- 矯正歯科
- ワイヤー矯正
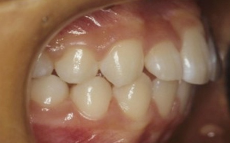
10代女性 乱れた歯並びと噛み合わせをワイヤー矯正で改善した症例
ご相談内容
「歯並びが悪い。とくに八重歯が気になる」とご相談いただきました。
カウンセリング・診断結果
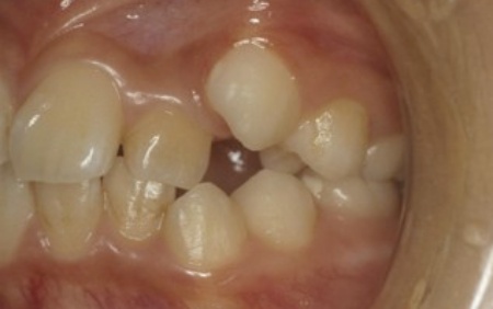
拝見したところ、上下の前歯を中心に、歯が正常な位置からずれたりねじれたりしてデコボコに生えている状態でした。
歯並びが乱れていると見た目に悪影響が出るだけでなく、歯ブラシが当たりにくい部分に磨き残しが増え、虫歯や歯周病のリスクが高まる傾向があります。
以上のことから、歯並びを改善する必要があると診断しました。
行ったご提案・治療内容
歯並びと噛み合わせを改善するために「ワイヤー矯正」を提案し、同意いただきました。
ワイヤー矯正とは、歯の表面にブラケットと呼ばれる四角い装置を接着し、そこにワイヤーを通して歯を動かす方法のことです。
メリット
・多くの症例に対応できる
・歯の動きを細かく調整したり、効率的に動かしたりできる
デメリット
・矯正装置が目立ちやすい
・取り外しができないため、歯磨きがしにくい
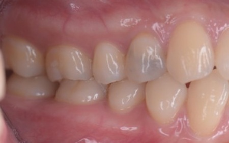
まずはワイヤーを装着し、時間をかけて歯の移動を行います。
ワイヤー矯正では、治療の際に歯を動かすスペースを確保するために抜歯をするケースもありますが、患者様の場合は抜歯を行わずに治療を行うことができました。
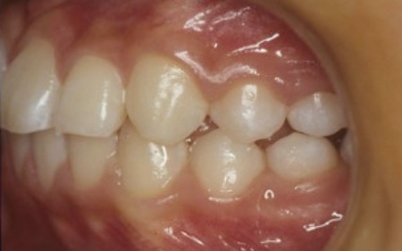
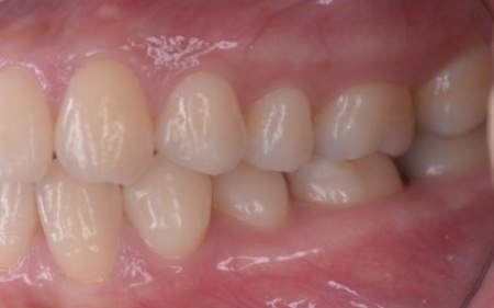
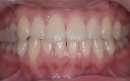
矯正治療終了後は、歯が元の位置に戻ろうとする後戻りを起こすリスクがありますが、治療後15年たった現在も後戻りすることなく、正しい歯並びを維持しています。
この治療のリスクについて
・治療中、発音しにくい場合があります
・治療中、舌が動かしにくいことがあります
・治療中、装置によってまれに頬の内側が傷つき、口内炎になる場合があります
・歯の移動に伴って、違和感や痛みを感じる場合があります
・冷たいものを飲んだときに歯がしみる「知覚過敏」の症状が出る場合があります
・正しいブラッシングやメンテナンスを行わない場合、虫歯や歯周病のリスクが高まります
- 年齢・性別 10代女性
- 診療種別 自由診療
- 治療期間の目安 1年6ヶ月
- 治療回数の目安 -
- 治療費総額の目安 770,000円
※掲載された情報は治療の効果を保証するものではありません。
ご利用により万一何らかの損害が発生したとしても、当サイトは一切責任を負いかねますのでご了承ください。
画像をクリックすると拡大・詳細コメントを確認いただけます
-
武内歯科医院TEL:0457612300
-
武内歯科医院TEL:0457612300 -
武内歯科医院TEL:0457612300
-
武内歯科医院TEL:0457612300
-
武内歯科医院TEL:0457612300 -
武内歯科医院TEL:0457612300
画像をクリックすると拡大・詳細コメントを確認いただけます
15年後の様子
問題を報告する
掲載内容に問題がありますか?
