- 骨再生
- 矯正歯科
- ワイヤー矯正
- インプラント
- ソケットリフト
- 抜歯
- ダイレクトボンディング
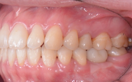
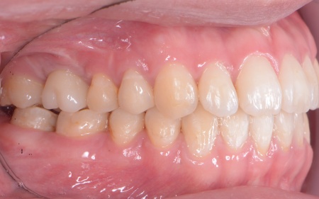
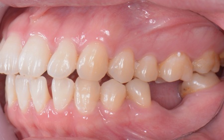
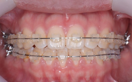
20代女性 歯の根が割れた歯を抜歯したあと矯正治療と骨再生を併用したインプラント治療で補った症例
ご相談内容
「右上と左下の奥歯が痛い」とご相談いただきました。
カウンセリング・診断結果
拝見したところ、右上と左下の奥歯に強い痛みが出ていました。
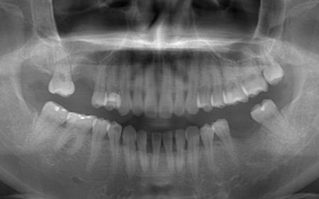
レントゲンで確認した結果、どちらも歯の根が割れていることが判明しました。
歯の根が割れたまま放置すると噛むときの痛みが続くだけでなく、炎症が広がって周囲の歯や骨にまで影響を及ぼすおそれがあります。
そのため、この2本の奥歯は抜歯が必要です。
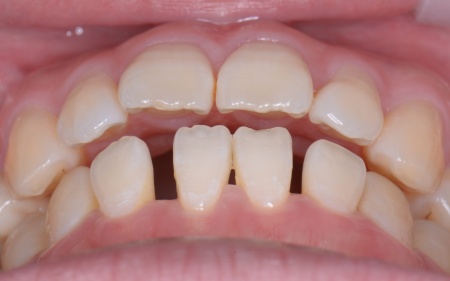
また、上下の歯を噛み合わせた際に前歯が噛み合わず隙間ができる開咬(かいこう)と呼ばれる噛み合わせも見られました。
開咬は奥歯に負担が集中しやすく、その影響で今回のように歯の根が割れてしまった可能性が高いと考えられます。
以上のことから、抜歯後に歯を補う治療と噛み合わせを改善するための治療が必要と診断しました。
行ったご提案・治療内容
診断結果を丁寧に説明したうえで、抜歯したあとの歯を補う治療方法として以下3つを提案しました。
①両隣の歯を削り橋のように被せ物をつなげて補うブリッジ
メリット: 固定式で、装着時の違和感が比較的少ない
デメリット: 健康な両隣の歯を削る必要がある
②取り外し式の入れ歯
メリット: 外科処置を伴わないため治療期間が比較的短く済む
デメリット: 金具をかける歯に負担がかかり、装着時に違和感が出る場合がある
③ 人工の歯根を骨に埋め込み、その上に歯を装着するインプラント治療
メリット: 歯を失った部分のみを治療できる
デメリット: 外科処置が必要で治療期間が比較的長い
患者様は「健康な歯をできるだけ守りたい」との理由から、③のインプラント治療を希望されました。
ただ、噛み合わせの問題をそのまま放置すると奥歯への負担が再び集中し、治療をしてもインプラントが長持ちしない可能性があります。
そこで、まずは噛み合わせを整える矯正治療を提案し同意いただきました。
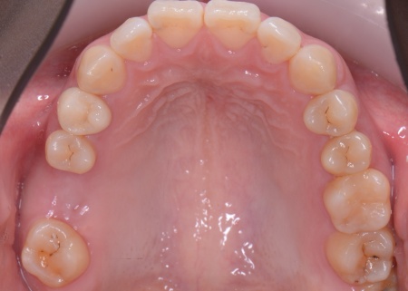
まず、右上と左下の奥歯を抜歯しました。
その後、全体の噛み合わせを改善するため、矯正治療を開始しています。
矯正治療では、歯に小さなボタンのような装置を取り付け、そこにワイヤーを通して歯を動かすマルチブラケット装置を使用しています。
矯正がある程度進んだ段階で、右上と左下のインプラント手術を実施しました。
その際、右上の奥歯は鼻の奥にある空洞(上顎洞)に近く骨の厚みが不足していたため、上顎洞の粘膜を押し上げた部分に人工骨を入れて骨を増やすソケットリフトを併用しています。
一方、左下の奥歯は頬側(外側)の骨が薄かったため人工骨を入れて骨量を補うGBR(骨再生誘導法)を施しました。
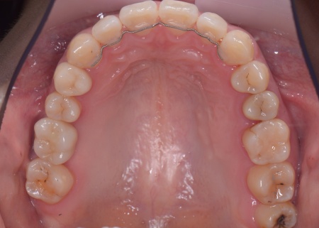
インプラント手術後は矯正治療の仕上げを行い、装置を外しています。
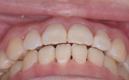
歯並びが後戻りしないよう保定装置を装着していただき、その後、インプラントの上部に人工の歯を取り付けました。
治療終了後、下前歯の間に見られる三角形のすき間(ブラックトライアングル)が気になるとのご相談がありました。
そこで、歯の表面に白いプラスチック樹脂を直接盛り付けて形を整えるダイレクトボンディングを行い、すき間が目立ちにくいよう調整して、治療を終了しました。
この治療のリスクについて
・矯正治療中、装置によってまれに頬の内側が傷つき、口内炎になる場合があります
・歯の移動に伴って、違和感や痛みを感じる場合があります
・正しいブラッシングやメンテナンスを行わない場合、虫歯や歯周病のリスクが高まります
・インプラントは外科手術のため、術後に痛みや腫れ、違和感を伴います
