- ワイヤー矯正
- 小児矯正
10歳女の子 成長期を利用した小児矯正治療で八重歯を改善した症例
ご相談内容
「上前歯が八重歯になってきたのが気になる」とご相談いただきました。
カウンセリング・診断結果
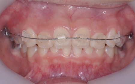
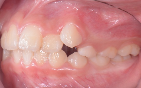
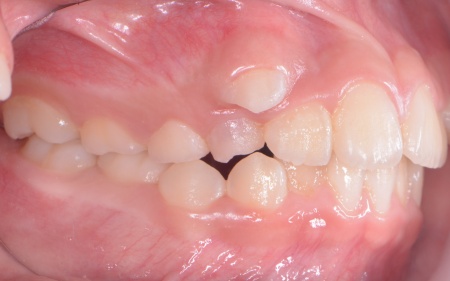
拝見したところ、上の犬歯が歯列の外側に飛び出すように生えている、いわゆる八重歯でした。
さらに、上下の歯全体がデコボコに生えている「叢生(そうせい)」と呼ばれる状態で、これは歯が正しい位置に並ぶためのスペースが不足していることが原因だと考えられます。
このまま放置して顎の成長が完了してから矯正治療を行う場合、歯を並べるスペースを確保することが難しく、永久歯を抜く処置が必要になるケースがあります。
以上のことから、今の段階で歯並びを整える治療が必要だと診断しました。
行ったご提案・治療内容
患者様のご家族は「将来的な抜歯はできるだけ避けたいので、今のうちに治療をしたい」と希望されたため、成長期の段階で歯列を広げ、歯が並ぶスペースを確保する小児期の矯正治療「1期矯正」を提案しました。
メリット
・顎の成長を促して歯を並べるスペースを確保するため、将来的に非抜歯で治療を終えることができる可能性が高まる
・トータルの治療費を抑えられる場合がある
デメリット
・永久歯がすべて生えそろうまでは、最終的な歯並びの状態がはっきりしないため、将来的に追加の矯正治療(2期矯正)が必要になるおそれがある
また、治療にあたりお口全体のバランスを確認したところ口元の突出はなく、顎のサイズはやや小さめですが、成長期であることから歯列の拡大が可能な状態だと判断しています。
以上の内容について丁寧に説明し、治療に同意いただきました。
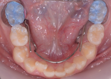
まず、上顎に顎の骨を広げるための固定式の矯正器具「急速拡大装置」を、下顎には歯並びの幅を広げるための「リンガルアーチ」を装着します。
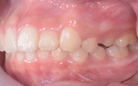
治療を進めた結果、上顎は約6mm拡大し、歯が並ぶためのスペースを確保することができました。
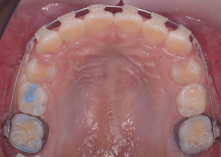
次に歯の位置を整えるため、ワイヤー矯正を開始します。
上前歯6本と左右の奥歯の表面に「ブラケット」と呼ばれるボタン状の装置を設置し、そこにワイヤーを通して歯を少しずつ動かしていきました。
この装置は、歯の高さや位置のばらつきを整える「レベリング」を行うためのもので、拡大によって確保したスペースを活かしながら、歯並びを段階的に整えます。
最後に、歯並びが整って見た目や噛み合わせにも問題がないことを確認し、装置を取り外して第1期矯正治療を終了しました。
現在も経過観察を継続していますが、歯が元の位置に戻る後戻りも見られず、残っている乳歯から永久歯への生え変わりも順調に進んでいます。
この治療のリスクについて
・治療中、発音しにくい場合があります
・治療中、舌が動かしにくいことがあります
・治療中、装置によってまれに頬の内側が傷つき、口内炎になる場合があります
・歯の移動に伴って、違和感や痛みを感じる場合があります
・冷たいものを飲んだときに歯がしみる「知覚過敏」の症状が出る場合があります
・正しいブラッシングやメンテナンスを行わない場合、虫歯や歯周病のリスクが高まります
- 年齢・性別 10歳女の子
- 診療種別 自由診療
-
治療期間の目安
約7ヶ月
(矯正装置装着期間) - 治療回数の目安 -
