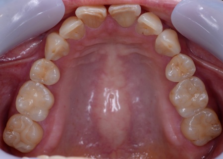
最後に、噛み合わせや前歯の隙間が改善されたことを確認して、治療を終了しています。
この治療のリスクについて
・治療中、装置によってまれに頬の内側が傷つき、口内炎になる場合があります
・歯の移動に伴って、違和感や痛みを感じる場合があります
・冷たいものを飲んだときに歯がしみる「知覚過敏」の症状が出る場合があります
・決められたスケジュールを守らない場合、十分な効果が得られない可能性があります
・マウスピースに対応していない症例の場合、治療が難しい可能性があります
・正しいブラッシングやメンテナンスを行わない場合、虫歯や歯周病のリスクが高まります
- 年齢・性別 60代女性
- 診療種別 自由診療
- 治療期間の目安 1年3ヶ月
- 治療回数の目安 -
- 治療費総額の目安 1,100,000円
※掲載された情報は治療の効果を保証するものではありません。
ご利用により万一何らかの損害が発生したとしても、当サイトは一切責任を負いかねますのでご了承ください。
画像をクリックすると拡大・詳細コメントを確認いただけます
-
武内歯科医院TEL:0457612300
-
武内歯科医院TEL:0457612300
-
武内歯科医院TEL:0457612300
-
武内歯科医院TEL:0457612300
-
武内歯科医院TEL:0457612300
-
武内歯科医院TEL:0457612300
-
武内歯科医院TEL:0457612300
-
武内歯科医院TEL:0457612300
-
武内歯科医院TEL:0457612300
-
武内歯科医院TEL:0457612300
-
武内歯科医院TEL:0457612300
-
武内歯科医院TEL:0457612300
-
武内歯科医院TEL:0457612300
-
武内歯科医院TEL:0457612300
-
武内歯科医院TEL:0457612300
-
武内歯科医院TEL:0457612300 -
武内歯科医院TEL:0457612300
-
武内歯科医院TEL:0457612300
問題を報告する
掲載内容に問題がありますか?
こちらのフォームではココシカ!利用規約に違反している可能性のある情報や、
その他の問題がある内容について直接報告することができます。
この機能は、詐欺、スパム、虚偽、不正確であると思われる情報を報告するためのものです。
報告すべき情報の例
- ・差別的または不快感を与えるもの: 性別、年齢、人種、宗教、身体的特徴などに基づく差別が見られるものはこちらに該当します。過度な出血など過激な表現など不適切な内容が含まれる場合も対象です。
- ・虚偽の情報: 何らかの根拠により虚偽が認められる情報が対象です。
- ・不正確な情報: 治療名やリスク、金額、医院情報などに不正確な内容が含まれるものです。多くの場合、これらの問題はココシカ!の掲載基準違反ではありませんが、情報の更新が求められる場合があります。
- ・広告行為: 本サービスの趣旨に反する投稿です。サービス広告、企業やアプリの宣伝、その他問題があると確認された投稿が該当します。
- ・その他: これらのカテゴリーに当てはまらない問題については、[その他] を選択し詳しい情報をご提供ください。
ココシカ!の情報、技術的な問題、医院ページのレビュー、掲載情報に関する問い合わせ、検索結果などに関する一般的な質問、これらの問題に関するお問い合わせは、サポートチームまでご連絡下さい。
| 診療科目 | 一般歯科、矯正歯科、小児矯正、ホワイトニング、インプラント、詰め物・被せ物、根管治療、顎関節症治療 |
|---|---|
| 自由診療 | ワイヤー矯正、マウスピース矯正、インプラント、根管治療、セラミック・ジルコニア、ブリッジ、顎関節症 |
| 住所 | 〒235-0023 神奈川県横浜市磯子区森1-11-4 パシフィック磯子マンション101 |
| アクセス | JR根岸線 磯子駅 西口より徒歩3分 |
| 診療時間 | 9:00~13:00 14:30~18:00 |
| 休診日 | 月曜 日曜 祝日 |
| 代表者 | 武内 清隆 |
※記載の内容は最新の情報と異なる場合がございます。正確な情報は歯科医院にご確認ください。
この歯科医院の他の症例
NEW CONTENT 新着コンテンツ
-
「第22回 一般社団法人 日本外傷歯学会・総会・学術大会」開幕、リハビリにフォーカスして歯の損失リスク軽減を目指す
2022.8.8 一般歯科
-
クラウド型歯科用レセコン「POWER5G」が口腔内シミュレーションサービス「DMFTシミュレーター」と提携
2022.6.28 予防歯科
-
豪発のブランド「ビーボックス」から歯固め発売、乳幼児でも持ちやすい設計に
2022.6.24 小児歯科
-
韓国発ライフスタイルケアブランド「ソルトレイン」日本初上陸、伊勢丹新宿でポップアップも
2022.6.22 その他
-
デントウェーブ運営の歯科衛生士向けコミュニティ「歯科衛生士のcoe」無料オンラインイベント開催
2022.3.2 その他
-
竹素材のオーガニック歯ブラシ、日本発サステナブランド「ミヨオーガニック」展開
2022.2.17 予防歯科
