- 詰め物・被せもの
- セラミック・ジルコニア
- ラミネートベニア
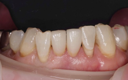
60代女性 すり減った前歯をセラミックのラミネートベニアで修復した症例
ご相談内容
長年、当院に通院されている患者様から「前歯をきれいに治したい」とご相談いただきました。
カウンセリング・診断結果
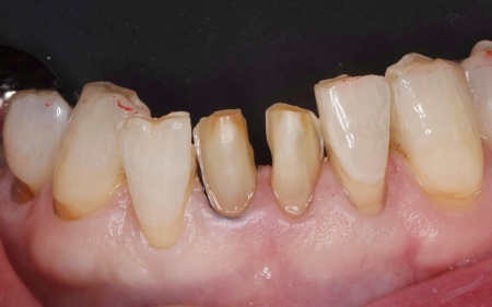
拝見したところ、下中央の前歯2本に長年の使用による色の変化やすり減り、小さな欠けが見られました。
すり減った部分は表面がざらつきやすくそこに着色が付きやすくなるため、患者様の場合も削れている部分が茶色く変色していました。
現時点では痛みや噛みにくさといった機能的な問題はなかったものの、このまま放置するとさらに歯がすり減り、将来的に痛みが出たり噛み合わせに影響が出たりする可能性も考えられます。
また患者様ご本人もお口を開けたときの見た目を気にされていたため、前歯の治療が必要と診断しました。
行ったご提案・治療内容
前歯の見た目を整えるため、以下2つの治療方法をお伝えしました。
①歯全体を白い被せ物で覆う治療
メリット:歯全体を覆うため強度が高く、歯の形を大きく調整することも可能
デメリット:被せ物を装着するために、歯をひと回り小さく削る必要がある
②歯の表面にセラミックの薄い板を貼り付けるラミネートベニア
メリット:歯の表面だけを整える方法のため、被せ物の治療に比べて歯を削る量を少なく抑えることができる
デメリット:被せ物に比べると強度には限界があり、強い力が加わると欠けたり外れたりする可能性がある
それぞれのメリット・デメリットを丁寧に説明したうえで、今回は歯を削る量をできるだけ抑えられる②のラミネートベニアを提案し、同意いただきました。
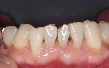
まずセラミックの薄い板を貼り付けるためのスペースを確保するため、前歯の表面をわずかに削る処置を行いました。
その後、歯の形を正確に再現するための型取りを行い、完成までの間は歯を保護する目的で仮歯を装着しています。
後日、完成したセラミックの薄い板を実際に歯に合わせ、色味や形、噛み合わせに問題がないかを確認したうえで歯科用の接着セメントを用いて歯の表面に貼り付け、治療を終了しました。
この治療のリスクについて
・非常に薄いセラミックのため、強度は弱くなります
・中の歯の色の影響を受けやすいため、変色が強い歯には適さない場合があります
・ご使用状況により、割れたり欠けたりする場合があります
・自費診療(保険適用外治療)です
- 年齢・性別 60代女性
- 診療種別 自由診療
- 治療期間の目安 約2週間
- 治療回数の目安 -
- 治療費総額の目安 約250,000円
※掲載された情報は治療の効果を保証するものではありません。
ご利用により万一何らかの損害が発生したとしても、当サイトは一切責任を負いかねますのでご了承ください。
画像をクリックすると拡大・詳細コメントを確認いただけます
問題を報告する
掲載内容に問題がありますか?
こちらのフォームではココシカ!利用規約に違反している可能性のある情報や、
その他の問題がある内容について直接報告することができます。
この機能は、詐欺、スパム、虚偽、不正確であると思われる情報を報告するためのものです。
報告すべき情報の例
- ・差別的または不快感を与えるもの: 性別、年齢、人種、宗教、身体的特徴などに基づく差別が見られるものはこちらに該当します。過度な出血など過激な表現など不適切な内容が含まれる場合も対象です。
- ・虚偽の情報: 何らかの根拠により虚偽が認められる情報が対象です。
- ・不正確な情報: 治療名やリスク、金額、医院情報などに不正確な内容が含まれるものです。多くの場合、これらの問題はココシカ!の掲載基準違反ではありませんが、情報の更新が求められる場合があります。
- ・広告行為: 本サービスの趣旨に反する投稿です。サービス広告、企業やアプリの宣伝、その他問題があると確認された投稿が該当します。
- ・その他: これらのカテゴリーに当てはまらない問題については、[その他] を選択し詳しい情報をご提供ください。
ココシカ!の情報、技術的な問題、医院ページのレビュー、掲載情報に関する問い合わせ、検索結果などに関する一般的な質問、これらの問題に関するお問い合わせは、サポートチームまでご連絡下さい。
| 診療科目 | 一般歯科、矯正歯科、インプラント、詰め物・被せ物、歯科口腔外科、精密根管治療、歯周病治療、審美治療 |
|---|---|
| 自由診療 | 虫歯治療、精密根管治療、ワイヤー矯正、セラミック・ジルコニア、ブリッジ |
| 住所 | 〒162-0841 東京都新宿区払方町15番地 小暮ビル2F |
| アクセス | ●JR総武線市ヶ谷駅より 徒歩8分 ●地下鉄有楽町線市ヶ谷駅より 徒歩4分 ●大江戸線牛込神楽坂駅より 徒歩4分 ●JR総武線飯田橋駅より 徒歩14分 |
| 診療時間 | 10:00~13:00 14:30~19:30 |
| 休診日 | 土曜 日曜 祝日 |
| 代表者 | 海谷 幸利 |
※記載の内容は最新の情報と異なる場合がございます。正確な情報は歯科医院にご確認ください。
この歯科医院の他の症例
NEW CONTENT 新着コンテンツ
-
「第22回 一般社団法人 日本外傷歯学会・総会・学術大会」開幕、リハビリにフォーカスして歯の損失リスク軽減を目指す
2022.8.8 一般歯科
-
クラウド型歯科用レセコン「POWER5G」が口腔内シミュレーションサービス「DMFTシミュレーター」と提携
2022.6.28 予防歯科
-
豪発のブランド「ビーボックス」から歯固め発売、乳幼児でも持ちやすい設計に
2022.6.24 小児歯科
-
韓国発ライフスタイルケアブランド「ソルトレイン」日本初上陸、伊勢丹新宿でポップアップも
2022.6.22 その他
-
デントウェーブ運営の歯科衛生士向けコミュニティ「歯科衛生士のcoe」無料オンラインイベント開催
2022.3.2 その他
-
竹素材のオーガニック歯ブラシ、日本発サステナブランド「ミヨオーガニック」展開
2022.2.17 予防歯科