- 治療費総額の目安 約450,000円
※掲載された情報は治療の効果を保証するものではありません。
ご利用により万一何らかの損害が発生したとしても、当サイトは一切責任を負いかねますのでご了承ください。
画像をクリックすると拡大・詳細コメントを確認いただけます
-
大塚歯科TEL:0359038467
-
大塚歯科TEL:0359038467
-
大塚歯科TEL:0359038467
-
大塚歯科TEL:0359038467
-
大塚歯科TEL:0359038467
-
大塚歯科TEL:0359038467
-
大塚歯科TEL:0359038467
-
大塚歯科TEL:0359038467
-
大塚歯科TEL:0359038467
-
大塚歯科TEL:0359038467
-
大塚歯科TEL:0359038467
-
大塚歯科TEL:0359038467
-
大塚歯科TEL:0359038467
-
大塚歯科TEL:0359038467 -
大塚歯科TEL:0359038467
問題を報告する
掲載内容に問題がありますか?
こちらのフォームではココシカ!利用規約に違反している可能性のある情報や、
その他の問題がある内容について直接報告することができます。
この機能は、詐欺、スパム、虚偽、不正確であると思われる情報を報告するためのものです。
報告すべき情報の例
- ・差別的または不快感を与えるもの: 性別、年齢、人種、宗教、身体的特徴などに基づく差別が見られるものはこちらに該当します。過度な出血など過激な表現など不適切な内容が含まれる場合も対象です。
- ・虚偽の情報: 何らかの根拠により虚偽が認められる情報が対象です。
- ・不正確な情報: 治療名やリスク、金額、医院情報などに不正確な内容が含まれるものです。多くの場合、これらの問題はココシカ!の掲載基準違反ではありませんが、情報の更新が求められる場合があります。
- ・広告行為: 本サービスの趣旨に反する投稿です。サービス広告、企業やアプリの宣伝、その他問題があると確認された投稿が該当します。
- ・その他: これらのカテゴリーに当てはまらない問題については、[その他] を選択し詳しい情報をご提供ください。
ココシカ!の情報、技術的な問題、医院ページのレビュー、掲載情報に関する問い合わせ、検索結果などに関する一般的な質問、これらの問題に関するお問い合わせは、サポートチームまでご連絡下さい。
| 住所 | 〒177-0044 東京都練馬区上石神井4-7-27 |
|---|---|
| 診療時間 | 9:30~13:00 14:30~19:00 |
| 休診日 | 日曜 祝日 |
| 代表者 | 大塚 正行 |
※記載の内容は最新の情報と異なる場合がございます。正確な情報は歯科医院にご確認ください。
この歯科医院の他の症例
NEW CONTENT 新着コンテンツ
-
「第22回 一般社団法人 日本外傷歯学会・総会・学術大会」開幕、リハビリにフォーカスして歯の損失リスク軽減を目指す
2022.8.8 一般歯科
-
クラウド型歯科用レセコン「POWER5G」が口腔内シミュレーションサービス「DMFTシミュレーター」と提携
2022.6.28 予防歯科
-
豪発のブランド「ビーボックス」から歯固め発売、乳幼児でも持ちやすい設計に
2022.6.24 小児歯科
-
韓国発ライフスタイルケアブランド「ソルトレイン」日本初上陸、伊勢丹新宿でポップアップも
2022.6.22 その他
-
デントウェーブ運営の歯科衛生士向けコミュニティ「歯科衛生士のcoe」無料オンラインイベント開催
2022.3.2 その他
-
竹素材のオーガニック歯ブラシ、日本発サステナブランド「ミヨオーガニック」展開
2022.2.17 予防歯科
