- 根管治療
50代女性 歯根の細菌感染が原因で生じた歯性上顎洞炎を精密根管治療で改善した症例
ご相談内容
「鼻から膿が出るので耳鼻科に行ったところ、歯が原因かもしれないと言われたのでこちらを受診した」とご相談いただきました。
カウンセリング・診断結果
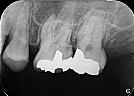
口腔内を拝見し、レントゲンとCT撮影による詳しい検査を行った結果、左上奥歯の歯根内に細菌感染が起きており、炎症が歯根の先から鼻の横にある空洞「上顎洞(じょうがくどう)」にまで広がっていることがわかりました。
これは、歯性上顎洞炎(しせいじょうがくどうえん)と呼ばれる病気で、鼻づまりや鼻水、膿のにおいがするなどの症状があらわれることがあります。
この状態は、耳鼻科の治療だけでは十分な改善が難しく、原因となっている歯の感染を取り除くことが重要です。
また、このまま放置すると感染が周囲に広がり、炎症がさらに強くなったり歯を残すことが難しくなったりするリスクが高まります。
以上のことから、細菌に感染した部位を取り除き、歯の温存を目指す治療が必要だと診断しました。
行ったご提案・治療内容
歯性上顎洞炎を改善するためには、原因となっている歯根内部の細菌をできるだけ除去する必要があります。
また、患者様は「できるだけ歯を残して治したい」と希望されていたことから、精密根管治療を提案しました。
精密根管治療ではマイクロスコープ(歯科用高倍率顕微鏡)を使用し、肉眼では確認が難しい部分を拡大しながら治療を行います。これにより、複雑な根管内部や細かな感染部位まで確認できるため、より精密な処置が可能です。
一方で、根管の形態や感染の程度によっては治療が複数回に及ぶ場合があること、また根管治療を行っても上顎洞炎の改善がみられない場合には、外科的処置や抜歯を検討する必要があることもお伝えしています。
患者様には以上の内容をしっかりとご理解いただいたうえで、治療に同意いただきました。
まずは、左上奥歯に装着されていた既存の詰め物を取り外し、根管内部を確認します。
続いて、マイクロスコープを使用しながら専用の器具を用いて根管内の感染した組織を丁寧に除去し、消毒薬で根管内を十分に洗浄します。
感染が広範囲に及んでいたため、複数回にわたり洗浄と消毒を実施しました。
根管内部の洗浄と消毒が完了したら、根管の内部を密封する処置を行います。
今回は、歯とのなじみがよく、歯根の先や複雑な形の部分にも適応しやすいMTAという材料を使用しました。
最後にレントゲン撮影を行い、根管がしっかりと封鎖されていることを確認して、治療を終了しています。
この治療のリスクについて
・まれに根管治療後も再治療、外科手術、抜歯などの処置が必要となる場合があります
・治療中まれに器具の破折、被せ物や詰め物など修復物の損傷、歯の破折が起こる場合があります
・治療中や治療後に不快症状が出たり、治療後に痛みや腫れなどが生じたりする可能性があります
・一部の治療を除き、自費診療(保険適用外)です
- 年齢・性別 50代女性
- 診療種別 自由診療
- 治療期間の目安 約5週間
- 治療回数の目安 -
- 治療費総額の目安 約120,000円
※掲載された情報は治療の効果を保証するものではありません。
ご利用により万一何らかの損害が発生したとしても、当サイトは一切責任を負いかねますのでご了承ください。
画像をクリックすると拡大・詳細コメントを確認いただけます
問題を報告する
掲載内容に問題がありますか?
こちらのフォームではココシカ!利用規約に違反している可能性のある情報や、
その他の問題がある内容について直接報告することができます。
この機能は、詐欺、スパム、虚偽、不正確であると思われる情報を報告するためのものです。
報告すべき情報の例
- ・差別的または不快感を与えるもの: 性別、年齢、人種、宗教、身体的特徴などに基づく差別が見られるものはこちらに該当します。過度な出血など過激な表現など不適切な内容が含まれる場合も対象です。
- ・虚偽の情報: 何らかの根拠により虚偽が認められる情報が対象です。
- ・不正確な情報: 治療名やリスク、金額、医院情報などに不正確な内容が含まれるものです。多くの場合、これらの問題はココシカ!の掲載基準違反ではありませんが、情報の更新が求められる場合があります。
- ・広告行為: 本サービスの趣旨に反する投稿です。サービス広告、企業やアプリの宣伝、その他問題があると確認された投稿が該当します。
- ・その他: これらのカテゴリーに当てはまらない問題については、[その他] を選択し詳しい情報をご提供ください。
ココシカ!の情報、技術的な問題、医院ページのレビュー、掲載情報に関する問い合わせ、検索結果などに関する一般的な質問、これらの問題に関するお問い合わせは、サポートチームまでご連絡下さい。
| 診療科目 | 一般歯科、矯正歯科、インプラント、詰め物・被せ物、歯科口腔外科、精密根管治療、歯周病治療、審美治療 |
|---|---|
| 自由診療 | 虫歯治療、精密根管治療、ワイヤー矯正、セラミック・ジルコニア、ブリッジ |
| 住所 | 〒162-0841 東京都新宿区払方町15番地 小暮ビル2F |
| アクセス | ●JR総武線市ヶ谷駅より 徒歩8分 ●地下鉄有楽町線市ヶ谷駅より 徒歩4分 ●大江戸線牛込神楽坂駅より 徒歩4分 ●JR総武線飯田橋駅より 徒歩14分 |
| 診療時間 | 10:00~13:00 14:30~19:30 |
| 休診日 | 土曜 日曜 祝日 |
| 代表者 | 海谷 幸利 |
※記載の内容は最新の情報と異なる場合がございます。正確な情報は歯科医院にご確認ください。
この歯科医院の他の症例
NEW CONTENT 新着コンテンツ
-
「第22回 一般社団法人 日本外傷歯学会・総会・学術大会」開幕、リハビリにフォーカスして歯の損失リスク軽減を目指す
2022.8.8 一般歯科
-
クラウド型歯科用レセコン「POWER5G」が口腔内シミュレーションサービス「DMFTシミュレーター」と提携
2022.6.28 予防歯科
-
豪発のブランド「ビーボックス」から歯固め発売、乳幼児でも持ちやすい設計に
2022.6.24 小児歯科
-
韓国発ライフスタイルケアブランド「ソルトレイン」日本初上陸、伊勢丹新宿でポップアップも
2022.6.22 その他
-
デントウェーブ運営の歯科衛生士向けコミュニティ「歯科衛生士のcoe」無料オンラインイベント開催
2022.3.2 その他
-
竹素材のオーガニック歯ブラシ、日本発サステナブランド「ミヨオーガニック」展開
2022.2.17 予防歯科
