- 虫歯
- 骨再生
- 歯周外科
- 歯周病
- 詰め物・被せもの
- セラミック・ジルコニア
- インプラント
- 歯科口腔外科
- 抜歯
- 再生医療
60代女性 重度の歯周病に対して歯周組織再生療法とインプラント治療を施した例
ご相談内容
「左右の奥歯がグラグラしていて、固いものが噛みにくい」とご相談いただきました。
カウンセリング・診断結果
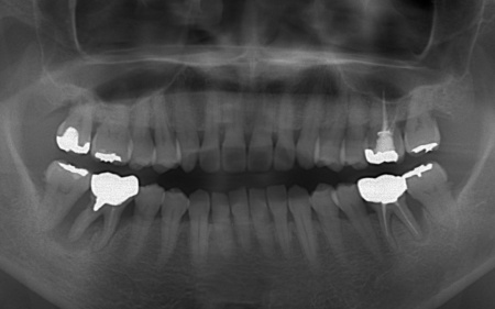
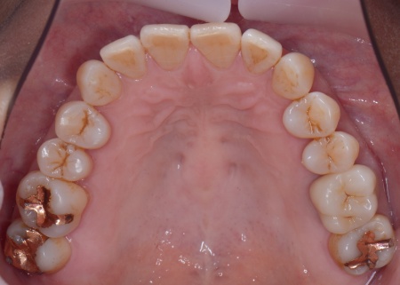
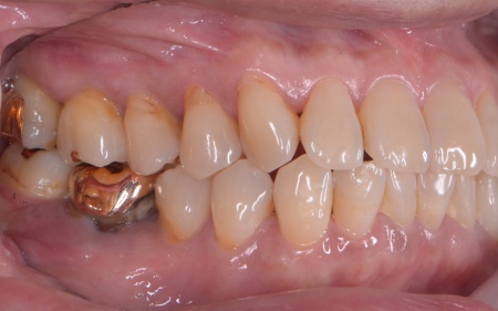
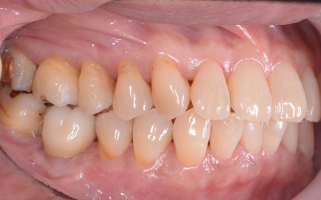
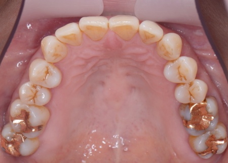
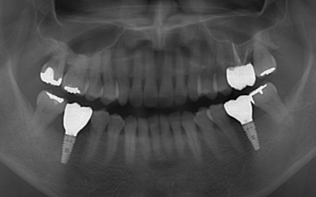
拝見したところ、上下左右の奥歯計8本(第1大臼歯、第2大臼歯)に重度の歯周病が認められました。
歯周病は歯を支えている骨や歯ぐきに炎症が起こる病気です。進行すると歯がぐらついたり、噛む力が弱くなったりします。
さらに悪化すると歯を失う可能性が高くなるだけでなく、周囲の歯にも影響が広がることがあります。
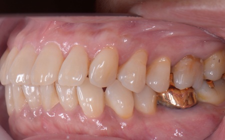
特に下の奥歯2本(左右第1大臼歯)は歯を支えている骨が著しく減少して歯が大きく揺れており、治療して温存することは難しい状態でした。
また、左上の奥歯(第1大臼歯)は過去に詰め物で治療されていましたが、その下で虫歯が再発しています。
以上のことから、下左右の第1大臼歯は抜歯後に歯を補う治療、その他奥歯の治療、再発した虫歯の治療が必要と診断しました。
行ったご提案・治療内容
診断結果を踏まえ、まず下左右の第1大臼歯については抜歯したあとにインプラントで補う方法を提案しました。
インプラント治療は、周囲の歯を削ることなく失った歯の部分のみを単独で補うことができます。
ただし、外科手術が必要となり治療期間が比較的長くなる点がデメリットです。
次に歯周病が認められるその他の奥歯については、歯周組織再生療法を行いできるだけ歯を抜かずに残す方法を提案しました。
歯周組織再生療法とは、専用の材料を用いて歯周病によって失われた骨や歯ぐきの再生を促す外科的な治療です。
進行した歯周病の歯でも温存できる可能性がありますが、外科処置が必要で歯周病の進行状態によっては適応できない場合もあります。
さらに虫歯が再発していた左上奥歯については、虫歯をしっかりと取り除いたうえで被せ物による修復治療を提案しました。
今回はセラミック製の被せ物「ジルコニアクラウン」を使用する方法をおすすめしています。
ジルコニアは人工ダイヤモンドにも用いられる素材で、自費診療ですが虫歯の再発リスクが低く自然な見た目を再現できます。
それぞれのメリット・デメリットを丁寧に説明したところ、治療計画に同意いただきました。
併せて外科処置を行う前に、歯周病の進行を抑えるための歯周基本治療を行う必要があることも説明しました。
歯周基本治療では、歯石や細菌のかたまりであるプラークを取り除く処置や歯みがき方法の確認と指導などを行い、お口の中の衛生状態を整えます。
まず、歯周基本治療から開始しました。
その後、状態を確認しながら外科処置を段階的に進めます。
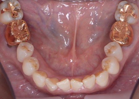
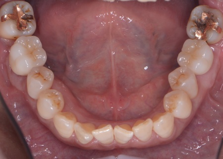
下左右の第1大臼歯を抜歯し、その部位にインプラントを埋め込む手術を行いました。同時に、インプラントの隣にある下の第2大臼歯に対して歯周組織再生療法を施しています。
さらにインプラントの周囲には角化歯肉移植を行いました。これは患者様のお口の中から歯ぐきを採取して移植する方法で、汚れが溜まりにくく清掃しやすい歯ぐきの状態をつくります。
上左右の奥歯についても歯周組織再生療法を行い、歯をできるだけ残せるよう治療を進めました。
また、左上の奥歯は虫歯を取り除いたあと、歯の形を整えて型取りを行い、最終的にジルコニアクラウンを装着しています。
段階的に治療を進め、すべての治療を終了しました。
この治療のリスクについて
・外科手術のため、術後に痛みや腫れ、違和感を伴います
・メンテナンスを怠ったり、喫煙したりすると、お口の中に大きな悪影響を及ぼし、インプラント周囲炎等にかかる可能性があります
