- 虫歯
- 根管治療
- 詰め物・被せもの
- セラミック・ジルコニア
40代女性 歯根の炎症や虫歯を治療してセラミックや金属のインレーで噛み合わせを改善した症例
ご相談内容
「噛むたびに、右下奥歯に違和感がある」とご相談いただきました。
カウンセリング・診断結果
拝見したところ、右下奥歯(第2小臼歯)の歯根の先に、細菌感染による炎症「根尖(こんせん)病巣」が認められました。
詳しく検査をした結果、感染により歯根の先の骨が溶けていることもわかりました。
また、右下奥歯2本(第1大臼歯、第2大臼歯)には歯科用の白いプラスチック素材「コンポジットレジン」が詰められていましたが、歯ぎしりによって削れ、その下で虫歯が進行しています。
このまま放置すると、炎症がさらに広がって周囲の歯や骨に悪影響が及んだり、虫歯がさらに進行したりするおそれがあるため、早急に治療をする必要があると診断しました。
行ったご提案・治療内容
患者様には、以下の流れによる治療方法を提案し、同意いただきました。
1:精密根管治療
歯科用顕微鏡であるマイクロスコープを用いて、右下奥歯(第2小臼歯)の内部に侵入した細菌を除去する「精密根管治療」を行います。
メリット:肉眼で見えにくい部分まで確認しながら処置ができるため、保険診療の根管治療と比べて精度の高い治療ができる。再び炎症が生じるリスクを軽減できる
デメリット:自費診療なのでやや費用がかかる
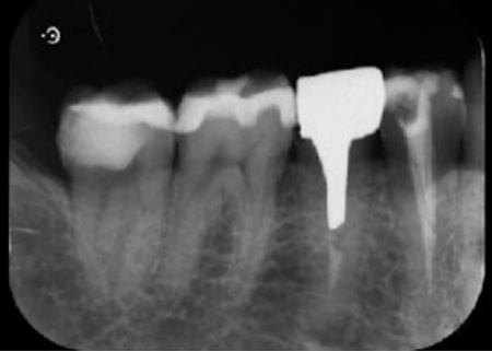
2:E-MAXクラウン
右下奥歯(第2小臼歯)は、精密根管治療後にセラミックの一種である「E-MAX」の被せ物を装着します。
メリット:天然歯のような色味を再現できる。適度な強度がある
デメリット:自費診療なので比較的費用がかかる
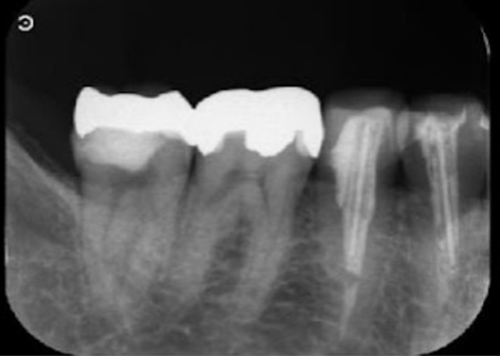
3:プラチナインレー
歯ぎしりの影響を受けやすい右下奥歯2本(第1大臼歯、第2大臼歯)には、金にプラチナを加えた「白金加金(はっきんかきん)」の詰め物である「プラチナインレー」を装着します。
メリット:歯との適合性が高く、虫歯が再発しにくい
デメリット:見た目が金属色なので、やや目立つ
まず、右下奥歯(第2小臼歯)の周囲に唾液や細菌の侵入を防ぐためのゴム製のシート「ラバーダム」を装着し、マイクロスコープで細かく確認しながら感染部位を丁寧に除去します。
根管内が清潔になったら、再び細菌が入り込まないようしっかりと薬を詰めました。
レントゲン撮影で根尖病巣の治癒を確認後、最終的な被せ物を作製するため、歯の形を整えてから型取りを行います。
また、右下奥歯2本(第1大臼歯、第2大臼歯)に詰められていたコンポジットレジンを取り除き、併せて虫歯も丁寧に除去します。
その後、歯の形を整えて型取りを行いました。
後日、完成したE-MAXクラウンとプラチナインレーを装着し、噛み合わせや見た目に問題がないことを確認して、治療を終了しています。
この治療のリスクについて
・まれに根管治療後も再治療、外科手術、抜歯などの処置が必要となる場合があります
・治療中まれに器具の破折、被せ物や詰め物など修復物の損傷、歯の破折が起こる場合があります
・治療中や治療後に不快症状が出たり、治療後に痛みや腫れなどが生じたりする可能性があります
・装着に際し、天然歯を削る場合があります
・硬い素材の場合、他の天然歯を傷つけることがあります
・一部の治療を除き、自費診療(保険適用外治療)です
- 年齢・性別 40代女性
- 診療種別 自由診療
- 治療期間の目安 3ヶ月
- 治療回数の目安 -
-
治療費総額の目安
約325,000円
(精密根管治療、E-MAXクラウン、プラチナインレー2本分)
※掲載された情報は治療の効果を保証するものではありません。
ご利用により万一何らかの損害が発生したとしても、当サイトは一切責任を負いかねますのでご了承ください。
画像をクリックすると拡大・詳細コメントを確認いただけます
問題を報告する
掲載内容に問題がありますか?
