- 矯正歯科
- ワイヤー矯正
- 抜歯
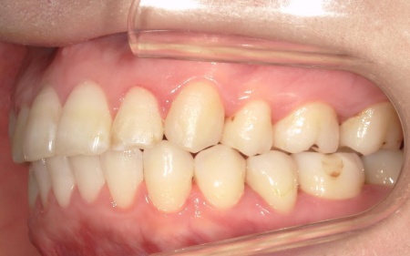
20代女性 乱れた上下の歯並びをワイヤー矯正で治療した症例
ご相談内容
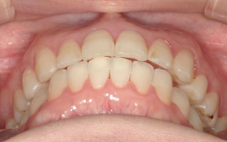
「前歯の歯並びが気になるので診てほしい」とご相談いただきました。
カウンセリング・診断結果
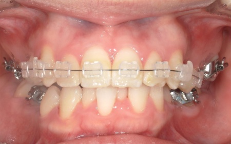
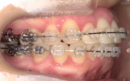
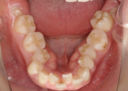
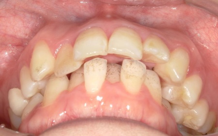
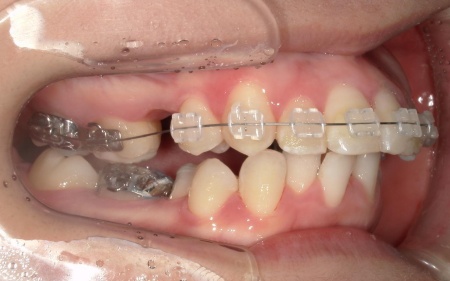
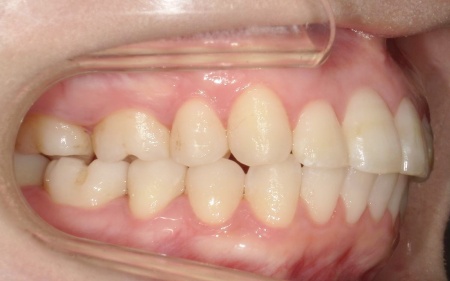
拝見したところ、歯が並ぶスペースが足りず、歯がずれたりねじれたりして生える「叢生(そうせい)」の状態でした。
とくに上前歯が前方に突出しており、唇が閉じにくくなっています。
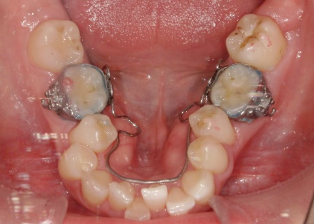
また下の歯は、左の前から4番目と、右の前から5番目の奥歯が内側に傾いており、歯列全体が馬の鞍のようにくぼむ「鞍状歯列弓(あんじょうしれつきゅう)」と呼ばれる形状です。
患者様のような歯並びは、見た目に悪影響が出るだけでなく、歯磨きがしにくいことで虫歯や歯周病のリスクが高まります。
以上のことから、歯並びを整える治療が必要だと診断しました。
行ったご提案・治療内容
診断結果を踏まえて、上顎と下顎で別の治療方法を提案しました。
・上顎
歯を正しい位置に並べるスペースを確保するためには、抜歯と非抜歯、2つの方法があります。
抜歯を伴う矯正は歯の移動スペースを確保しやすい一方で、外科的に抜歯の処置が必要です。
非抜歯での矯正では、歯を抜かずに矯正治療を進めることができますが、歯の移動に限界があり、満足のいく仕上がりにならないおそれがあります。
・下顎
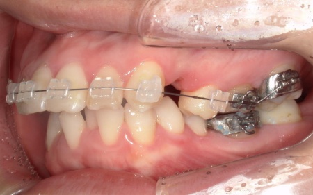
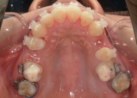
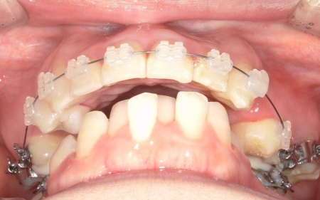
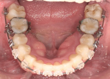
固定式の装置「リンガルアーチ」を使用して内側に倒れている小臼歯を起こし、併せて歯並びの幅を広げることで、抜歯せずに治療する方法を提案しました。リンガルアーチを使用したあと、ワイヤー矯正へ移行して歯の位置を細かく調整する予定です。
抜歯せずに歯の移動スペースを確保し、しっかりと歯並びを整えることが可能ですが、装置の違和感や歯を動かす際の痛みがある場合があります。
治療のメリットとデメリットをしっかりと説明し、上顎は抜歯を伴う方法、下顎はリンガルアーチを使用する方法に同意いただきました。
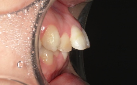
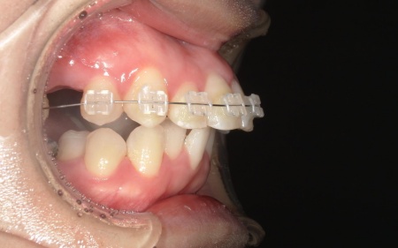
まず、右上奥歯(第2小臼歯)と左上奥歯(第1小臼歯)の2本を抜きます。
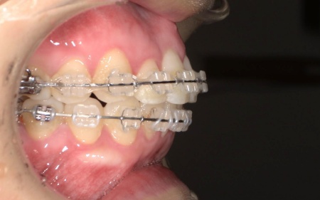