・メンテナンスを怠ったり、喫煙したりすると、お口の中に大きな悪影響を及ぼし、インプラント周囲炎等にかかる可能性があります
・ダイレクトボンディングは強い力や衝撃が加わった場合、割れたり欠けたりする可能性があります
- 年齢・性別 20代女性
- 診療種別 自由診療
- 治療期間の目安 約2年
- 治療回数の目安 -
-
治療費総額の目安
約2,100,000円
【内訳】
矯正治療、ソケットリフト、GBR、インプラント2本
※掲載された情報は治療の効果を保証するものではありません。
ご利用により万一何らかの損害が発生したとしても、当サイトは一切責任を負いかねますのでご了承ください。
画像をクリックすると拡大・詳細コメントを確認いただけます
-
大塚歯科TEL:0359038467
-
大塚歯科TEL:0359038467
-
大塚歯科TEL:0359038467
-
大塚歯科TEL:0359038467
-
大塚歯科TEL:0359038467
-
大塚歯科TEL:0359038467
-
大塚歯科TEL:0359038467
-
大塚歯科TEL:0359038467
-
大塚歯科TEL:0359038467
-
大塚歯科TEL:0359038467
-
大塚歯科TEL:0359038467 -
大塚歯科TEL:0359038467
-
大塚歯科TEL:0359038467
-
大塚歯科TEL:0359038467 -
大塚歯科TEL:0359038467
-
大塚歯科TEL:0359038467
-
大塚歯科TEL:0359038467 -
大塚歯科TEL:0359038467
-
大塚歯科TEL:0359038467
-
大塚歯科TEL:0359038467 -
大塚歯科TEL:0359038467
問題を報告する
掲載内容に問題がありますか?
こちらのフォームではココシカ!利用規約に違反している可能性のある情報や、
その他の問題がある内容について直接報告することができます。
この機能は、詐欺、スパム、虚偽、不正確であると思われる情報を報告するためのものです。
報告すべき情報の例
- ・差別的または不快感を与えるもの: 性別、年齢、人種、宗教、身体的特徴などに基づく差別が見られるものはこちらに該当します。過度な出血など過激な表現など不適切な内容が含まれる場合も対象です。
- ・虚偽の情報: 何らかの根拠により虚偽が認められる情報が対象です。
- ・不正確な情報: 治療名やリスク、金額、医院情報などに不正確な内容が含まれるものです。多くの場合、これらの問題はココシカ!の掲載基準違反ではありませんが、情報の更新が求められる場合があります。
- ・広告行為: 本サービスの趣旨に反する投稿です。サービス広告、企業やアプリの宣伝、その他問題があると確認された投稿が該当します。
- ・その他: これらのカテゴリーに当てはまらない問題については、[その他] を選択し詳しい情報をご提供ください。
ココシカ!の情報、技術的な問題、医院ページのレビュー、掲載情報に関する問い合わせ、検索結果などに関する一般的な質問、これらの問題に関するお問い合わせは、サポートチームまでご連絡下さい。
| 住所 | 〒177-0044 東京都練馬区上石神井4-7-27 |
|---|---|
| 診療時間 | 9:30~13:00 14:30~19:00 |
| 休診日 | 日曜 祝日 |
| 代表者 | 大塚 正行 |
※記載の内容は最新の情報と異なる場合がございます。正確な情報は歯科医院にご確認ください。
この歯科医院の他の症例
NEW CONTENT 新着コンテンツ
-
「第22回 一般社団法人 日本外傷歯学会・総会・学術大会」開幕、リハビリにフォーカスして歯の損失リスク軽減を目指す
2022.8.8 一般歯科
-
クラウド型歯科用レセコン「POWER5G」が口腔内シミュレーションサービス「DMFTシミュレーター」と提携
2022.6.28 予防歯科
-
豪発のブランド「ビーボックス」から歯固め発売、乳幼児でも持ちやすい設計に
2022.6.24 小児歯科
-
韓国発ライフスタイルケアブランド「ソルトレイン」日本初上陸、伊勢丹新宿でポップアップも
2022.6.22 その他
-
デントウェーブ運営の歯科衛生士向けコミュニティ「歯科衛生士のcoe」無料オンラインイベント開催
2022.3.2 その他
-
竹素材のオーガニック歯ブラシ、日本発サステナブランド「ミヨオーガニック」展開
2022.2.17 予防歯科
