- 虫歯
- 骨再生
- 歯周外科
- 詰め物・被せもの
- セラミック・ジルコニア
- インプラント
- ブリッジ
- 抜歯
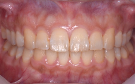
50代女性 保存が難しい歯を抜いてインプラントとブリッジで補い口腔内全体を治療した症例
ご相談内容
「被せ物の根元が黒くなっているので、きれいにしたい」とご相談いただきました。
カウンセリング・診断結果
拝見したところ、上左右前歯2本と下左右前歯6本を除くすべての歯に、被せ物や詰め物が装着されていました。しかし、右上奥歯1本の詰め物を除いたすべての被せ物や詰め物が経年劣化により変形しており、わずかな隙間から細菌が入り込んだことが原因で虫歯が再発しています。
さらに、歯茎が下がって歯の根元が露出しており、黒く変色している部位もあります。
右下奥歯には、欠損している歯を補うために、前後の歯を土台として橋を渡すように人工歯を入れる「ブリッジ」が装着されていました。しかし、ブリッジを支えている右下奥歯(第2小臼歯)に大きな負担がかかり、歯の根が割れる「歯根破折」が生じているため、歯の温存が難しいと考えられます。
また、左下奥歯(第1大臼歯)は虫歯が深くまで進行しているため、こちらの歯も温存が難しい状態です。
このまま放置すると虫歯が進行して神経にまで達し、強い痛みが出るおそれがあるため、早急に治療する必要があると診断しました。
行ったご提案・治療内容
下左右奥歯2本は温存が難しいため抜く必要があること、虫歯が再発している被せ物や詰め物の修復方法について以下の提案を行い、同意いただきました。
①歯根が折れた右下奥歯(第2小臼歯)を抜き、欠損部位と併せて顎の骨に2本の人工歯根を埋入して歯を補う「インプラント治療」を行う
②虫歯が進行した左下奥歯(第1大臼歯)を抜き、左下奥歯3本(第1小臼歯、第2小臼歯、第2大臼歯)を土台としてブリッジで修復する
③そのほかの部位は、経年劣化した被せ物と詰め物、再発した虫歯をすべて除去し、新しく作り直す
上左右前歯4本:自然な見た目が特徴の「セラミック」を用いた被せ物の中でも、とくに強度に優れた「ジルコニアセラミッククラウン」で修復する
上左右奥歯5本と下右奥歯2本:同じくセラミック素材の被せ物「セラミッククラウン」や、セラミック素材の詰め物「セラミックインレー」で修復する
まず、歯根が折れた右下奥歯を抜きます。検査の結果、インプラントを埋入するために必要な骨の量が不足していたことが判明したため、骨の量を増やす処置「骨移植」を行いました。
骨の再生が確認できてから、右下奥歯の欠損部分にインプラントを2本埋め込む一次手術を行いました。
二次手術では、歯茎を切開しインプラントの頭の部分を露出させ、治癒した時に被せ物の型どりができる状態になるように歯茎の形を整えて縫合します。
また、二次手術と同時に、口の中からとくに硬くて強い部分の歯肉を採取し、インプラント埋入部位に移植する手術「角化歯肉移植」を実施しました。
この処置を行うと、歯茎が硬くなって動きにくくなるため、歯ブラシの力がしっかり伝わって歯磨きがしやすくなったり、汚れが溜まりにくくなったりする効果が期待できます。
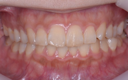
歯茎が治癒した後に、精密な型取りを行って被せ物を作製し、最終的な被せ物としてセラミックの人工歯をインプラントに装着しました。
続いて、虫歯が進行した左下奥歯(第1大臼歯)を抜いたところ、ブリッジの土台にする左下奥歯2本も虫歯が深く進行していたため、歯茎を下げて虫歯治療をしやすくする「歯周外科処置」を行いながら、虫歯を完全に除去しました。
また抜歯と併せて、歯周病や抜歯によって減少した骨の量を増やす処置「骨外科処置」も実施しています。
加えて、歯茎が薄い部分に自身の歯茎を移植する手術「歯肉移植術」を行いました。これは、歯茎の形を整えて厚みや高さを確保し、ブリッジをしっかりとフィットさせるための処置です。
歯茎が引き締まって状態が安定したことが確認できたら、精密な型取りを行い、耐久性に優れ自然な白さがある「セラミックブリッジ」を作製し、装着しました。
上左右前歯4本、上左右奥歯5本、下右奥歯2本は、劣化した被せ物と詰め物、再発した虫歯を除去してから、精密な型取りを行います。
その後、上左右前歯4本にはジルコニアセラミッククラウンを、上左右奥歯5本と下右奥歯2本にはセラミッククラウンとセラミックインレーを装着しました。
それぞれの被せ物や詰め物がしっかりとなじみ、噛み合わせや装着感に問題がないことを確認して、治療を終了しています。
