- 根管治療
- 詰め物・被せもの
- セラミック・ジルコニア
60代女性 割れた歯を抜かず審美性に優れたジルコニアの被せ物で修復した症例
ご相談内容
「痛みはないが、歯が欠けた」とご相談いただきました。
カウンセリング・診断結果
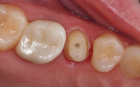
レントゲン撮影をして詳しく拝見したところ、右上奥歯の頭部分「歯冠」が縦に割れる「歯冠の垂直破折」が確認できました。
割れ目が深い場合は、歯の温存が困難です。
今回の症例では、症状や割れ方に応じて治療方針を慎重に判断する必要があると診断しました。
行ったご提案・治療内容
患者様は「できるだけ歯を残したい」と強く希望されたため、抜歯せず温存する方法として、以下3つの工程による治療計画を提案しました。
1:細菌感染した神経を取り除いてから薬を詰める「根管治療」
メリット:感染部分を除去することで、歯を温存できる可能性が高まる
デメリット:治療が複数回になることがある。歯の強度がやや弱くなる場合がある
2:歯を長く使えるように土台をたてる「支台築造」
メリット:弱くなった歯を補強し、被せ物を安定して装着できるようになる
デメリット:歯の状態によっては、土台を立てても強度が十分に確保できない場合がある
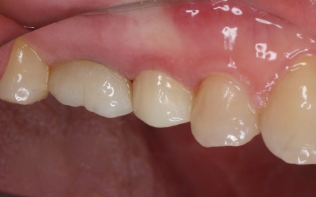
3:被せ物による「補綴修復」
メリット:噛む機能と見た目を回復し、歯を長期的に保護できる
デメリット:素材によって費用がかかり、正確に適合させるための調整が必要になることがある
以上のメリットとデメリットを丁寧にお伝えし、治療に同意いただきました。
被せ物については、自費診療の白い素材「セラミック」の中でも、強度と審美性に優れた「ジルコニア」を選択しています。
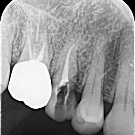
まず、割れている部分をしっかりと確認し、必要な部分を除去してから根管治療を行います。
薬剤を歯根の先までしっかりと詰め、支台築造で土台を作製したあと、被せ物を作製しました。
最後に、完成した被せ物を装着し、噛み合わせや見た目に問題がないことを確認して、治療を終了しています。
なお、患者様の下の歯の治療についてはこちら:https://coco-sika.com/case/56456/
この治療のリスクについて
・装着に際し、天然歯を削る場合があります
・硬い素材の場合、他の天然歯を傷つけることがあります
・噛み合わせや歯ぎしりが強い場合、セラミックが割れる可能性があります
・一部の治療を除き、自費診療(保険適用外治療)です
・まれに根管治療後も再治療、外科手術、抜歯などの処置が必要となる場合があります
・治療中まれに器具の破折、被せ物や詰め物など修復物の損傷、歯の破折が起こる場合があります
- 年齢・性別 60代女性
- 診療種別 自由診療
- 治療期間の目安 約5週間
- 治療回数の目安 -
- 治療費総額の目安 約227,000円
※掲載された情報は治療の効果を保証するものではありません。
ご利用により万一何らかの損害が発生したとしても、当サイトは一切責任を負いかねますのでご了承ください。
画像をクリックすると拡大・詳細コメントを確認いただけます
-
海谷歯科医院TEL:0352611515
-
海谷歯科医院TEL:0352611515
-
海谷歯科医院TEL:0352611515
-
海谷歯科医院TEL:0352611515 -
海谷歯科医院TEL:0352611515
-
海谷歯科医院TEL:0352611515
問題を報告する
掲載内容に問題がありますか?
こちらのフォームではココシカ!利用規約に違反している可能性のある情報や、
その他の問題がある内容について直接報告することができます。
この機能は、詐欺、スパム、虚偽、不正確であると思われる情報を報告するためのものです。
報告すべき情報の例
- ・差別的または不快感を与えるもの: 性別、年齢、人種、宗教、身体的特徴などに基づく差別が見られるものはこちらに該当します。過度な出血など過激な表現など不適切な内容が含まれる場合も対象です。
- ・虚偽の情報: 何らかの根拠により虚偽が認められる情報が対象です。
- ・不正確な情報: 治療名やリスク、金額、医院情報などに不正確な内容が含まれるものです。多くの場合、これらの問題はココシカ!の掲載基準違反ではありませんが、情報の更新が求められる場合があります。
- ・広告行為: 本サービスの趣旨に反する投稿です。サービス広告、企業やアプリの宣伝、その他問題があると確認された投稿が該当します。
- ・その他: これらのカテゴリーに当てはまらない問題については、[その他] を選択し詳しい情報をご提供ください。
ココシカ!の情報、技術的な問題、医院ページのレビュー、掲載情報に関する問い合わせ、検索結果などに関する一般的な質問、これらの問題に関するお問い合わせは、サポートチームまでご連絡下さい。
| 診療科目 | 一般歯科、矯正歯科、インプラント、詰め物・被せ物、歯科口腔外科、精密根管治療、歯周病治療、審美治療 |
|---|---|
| 自由診療 | 虫歯治療、精密根管治療、ワイヤー矯正、セラミック・ジルコニア、ブリッジ |
| 住所 | 〒162-0841 東京都新宿区払方町15番地 小暮ビル2F |
| アクセス | ●JR総武線市ヶ谷駅より 徒歩8分 ●地下鉄有楽町線市ヶ谷駅より 徒歩4分 ●大江戸線牛込神楽坂駅より 徒歩4分 ●JR総武線飯田橋駅より 徒歩14分 |
| 診療時間 | 10:00~13:00 14:30~19:30 |
| 休診日 | 土曜 日曜 祝日 |
| 代表者 | 海谷 幸利 |
※記載の内容は最新の情報と異なる場合がございます。正確な情報は歯科医院にご確認ください。
この歯科医院の他の症例
NEW CONTENT 新着コンテンツ
-
「第22回 一般社団法人 日本外傷歯学会・総会・学術大会」開幕、リハビリにフォーカスして歯の損失リスク軽減を目指す
2022.8.8 一般歯科
-
クラウド型歯科用レセコン「POWER5G」が口腔内シミュレーションサービス「DMFTシミュレーター」と提携
2022.6.28 予防歯科
-
豪発のブランド「ビーボックス」から歯固め発売、乳幼児でも持ちやすい設計に
2022.6.24 小児歯科
-
韓国発ライフスタイルケアブランド「ソルトレイン」日本初上陸、伊勢丹新宿でポップアップも
2022.6.22 その他
-
デントウェーブ運営の歯科衛生士向けコミュニティ「歯科衛生士のcoe」無料オンラインイベント開催
2022.3.2 その他
-
竹素材のオーガニック歯ブラシ、日本発サステナブランド「ミヨオーガニック」展開
2022.2.17 予防歯科
