- 虫歯
- 詰め物・被せもの
- セラミック・ジルコニア
70代男性 再発した虫歯に歯髄温存療法を施したあとセラミックブリッジを装着した症例
ご相談内容
「右上の奥歯がしみる」とご相談いただきました。
カウンセリング・診断結果
拝見したところ、右上の奥歯には複数の歯をつないだ被せ物であるブリッジが入っていましたが、被せ物の内部で虫歯が再発していました。
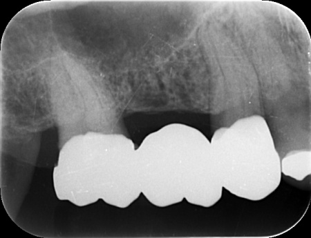
レントゲンを撮影して詳しく調べた結果、虫歯は比較的大きく歯の神経に近い深さまで進行していることが確認できました。
このまま放置すると、神経に炎症が起こって強い痛みが出る、神経が死んでしまい歯を温存できなくなるといった可能性があります。
以上のことから、ブリッジを取り外して虫歯を治療する必要があると診断しました。
行ったご提案・治療内容
診断結果を丁寧に説明したうえで、治療法として以下2つをお伝えしました。
①MTA歯髄温存療法(神経を残す治療)
神経を保護する特殊なセメント(MTA)を使用し、歯の神経をできるだけ残す方法です。
神経を残すことで歯の強度を保ちやすいものの、治療後にしみたり痛んだりする可能性があります。
②根管治療(神経を取る治療)
歯の神経を取り除き、神経が通っていた管を清掃・消毒してから密封する治療です。
痛みやしみる症状を改善できますが、歯が脆くなりやすい点がデメリットです。
患者様は「歯を長持ちさせたい」との希望から、①MTA歯髄温存療法を選択されました。
ただし治療後にしみたり痛んだりする症状が出た場合は、②根管治療に切り替える可能性があることも併せてお伝えしています。
まずブリッジを慎重に取り外し、虫歯を確認します。
次に、唾液や細菌の侵入を防ぐためのゴム製のシートのラバーダムを装着しました。
虫歯をしっかりと除去したところ、一部で神経の露出が確認されたためMTAセメントを用いて神経を保護し、上から密閉性の高い材料で覆っています。
その後、仮の被せ物を装着して経過を観察しました。
数週間後、しみたり痛んだりする症状は認められず、コールドテストとバイタルテストでも歯の神経が問題なく機能している状態であると判断できました。
コールドテストとは歯に一時的に冷たい刺激を与え、神経が生きているかどうかを確認する検査です。冷たさを感じてすぐにおさまる反応があれば、神経が正常に機能していると判断できます。
一方、バイタルテストは歯にごく弱い電気刺激を与え、神経の反応を客観的に確認する検査です。わずかな刺激を感じる反応があれば、神経が健全に保たれていることが分かります。
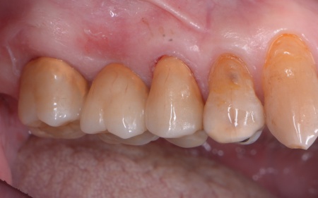
神経が温存できていることを確認できたため精密な型取りを行い、虫歯の再発リスクが低く強度も高いセラミックのジルコニアでブリッジを新たに作製しました。
完成したブリッジを装着し、痛みや違和感がなく噛み合わせや見た目にも問題がないことを確認して、治療を終了しました。
この治療のリスクについて
・治療中に痛みを伴う場合があります
・ブリッジの装着に際し、天然歯を削る必要があります
・土台となる歯に負担がかかるため、将来的に歯が揺れたり、歯の根が割れたりする可能性があります
・硬い素材の場合、他の天然歯を傷つけることがあります
・噛み合わせや歯ぎしりが強い場合、セラミックが割れる可能性があります
・一部の治療を除き、自費診療(保険適用外治療)です
- 年齢・性別 70代男性
- 診療種別 自由診療
- 治療期間の目安 3ヶ月
- 治療回数の目安 -
- 治療費総額の目安 約475,000円 (MTA歯髄温存療法・ジルコニアブリッジ)
※掲載された情報は治療の効果を保証するものではありません。
ご利用により万一何らかの損害が発生したとしても、当サイトは一切責任を負いかねますのでご了承ください。
画像をクリックすると拡大・詳細コメントを確認いただけます
-
大塚歯科TEL:0359038467
-
大塚歯科TEL:0359038467
-
大塚歯科TEL:0359038467
-
大塚歯科TEL:0359038467 -
大塚歯科TEL:0359038467
-
大塚歯科TEL:0359038467
問題を報告する
掲載内容に問題がありますか?
こちらのフォームではココシカ!利用規約に違反している可能性のある情報や、
その他の問題がある内容について直接報告することができます。
この機能は、詐欺、スパム、虚偽、不正確であると思われる情報を報告するためのものです。
報告すべき情報の例
- ・差別的または不快感を与えるもの: 性別、年齢、人種、宗教、身体的特徴などに基づく差別が見られるものはこちらに該当します。過度な出血など過激な表現など不適切な内容が含まれる場合も対象です。
- ・虚偽の情報: 何らかの根拠により虚偽が認められる情報が対象です。
- ・不正確な情報: 治療名やリスク、金額、医院情報などに不正確な内容が含まれるものです。多くの場合、これらの問題はココシカ!の掲載基準違反ではありませんが、情報の更新が求められる場合があります。
- ・広告行為: 本サービスの趣旨に反する投稿です。サービス広告、企業やアプリの宣伝、その他問題があると確認された投稿が該当します。
- ・その他: これらのカテゴリーに当てはまらない問題については、[その他] を選択し詳しい情報をご提供ください。
ココシカ!の情報、技術的な問題、医院ページのレビュー、掲載情報に関する問い合わせ、検索結果などに関する一般的な質問、これらの問題に関するお問い合わせは、サポートチームまでご連絡下さい。
| 住所 | 〒177-0044 東京都練馬区上石神井4-7-27 |
|---|---|
| 診療時間 | 9:30~13:00 14:30~19:00 |
| 休診日 | 日曜 祝日 |
| 代表者 | 大塚 正行 |
※記載の内容は最新の情報と異なる場合がございます。正確な情報は歯科医院にご確認ください。
この歯科医院の他の症例
NEW CONTENT 新着コンテンツ
-
「第22回 一般社団法人 日本外傷歯学会・総会・学術大会」開幕、リハビリにフォーカスして歯の損失リスク軽減を目指す
2022.8.8 一般歯科
-
クラウド型歯科用レセコン「POWER5G」が口腔内シミュレーションサービス「DMFTシミュレーター」と提携
2022.6.28 予防歯科
-
豪発のブランド「ビーボックス」から歯固め発売、乳幼児でも持ちやすい設計に
2022.6.24 小児歯科
-
韓国発ライフスタイルケアブランド「ソルトレイン」日本初上陸、伊勢丹新宿でポップアップも
2022.6.22 その他
-
デントウェーブ運営の歯科衛生士向けコミュニティ「歯科衛生士のcoe」無料オンラインイベント開催
2022.3.2 その他
-
竹素材のオーガニック歯ブラシ、日本発サステナブランド「ミヨオーガニック」展開
2022.2.17 予防歯科