その後、上の歯の表面にブラケットと呼ばれるボタン状の装置を接着し、そこにワイヤーを通して歯並びを整える「マルチブラケット装置」を装着しました。
併せて、上顎の内側の骨に矯正用の小さなネジ「アンカースクリュー」を埋め込み、そこを固定源として前歯を後方へ引っぱる治療も実施しています。
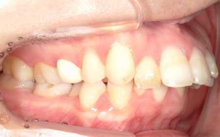
下の歯にはリンガルアーチを装着し、奥歯の傾きを整えながら歯列の形状を調整します。
その後、下の歯にもマルチブラケット装置を装着し、全体のバランスを見ながら歯並びを整えていきました。
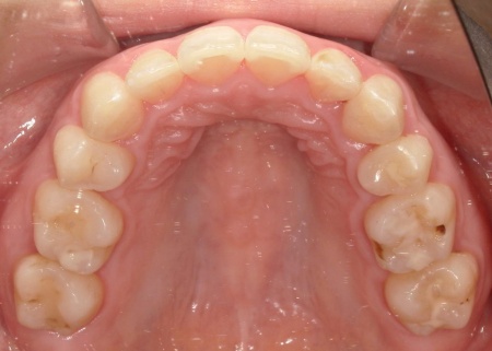
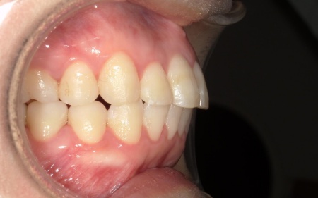
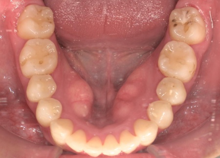
歯の移動が終了したあとは、歯並びが元に戻ってしまう後戻りを防ぐために「保定装置」を装着し、歯並びが安定したことを確認してから、治療を終了しています。
この治療のリスクについて
・ワイヤー矯正中、装置によってまれに頬の内側が傷つき、口内炎になる場合があります
・歯の移動に伴って、違和感や痛みを感じる場合があります
・冷たいものを飲んだときに歯がしみる「知覚過敏」の症状が出る場合があります
・正しいブラッシングやメンテナンスを行わない場合、虫歯や歯周病のリスクが高まります
・外科処置後に腫れ、出血が生じる場合があります
・外科処置後に痛みが長引く場合があります。必要に応じ痛み止めを併用します
- 年齢・性別 20代女性
- 診療種別 自由診療
-
治療期間の目安
矯正期間:30ヶ月(通院間隔1~2ヶ月)
保定期間:24ヶ月(通院間隔3~6ヶ月) - 治療回数の目安 -
-
治療費総額の目安
約990,000円
【内訳】
矯正装置、保定装置、 調整料1回約5,000円×30回、 歯科矯正用アンカースクリュー2本
※掲載された情報は治療の効果を保証するものではありません。
ご利用により万一何らかの損害が発生したとしても、当サイトは一切責任を負いかねますのでご了承ください。
画像をクリックすると拡大・詳細コメントを確認いただけます
-
町田駅前矯正歯科TEL:0427325775
-
町田駅前矯正歯科TEL:0427325775
-
町田駅前矯正歯科TEL:0427325775
-
町田駅前矯正歯科TEL:0427325775
-
町田駅前矯正歯科TEL:0427325775
-
町田駅前矯正歯科TEL:0427325775
-
町田駅前矯正歯科TEL:0427325775
-
町田駅前矯正歯科TEL:0427325775
-
町田駅前矯正歯科TEL:0427325775
-
町田駅前矯正歯科TEL:0427325775
-
町田駅前矯正歯科TEL:0427325775
-
町田駅前矯正歯科TEL:0427325775
-
町田駅前矯正歯科TEL:0427325775
-
町田駅前矯正歯科TEL:0427325775
-
町田駅前矯正歯科TEL:0427325775
-
町田駅前矯正歯科TEL:0427325775
-
町田駅前矯正歯科TEL:0427325775
-
町田駅前矯正歯科TEL:0427325775
-
町田駅前矯正歯科TEL:0427325775
-
町田駅前矯正歯科TEL:0427325775
