- 矯正歯科
- ワイヤー矯正
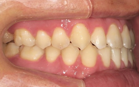
20代男性 受け口のように見える切端咬合をセラミックブラケットによる矯正治療で改善した症例
ご相談内容
「受け口が気になるので診てほしい」とご相談いただきました。
カウンセリング・診断結果
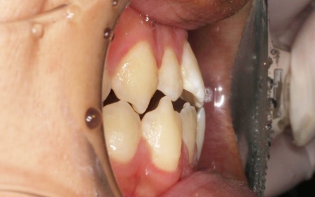
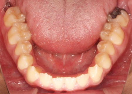
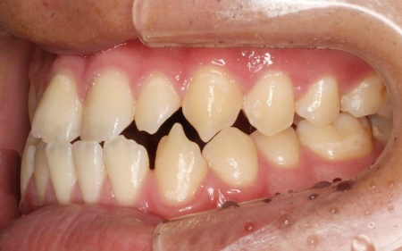
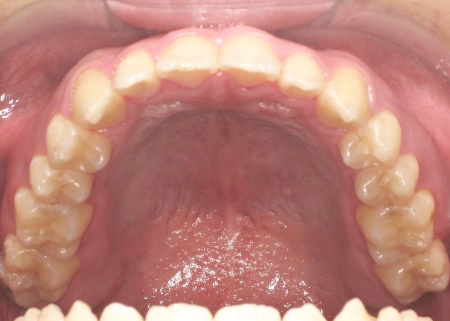
拝見したところ、上下前歯の先端同士が触れ合う「切端咬合(せったんこうごう)」の状態でした。
通常は上前歯が下前歯をわずかに覆うように重なりますが、患者様の場合は上下前歯の先端がほぼ同じ高さで噛み合っているため、受け口のような印象がみられました。
また、上下前歯の接触により下顎を前に出しにくく、後ろへ押し込まれやすい咬み合わせとなっています。
このまま放置すると、前歯の先端が少しずつすり減ったり欠けたりするリスクがあるだけでなく、顎の関節にも負担がかかり、食べ物を噛む機能や発音に影響が出るおそれもあります。
以上のことから、噛み合わせを改善をする必要があると診断しました。
行ったご提案・治療内容
噛み合わせの改善を目的として、以下2種類のワイヤー矯正を提案しました。
①金属のブラケットによるワイヤー矯正
歯の表面にブラケットと呼ばれるボタン状の装置を接着し、そこにワイヤーを通して歯を動かす方法です
メリット:費用を抑えやすい
デメリット:装置が目立つ
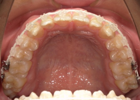
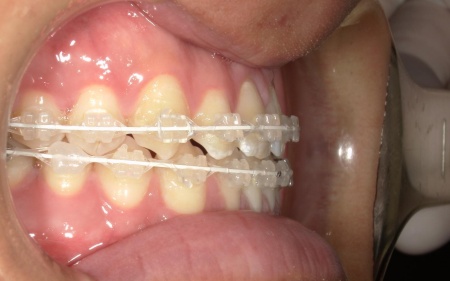
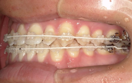
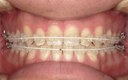
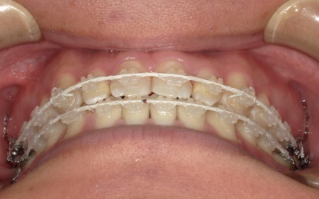
②白色(セラミック)のブラケットとホワイトワイヤーを用いたセラミックブラケット矯正
矯正の方法は①と同様ですが、装置の色味が異なります。
メリット:装置が白いため歯の色に馴染みやすく、目立ちにくい
デメリット:色の濃い飲食物で、装置が変色するおそれがある
患者様は「できるだけ目立ちにくい装置を使用したい」とのことから、②のセラミックブラケット矯正を選択されました。
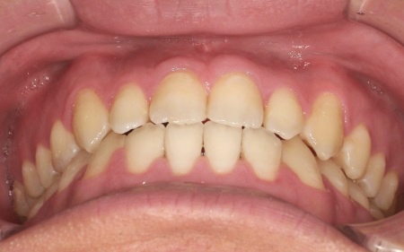
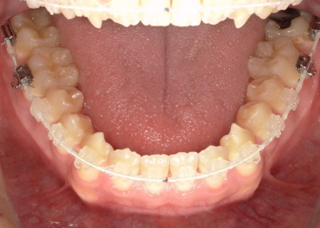
まず、下奥歯(臼歯)を歯茎の外側に持ち上げる「挺出(ていしゅつ)」という処置を行いました。
奥歯が少し高くなることで、下顎全体がわずかに後ろへ動くため、前歯の噛み合わせが整いやすくなります。
加えて、上下の前歯には「IPR」という処置を行いました。これは、歯の表面のエナメル質をごくわずかに削り、歯を動かすためのスペースを作る方法です。
このスペースを利用して前歯を後方へ移動させ、審美性の改善を目指しました。
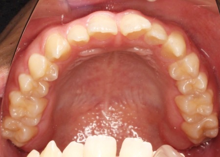
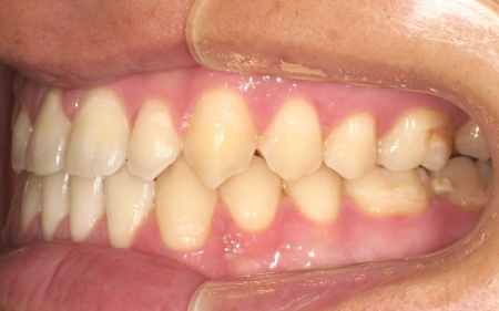
最後に、歯並びと噛み合わせが整い、見た目にも問題がないことを確認し、治療を終了しています。
この治療のリスクについて
・治療中、発音しにくい場合があります
・治療中、舌が動かしにくいことがあります
・治療中、装置によってまれに頬の内側が傷つき、口内炎になる場合があります
・歯の移動に伴って、違和感や痛みを感じる場合があります
・冷たいものを飲んだときに歯がしみる「知覚過敏」の症状が出る場合があります
・正しいブラッシングやメンテナンスを行わない場合、虫歯や歯周病のリスクが高まります
- 年齢・性別 20代男性
- 診療種別 自由診療
-
治療期間の目安
矯正期間:30ヶ月
(通院間隔1~2ヶ月)
保定期間:24ヶ月
(通院間隔3~4ヶ月) - 治療回数の目安 -
-
治療費総額の目安
約840,000円
(矯正装置・保定装置代込)
※別途調整料 約5,000円×30回