こちらのフォームではココシカ!利用規約に違反している可能性のある情報や、
その他の問題がある内容について直接報告することができます。
この機能は、詐欺、スパム、虚偽、不正確であると思われる情報を報告するためのものです。
報告すべき情報の例
- ・差別的または不快感を与えるもの: 性別、年齢、人種、宗教、身体的特徴などに基づく差別が見られるものはこちらに該当します。過度な出血など過激な表現など不適切な内容が含まれる場合も対象です。
- ・虚偽の情報: 何らかの根拠により虚偽が認められる情報が対象です。
- ・不正確な情報: 治療名やリスク、金額、医院情報などに不正確な内容が含まれるものです。多くの場合、これらの問題はココシカ!の掲載基準違反ではありませんが、情報の更新が求められる場合があります。
- ・広告行為: 本サービスの趣旨に反する投稿です。サービス広告、企業やアプリの宣伝、その他問題があると確認された投稿が該当します。
- ・その他: これらのカテゴリーに当てはまらない問題については、[その他] を選択し詳しい情報をご提供ください。
ココシカ!の情報、技術的な問題、医院ページのレビュー、掲載情報に関する問い合わせ、検索結果などに関する一般的な質問、これらの問題に関するお問い合わせは、サポートチームまでご連絡下さい。
| 診療科目 | 一般歯科、矯正歯科、小児矯正、ホワイトニング、インプラント、詰め物・被せ物、根管治療、顎関節症治療 |
|---|---|
| 自由診療 | ワイヤー矯正、マウスピース矯正、インプラント、根管治療、セラミック・ジルコニア、ブリッジ、顎関節症 |
| 住所 | 〒235-0023 神奈川県横浜市磯子区森1-11-4 パシフィック磯子マンション101 |
| アクセス | JR根岸線 磯子駅 西口より徒歩3分 |
| 診療時間 | 9:00~13:00 14:30~18:00 |
| 休診日 | 月曜 日曜 祝日 |
| 代表者 | 武内 清隆 |
※記載の内容は最新の情報と異なる場合がございます。正確な情報は歯科医院にご確認ください。
この歯科医院の他の症例
NEW CONTENT 新着コンテンツ
-
「第22回 一般社団法人 日本外傷歯学会・総会・学術大会」開幕、リハビリにフォーカスして歯の損失リスク軽減を目指す
2022.8.8 一般歯科
-
クラウド型歯科用レセコン「POWER5G」が口腔内シミュレーションサービス「DMFTシミュレーター」と提携
2022.6.28 予防歯科
-
豪発のブランド「ビーボックス」から歯固め発売、乳幼児でも持ちやすい設計に
2022.6.24 小児歯科
-
韓国発ライフスタイルケアブランド「ソルトレイン」日本初上陸、伊勢丹新宿でポップアップも
2022.6.22 その他
-
デントウェーブ運営の歯科衛生士向けコミュニティ「歯科衛生士のcoe」無料オンラインイベント開催
2022.3.2 その他
-
竹素材のオーガニック歯ブラシ、日本発サステナブランド「ミヨオーガニック」展開
2022.2.17 予防歯科
