- 根管治療
- ホワイトニング
60代女性 前歯の歯茎が腫れて膿が出ている部位に精密根管治療を行った症例
ご相談内容
「前歯の歯茎が腫れているので診てほしい」とご相談いただきました。
カウンセリング・診断結果
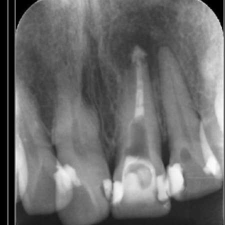
拝見したところ、左上前歯の歯茎には、膿が溜まったときにできる小さな出口「フィステル」が認められました。
これは、歯根の先にできた炎症や膿の袋「根尖病巣(こんせんびょうそう)」が原因で起こります。
左上前歯は、以前、細菌感染した神経を取り除いてから薬を詰める根管治療が行われていましたが、治療後も細菌が残り、膿が溜まっている状態です。
このまま放置すると、炎症が広がって周囲の骨が溶けてしまうリスクがあるため、再度根管治療を行う必要があると診断しました。
行ったご提案・治療内容
患者様は「自分の歯をできるだけ残したい」と希望されています。
そのため、顕微鏡を使って細かい部分まで確認しながら行う「マイクロ精密根管治療」による再治療を提案しました。
マイクロ精密根管治療は細菌をより高い精度で除去できる一方、通常の根管治療よりも費用がかかり、治療時間が長くなるのがデメリットです。
また、患者様は歯の色がやや黄ばんでいる点も気になるとのことでした。
そのため、マイクロ精密根管治療後に根尖病巣が治癒したら、歯の内部に薬剤を入れて徐々に色を明るくする「ウォーキングブリーチ」を行い、変色した歯の色を改善していく方法も併せてお伝えしました。
ウォーキングブリーチは、希望の白さに到達するまで複数回の処置が必要になるものの、歯を削らずに歯の色味を改善することが可能です。
以上の計画を丁寧にお伝えし、治療に同意いただきました。
まず、マイクロ精密根管治療による再根管治療を1回実施し、炎症や根尖病巣が治癒するまで経過観察を行います。
約2ヶ月後、根尖病巣の治癒が確認できたため、ウォーキングブリーチを3回行って変色していた歯の色を自然な状態に近づけました。
また根管治療で歯の内部をきれいにした際、感染した神経を除去しているため、歯の中が空洞に近い状態です。
このままだと、割れやすく、欠けやすくなるので、歯を内側から支える役割がある「ポスト」を歯の内部に1回入れて、強度を高めています。
患者様には、以上の治療で計5回通院いただきました。
最終的に、歯や歯茎が改善したことが確認できたため、治療を終了しています。
この治療のリスクについて
・まれに根管治療後も再治療、外科手術、抜歯などの処置が必要となる場合があります
・治療中まれに器具の破折、被せ物や詰め物など修復物の損傷、歯の破折が起こる場合があります
・治療中や治療後に不快症状が出たり、治療後に痛みや腫れなどが生じたりする可能性があります
・得られる効果は歯の質により様々です。予定通りの白さに達しない場合もあります
・ウォーキングブリーチの効果は永久ではありません。個人差はありますが、色の後戻りが起こる場合があります
・まれに歯の根やその周りの骨が溶ける「外部吸収」が起こる場合があります
- 年齢・性別 60代女性
- 診療種別 自由診療
- 治療期間の目安 4ヶ月
- 治療回数の目安 5回
- 治療費総額の目安 73,700円
※掲載された情報は治療の効果を保証するものではありません。
ご利用により万一何らかの損害が発生したとしても、当サイトは一切責任を負いかねますのでご了承ください。
画像をクリックすると拡大・詳細コメントを確認いただけます
問題を報告する
掲載内容に問題がありますか?
こちらのフォームではココシカ!利用規約に違反している可能性のある情報や、
その他の問題がある内容について直接報告することができます。
この機能は、詐欺、スパム、虚偽、不正確であると思われる情報を報告するためのものです。
報告すべき情報の例
- ・差別的または不快感を与えるもの: 性別、年齢、人種、宗教、身体的特徴などに基づく差別が見られるものはこちらに該当します。過度な出血など過激な表現など不適切な内容が含まれる場合も対象です。
- ・虚偽の情報: 何らかの根拠により虚偽が認められる情報が対象です。
- ・不正確な情報: 治療名やリスク、金額、医院情報などに不正確な内容が含まれるものです。多くの場合、これらの問題はココシカ!の掲載基準違反ではありませんが、情報の更新が求められる場合があります。
- ・広告行為: 本サービスの趣旨に反する投稿です。サービス広告、企業やアプリの宣伝、その他問題があると確認された投稿が該当します。
- ・その他: これらのカテゴリーに当てはまらない問題については、[その他] を選択し詳しい情報をご提供ください。
ココシカ!の情報、技術的な問題、医院ページのレビュー、掲載情報に関する問い合わせ、検索結果などに関する一般的な質問、これらの問題に関するお問い合わせは、サポートチームまでご連絡下さい。
| 診療科目 | 一般歯科、矯正歯科、小児矯正、ホワイトニング、インプラント、詰め物・被せ物、根管治療、顎関節症治療 |
|---|---|
| 自由診療 | ワイヤー矯正、マウスピース矯正、インプラント、根管治療、セラミック・ジルコニア、ブリッジ、顎関節症 |
| 住所 | 〒235-0023 神奈川県横浜市磯子区森1-11-4 パシフィック磯子マンション101 |
| アクセス | JR根岸線 磯子駅 西口より徒歩3分 |
| 診療時間 | 9:00~13:00 14:30~18:00 |
| 休診日 | 月曜 日曜 祝日 |
| 代表者 | 武内 清隆 |
※記載の内容は最新の情報と異なる場合がございます。正確な情報は歯科医院にご確認ください。
この歯科医院の他の症例
NEW CONTENT 新着コンテンツ
-
「第22回 一般社団法人 日本外傷歯学会・総会・学術大会」開幕、リハビリにフォーカスして歯の損失リスク軽減を目指す
2022.8.8 一般歯科
-
クラウド型歯科用レセコン「POWER5G」が口腔内シミュレーションサービス「DMFTシミュレーター」と提携
2022.6.28 予防歯科
-
豪発のブランド「ビーボックス」から歯固め発売、乳幼児でも持ちやすい設計に
2022.6.24 小児歯科
-
韓国発ライフスタイルケアブランド「ソルトレイン」日本初上陸、伊勢丹新宿でポップアップも
2022.6.22 その他
-
デントウェーブ運営の歯科衛生士向けコミュニティ「歯科衛生士のcoe」無料オンラインイベント開催
2022.3.2 その他
-
竹素材のオーガニック歯ブラシ、日本発サステナブランド「ミヨオーガニック」展開
2022.2.17 予防歯科