-
町田駅前矯正歯科TEL:0427325775
画像をクリックすると拡大・詳細コメントを確認いただけます
-
町田駅前矯正歯科TEL:0427325775
-
町田駅前矯正歯科TEL:0427325775
-
町田駅前矯正歯科TEL:0427325775
-
町田駅前矯正歯科TEL:0427325775
-
町田駅前矯正歯科TEL:0427325775
-
町田駅前矯正歯科TEL:0427325775
-
町田駅前矯正歯科TEL:0427325775
問題を報告する
掲載内容に問題がありますか?
こちらのフォームではココシカ!利用規約に違反している可能性のある情報や、
その他の問題がある内容について直接報告することができます。
この機能は、詐欺、スパム、虚偽、不正確であると思われる情報を報告するためのものです。
報告すべき情報の例
- ・差別的または不快感を与えるもの: 性別、年齢、人種、宗教、身体的特徴などに基づく差別が見られるものはこちらに該当します。過度な出血など過激な表現など不適切な内容が含まれる場合も対象です。
- ・虚偽の情報: 何らかの根拠により虚偽が認められる情報が対象です。
- ・不正確な情報: 治療名やリスク、金額、医院情報などに不正確な内容が含まれるものです。多くの場合、これらの問題はココシカ!の掲載基準違反ではありませんが、情報の更新が求められる場合があります。
- ・広告行為: 本サービスの趣旨に反する投稿です。サービス広告、企業やアプリの宣伝、その他問題があると確認された投稿が該当します。
- ・その他: これらのカテゴリーに当てはまらない問題については、[その他] を選択し詳しい情報をご提供ください。
ココシカ!の情報、技術的な問題、医院ページのレビュー、掲載情報に関する問い合わせ、検索結果などに関する一般的な質問、これらの問題に関するお問い合わせは、サポートチームまでご連絡下さい。
| 診療科目 | 矯正歯科、小児矯正、ホワイトニング |
|---|---|
| 自由診療 | 矯正歯科、小児矯正、ホワイトニング |
| 住所 | 〒194-0013 東京都町田市原町田4-1-9 4F |
| アクセス | JR町田駅 徒歩2分 小田急町田駅 徒歩5分 |
| 診療時間 | 11:00-14:00 15:00-19:00 |
| 休診日 | 月曜 木曜 祝日 |
| 代表者 | 渡邉博人 |
※記載の内容は最新の情報と異なる場合がございます。正確な情報は歯科医院にご確認ください。
この歯科医院の他の症例
NEW CONTENT 新着コンテンツ
-
「第22回 一般社団法人 日本外傷歯学会・総会・学術大会」開幕、リハビリにフォーカスして歯の損失リスク軽減を目指す
2022.8.8 一般歯科
-
クラウド型歯科用レセコン「POWER5G」が口腔内シミュレーションサービス「DMFTシミュレーター」と提携
2022.6.28 予防歯科
-
豪発のブランド「ビーボックス」から歯固め発売、乳幼児でも持ちやすい設計に
2022.6.24 小児歯科
-
韓国発ライフスタイルケアブランド「ソルトレイン」日本初上陸、伊勢丹新宿でポップアップも
2022.6.22 その他
-
デントウェーブ運営の歯科衛生士向けコミュニティ「歯科衛生士のcoe」無料オンラインイベント開催
2022.3.2 その他
-
竹素材のオーガニック歯ブラシ、日本発サステナブランド「ミヨオーガニック」展開
2022.2.17 予防歯科
