- 歯周外科
- 詰め物・被せもの
- セラミック・ジルコニア
- インプラント
- 抜歯
40代女性 歯根にひびが入った歯に抜歯即時インプラントを施し、虫歯が再発した歯は再治療した症例
ご相談内容
「右下の奥歯が噛むと痛い」とご相談いただきました。
カウンセリング・診断結果
拝見したところ、右下の奥歯(第1大臼歯)に歯根破折が確認でき、これが痛みの原因だと考えられます。
歯根破折をそのまま放置すると、歯を支える骨の吸収が進んだり周囲の歯茎が炎症を起こしたりする可能性があります。
そこで、レントゲン検査などで詳しく確認した結果、ひびは根の深い部分まで達しており、残念ながら歯を温存することは困難です。
また、その手前の小臼歯は、過去の治療で装着した詰め物の下で虫歯が再発する二次カリエスが見つかりました。このまま放置すると虫歯がさらに広がる可能性があります。
以上のことから、右下の大臼歯は抜歯後に欠損を補う治療、手前の小臼歯は虫歯の再治療が必要と診断しました。
行ったご提案・治療内容
患者様は「できるだけ治療期間を短くしたい」と希望されていることから、右下の第1大臼歯は抜歯即時埋入インプラントを提案しました。
抜歯即時埋入インプラントとは、抜歯と同日に人工歯根「インプラント体」を埋め込む方法です。
これにより、通常のインプラントと比べて治療期間を短縮することができます。
なおこの方法は、骨の量・質・感染の有無・歯ぐきの状態などの条件があり、すべての症例で行えるわけではありません。
また、大臼歯周囲は、歯の周りを保護する硬い歯ぐき「角化歯肉」が不足していました。
角化歯肉が少ない場合、将来的にインプラントの周囲に起こる炎症「インプラント周囲炎」が起こりやすくなります。
そのため、お口の中の別部位から歯肉を採取して移植する処置「角化歯肉移植」が適しています。
手前の小臼歯については「同じ歯の治療を繰り返したくない」とのご希望から、精密補綴治療を提案しました。
精密補綴治療は被せ物が長持ちするよう、土台の歯の段差や細かな傷、装着時のフィット感などを歯科用顕微鏡で拡大し確認しながら、細部まで丁寧に整える方法です。
新しい被せ物には、精度が高く虫歯の再発リスクの低いセラミック製の被せ物をおすすめしています。
それぞれの治療内容を丁寧に説明したところ、すべての治療に同意いただきました。
まず、大臼歯の抜歯から行います。
抜歯後、感染した組織を慎重に除去し同日にインプラント体を埋入しました。
骨とインプラントが結合するまでの期間は仮歯を装着し、噛み合わせや周囲組織の状態を確認しながら経過を観察しました。
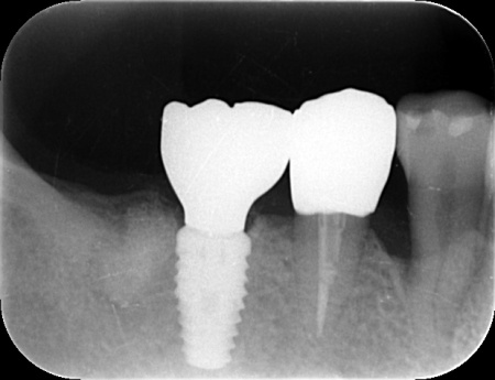
骨とインプラントがしっかりと結合していることを確認したあと、型取りを行い被せ物を作製・装着しています。
またインプラント周囲の歯ぐきの安定性を高めるため、上あごの内側から歯肉を採取し大臼歯の周囲へ移植する角化歯肉移植を行いました。
次に、小臼歯に関しては古い詰め物を取り外し、マイクロスコープを用いて拡大視野のもとで歯の形を整えて型を採り、精度の高いセラミックの被せ物を作製・装着しました。
最後に、見た目や噛み合わせに問題がないことを確認し、治療を終了しました。
この治療のリスクについて
・外科手術のため、術後に痛みや腫れ、違和感を伴います
・メンテナンスを怠ったり、喫煙したりすると、お口の中に大きな悪影響を及ぼし、インプラント周囲炎などにかかる可能性があります
・装着に際し、天然歯を削る場合があります
・噛み合わせや歯ぎしりが強い場合、セラミックが割れる可能性があります