・糖尿病、肝硬変、心臓病などの持病をお持ちの場合、インプラント治療ができない可能性があります
・高血圧、貧血・不整脈などの持病をお持ちの場合、インプラント治療後に治癒不全を招く可能性があります
・治療後に正しい歯磨きやメンテナンスを怠ると、虫歯や歯周病が再発する場合があります
・噛み合わせや歯ぎしりが強い場合、セラミックが割れる可能性があります
- 年齢・性別 60代女性
- 診療種別 自由診療
- 治療期間の目安 約1年2ヶ月
- 治療回数の目安 -
-
治療費総額の目安
約1,930,000円
【内訳】
歯周組織再生療法4ヶ所、インプラント2本、角化歯肉移植、ジルコニアクラウン
※掲載された情報は治療の効果を保証するものではありません。
ご利用により万一何らかの損害が発生したとしても、当サイトは一切責任を負いかねますのでご了承ください。
画像をクリックすると拡大・詳細コメントを確認いただけます
-
大塚歯科TEL:0359038467
-
大塚歯科TEL:0359038467
-
大塚歯科TEL:0359038467
-
大塚歯科TEL:0359038467
-
大塚歯科TEL:0359038467
-
大塚歯科TEL:0359038467
-
大塚歯科TEL:0359038467
-
大塚歯科TEL:0359038467
-
大塚歯科TEL:0359038467
-
大塚歯科TEL:0359038467
-
大塚歯科TEL:0359038467
-
大塚歯科TEL:0359038467
-
大塚歯科TEL:0359038467
-
大塚歯科TEL:0359038467 -
大塚歯科TEL:0359038467
-
大塚歯科TEL:0359038467
-
大塚歯科TEL:0359038467 -
大塚歯科TEL:0359038467
問題を報告する
掲載内容に問題がありますか?
こちらのフォームではココシカ!利用規約に違反している可能性のある情報や、
その他の問題がある内容について直接報告することができます。
この機能は、詐欺、スパム、虚偽、不正確であると思われる情報を報告するためのものです。
報告すべき情報の例
- ・差別的または不快感を与えるもの: 性別、年齢、人種、宗教、身体的特徴などに基づく差別が見られるものはこちらに該当します。過度な出血など過激な表現など不適切な内容が含まれる場合も対象です。
- ・虚偽の情報: 何らかの根拠により虚偽が認められる情報が対象です。
- ・不正確な情報: 治療名やリスク、金額、医院情報などに不正確な内容が含まれるものです。多くの場合、これらの問題はココシカ!の掲載基準違反ではありませんが、情報の更新が求められる場合があります。
- ・広告行為: 本サービスの趣旨に反する投稿です。サービス広告、企業やアプリの宣伝、その他問題があると確認された投稿が該当します。
- ・その他: これらのカテゴリーに当てはまらない問題については、[その他] を選択し詳しい情報をご提供ください。
ココシカ!の情報、技術的な問題、医院ページのレビュー、掲載情報に関する問い合わせ、検索結果などに関する一般的な質問、これらの問題に関するお問い合わせは、サポートチームまでご連絡下さい。
| 住所 | 〒177-0044 東京都練馬区上石神井4-7-27 |
|---|---|
| 診療時間 | 9:30~13:00 14:30~19:00 |
| 休診日 | 日曜 祝日 |
| 代表者 | 大塚 正行 |
※記載の内容は最新の情報と異なる場合がございます。正確な情報は歯科医院にご確認ください。
この歯科医院の他の症例
NEW CONTENT 新着コンテンツ
-
「第22回 一般社団法人 日本外傷歯学会・総会・学術大会」開幕、リハビリにフォーカスして歯の損失リスク軽減を目指す
2022.8.8 一般歯科
-
クラウド型歯科用レセコン「POWER5G」が口腔内シミュレーションサービス「DMFTシミュレーター」と提携
2022.6.28 予防歯科
-
豪発のブランド「ビーボックス」から歯固め発売、乳幼児でも持ちやすい設計に
2022.6.24 小児歯科
-
韓国発ライフスタイルケアブランド「ソルトレイン」日本初上陸、伊勢丹新宿でポップアップも
2022.6.22 その他
-
デントウェーブ運営の歯科衛生士向けコミュニティ「歯科衛生士のcoe」無料オンラインイベント開催
2022.3.2 その他
-
竹素材のオーガニック歯ブラシ、日本発サステナブランド「ミヨオーガニック」展開
2022.2.17 予防歯科
