- 骨再生
- 詰め物・被せもの
- セラミック・ジルコニア
- インプラント
- 抜歯
50代女性 歯根が割れた奥歯を抜いてインプラントで噛み合わせを回復させた症例
ご相談内容
「噛むと右下の奥歯が痛む」とご相談いただきました。
カウンセリング・診断結果
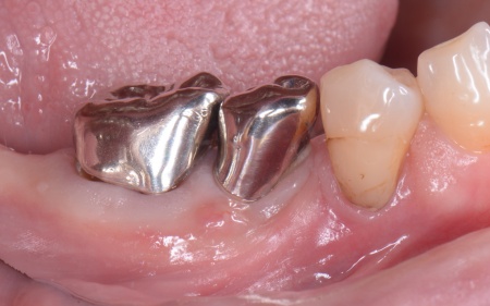
拝見したところ、右下奥歯2本が噛むと痛む状態でした。
これらの歯は、以前神経を除去する処置を行っており、その後銀歯にされていたとのことです。
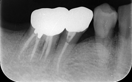
詳しく調べるためにレントゲン撮影を行った結果、どちらの歯も歯根が割れていることが確認できました。
神経を除去した歯は内部がもろくなりやすく、長い期間噛む力がかかることによって、今回のように歯根が割れてしまう場合があります。
歯根が割れた歯は元の状態に戻すことができず、そのまま放置すると炎症が広がって周囲の骨や隣接する歯に悪影響を及ぼすリスクがあります。
以上のことから、抜歯をしたうえで歯を補う治療が必要だと診断しました。
行ったご提案・治療内容
抜歯後の治療について、以下2つの方法を提案しました。
①入れ歯
取り外し可能な義歯を装着する方法です。
メリット:外科的な処置が不要で、身体への負担が比較的少ない
デメリット:装着時に違和感が出やすい。噛む力に制限がかかることがある
②インプラント
顎の骨に人工歯根を埋め込み、その上から被せ物を装着する方法です。
メリット:固定式なので、自分の歯のようにしっかりと噛むことができる。審美性が高い
デメリット:外科的な処置が必要なので、治療期間が長くなる。自費診療のため費用がかかる
それぞれのメリットとデメリットをお伝えしたところ、患者様は「できるだけ違和感がなく噛めるようになりたい。またなるべく短期間で治療を終えたい」と希望されたため、抜歯と同時にインプラントを埋め込む抜歯即時埋入法を提案し、同意いただきました。
まず、右下奥歯(第2小臼歯、第1大臼歯)を抜きます。
周囲の骨や歯茎への影響をできるだけ抑えるよう配慮しながら処置を行い、抜歯した部位にインプラントを埋め込みました。
抜歯後にできた穴とインプラントの間には隙間が生じるため、骨の再生を助ける目的で骨補填材を使用しながら、丁寧に縫合しました。
3ヶ月後、インプラントと骨がしっかりと結合したことが確認できたため、被せ物を作製するための型取りを行います。
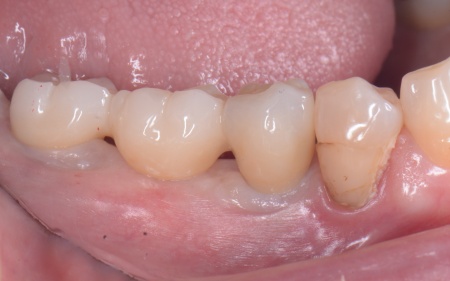
被せ物には、人工ダイヤモンドと呼ばれるほど高い強度をもつ、ジルコニアセラミックを使用したブリッジを製作しました。
後日、完成した被せ物を装着し、見た目や噛み合わせに問題がないことを確認して、治療を終了しています。
この治療のポイント
・持病をお持ちの方や、服用中のお薬の種類によっては、外科処置ができない場合があります
・外科手術のため、術後に痛みや腫れ、違和感を伴います
・メンテナンスを怠ったり、喫煙したりすると、お口の中に大きな悪影響を及ぼし、インプラント周囲炎などにかかる可能性があります
・高血圧、貧血・不整脈などの持病をお持ちの場合、インプラント治療後に治癒不全を招く可能性があります
・噛み合わせや歯ぎしりが強い場合、セラミックが割れる可能性があります
・自費診療(保険適用外治療)です
- 年齢・性別 50代女性
- 診療種別 自由診療
- 治療期間の目安 約3ヶ月
