- 矯正歯科
- 詰め物・被せもの
- セラミック・ジルコニア
40代女性 矯正治療で噛み合わせを整えたあとセラミックの被せ物・詰め物で修復した症例
ご相談内容
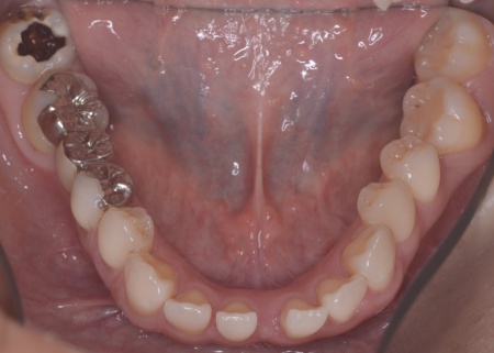
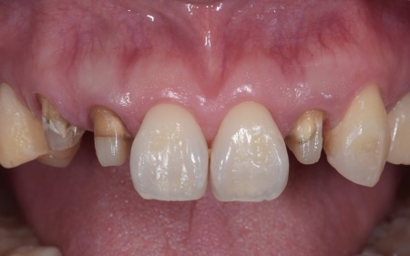
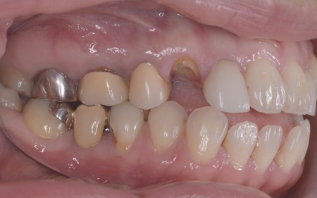
「左下の奥歯が欠けたのと、右上の差し歯が取れた」とご相談いただきました。
カウンセリング・診断結果
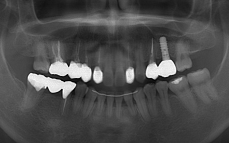
拝見したところ、左下と右上の歯はともに大きな虫歯があり、歯だけでなく被せ物を支える土台の部分にも影響が及んでいました。
さらに、ほかの歯に入っている詰め物や被せ物の周囲にも、過去に治療した部分に再び虫歯ができる二次カリエスが複数見つかりました。
二次カリエスは、修復物の経年劣化やわずかに生じた隙間から細菌が入り込むことで起こる場合があります。
また、噛み合わせを確認したところ、奥歯で噛み合わせた際に上下の前歯が当たらず隙間ができる開咬(かいこう)が認められました。
開咬は前歯で食べ物を噛み切りにくくなるだけでなく、噛む力のバランスが崩れて奥歯に負担が集中しやすくなります。
実際に患者様の場合も、特定の歯に長期間強い力がかかり続けたことで歯や修復物の破損、さらには口腔内全体のトラブルにつながった可能性が高いと考えられました。
修復治療が必要でしたがこの噛み合わせの問題を改善しないまま行うと、治療した歯に再び過度な力が加わって被せ物の破損・脱離や虫歯の再発を招くリスクが高まります。
そのため、噛み合わせを含めた治療が必要と診断しました。
行ったご提案・治療内容
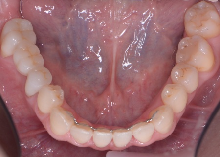
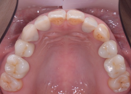
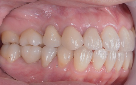
まずは矯正治療を優先し、噛み合わせが整ってから虫歯の再発リスクの低いセラミックの被せ物・詰め物などで歯の形態と機能を回復する方針を提案し、同意いただきました。
矯正治療については、専門的な診断と管理が必要と判断したため専門の矯正歯科医院をご紹介し、他院にて実施していただきました。
矯正治療終了後、改めてお口の中を確認したうえで、歯の状態に合わせ虫歯の除去や土台の修復を丁寧に行い、精密な型取りを実施しています。
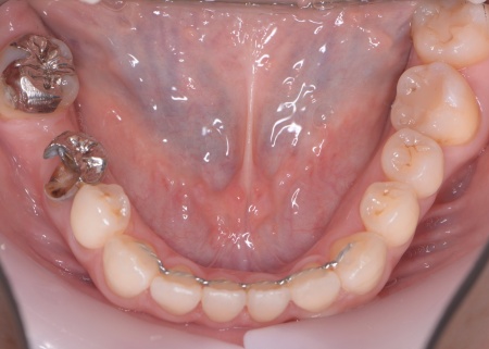
なお、左上の奥歯には人工歯根を埋め込んで失った歯を補うインプラントが装着されていたものの、人工歯根の位置や骨との結合状態に問題はありませんでした。
そのため、人工歯根部分はそのまま活用し上部に装着する人工歯のみを新しく作製しています。
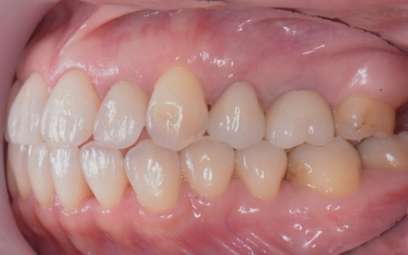
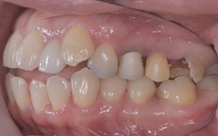
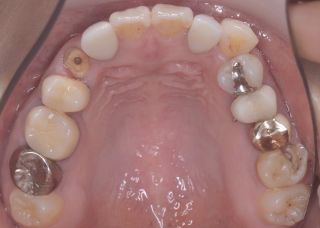
最後に噛み合わせ全体のバランスを確認しながら新しく作製した被せ物や詰め物を装着し、見た目に問題がないか、噛み合わせが安定しているかを確認し、治療を終了しました。
この治療のリスクについて
・装着に際し、天然歯を削る場合があります
・硬い素材の場合、他の天然歯を傷つけることがあります
・噛み合わせや歯ぎしりが強い場合、セラミックが割れる可能性があります
・一部の治療を除き、自費診療(保険適用外治療)です
- 年齢・性別 40代女性
- 診療種別 自由診療
-
治療期間の目安
約3年半
(矯正治療約2年半) - 治療回数の目安 -
-
治療費総額の目安
