- 根管治療
30代女性 歯ぐきにできものができた歯に精密根管治療を行った症例
ご相談内容
「歯ぐきにニキビみたいなものができている」とご相談いただきました。
カウンセリング・診断結果
拝見したところ、右上前歯の歯ぐきにニキビのような膨らみができていました。
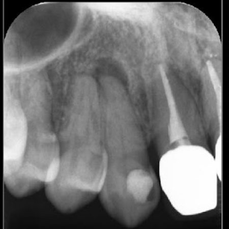
レントゲン検査を行った結果、右上前歯の歯根の先端に膿が溜まる根尖(こんせん)病巣が確認できました。
歯ぐきにできた膨らみはフィステルと呼ばれ、歯や周囲の組織に感染が広がった際に膿を体外に排出するために自然に形成される通り道です。
歯ぐきに白く膨らんだできものとして現れ、見た目はニキビに似ていますが、これは内部に感染が潜んでいるサインとされています。
感染の拡大を防ぎ歯を温存するためには、歯根の内部に入り込んだ細菌を徹底的に除去し清掃・消毒を行う根管治療が必要と診断しました。
行ったご提案・治療内容
歯科用顕微鏡(マイクロスコープ)を用いて根の内部を清掃する精密根管治療を提案し、同意いただきました。
精密根管治療のメリット・デメリット
メリット:肉眼では見えにくい部分まで正確に確認しながら処置できるため、保険診療の根管治療に比べて精度の高い治療が可能となり、再び炎症を起こすリスクを軽減できる
デメリット:自費診療のため費用がかかる
まず、唾液や細菌の侵入を防ぐため治療する歯にラバーダム(ゴム製のシート)を装着しました。これにより、清潔な環境を保ったまま精密な処置ができます。
続いて歯の裏側から穴を開け、そこから歯根内部をマイクロスコープで確認しながら感染部位を丁寧に除去し、洗浄・消毒しました。
歯根の内部が清潔になったことを確認したうえで、再び細菌が入り込まないよう薬剤で密閉しています。
最後にフィステルが消失していることが確認できたため、治療を終了しました。
この治療のリスクについて
・まれに根管治療後も再治療、外科手術、抜歯などの処置が必要となる場合があります
・治療中まれに器具の破折、被せ物や詰め物など修復物の損傷、歯の破折が起こる場合があります
・治療中や治療後に不快症状が出たり、治療後に痛みや腫れなどが生じたりする可能性があります
・一部の治療を除き、自費診療(保険適用外)です
- 年齢・性別 30代女性
- 診療種別 自由診療
- 治療期間の目安 -
- 治療回数の目安 2回
- 治療費総額の目安 44,000円
※掲載された情報は治療の効果を保証するものではありません。
ご利用により万一何らかの損害が発生したとしても、当サイトは一切責任を負いかねますのでご了承ください。
画像をクリックすると拡大・詳細コメントを確認いただけます
問題を報告する
掲載内容に問題がありますか?
こちらのフォームではココシカ!利用規約に違反している可能性のある情報や、
その他の問題がある内容について直接報告することができます。
この機能は、詐欺、スパム、虚偽、不正確であると思われる情報を報告するためのものです。
報告すべき情報の例
- ・差別的または不快感を与えるもの: 性別、年齢、人種、宗教、身体的特徴などに基づく差別が見られるものはこちらに該当します。過度な出血など過激な表現など不適切な内容が含まれる場合も対象です。
- ・虚偽の情報: 何らかの根拠により虚偽が認められる情報が対象です。
- ・不正確な情報: 治療名やリスク、金額、医院情報などに不正確な内容が含まれるものです。多くの場合、これらの問題はココシカ!の掲載基準違反ではありませんが、情報の更新が求められる場合があります。
- ・広告行為: 本サービスの趣旨に反する投稿です。サービス広告、企業やアプリの宣伝、その他問題があると確認された投稿が該当します。
- ・その他: これらのカテゴリーに当てはまらない問題については、[その他] を選択し詳しい情報をご提供ください。
ココシカ!の情報、技術的な問題、医院ページのレビュー、掲載情報に関する問い合わせ、検索結果などに関する一般的な質問、これらの問題に関するお問い合わせは、サポートチームまでご連絡下さい。
| 診療科目 | 一般歯科、矯正歯科、小児矯正、ホワイトニング、インプラント、詰め物・被せ物、根管治療、顎関節症治療 |
|---|---|
| 自由診療 | ワイヤー矯正、マウスピース矯正、インプラント、根管治療、セラミック・ジルコニア、ブリッジ、顎関節症 |
| 住所 | 〒235-0023 神奈川県横浜市磯子区森1-11-4 パシフィック磯子マンション101 |
| アクセス | JR根岸線 磯子駅 西口より徒歩3分 |
| 診療時間 | 9:00~13:00 14:30~18:00 |
| 休診日 | 月曜 日曜 祝日 |
| 代表者 | 武内 清隆 |
※記載の内容は最新の情報と異なる場合がございます。正確な情報は歯科医院にご確認ください。
この歯科医院の他の症例
NEW CONTENT 新着コンテンツ
-
「第22回 一般社団法人 日本外傷歯学会・総会・学術大会」開幕、リハビリにフォーカスして歯の損失リスク軽減を目指す
2022.8.8 一般歯科
-
クラウド型歯科用レセコン「POWER5G」が口腔内シミュレーションサービス「DMFTシミュレーター」と提携
2022.6.28 予防歯科
-
豪発のブランド「ビーボックス」から歯固め発売、乳幼児でも持ちやすい設計に
2022.6.24 小児歯科
-
韓国発ライフスタイルケアブランド「ソルトレイン」日本初上陸、伊勢丹新宿でポップアップも
2022.6.22 その他
-
デントウェーブ運営の歯科衛生士向けコミュニティ「歯科衛生士のcoe」無料オンラインイベント開催
2022.3.2 その他
-
竹素材のオーガニック歯ブラシ、日本発サステナブランド「ミヨオーガニック」展開
2022.2.17 予防歯科
