- 根管治療
60代男性 歯根の炎症で腫れた歯ぐきを精密根管治療で回復し歯を温存した症例
ご相談内容
「右下の歯ぐきが腫れているのが気になる」とご相談いただきました。
カウンセリング・診断結果
拝見したところ、右下奥歯の根元の歯ぐきに腫れが見られました。
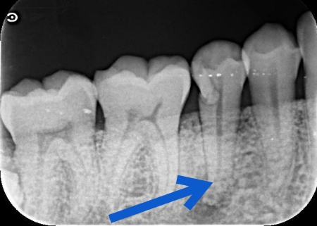
原因を調べるためにレントゲン検査を行ったところ、歯の根の先に炎症が起きている様子が確認できました。
さらに詳しく調べた結果、歯根の壁に穴があくパーフォレーションが起きており、その穴から細菌が入り込んで歯根の周囲に感染と炎症が広がっていると考えられます。
パーフォレーションとは、歯の内部にある神経の通り道と歯の外側を隔てている壁に穴があいてしまう状態のことです。
虫歯の進行や過去の治療、強い噛み合わせなどが原因で生じ、穴があいた部分から細菌が侵入すると歯の周囲に膿がたまって歯ぐきの腫れや痛みを引き起こします。
このまま放置すると、炎症がさらに広がり歯を残すことが難しくなる可能性があることから、できるだけ早めに処置を行う必要があると診断しました。
行ったご提案・治療内容
治療方法としては、いくつかの選択肢があります。
①抜歯(歯を抜く治療)
メリット:炎症の原因となっている歯を取り除くことができる
デメリット:歯を失うため、その後にブリッジや入れ歯、インプラントなどで補う治療が必要になる
②精密な根管治療による保存治療
メリット:自身の歯を残せる可能性がある
デメリット:自費診療となること、治療後に一時的な痛みや違和感が出る場合がある
今回はできる限り歯を残すため、歯科用マイクロスコープを使用した精密な根管治療を提案しました。
拡大視野のもとで感染した組織を丁寧に取り除き、穴があいている部分はMTAセメントという材料で封鎖する方法です。
MTAセメントは歯の内部をしっかりと封鎖できる歯科用材料で、細菌の侵入を防ぐ目的で使用されます。
それぞれの治療方法について丁寧にお伝えしたところ、精密な根管治療に同意いただきました。
まず右下奥歯を削り、歯の内部にある感染した組織を取り除きます。
併せてマイクロスコープで拡大しながら、パーフォレーションの位置や状態も慎重に確認しました。
その後、穴があいている部分をMTAセメントでしっかりと封鎖し、治療を終了しました。
この治療のリスクについて
・まれに根管治療後も再治療、外科手術、抜歯などの処置が必要となる場合があります
・治療中まれに器具の破折、被せ物や詰め物など修復物の損傷、歯の破折が起こる場合があります
・治療中や治療後に不快症状が出たり、治療後に痛みや腫れなどが生じたりする可能性があります
・一部の治療を除き、自費診療(保険適用外)です
- 年齢・性別 60代男性
- 診療種別 自由診療
- 治療期間の目安 約4週間
- 治療回数の目安 -
- 治療費総額の目安 約120,000円
※掲載された情報は治療の効果を保証するものではありません。
ご利用により万一何らかの損害が発生したとしても、当サイトは一切責任を負いかねますのでご了承ください。
画像をクリックすると拡大・詳細コメントを確認いただけます
-
海谷歯科医院TEL:0352611515
-
海谷歯科医院TEL:0352611515
-
海谷歯科医院TEL:0352611515
-
海谷歯科医院TEL:0352611515
-
海谷歯科医院TEL:0352611515 -
海谷歯科医院TEL:0352611515
問題を報告する
掲載内容に問題がありますか?
こちらのフォームではココシカ!利用規約に違反している可能性のある情報や、
その他の問題がある内容について直接報告することができます。
この機能は、詐欺、スパム、虚偽、不正確であると思われる情報を報告するためのものです。
報告すべき情報の例
- ・差別的または不快感を与えるもの: 性別、年齢、人種、宗教、身体的特徴などに基づく差別が見られるものはこちらに該当します。過度な出血など過激な表現など不適切な内容が含まれる場合も対象です。
- ・虚偽の情報: 何らかの根拠により虚偽が認められる情報が対象です。
- ・不正確な情報: 治療名やリスク、金額、医院情報などに不正確な内容が含まれるものです。多くの場合、これらの問題はココシカ!の掲載基準違反ではありませんが、情報の更新が求められる場合があります。
- ・広告行為: 本サービスの趣旨に反する投稿です。サービス広告、企業やアプリの宣伝、その他問題があると確認された投稿が該当します。
- ・その他: これらのカテゴリーに当てはまらない問題については、[その他] を選択し詳しい情報をご提供ください。
ココシカ!の情報、技術的な問題、医院ページのレビュー、掲載情報に関する問い合わせ、検索結果などに関する一般的な質問、これらの問題に関するお問い合わせは、サポートチームまでご連絡下さい。
| 診療科目 | 一般歯科、矯正歯科、インプラント、詰め物・被せ物、歯科口腔外科、精密根管治療、歯周病治療、審美治療 |
|---|---|
| 自由診療 | 虫歯治療、精密根管治療、ワイヤー矯正、セラミック・ジルコニア、ブリッジ |
| 住所 | 〒162-0841 東京都新宿区払方町15番地 小暮ビル2F |
| アクセス | ●JR総武線市ヶ谷駅より 徒歩8分 ●地下鉄有楽町線市ヶ谷駅より 徒歩4分 ●大江戸線牛込神楽坂駅より 徒歩4分 ●JR総武線飯田橋駅より 徒歩14分 |
| 診療時間 | 10:00~13:00 14:30~19:30 |
| 休診日 | 土曜 日曜 祝日 |
| 代表者 | 海谷 幸利 |
※記載の内容は最新の情報と異なる場合がございます。正確な情報は歯科医院にご確認ください。
この歯科医院の他の症例
NEW CONTENT 新着コンテンツ
-
「第22回 一般社団法人 日本外傷歯学会・総会・学術大会」開幕、リハビリにフォーカスして歯の損失リスク軽減を目指す
2022.8.8 一般歯科
-
クラウド型歯科用レセコン「POWER5G」が口腔内シミュレーションサービス「DMFTシミュレーター」と提携
2022.6.28 予防歯科
-
豪発のブランド「ビーボックス」から歯固め発売、乳幼児でも持ちやすい設計に
2022.6.24 小児歯科
-
韓国発ライフスタイルケアブランド「ソルトレイン」日本初上陸、伊勢丹新宿でポップアップも
2022.6.22 その他
-
デントウェーブ運営の歯科衛生士向けコミュニティ「歯科衛生士のcoe」無料オンラインイベント開催
2022.3.2 その他
-
竹素材のオーガニック歯ブラシ、日本発サステナブランド「ミヨオーガニック」展開
2022.2.17 予防歯科
