- コンポジットレジン
- 矯正歯科
- ワイヤー矯正
- 詰め物・被せもの
- 噛み合わせ・食いしばり
- 食いしばり・かみ合わせ
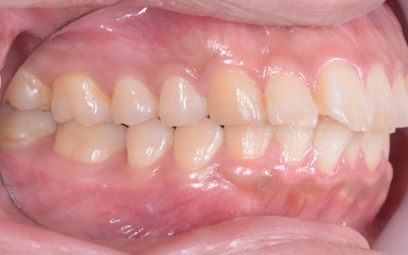
30代女性 歯並びが乱れた前歯と不安定な噛み合わせを非抜歯矯正で治療した症例
ご相談内容
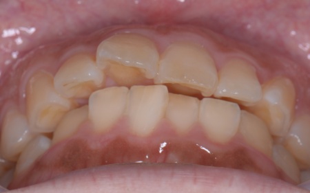
「上前歯が前に飛び出し、下前歯はデコボコしている。噛み合わせが悪く、安定していない。また、歯ぎしりがひどいのも気になっている」とご相談いただきました。
カウンセリング・診断結果
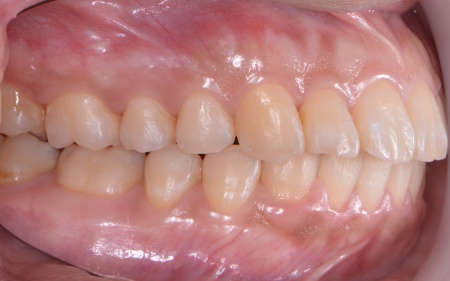
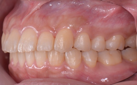
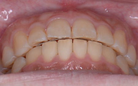
拝見したところ、上前歯が前に傾いて生えており、口元が出ている「上顎前突」が認められました。
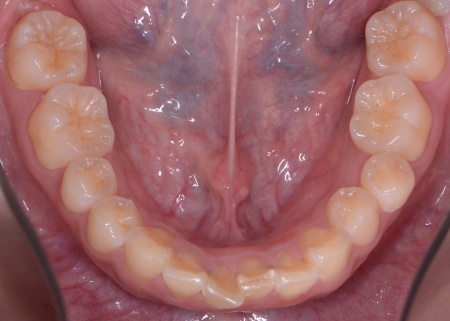
また、下前歯の歯並びが乱れています。
さらに、左奥歯は上下の歯が当たらずに噛めていない「咬合(こうごう)接触不全」になっており、全体的に噛み合わせが不安定でした。
加えて、犬歯は過度にすり減っており、これは強い歯ぎしりが原因だと考えられます。
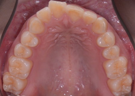
以上のことから、噛み合わせと歯並びを改善するための矯正治療が必要だと診断しました。
行ったご提案・治療内容
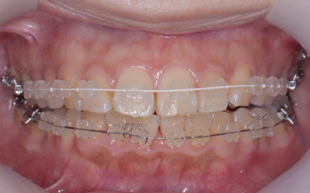
患者様には、歯の表面に「ブラケット」と呼ばれるボタン状の装置を接着して、そこにワイヤーを通して歯を動かす矯正治療を提案し、同意いただきました。
メリット
・複雑な歯並びにも対応できる
・ワイヤーで力をかけるため、しっかりと歯を動かすことができるうえ、細かい調整も可能である
デメリット
・自費診療のため、費用が高額になる
・ワイヤーは取り外しができないため、やや目立つ
・歯磨きがしにくい
患者様は、上奥歯が通常より前側に生えており、上下の噛み合わせに前後差がある「アングルⅡ級」という状態でした。口元のバランスをしっかり整えることを考えると、上下奥歯(小臼歯)を抜く治療が適切ですが、患者様は非抜歯矯正を希望されました。
まず、上下の歯には白くて目立ちにくい「セラミックブラケット」を接着します。上顎のみ審美性の高い白いワイヤーを使用して、矯正治療を開始しました。
次に、上顎の左右に歯を後方へ移動させる際の固定源となる小さなネジ「アンカースクリュー」を埋入します。
このアンカースクリューを活用し、上顎の歯列全体を後方へ動かす治療「上顎歯列の遠心移動」を行いました。
矯正終了後には、歯ぎしりが原因で大きくすり減っていた犬歯に対し、樹脂で形を整える「コンポジットレジン修復」を施しています。
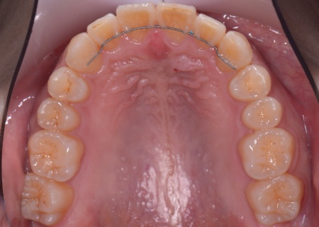
続いて、歯並びの後戻りを防ぐため、上下前歯の裏側に固定式の保定ワイヤー「T‑fix」を装着しました。
また、歯ぎしりの負担を軽減する目的で、就寝時に装着する保護装置「ナイトガード」の使用をお願いしています。
この治療のリスクについて
・治療中、発音しにくい場合があります
・治療中、舌が動かしにくいことがあります
・治療中、装置によってまれに頬の内側が傷つき、口内炎になる場合があります
・歯の移動に伴って、違和感や痛みを感じる場合があります
・冷たいものを飲んだときに歯がしみる「知覚過敏」の症状が出る場合があります
・正しいブラッシングやメンテナンスを行わない場合、虫歯や歯周病のリスクが高まります
- 年齢・性別 30代女性
- 診療種別 自由診療
- 治療期間の目安 約1年2ヶ月