この治療のリスクについて
・外科手術のため、術後に痛みや腫れ、違和感を伴います
・メンテナンスを怠ったり、喫煙したりすると、お口の中に大きな悪影響を及ぼし、インプラント周囲炎などにかかる可能性があります
・糖尿病、肝硬変、心臓病などの持病をお持ちの場合、インプラント治療ができない可能性があります
・高血圧、貧血・不整脈などの持病をお持ちの場合、インプラント治療後に治癒不全を招く可能性があります
・土台となる歯に負担がかかるため、将来的に歯が揺れたり、歯の根が割れたりする可能性があります
・噛み合わせや歯ぎしりが強い場合、セラミックが割れる可能性があります
- 年齢・性別 50代女性
- 診療種別 自由診療
- 治療期間の目安 約1年6ヶ月
- 治療回数の目安 -
-
治療費総額の目安
約2,915,000円
(歯周外科治療、インプラント2本、セラミッククラウン12本、 セラミックインレー3本)
※掲載された情報は治療の効果を保証するものではありません。
ご利用により万一何らかの損害が発生したとしても、当サイトは一切責任を負いかねますのでご了承ください。
画像をクリックすると拡大・詳細コメントを確認いただけます
-
大塚歯科TEL:0359038467
-
大塚歯科TEL:0359038467
-
大塚歯科TEL:0359038467
-
大塚歯科TEL:0359038467
-
大塚歯科TEL:0359038467
-
大塚歯科TEL:0359038467
-
大塚歯科TEL:0359038467
-
大塚歯科TEL:0359038467
-
大塚歯科TEL:0359038467
-
大塚歯科TEL:0359038467
-
大塚歯科TEL:0359038467
-
大塚歯科TEL:0359038467
-
大塚歯科TEL:0359038467
-
大塚歯科TEL:0359038467 -
大塚歯科TEL:0359038467
問題を報告する
掲載内容に問題がありますか?
こちらのフォームではココシカ!利用規約に違反している可能性のある情報や、
その他の問題がある内容について直接報告することができます。
この機能は、詐欺、スパム、虚偽、不正確であると思われる情報を報告するためのものです。
報告すべき情報の例
- ・差別的または不快感を与えるもの: 性別、年齢、人種、宗教、身体的特徴などに基づく差別が見られるものはこちらに該当します。過度な出血など過激な表現など不適切な内容が含まれる場合も対象です。
- ・虚偽の情報: 何らかの根拠により虚偽が認められる情報が対象です。
- ・不正確な情報: 治療名やリスク、金額、医院情報などに不正確な内容が含まれるものです。多くの場合、これらの問題はココシカ!の掲載基準違反ではありませんが、情報の更新が求められる場合があります。
- ・広告行為: 本サービスの趣旨に反する投稿です。サービス広告、企業やアプリの宣伝、その他問題があると確認された投稿が該当します。
- ・その他: これらのカテゴリーに当てはまらない問題については、[その他] を選択し詳しい情報をご提供ください。
ココシカ!の情報、技術的な問題、医院ページのレビュー、掲載情報に関する問い合わせ、検索結果などに関する一般的な質問、これらの問題に関するお問い合わせは、サポートチームまでご連絡下さい。
| 住所 | 〒177-0044 東京都練馬区上石神井4-7-27 |
|---|---|
| 診療時間 | 9:30~13:00 14:30~19:00 |
| 休診日 | 日曜 祝日 |
| 代表者 | 大塚 正行 |
※記載の内容は最新の情報と異なる場合がございます。正確な情報は歯科医院にご確認ください。
この歯科医院の他の症例
NEW CONTENT 新着コンテンツ
-
「第22回 一般社団法人 日本外傷歯学会・総会・学術大会」開幕、リハビリにフォーカスして歯の損失リスク軽減を目指す
2022.8.8 一般歯科
-
クラウド型歯科用レセコン「POWER5G」が口腔内シミュレーションサービス「DMFTシミュレーター」と提携
2022.6.28 予防歯科
-
豪発のブランド「ビーボックス」から歯固め発売、乳幼児でも持ちやすい設計に
2022.6.24 小児歯科
-
韓国発ライフスタイルケアブランド「ソルトレイン」日本初上陸、伊勢丹新宿でポップアップも
2022.6.22 その他
-
デントウェーブ運営の歯科衛生士向けコミュニティ「歯科衛生士のcoe」無料オンラインイベント開催
2022.3.2 その他
-
竹素材のオーガニック歯ブラシ、日本発サステナブランド「ミヨオーガニック」展開
2022.2.17 予防歯科