・治療中や治療後に不快症状が出たり、治療後に痛みや腫れなどが生じたりする可能性があります
・自費診療(保険適用外治療)です
- 年齢・性別 40代女性
- 診療種別 自由診療
- 治療期間の目安 約5ヶ月
- 治療回数の目安 -
-
治療費総額の目安
約765,000円
(抜歯即時インプラント・角化歯肉移植・セラミッククラウン)
※掲載された情報は治療の効果を保証するものではありません。
ご利用により万一何らかの損害が発生したとしても、当サイトは一切責任を負いかねますのでご了承ください。
画像をクリックすると拡大・詳細コメントを確認いただけます
-
大塚歯科TEL:0359038467
-
大塚歯科TEL:0359038467
-
大塚歯科TEL:0359038467
-
大塚歯科TEL:0359038467 -
大塚歯科TEL:0359038467
-
大塚歯科TEL:0359038467
問題を報告する
掲載内容に問題がありますか?
こちらのフォームではココシカ!利用規約に違反している可能性のある情報や、
その他の問題がある内容について直接報告することができます。
この機能は、詐欺、スパム、虚偽、不正確であると思われる情報を報告するためのものです。
報告すべき情報の例
- ・差別的または不快感を与えるもの: 性別、年齢、人種、宗教、身体的特徴などに基づく差別が見られるものはこちらに該当します。過度な出血など過激な表現など不適切な内容が含まれる場合も対象です。
- ・虚偽の情報: 何らかの根拠により虚偽が認められる情報が対象です。
- ・不正確な情報: 治療名やリスク、金額、医院情報などに不正確な内容が含まれるものです。多くの場合、これらの問題はココシカ!の掲載基準違反ではありませんが、情報の更新が求められる場合があります。
- ・広告行為: 本サービスの趣旨に反する投稿です。サービス広告、企業やアプリの宣伝、その他問題があると確認された投稿が該当します。
- ・その他: これらのカテゴリーに当てはまらない問題については、[その他] を選択し詳しい情報をご提供ください。
ココシカ!の情報、技術的な問題、医院ページのレビュー、掲載情報に関する問い合わせ、検索結果などに関する一般的な質問、これらの問題に関するお問い合わせは、サポートチームまでご連絡下さい。
| 住所 | 〒177-0044 東京都練馬区上石神井4-7-27 |
|---|---|
| 診療時間 | 9:30~13:00 14:30~19:00 |
| 休診日 | 日曜 祝日 |
| 代表者 | 大塚 正行 |
※記載の内容は最新の情報と異なる場合がございます。正確な情報は歯科医院にご確認ください。
この歯科医院の他の症例
NEW CONTENT 新着コンテンツ
-
「第22回 一般社団法人 日本外傷歯学会・総会・学術大会」開幕、リハビリにフォーカスして歯の損失リスク軽減を目指す
2022.8.8 一般歯科
-
クラウド型歯科用レセコン「POWER5G」が口腔内シミュレーションサービス「DMFTシミュレーター」と提携
2022.6.28 予防歯科
-
豪発のブランド「ビーボックス」から歯固め発売、乳幼児でも持ちやすい設計に
2022.6.24 小児歯科
-
韓国発ライフスタイルケアブランド「ソルトレイン」日本初上陸、伊勢丹新宿でポップアップも
2022.6.22 その他
-
デントウェーブ運営の歯科衛生士向けコミュニティ「歯科衛生士のcoe」無料オンラインイベント開催
2022.3.2 その他
-
竹素材のオーガニック歯ブラシ、日本発サステナブランド「ミヨオーガニック」展開
2022.2.17 予防歯科
