- 矯正歯科
- マウスピース矯正
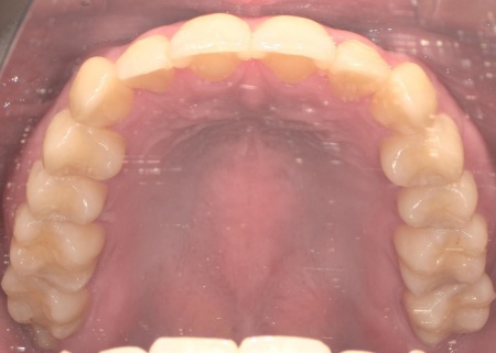
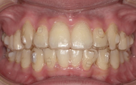
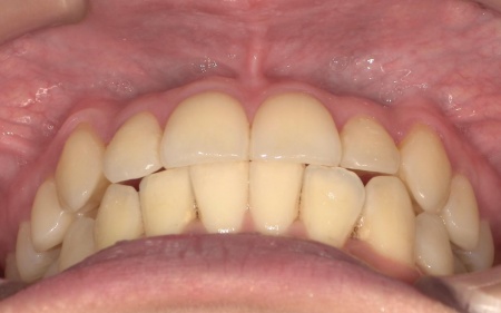
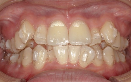
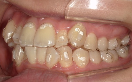
20代女性 八重歯と歯並びの乱れをマウスピース矯正装置で改善した症例
ご相談内容
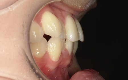
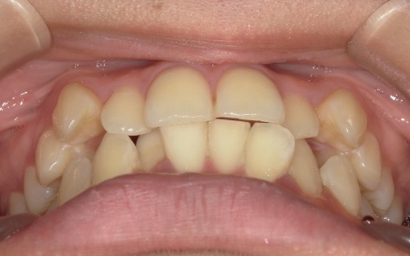
「上下の八重歯が気になる」とご相談いただきました。
カウンセリング・診断結果
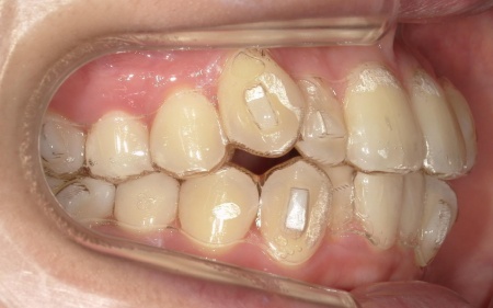
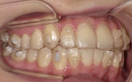
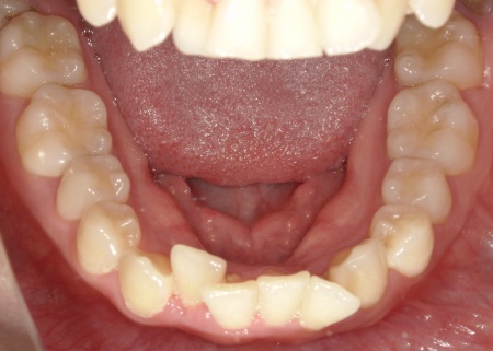
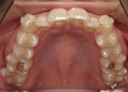
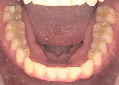
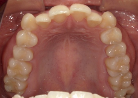
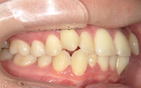
拝見したところ、歯が正しく並ぶためのスペースが不足しており、歯が重なって生えてしまう叢生(そうせい)の状態が全体的に見られました。
特に上下の糸切り歯が外側にずれている、いわゆる八重歯が目立っています。
歯並びの乱れをこのまま放置すると、見た目が気になるだけでなく歯磨きが行き届きにくくなり、虫歯や歯周病のリスクが高まる可能性があります。
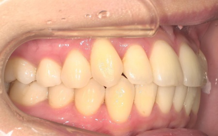
患者様の場合は上下あごの位置関係から噛み合わせに大きな問題はなく、横顔のバランスや鼻先とあごを結んだEラインにも目立った乱れは見られませんでした。
そのため、歯の位置や傾きを整えることで歯並びを改善できると診断しました。
行ったご提案・治療内容
歯並びを改善する方法として、透明なマウスピースを段階的に交換しながら歯を動かしていくインビザラインコンプリヘンシブパッケージによる矯正治療を提案し、同意いただきました。
インビザラインコンプリヘンシブパッケージは装置が透明で目立ちにくく、取り外しができるため食事や歯磨きがしやすい点がメリットです。
一方で、1日あたりの装着時間をしっかり守る必要があり、使用状況によっては計画通りに歯が動かない可能性があります。
また、矯正治療にあたって歯を並べるためのスペース確保が必要なため、以下2つの方法をお伝えしました。
①抜歯によるスペース確保:十分なスペースを確保しやすいものの、健康な歯を抜く必要がある
②歯と歯の間をわずかに削る「IPR」によるスペース確保:歯を残したままスペースを作ることができるが、削る量に限界があり適応できる症例が限られる
今回は②のIPRで対応できる範囲と判断し、メリット・デメリットを説明したうえで治療を開始しました。
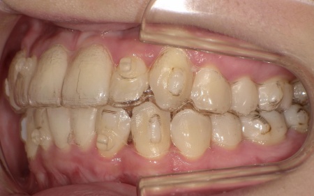
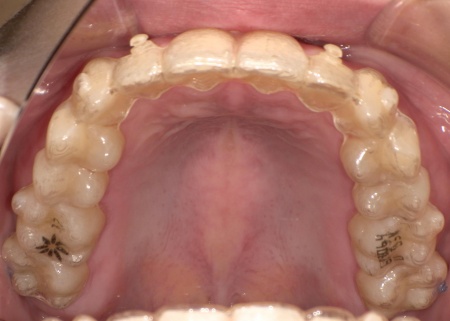
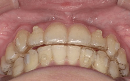
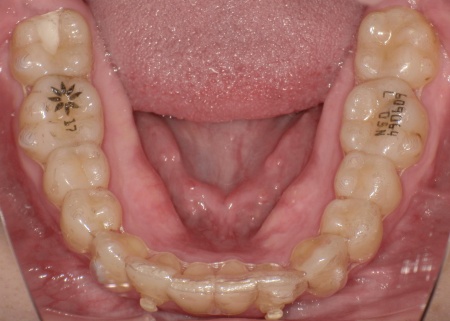