約1,600,000円
(矯正治療を除く)
※掲載された情報は治療の効果を保証するものではありません。
ご利用により万一何らかの損害が発生したとしても、当サイトは一切責任を負いかねますのでご了承ください。
画像をクリックすると拡大・詳細コメントを確認いただけます
-
大塚歯科TEL:0359038467
-
大塚歯科TEL:0359038467
-
大塚歯科TEL:0359038467
-
大塚歯科TEL:0359038467
-
大塚歯科TEL:0359038467
-
大塚歯科TEL:0359038467
-
大塚歯科TEL:0359038467
-
大塚歯科TEL:0359038467
-
大塚歯科TEL:0359038467
-
大塚歯科TEL:0359038467
-
大塚歯科TEL:0359038467
-
大塚歯科TEL:0359038467
-
大塚歯科TEL:0359038467
-
大塚歯科TEL:0359038467 -
大塚歯科TEL:0359038467
-
大塚歯科TEL:0359038467
-
大塚歯科TEL:0359038467 -
大塚歯科TEL:0359038467
問題を報告する
掲載内容に問題がありますか?
こちらのフォームではココシカ!利用規約に違反している可能性のある情報や、
その他の問題がある内容について直接報告することができます。
この機能は、詐欺、スパム、虚偽、不正確であると思われる情報を報告するためのものです。
報告すべき情報の例
- ・差別的または不快感を与えるもの: 性別、年齢、人種、宗教、身体的特徴などに基づく差別が見られるものはこちらに該当します。過度な出血など過激な表現など不適切な内容が含まれる場合も対象です。
- ・虚偽の情報: 何らかの根拠により虚偽が認められる情報が対象です。
- ・不正確な情報: 治療名やリスク、金額、医院情報などに不正確な内容が含まれるものです。多くの場合、これらの問題はココシカ!の掲載基準違反ではありませんが、情報の更新が求められる場合があります。
- ・広告行為: 本サービスの趣旨に反する投稿です。サービス広告、企業やアプリの宣伝、その他問題があると確認された投稿が該当します。
- ・その他: これらのカテゴリーに当てはまらない問題については、[その他] を選択し詳しい情報をご提供ください。
ココシカ!の情報、技術的な問題、医院ページのレビュー、掲載情報に関する問い合わせ、検索結果などに関する一般的な質問、これらの問題に関するお問い合わせは、サポートチームまでご連絡下さい。
| 住所 | 〒177-0044 東京都練馬区上石神井4-7-27 |
|---|---|
| 診療時間 | 9:30~13:00 14:30~19:00 |
| 休診日 | 日曜 祝日 |
| 代表者 | 大塚 正行 |
※記載の内容は最新の情報と異なる場合がございます。正確な情報は歯科医院にご確認ください。
この歯科医院の他の症例
NEW CONTENT 新着コンテンツ
-
「第22回 一般社団法人 日本外傷歯学会・総会・学術大会」開幕、リハビリにフォーカスして歯の損失リスク軽減を目指す
2022.8.8 一般歯科
-
クラウド型歯科用レセコン「POWER5G」が口腔内シミュレーションサービス「DMFTシミュレーター」と提携
2022.6.28 予防歯科
-
豪発のブランド「ビーボックス」から歯固め発売、乳幼児でも持ちやすい設計に
2022.6.24 小児歯科
-
韓国発ライフスタイルケアブランド「ソルトレイン」日本初上陸、伊勢丹新宿でポップアップも
2022.6.22 その他
-
デントウェーブ運営の歯科衛生士向けコミュニティ「歯科衛生士のcoe」無料オンラインイベント開催
2022.3.2 その他
-
竹素材のオーガニック歯ブラシ、日本発サステナブランド「ミヨオーガニック」展開
2022.2.17 予防歯科
