- 根管治療
40代女性 歯ぐきが腫れた歯にマイクロスコープによる精密根管治療を施した症例
ご相談内容
「歯ぐきが腫れてきた」とご相談いただきました。
カウンセリング・診断結果
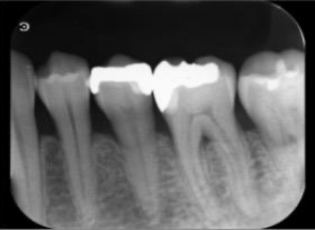
拝見したところ、歯ぐきが腫れてきた左下奥歯は過去に治療を受けられていました。
強い痛みはないものの、左下奥歯あたりに違和感が続いているとのことです。
レントゲンを撮影して詳しく調べたところ、歯の奥側の根の先端部分に骨が溶けたことで黒く透けて見える透過像が確認されました。
この透過像は歯の神経や血管が通る管「根管」の内部で細菌感染が起こり、根の先にまで炎症が広がっているサインです。
このような状態は強い痛みがない場合でも見られることがあり、気づかないうちに慢性的な炎症が進行しているケースも少なくありません。
今回の歯ぐきの腫れや違和感も、根の先にたまった膿が出口を求めて歯ぐきに現れたものと考えられます。
このまま放置すると、炎症が周囲の骨へと広がり最終的には歯を残すことが難しくなるおそれがあります。
以上のことから、感染した根管内を清掃する根管治療が必要と診断しました。
行ったご提案・治療内容
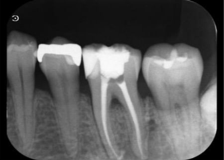
左下奥歯は根の数が多く構造も複雑なため、肉眼での治療では感染部位を十分に確認できず取り残しが生じる可能性があります。
そこで、視野を数倍から数十倍に拡大できる歯科用顕微鏡「マイクロスコープ」を用いた精密根管治療を提案し、同意いただきました。
精密根管治療は感染源の除去精度が高く、再発リスクを抑えられます。
一方で、自由診療のため費用が高額になったり、歯の状態によっては再治療や外科的処置が必要になったりする可能性があります。
併せて、治療中に唾液や細菌の侵入を防ぐためのゴム製の防湿シート「ラバーダム」を使用し、できるだけ無菌的な環境で処置を行うこともお伝えしました。
まず、既存の詰め物を除去したうえでラバーダムを装着し、治療する歯のみを隔離して清潔を保ちながら処置できる状態を整えます。
マイクロスコープを用いて根管の内部を確認したところ、この歯には4本の根管がありました。
それぞれの根管内の感染組織や汚れを専用器具で丁寧に除去し、薬液による洗浄と消毒を繰り返し行っています。
その後、清掃した根管内に薬剤を充填し根管内を密閉する根管充填を施しました。
今回使用する薬剤は、生体親和性が高く封鎖性にも優れたMTAセメントを採用しています。
最後に、治療後のレントゲンで4本すべての根管に充填材が緊密に行き渡っていること、処置部位に問題がないことを確認して、治療を終了しました。
この治療のリスクについて
・まれに根管治療後も再治療、外科手術、抜歯などの処置が必要となる場合があります
・治療中まれに器具の破折、被せ物や詰め物など修復物の損傷、歯の破折が起こる場合があります
・治療中や治療後に不快症状が出たり、治療後に痛みや腫れなどが生じたりする可能性があります
・一部の治療を除き、自費診療(保険適用外)です
- 年齢・性別 40代女性
- 診療種別 自由診療
- 治療期間の目安 約1ヶ月
- 治療回数の目安 -
-
治療費総額の目安
約80,000~約120,000円
(4根管の場合の目安)
※掲載された情報は治療の効果を保証するものではありません。
ご利用により万一何らかの損害が発生したとしても、当サイトは一切責任を負いかねますのでご了承ください。
画像をクリックすると拡大・詳細コメントを確認いただけます
-
武内歯科医院TEL:0457612300
-
武内歯科医院TEL:0457612300
-
武内歯科医院TEL:0457612300
-
武内歯科医院TEL:0457612300
-
武内歯科医院TEL:0457612300 -
武内歯科医院TEL:0457612300
-
武内歯科医院TEL:0457612300
-
武内歯科医院TEL:0457612300 -
武内歯科医院TEL:0457612300
問題を報告する
掲載内容に問題がありますか?
こちらのフォームではココシカ!利用規約に違反している可能性のある情報や、
その他の問題がある内容について直接報告することができます。
この機能は、詐欺、スパム、虚偽、不正確であると思われる情報を報告するためのものです。
報告すべき情報の例
- ・差別的または不快感を与えるもの: 性別、年齢、人種、宗教、身体的特徴などに基づく差別が見られるものはこちらに該当します。過度な出血など過激な表現など不適切な内容が含まれる場合も対象です。
- ・虚偽の情報: 何らかの根拠により虚偽が認められる情報が対象です。
- ・不正確な情報: 治療名やリスク、金額、医院情報などに不正確な内容が含まれるものです。多くの場合、これらの問題はココシカ!の掲載基準違反ではありませんが、情報の更新が求められる場合があります。
- ・広告行為: 本サービスの趣旨に反する投稿です。サービス広告、企業やアプリの宣伝、その他問題があると確認された投稿が該当します。
- ・その他: これらのカテゴリーに当てはまらない問題については、[その他] を選択し詳しい情報をご提供ください。
ココシカ!の情報、技術的な問題、医院ページのレビュー、掲載情報に関する問い合わせ、検索結果などに関する一般的な質問、これらの問題に関するお問い合わせは、サポートチームまでご連絡下さい。
| 診療科目 | 一般歯科、矯正歯科、小児矯正、ホワイトニング、インプラント、詰め物・被せ物、根管治療、顎関節症治療 |
|---|---|
| 自由診療 | ワイヤー矯正、マウスピース矯正、インプラント、根管治療、セラミック・ジルコニア、ブリッジ、顎関節症 |
| 住所 | 〒235-0023 神奈川県横浜市磯子区森1-11-4 パシフィック磯子マンション101 |
| アクセス | JR根岸線 磯子駅 西口より徒歩3分 |
| 診療時間 | 9:00~13:00 14:30~18:00 |
| 休診日 | 月曜 日曜 祝日 |
| 代表者 | 武内 清隆 |
※記載の内容は最新の情報と異なる場合がございます。正確な情報は歯科医院にご確認ください。
この歯科医院の他の症例
NEW CONTENT 新着コンテンツ
-
「第22回 一般社団法人 日本外傷歯学会・総会・学術大会」開幕、リハビリにフォーカスして歯の損失リスク軽減を目指す
2022.8.8 一般歯科
-
クラウド型歯科用レセコン「POWER5G」が口腔内シミュレーションサービス「DMFTシミュレーター」と提携
2022.6.28 予防歯科
-
豪発のブランド「ビーボックス」から歯固め発売、乳幼児でも持ちやすい設計に
2022.6.24 小児歯科
-
韓国発ライフスタイルケアブランド「ソルトレイン」日本初上陸、伊勢丹新宿でポップアップも
2022.6.22 その他
-
デントウェーブ運営の歯科衛生士向けコミュニティ「歯科衛生士のcoe」無料オンラインイベント開催
2022.3.2 その他
-
竹素材のオーガニック歯ブラシ、日本発サステナブランド「ミヨオーガニック」展開
2022.2.17 予防歯科
