- 矯正歯科
- ワイヤー矯正
- 歯科口腔外科
- 抜歯
30代女性 出っ歯と開咬に対しアンカースクリューを用いたワイヤー矯正で治療した症例
ご相談内容
「昔から出っ歯が気になっていて、治したいと思っていた。また、噛み合わせが悪く奥歯に負担がかかっていて、噛むと痛いことがある」とご相談いただきました。
カウンセリング・診断結果
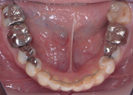
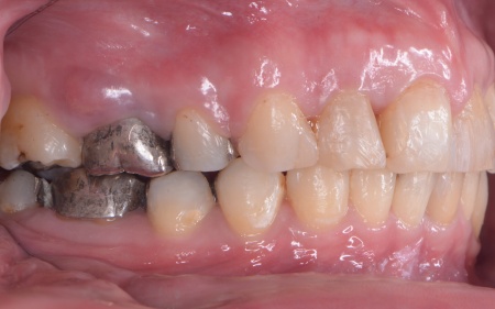
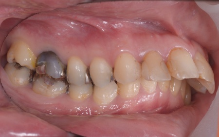
拝見したところ、上前歯が大きく前に出ている上顎前突であり、上下の前歯が噛み合わずに口を閉じても前歯同士が接触しない「開咬(かいこう)」の状態でした。
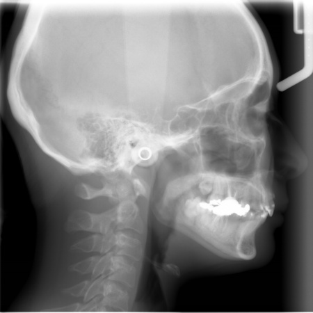
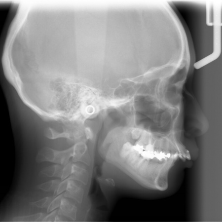
レントゲン撮影をして詳しく調べた結果、歯の位置だけでなく、骨格的な問題があることが分かりました。
また、前歯で食べ物をうまく噛み切ることができないため、奥歯にも強い負担がかかっているだけでなく、このまま放置すると、奥歯がすり減ったり痛みが生じたりするリスクもあります。
以上のことから、噛み合わせを改善する治療が必要だと診断しました。
行ったご提案・治療内容
患者様の場合、骨格的な上顎前突が噛み合わせを乱している主な原因であることから、矯正治療では前歯を後方へ大きく動かすためのスペースを確保する必要があります。
そのため、今回は以下2つの方法を提案しました。
①抜歯後、アンカースクリューを用いたワイヤー矯正
アンカースクリューとは、顎の骨に埋め込んで歯を移動させる固定源とする矯正用の小さなネジのことです。
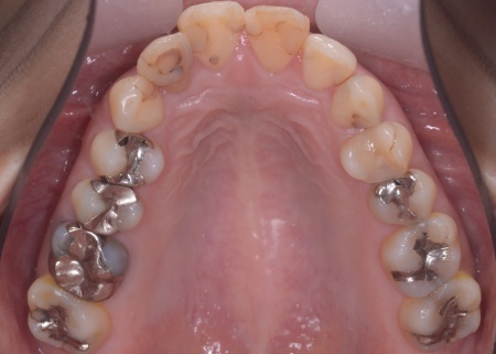
上顎の奥歯(第1小臼歯)を左右1本ずつ抜き、奥歯にアンカースクリューを埋め込みます。上奥歯をしっかりと固定することで、抜歯で確保したスペースを最大限に活用しながら、前歯を効率よく後方へ牽引することが可能です。
メリット:骨格的な上顎前突に対応しやすく、前歯を大きく後方へ動かすことができる
デメリット:抜歯後に痛みや腫れが伴う場合がある。ワイヤー矯正装置は取り外しができないため、やや目立つ
②取り外し可能な装置を使用するマウスピース矯正
透明な樹脂製のマウスピース(アライナー)を段階的に交換しながら、歯を少しずつ動かしていく矯正方法です。
メリット:装置が透明で目立ちにくく、取り外しができる
デメリット:決められた時間装着しないと、十分な効果が得られにくい。骨格の問題で重度の上顎前突になっている場合は対応が難しい
以上のメリットとデメリットを丁寧にお伝えしたところ、患者様は①のアンカースクリューを用いたワイヤー矯正を選択されました。
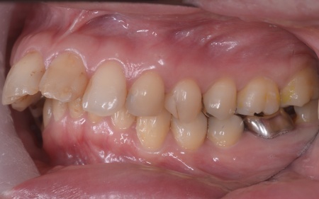
まず、上顎の左右奥歯を抜き、前歯を後方に動かすためのスペースを確保します。
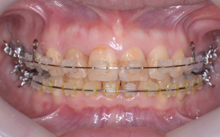
次にアンカースクリューを埋入し、上下の歯にワイヤー矯正装置を装着して、少しずつ歯を動かしました。
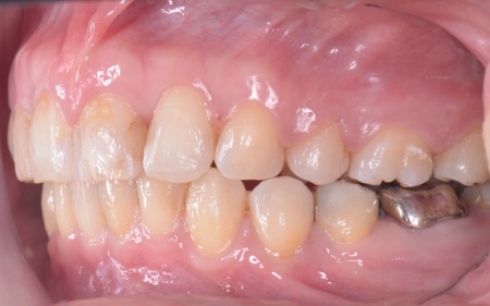
治療の結果、前歯が正しく噛み合うようになり、横顔のバランスも整いました。
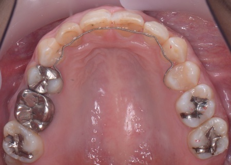
矯正治療終了後は、歯が元の場所に戻らないよう上下前歯に保定装置(リテーナー)を装着し、治療を終了しています。
この治療のリスクについて
・治療中、発音しにくい場合があります
・治療中、舌が動かしにくいことがあります
・治療中、装置によってまれに頬の内側が傷つき、口内炎になる場合があります
・冷たいものを飲んだときに歯がしみる「知覚過敏」の症状が出る場合があります
・持病をお持ちの方や、服用中のお薬の種類によっては、外科処置ができない場合があります