- 治療回数の目安 -
- 治療費総額の目安 約1,000,000円
※掲載された情報は治療の効果を保証するものではありません。
ご利用により万一何らかの損害が発生したとしても、当サイトは一切責任を負いかねますのでご了承ください。
画像をクリックすると拡大・詳細コメントを確認いただけます
-
大塚歯科TEL:0359038467
-
大塚歯科TEL:0359038467
-
大塚歯科TEL:0359038467
-
大塚歯科TEL:0359038467
-
大塚歯科TEL:0359038467
-
大塚歯科TEL:0359038467
-
大塚歯科TEL:0359038467
-
大塚歯科TEL:0359038467
-
大塚歯科TEL:0359038467
-
大塚歯科TEL:0359038467
-
大塚歯科TEL:0359038467 -
大塚歯科TEL:0359038467
-
大塚歯科TEL:0359038467
-
大塚歯科TEL:0359038467 -
大塚歯科TEL:0359038467
-
大塚歯科TEL:0359038467
-
大塚歯科TEL:0359038467 -
大塚歯科TEL:0359038467
問題を報告する
掲載内容に問題がありますか?
こちらのフォームではココシカ!利用規約に違反している可能性のある情報や、
その他の問題がある内容について直接報告することができます。
この機能は、詐欺、スパム、虚偽、不正確であると思われる情報を報告するためのものです。
報告すべき情報の例
- ・差別的または不快感を与えるもの: 性別、年齢、人種、宗教、身体的特徴などに基づく差別が見られるものはこちらに該当します。過度な出血など過激な表現など不適切な内容が含まれる場合も対象です。
- ・虚偽の情報: 何らかの根拠により虚偽が認められる情報が対象です。
- ・不正確な情報: 治療名やリスク、金額、医院情報などに不正確な内容が含まれるものです。多くの場合、これらの問題はココシカ!の掲載基準違反ではありませんが、情報の更新が求められる場合があります。
- ・広告行為: 本サービスの趣旨に反する投稿です。サービス広告、企業やアプリの宣伝、その他問題があると確認された投稿が該当します。
- ・その他: これらのカテゴリーに当てはまらない問題については、[その他] を選択し詳しい情報をご提供ください。
ココシカ!の情報、技術的な問題、医院ページのレビュー、掲載情報に関する問い合わせ、検索結果などに関する一般的な質問、これらの問題に関するお問い合わせは、サポートチームまでご連絡下さい。
| 住所 | 〒177-0044 東京都練馬区上石神井4-7-27 |
|---|---|
| 診療時間 | 9:30~13:00 14:30~19:00 |
| 休診日 | 日曜 祝日 |
| 代表者 | 大塚 正行 |
※記載の内容は最新の情報と異なる場合がございます。正確な情報は歯科医院にご確認ください。
この歯科医院の他の症例
NEW CONTENT 新着コンテンツ
-
「第22回 一般社団法人 日本外傷歯学会・総会・学術大会」開幕、リハビリにフォーカスして歯の損失リスク軽減を目指す
2022.8.8 一般歯科
-
クラウド型歯科用レセコン「POWER5G」が口腔内シミュレーションサービス「DMFTシミュレーター」と提携
2022.6.28 予防歯科
-
豪発のブランド「ビーボックス」から歯固め発売、乳幼児でも持ちやすい設計に
2022.6.24 小児歯科
-
韓国発ライフスタイルケアブランド「ソルトレイン」日本初上陸、伊勢丹新宿でポップアップも
2022.6.22 その他
-
デントウェーブ運営の歯科衛生士向けコミュニティ「歯科衛生士のcoe」無料オンラインイベント開催
2022.3.2 その他
-
竹素材のオーガニック歯ブラシ、日本発サステナブランド「ミヨオーガニック」展開
2022.2.17 予防歯科
