- 歯科口腔外科
- 抜歯
- 部分入れ歯
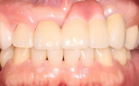
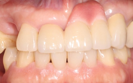
70代男性 歯根が割れた右上の前歯を抜歯後に部分入れ歯で治療した症例
ご相談内容
定期検診で通院中の患者様に「噛むと右上の犬歯に痛みがある」とご相談いただきました。
カウンセリング・診断結果
拝見したところ、右上の犬歯には被せ物が装着されていました。
被せ物が装着されていると、レントゲン検査で歯の内部の状態を正確に確認することは困難です。
そこで、原因を詳しく調べるため被せ物を慎重に取り外し歯の内部を確認したところ、歯根が縦方向に割れる「歯根の垂直破折」が認められました。
この状態になると、隙間から細菌が入り込んで周囲の骨や歯ぐきに感染が広がったり、接着や修復による温存が困難になったりします。
また、このまま放置すると痛みや腫れが悪化し周囲の組織にも影響が及ぶ可能性があるため、抜歯が必要ですが、歯を抜いたままにすると隣の歯が動いて噛み合わせや歯並びに影響が出るおそれもあります。
以上のことから、抜歯したあとに歯を補う治療が必要と診断しました。
行ったご提案・治療内容
抜歯後に歯を補う方法には、欠損歯の両隣の歯を支えにして歯を補うブリッジ・インプラント・入れ歯の3つの治療法がありますが、患者様の場合、右上の犬歯の両隣の歯は治療されているためブリッジによる治療は困難です。
そこで、インプラントまたは入れ歯による治療を提案しました。
・インプラント
顎の骨にチタン製の人工歯根を埋め込み、その上に人工歯を固定する方法
メリット:隣の歯に負担をかけず、天然歯に近い見た目や噛み心地が得られる
デメリット:外科手術が必要となるため、治療期間が数ヶ月単位になる。また、費用面の負担が比較的大きい
・取り外し式の部分入れ歯
金属製のバネ「クラスプ」を使用せず、やわらかい樹脂素材で作製する入れ歯「バルプラスト」で欠損部を補う方法
メリット:審美性に優れており、装着しても目立ちにくい
デメリット:インプラントと比べると安定感に違いが出る場合がある。快適に使用するためには定期的な調整が必要
患者様は当初インプラントを希望されたものの、治療期間が長くなることから「まずは入れ歯で様子をみたい」とバルプラストによる治療を選択されました。
まず、感染の拡大を防ぐために右上犬歯の抜歯を行い、歯ぐきや骨が安定するまで一定期間経過を観察します。
十分な治癒を確認したうえでお口全体の型取りを行い、技工所で入れ歯を作製しました。
後日、完成した入れ歯を患者様のお口に合わせて細かく調整し、装着時の違和感や噛み合わせに問題がないかを丁寧に確認して、治療を終了しました。
この治療のリスクについて
・持病をお持ちの方や、服用中のお薬の種類によっては、外科処置ができない場合があります
・外科処置後に腫れ、出血が生じる場合があります
・外科処置後に痛みが長引く場合があります。必要に応じ痛み止めを併用します
・着脱式のため、食後の清掃が必要です
・最初のうちは異物感があり、慣れるまで時間がかかる場合があります
・慣れるまでは、入れ歯の裏側の粘膜に傷ができる場合があります
- 年齢・性別 70代男性
- 診療種別 自由診療
- 治療期間の目安 約5週間
- 治療回数の目安 -
- 治療費総額の目安 約150,000円
※掲載された情報は治療の効果を保証するものではありません。
ご利用により万一何らかの損害が発生したとしても、当サイトは一切責任を負いかねますのでご了承ください。
画像をクリックすると拡大・詳細コメントを確認いただけます
-
海谷歯科医院TEL:0352611515
-
海谷歯科医院TEL:0352611515
-
海谷歯科医院TEL:0352611515
-
海谷歯科医院TEL:0352611515
-
海谷歯科医院TEL:0352611515
-
海谷歯科医院TEL:0352611515
-
海谷歯科医院TEL:0352611515
-
海谷歯科医院TEL:0352611515
-
海谷歯科医院TEL:0352611515 -
海谷歯科医院TEL:0352611515
-
海谷歯科医院TEL:0352611515 -
海谷歯科医院TEL:0352611515
問題を報告する
掲載内容に問題がありますか?
こちらのフォームではココシカ!利用規約に違反している可能性のある情報や、
その他の問題がある内容について直接報告することができます。
この機能は、詐欺、スパム、虚偽、不正確であると思われる情報を報告するためのものです。
報告すべき情報の例
- ・差別的または不快感を与えるもの: 性別、年齢、人種、宗教、身体的特徴などに基づく差別が見られるものはこちらに該当します。過度な出血など過激な表現など不適切な内容が含まれる場合も対象です。
- ・虚偽の情報: 何らかの根拠により虚偽が認められる情報が対象です。
- ・不正確な情報: 治療名やリスク、金額、医院情報などに不正確な内容が含まれるものです。多くの場合、これらの問題はココシカ!の掲載基準違反ではありませんが、情報の更新が求められる場合があります。
- ・広告行為: 本サービスの趣旨に反する投稿です。サービス広告、企業やアプリの宣伝、その他問題があると確認された投稿が該当します。
- ・その他: これらのカテゴリーに当てはまらない問題については、[その他] を選択し詳しい情報をご提供ください。
ココシカ!の情報、技術的な問題、医院ページのレビュー、掲載情報に関する問い合わせ、検索結果などに関する一般的な質問、これらの問題に関するお問い合わせは、サポートチームまでご連絡下さい。
| 診療科目 | 一般歯科、矯正歯科、インプラント、詰め物・被せ物、歯科口腔外科、精密根管治療、歯周病治療、審美治療 |
|---|---|
| 自由診療 | 虫歯治療、精密根管治療、ワイヤー矯正、セラミック・ジルコニア、ブリッジ |
| 住所 | 〒162-0841 東京都新宿区払方町15番地 小暮ビル2F |
| アクセス | ●JR総武線市ヶ谷駅より 徒歩8分 ●地下鉄有楽町線市ヶ谷駅より 徒歩4分 ●大江戸線牛込神楽坂駅より 徒歩4分 ●JR総武線飯田橋駅より 徒歩14分 |
| 診療時間 | 10:00~13:00 14:30~19:30 |
| 休診日 | 土曜 日曜 祝日 |
| 代表者 | 海谷 幸利 |
※記載の内容は最新の情報と異なる場合がございます。正確な情報は歯科医院にご確認ください。
この歯科医院の他の症例
NEW CONTENT 新着コンテンツ
-
「第22回 一般社団法人 日本外傷歯学会・総会・学術大会」開幕、リハビリにフォーカスして歯の損失リスク軽減を目指す
2022.8.8 一般歯科
-
クラウド型歯科用レセコン「POWER5G」が口腔内シミュレーションサービス「DMFTシミュレーター」と提携
2022.6.28 予防歯科
-
豪発のブランド「ビーボックス」から歯固め発売、乳幼児でも持ちやすい設計に
2022.6.24 小児歯科
-
韓国発ライフスタイルケアブランド「ソルトレイン」日本初上陸、伊勢丹新宿でポップアップも
2022.6.22 その他
-
デントウェーブ運営の歯科衛生士向けコミュニティ「歯科衛生士のcoe」無料オンラインイベント開催
2022.3.2 その他
-
竹素材のオーガニック歯ブラシ、日本発サステナブランド「ミヨオーガニック」展開
2022.2.17 予防歯科