こちらのフォームではココシカ!利用規約に違反している可能性のある情報や、
その他の問題がある内容について直接報告することができます。
この機能は、詐欺、スパム、虚偽、不正確であると思われる情報を報告するためのものです。
報告すべき情報の例
- ・差別的または不快感を与えるもの: 性別、年齢、人種、宗教、身体的特徴などに基づく差別が見られるものはこちらに該当します。過度な出血など過激な表現など不適切な内容が含まれる場合も対象です。
- ・虚偽の情報: 何らかの根拠により虚偽が認められる情報が対象です。
- ・不正確な情報: 治療名やリスク、金額、医院情報などに不正確な内容が含まれるものです。多くの場合、これらの問題はココシカ!の掲載基準違反ではありませんが、情報の更新が求められる場合があります。
- ・広告行為: 本サービスの趣旨に反する投稿です。サービス広告、企業やアプリの宣伝、その他問題があると確認された投稿が該当します。
- ・その他: これらのカテゴリーに当てはまらない問題については、[その他] を選択し詳しい情報をご提供ください。
ココシカ!の情報、技術的な問題、医院ページのレビュー、掲載情報に関する問い合わせ、検索結果などに関する一般的な質問、これらの問題に関するお問い合わせは、サポートチームまでご連絡下さい。
| 診療科目 | 一般歯科、矯正歯科、小児矯正、ホワイトニング、インプラント、詰め物・被せ物、根管治療、顎関節症治療 |
|---|---|
| 自由診療 | ワイヤー矯正、マウスピース矯正、インプラント、根管治療、セラミック・ジルコニア、ブリッジ、顎関節症 |
| 住所 | 〒235-0023 神奈川県横浜市磯子区森1-11-4 パシフィック磯子マンション101 |
| アクセス | JR根岸線 磯子駅 西口より徒歩3分 |
| 診療時間 | 9:00~13:00 14:30~18:00 |
| 休診日 | 月曜 日曜 祝日 |
| 代表者 | 武内 清隆 |
※記載の内容は最新の情報と異なる場合がございます。正確な情報は歯科医院にご確認ください。
この歯科医院の他の症例
NEW CONTENT 新着コンテンツ
-
「第22回 一般社団法人 日本外傷歯学会・総会・学術大会」開幕、リハビリにフォーカスして歯の損失リスク軽減を目指す
2022.8.8 一般歯科
-
クラウド型歯科用レセコン「POWER5G」が口腔内シミュレーションサービス「DMFTシミュレーター」と提携
2022.6.28 予防歯科
-
豪発のブランド「ビーボックス」から歯固め発売、乳幼児でも持ちやすい設計に
2022.6.24 小児歯科
-
韓国発ライフスタイルケアブランド「ソルトレイン」日本初上陸、伊勢丹新宿でポップアップも
2022.6.22 その他
-
デントウェーブ運営の歯科衛生士向けコミュニティ「歯科衛生士のcoe」無料オンラインイベント開催
2022.3.2 その他
-
竹素材のオーガニック歯ブラシ、日本発サステナブランド「ミヨオーガニック」展開
2022.2.17 予防歯科
