- 歯牙移植・再植
- 根管治療
- 矯正歯科
- 部分矯正
- 詰め物・被せもの
- セラミック・ジルコニア
- 抜歯
- 親知らず
60代女性 割れた奥歯を抜いたあと親知らずを移植して噛み合わせを回復した症例
ご相談内容
「奥歯で噛むと痛い」とご相談いただきました。
カウンセリング・診断結果
拝見したところ、左下奥歯(第1大臼歯)が割れていることが判明しました。
割れた歯では噛む力を十分に受け止めることができないため、痛みが生じている状態です。
このまま放置すると痛みが増すだけでなく、周囲の歯茎に炎症が生じたり、隣の歯に過度な負担がかかったりするおそれがあります。
また、割れた部分から細菌が侵入し、感染を起こすリスクも高いと考えられます。
歯の温存も難しい状態だったため、割れた奥歯を抜いたうえで、欠損部を補う治療が必要だと診断しました。
行ったご提案・治療内容
患者様は「顎の骨に人工歯根を埋め込むインプラントではなく、できるだけ自分の歯で噛めるようにしたい」と希望されています。
そこで、左下の親知らず(第3大臼歯)を用いた歯の移植治療を提案し、同意いただきました。
歯の移植は、ご自身の歯を使用して歯と骨をつなぐ歯根膜を維持できるため、噛み心地が比較的自然になります。
その一方で、移植する歯の状態によっては、移植後十分に定着しないリスクがある点がデメリットです。
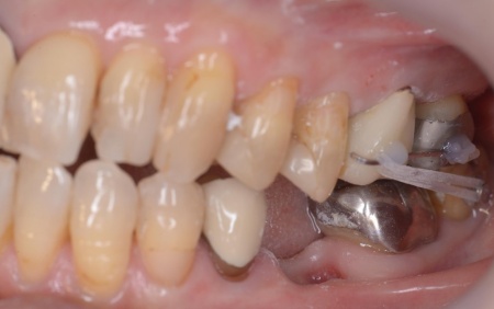
まず、移植に使用する左下の親知らずに対し、根管治療を行います。
根管治療とは、歯の内部にある神経や血管が通る管を清掃し、感染を防ぐための処置のことです。
次に、親知らずの歯根膜をできるだけ傷つけずに抜歯するため、事前に部分矯正(MTM)を行いました。
MTMとは特定の歯のみを動かす矯正治療で、抜歯しやすい状態を整え、移植の成功率を高めます。
MTMを行って抜歯の準備が整った段階で、割れていた左下奥歯を抜きます。
その後、左下の親知らずを歯根膜に配慮しながら慎重に抜き、左下奥歯の部位へ移植しました。
移植時には、歯根膜をできる限り温存することを重視しています。
移植後は歯を補強するため、歯の内部にグラスファイバー製の支柱である「ファイバーポスト」を入れました。
最後に、高い強度をもつ被せ物「セラミッククラウン」を装着し、噛み合わせと見た目に問題がないことを確認して、治療を終了しています。
この治療のリスクについて
・根管治療中や治療後に不快症状が出たり、治療後に痛みや腫れなどが生じたりする可能性があります
・治療中、装置によってまれに頬の内側が傷つき、口内炎になる場合があります
・持病をお持ちの方や、服用中のお薬の種類によっては、外科処置ができない場合があります
・外科処置後に腫れ、出血が生じる場合があります
・外科処置後に痛みが長引く場合があります。必要に応じ痛み止めを併用します
・外科処置後のメンテナンスを怠ると、良好な結果が得られない可能性があります
- 年齢・性別 60代女性
- 診療種別 自由診療
-
治療期間の目安
8ヶ月
(移植後の固定期間が3ヶ月あり) - 治療回数の目安 -
-
治療費総額の目安
約340,000円
(ファイバーポスト、セラミッククラウン、移植、MTM)
※掲載された情報は治療の効果を保証するものではありません。
ご利用により万一何らかの損害が発生したとしても、当サイトは一切責任を負いかねますのでご了承ください。
画像をクリックすると拡大・詳細コメントを確認いただけます
歯根膜をなるべく残して抜歯できるよう、親知らずにMTMを行いました。
問題を報告する
掲載内容に問題がありますか?
こちらのフォームではココシカ!利用規約に違反している可能性のある情報や、
その他の問題がある内容について直接報告することができます。
この機能は、詐欺、スパム、虚偽、不正確であると思われる情報を報告するためのものです。
報告すべき情報の例
- ・差別的または不快感を与えるもの: 性別、年齢、人種、宗教、身体的特徴などに基づく差別が見られるものはこちらに該当します。過度な出血など過激な表現など不適切な内容が含まれる場合も対象です。
- ・虚偽の情報: 何らかの根拠により虚偽が認められる情報が対象です。
- ・不正確な情報: 治療名やリスク、金額、医院情報などに不正確な内容が含まれるものです。多くの場合、これらの問題はココシカ!の掲載基準違反ではありませんが、情報の更新が求められる場合があります。
- ・広告行為: 本サービスの趣旨に反する投稿です。サービス広告、企業やアプリの宣伝、その他問題があると確認された投稿が該当します。
- ・その他: これらのカテゴリーに当てはまらない問題については、[その他] を選択し詳しい情報をご提供ください。
ココシカ!の情報、技術的な問題、医院ページのレビュー、掲載情報に関する問い合わせ、検索結果などに関する一般的な質問、これらの問題に関するお問い合わせは、サポートチームまでご連絡下さい。
| 診療科目 | 一般歯科、矯正歯科、小児矯正、ホワイトニング、インプラント、詰め物・被せ物、根管治療、顎関節症治療 |
|---|---|
| 自由診療 | ワイヤー矯正、マウスピース矯正、インプラント、根管治療、セラミック・ジルコニア、ブリッジ、顎関節症 |
| 住所 | 〒235-0023 神奈川県横浜市磯子区森1-11-4 パシフィック磯子マンション101 |
| アクセス | JR根岸線 磯子駅 西口より徒歩3分 |
| 診療時間 | 9:00~13:00 14:30~18:00 |
| 休診日 | 月曜 日曜 祝日 |
| 代表者 | 武内 清隆 |
※記載の内容は最新の情報と異なる場合がございます。正確な情報は歯科医院にご確認ください。
この歯科医院の他の症例
NEW CONTENT 新着コンテンツ
-
「第22回 一般社団法人 日本外傷歯学会・総会・学術大会」開幕、リハビリにフォーカスして歯の損失リスク軽減を目指す
2022.8.8 一般歯科
-
クラウド型歯科用レセコン「POWER5G」が口腔内シミュレーションサービス「DMFTシミュレーター」と提携
2022.6.28 予防歯科
-
豪発のブランド「ビーボックス」から歯固め発売、乳幼児でも持ちやすい設計に
2022.6.24 小児歯科
-
韓国発ライフスタイルケアブランド「ソルトレイン」日本初上陸、伊勢丹新宿でポップアップも
2022.6.22 その他
-
デントウェーブ運営の歯科衛生士向けコミュニティ「歯科衛生士のcoe」無料オンラインイベント開催
2022.3.2 その他
-
竹素材のオーガニック歯ブラシ、日本発サステナブランド「ミヨオーガニック」展開
2022.2.17 予防歯科