- 治療回数の目安 -
- 治療費総額の目安 約1,200,000円
※掲載された情報は治療の効果を保証するものではありません。
ご利用により万一何らかの損害が発生したとしても、当サイトは一切責任を負いかねますのでご了承ください。
画像をクリックすると拡大・詳細コメントを確認いただけます
-
大塚歯科TEL:0359038467
-
大塚歯科TEL:0359038467
-
大塚歯科TEL:0359038467
-
大塚歯科TEL:0359038467
-
大塚歯科TEL:0359038467
-
大塚歯科TEL:0359038467
-
大塚歯科TEL:0359038467
-
大塚歯科TEL:0359038467
-
大塚歯科TEL:0359038467
問題を報告する
掲載内容に問題がありますか?
こちらのフォームではココシカ!利用規約に違反している可能性のある情報や、
その他の問題がある内容について直接報告することができます。
この機能は、詐欺、スパム、虚偽、不正確であると思われる情報を報告するためのものです。
報告すべき情報の例
- ・差別的または不快感を与えるもの: 性別、年齢、人種、宗教、身体的特徴などに基づく差別が見られるものはこちらに該当します。過度な出血など過激な表現など不適切な内容が含まれる場合も対象です。
- ・虚偽の情報: 何らかの根拠により虚偽が認められる情報が対象です。
- ・不正確な情報: 治療名やリスク、金額、医院情報などに不正確な内容が含まれるものです。多くの場合、これらの問題はココシカ!の掲載基準違反ではありませんが、情報の更新が求められる場合があります。
- ・広告行為: 本サービスの趣旨に反する投稿です。サービス広告、企業やアプリの宣伝、その他問題があると確認された投稿が該当します。
- ・その他: これらのカテゴリーに当てはまらない問題については、[その他] を選択し詳しい情報をご提供ください。
ココシカ!の情報、技術的な問題、医院ページのレビュー、掲載情報に関する問い合わせ、検索結果などに関する一般的な質問、これらの問題に関するお問い合わせは、サポートチームまでご連絡下さい。
| 住所 | 〒177-0044 東京都練馬区上石神井4-7-27 |
|---|---|
| 診療時間 | 9:30~13:00 14:30~19:00 |
| 休診日 | 日曜 祝日 |
| 代表者 | 大塚 正行 |
※記載の内容は最新の情報と異なる場合がございます。正確な情報は歯科医院にご確認ください。
この歯科医院の他の症例
NEW CONTENT 新着コンテンツ
-
「第22回 一般社団法人 日本外傷歯学会・総会・学術大会」開幕、リハビリにフォーカスして歯の損失リスク軽減を目指す
2022.8.8 一般歯科
-
クラウド型歯科用レセコン「POWER5G」が口腔内シミュレーションサービス「DMFTシミュレーター」と提携
2022.6.28 予防歯科
-
豪発のブランド「ビーボックス」から歯固め発売、乳幼児でも持ちやすい設計に
2022.6.24 小児歯科
-
韓国発ライフスタイルケアブランド「ソルトレイン」日本初上陸、伊勢丹新宿でポップアップも
2022.6.22 その他
-
デントウェーブ運営の歯科衛生士向けコミュニティ「歯科衛生士のcoe」無料オンラインイベント開催
2022.3.2 その他
-
竹素材のオーガニック歯ブラシ、日本発サステナブランド「ミヨオーガニック」展開
2022.2.17 予防歯科
