- 詰め物・被せもの
- セラミック・ジルコニア
20代男性 折れた前歯を白い被せ物で修復した症例
ご相談内容
「食事中に左上の前歯が折れてしまった」とご相談いただきました。
カウンセリング・診断結果
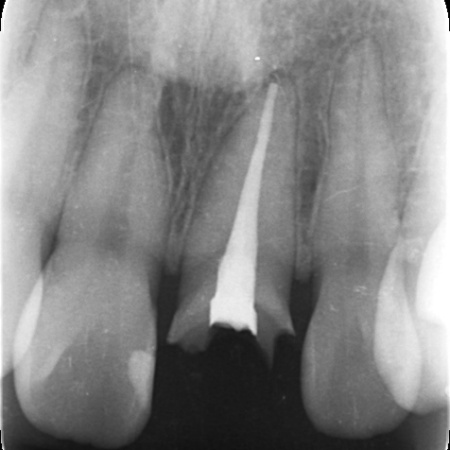
お口の中を拝見したところ、左上の前歯が大きく折れて被せ物を支える土台ごと外れていました。
レントゲン検査で確認した結果、歯の根自体には問題がなく炎症も見られなかったため、適切な治療を行えば歯を残せる状態であることが判明しました。
このまま放置した場合、残った歯根に細菌が入り込んで炎症を起こしたり、隣の歯に余計な負担がかかったりする可能性があります。
また、前歯は見た目への影響が大きいため審美的な問題も避けられません。
以上のことから、折れた歯を補う治療が必要と診断しました。
行ったご提案・治療内容
患者様は「できるだけ自分の歯のように自然な見た目にしてほしい」とご希望です。
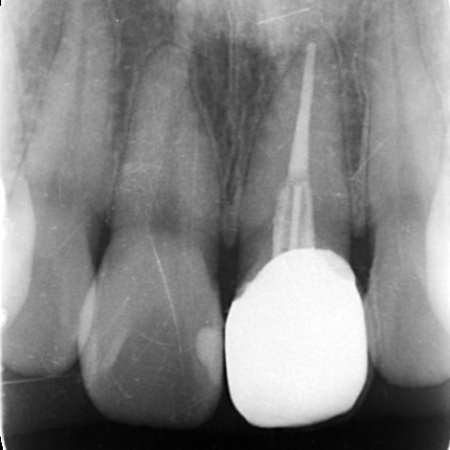
そこで、白いグラスファイバーを用いた土台(ファイバーコア)に白い被せ物(ジルコニアセラミッククラウン)を装着する治療を提案し、同意いただきました。
ファイバーコアは光を通す素材のため自然な透明感があり、歯根への負担が少ないことが特徴です。
ただし、金属の土台に比べると強度がやや劣ります。
ジルコニアセラミッククラウンは、強度の高いジルコニアのフレームの上にセラミックを何層にも盛って焼き付けるレイヤリングを施した被せ物です。
天然歯に近い色調や透明感を再現でき審美性に優れているほか、強度も十分にあります。また、金属を一切使用しないため金属アレルギーの心配もありません。
ただし自費診療のため費用が高くなること、強い衝撃で割れる可能性があることがデメリットです。
治療初日は歯がないことで生じる不便さや見た目への影響に配慮し、その場で仮歯を作製して装着しました。
次の治療の時は、まず土台の作製から行いました。その際、唾液や細菌が入り込まないようラバーダムというゴムのシートで歯を隔離し、清潔な環境を保ちながら作業を進めています。
ファイバーコアと接着剤を組み合わせることで歯根と一体化させ、丈夫で長持ちする土台に仕上げました。
土台が完成したあとは歯科用顕微鏡のマイクロスコープで確認しながら、被せ物をスムーズに装着できるよう歯の形を丁寧に整えました。
マイクロスコープを用いることで、肉眼では確認しにくい細部まで精密に整えることが可能です。
その後、変形しにくいシリコン素材で精密な歯型を採取し、それをもとにジルコニアセラミッククラウンを作製しています。
後日、完成したジルコニアセラミッククラウンを装着し、治療を完了しました。
この治療のリスクについて
・装着に際し、天然歯を削る場合があります
・硬い素材の場合、他の天然歯を傷つけることがあります
・噛み合わせや歯ぎしりが強い場合、セラミックが割れる可能性があります
・一部の治療を除き、自費診療(保険適用外治療)です
- 年齢・性別 20代男性
- 診療種別 自由診療
- 治療期間の目安 約2ヶ月
- 治療回数の目安 -
-
治療費総額の目安
約200,000円
(ファイバーコア、ジルコニアセラミッククラウンレイヤリング)
※掲載された情報は治療の効果を保証するものではありません。
ご利用により万一何らかの損害が発生したとしても、当サイトは一切責任を負いかねますのでご了承ください。
画像をクリックすると拡大・詳細コメントを確認いただけます
問題を報告する
掲載内容に問題がありますか?
こちらのフォームではココシカ!利用規約に違反している可能性のある情報や、
その他の問題がある内容について直接報告することができます。
この機能は、詐欺、スパム、虚偽、不正確であると思われる情報を報告するためのものです。
報告すべき情報の例
- ・差別的または不快感を与えるもの: 性別、年齢、人種、宗教、身体的特徴などに基づく差別が見られるものはこちらに該当します。過度な出血など過激な表現など不適切な内容が含まれる場合も対象です。
- ・虚偽の情報: 何らかの根拠により虚偽が認められる情報が対象です。
- ・不正確な情報: 治療名やリスク、金額、医院情報などに不正確な内容が含まれるものです。多くの場合、これらの問題はココシカ!の掲載基準違反ではありませんが、情報の更新が求められる場合があります。
- ・広告行為: 本サービスの趣旨に反する投稿です。サービス広告、企業やアプリの宣伝、その他問題があると確認された投稿が該当します。
- ・その他: これらのカテゴリーに当てはまらない問題については、[その他] を選択し詳しい情報をご提供ください。
ココシカ!の情報、技術的な問題、医院ページのレビュー、掲載情報に関する問い合わせ、検索結果などに関する一般的な質問、これらの問題に関するお問い合わせは、サポートチームまでご連絡下さい。
| 住所 | 〒177-0044 東京都練馬区上石神井4-7-27 |
|---|---|
| 診療時間 | 9:30~13:00 14:30~19:00 |
| 休診日 | 日曜 祝日 |
| 代表者 | 大塚 正行 |
※記載の内容は最新の情報と異なる場合がございます。正確な情報は歯科医院にご確認ください。
この歯科医院の他の症例
NEW CONTENT 新着コンテンツ
-
「第22回 一般社団法人 日本外傷歯学会・総会・学術大会」開幕、リハビリにフォーカスして歯の損失リスク軽減を目指す
2022.8.8 一般歯科
-
クラウド型歯科用レセコン「POWER5G」が口腔内シミュレーションサービス「DMFTシミュレーター」と提携
2022.6.28 予防歯科
-
豪発のブランド「ビーボックス」から歯固め発売、乳幼児でも持ちやすい設計に
2022.6.24 小児歯科
-
韓国発ライフスタイルケアブランド「ソルトレイン」日本初上陸、伊勢丹新宿でポップアップも
2022.6.22 その他
-
デントウェーブ運営の歯科衛生士向けコミュニティ「歯科衛生士のcoe」無料オンラインイベント開催
2022.3.2 その他
-
竹素材のオーガニック歯ブラシ、日本発サステナブランド「ミヨオーガニック」展開
2022.2.17 予防歯科