※掲載された情報は治療の効果を保証するものではありません。
ご利用により万一何らかの損害が発生したとしても、当サイトは一切責任を負いかねますのでご了承ください。
画像をクリックすると拡大・詳細コメントを確認いただけます
-
町田駅前矯正歯科TEL:0427325775
-
町田駅前矯正歯科TEL:0427325775
-
町田駅前矯正歯科TEL:0427325775
-
町田駅前矯正歯科TEL:0427325775
-
町田駅前矯正歯科TEL:0427325775
-
町田駅前矯正歯科TEL:0427325775
-
町田駅前矯正歯科TEL:0427325775
-
町田駅前矯正歯科TEL:0427325775
-
町田駅前矯正歯科TEL:0427325775
-
町田駅前矯正歯科TEL:0427325775
-
町田駅前矯正歯科TEL:0427325775
-
町田駅前矯正歯科TEL:0427325775
-
町田駅前矯正歯科TEL:0427325775
-
町田駅前矯正歯科TEL:0427325775
-
町田駅前矯正歯科TEL:0427325775
-
町田駅前矯正歯科TEL:0427325775
-
町田駅前矯正歯科TEL:0427325775
-
町田駅前矯正歯科TEL:0427325775
-
町田駅前矯正歯科TEL:0427325775
-
町田駅前矯正歯科TEL:0427325775
-
町田駅前矯正歯科TEL:0427325775
問題を報告する
掲載内容に問題がありますか?
こちらのフォームではココシカ!利用規約に違反している可能性のある情報や、
その他の問題がある内容について直接報告することができます。
この機能は、詐欺、スパム、虚偽、不正確であると思われる情報を報告するためのものです。
報告すべき情報の例
- ・差別的または不快感を与えるもの: 性別、年齢、人種、宗教、身体的特徴などに基づく差別が見られるものはこちらに該当します。過度な出血など過激な表現など不適切な内容が含まれる場合も対象です。
- ・虚偽の情報: 何らかの根拠により虚偽が認められる情報が対象です。
- ・不正確な情報: 治療名やリスク、金額、医院情報などに不正確な内容が含まれるものです。多くの場合、これらの問題はココシカ!の掲載基準違反ではありませんが、情報の更新が求められる場合があります。
- ・広告行為: 本サービスの趣旨に反する投稿です。サービス広告、企業やアプリの宣伝、その他問題があると確認された投稿が該当します。
- ・その他: これらのカテゴリーに当てはまらない問題については、[その他] を選択し詳しい情報をご提供ください。
ココシカ!の情報、技術的な問題、医院ページのレビュー、掲載情報に関する問い合わせ、検索結果などに関する一般的な質問、これらの問題に関するお問い合わせは、サポートチームまでご連絡下さい。
| 診療科目 | 矯正歯科、小児矯正、ホワイトニング |
|---|---|
| 自由診療 | 矯正歯科、小児矯正、ホワイトニング |
| 住所 | 〒194-0013 東京都町田市原町田4-1-9 4F |
| アクセス | JR町田駅 徒歩2分 小田急町田駅 徒歩5分 |
| 診療時間 | 11:00-14:00 15:00-19:00 |
| 休診日 | 月曜 木曜 祝日 |
| 代表者 | 渡邉博人 |
※記載の内容は最新の情報と異なる場合がございます。正確な情報は歯科医院にご確認ください。
この歯科医院の他の症例
NEW CONTENT 新着コンテンツ
-
「第22回 一般社団法人 日本外傷歯学会・総会・学術大会」開幕、リハビリにフォーカスして歯の損失リスク軽減を目指す
2022.8.8 一般歯科
-
クラウド型歯科用レセコン「POWER5G」が口腔内シミュレーションサービス「DMFTシミュレーター」と提携
2022.6.28 予防歯科
-
豪発のブランド「ビーボックス」から歯固め発売、乳幼児でも持ちやすい設計に
2022.6.24 小児歯科
-
韓国発ライフスタイルケアブランド「ソルトレイン」日本初上陸、伊勢丹新宿でポップアップも
2022.6.22 その他
-
デントウェーブ運営の歯科衛生士向けコミュニティ「歯科衛生士のcoe」無料オンラインイベント開催
2022.3.2 その他
-
竹素材のオーガニック歯ブラシ、日本発サステナブランド「ミヨオーガニック」展開
2022.2.17 予防歯科