・外科処置後に痛みが長引く場合があります。必要に応じ痛み止めを併用します
- 年齢・性別 30代女性
- 診療種別 自由診療
- 治療期間の目安 2年6ヶ月
- 治療回数の目安 -
- 治療費総額の目安 約1,000,000円
※掲載された情報は治療の効果を保証するものではありません。
ご利用により万一何らかの損害が発生したとしても、当サイトは一切責任を負いかねますのでご了承ください。
画像をクリックすると拡大・詳細コメントを確認いただけます
-
大塚歯科TEL:0359038467
-
大塚歯科TEL:0359038467
-
大塚歯科TEL:0359038467
-
大塚歯科TEL:0359038467
-
大塚歯科TEL:0359038467
-
大塚歯科TEL:0359038467
-
大塚歯科TEL:0359038467
-
大塚歯科TEL:0359038467 -
大塚歯科TEL:0359038467
-
大塚歯科TEL:0359038467
-
大塚歯科TEL:0359038467 -
大塚歯科TEL:0359038467
-
大塚歯科TEL:0359038467
-
大塚歯科TEL:0359038467 -
大塚歯科TEL:0359038467
-
大塚歯科TEL:0359038467
-
大塚歯科TEL:0359038467 -
大塚歯科TEL:0359038467
問題を報告する
掲載内容に問題がありますか?
こちらのフォームではココシカ!利用規約に違反している可能性のある情報や、
その他の問題がある内容について直接報告することができます。
この機能は、詐欺、スパム、虚偽、不正確であると思われる情報を報告するためのものです。
報告すべき情報の例
- ・差別的または不快感を与えるもの: 性別、年齢、人種、宗教、身体的特徴などに基づく差別が見られるものはこちらに該当します。過度な出血など過激な表現など不適切な内容が含まれる場合も対象です。
- ・虚偽の情報: 何らかの根拠により虚偽が認められる情報が対象です。
- ・不正確な情報: 治療名やリスク、金額、医院情報などに不正確な内容が含まれるものです。多くの場合、これらの問題はココシカ!の掲載基準違反ではありませんが、情報の更新が求められる場合があります。
- ・広告行為: 本サービスの趣旨に反する投稿です。サービス広告、企業やアプリの宣伝、その他問題があると確認された投稿が該当します。
- ・その他: これらのカテゴリーに当てはまらない問題については、[その他] を選択し詳しい情報をご提供ください。
ココシカ!の情報、技術的な問題、医院ページのレビュー、掲載情報に関する問い合わせ、検索結果などに関する一般的な質問、これらの問題に関するお問い合わせは、サポートチームまでご連絡下さい。
| 住所 | 〒177-0044 東京都練馬区上石神井4-7-27 |
|---|---|
| 診療時間 | 9:30~13:00 14:30~19:00 |
| 休診日 | 日曜 祝日 |
| 代表者 | 大塚 正行 |
※記載の内容は最新の情報と異なる場合がございます。正確な情報は歯科医院にご確認ください。
この歯科医院の他の症例
NEW CONTENT 新着コンテンツ
-
「第22回 一般社団法人 日本外傷歯学会・総会・学術大会」開幕、リハビリにフォーカスして歯の損失リスク軽減を目指す
2022.8.8 一般歯科
-
クラウド型歯科用レセコン「POWER5G」が口腔内シミュレーションサービス「DMFTシミュレーター」と提携
2022.6.28 予防歯科
-
豪発のブランド「ビーボックス」から歯固め発売、乳幼児でも持ちやすい設計に
2022.6.24 小児歯科
-
韓国発ライフスタイルケアブランド「ソルトレイン」日本初上陸、伊勢丹新宿でポップアップも
2022.6.22 その他
-
デントウェーブ運営の歯科衛生士向けコミュニティ「歯科衛生士のcoe」無料オンラインイベント開催
2022.3.2 その他
-
竹素材のオーガニック歯ブラシ、日本発サステナブランド「ミヨオーガニック」展開
2022.2.17 予防歯科