まず、患者様専用のマウスピースを作製し、1日一定時間装着していただくようご案内しました。
マウスピースは定期的に新しいものへ交換しながら、少しずつ歯を移動させています。
治療と並行して、歯と歯の間にスペースを作るためのIPRを適切なタイミングで実施しました。また、噛む力が強い傾向が見られたため、奥歯の噛み込みを抑え、歯をスムーズに動かすために「バイトランプ」と呼ばれる小さな突起をマウスピースの上の前歯の裏側に設置しています。
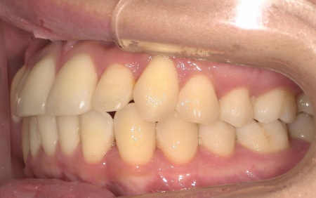
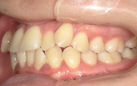
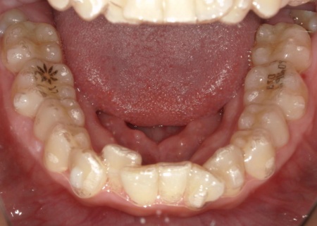
矯正治療終了後、歯並びの後戻りを防ぐための保定装置を装着していただきました。
経過観察を行い問題がないことを確認して、治療を終了しました。
この治療のリスクについて
・決められたスケジュールを守らない場合、十分な効果が得られない可能性があります
・マウスピースに対応していない症例の場合、治療が難しい可能性があります
・歯の移動に伴って、痛みや違和感を感じる場合があります
・正しいブラッシングやメンテナンスを行わない場合、虫歯や歯周病のリスクが高まります
- 年齢・性別 20代女性
- 診療種別 自由診療
-
治療期間の目安
矯正期間 3年3ヶ月
保定期間 2年 - 治療回数の目安 -
-
治療費総額の目安
約800,000円
別途調整料 約5,000円/回
※保定期間の調整料は約3,000円/回
※掲載された情報は治療の効果を保証するものではありません。
ご利用により万一何らかの損害が発生したとしても、当サイトは一切責任を負いかねますのでご了承ください。
画像をクリックすると拡大・詳細コメントを確認いただけます
-
町田駅前矯正歯科TEL:0427325775
-
町田駅前矯正歯科TEL:0427325775
-
町田駅前矯正歯科TEL:0427325775
-
町田駅前矯正歯科TEL:0427325775
-
町田駅前矯正歯科TEL:0427325775
-
町田駅前矯正歯科TEL:0427325775
-
町田駅前矯正歯科TEL:0427325775
-
町田駅前矯正歯科TEL:0427325775
-
町田駅前矯正歯科TEL:0427325775
-
町田駅前矯正歯科TEL:0427325775
-
町田駅前矯正歯科TEL:0427325775
-
町田駅前矯正歯科TEL:0427325775
-
町田駅前矯正歯科TEL:0427325775
-
町田駅前矯正歯科TEL:0427325775
-
町田駅前矯正歯科TEL:0427325775
-
町田駅前矯正歯科TEL:0427325775
-
町田駅前矯正歯科TEL:0427325775
-
町田駅前矯正歯科TEL:0427325775
-
町田駅前矯正歯科TEL:0427325775
-
町田駅前矯正歯科TEL:0427325775
-
町田駅前矯正歯科TEL:0427325775
画像をクリックすると拡大・詳細コメントを確認いただけます
-
町田駅前矯正歯科TEL:0427325775
-
町田駅前矯正歯科TEL:0427325775
-
町田駅前矯正歯科TEL:0427325775
-
町田駅前矯正歯科TEL:0427325775
-
町田駅前矯正歯科TEL:0427325775
-
町田駅前矯正歯科TEL:0427325775
-
町田駅前矯正歯科TEL:0427325775
問題を報告する
掲載内容に問題がありますか?
こちらのフォームではココシカ!利用規約に違反している可能性のある情報や、
その他の問題がある内容について直接報告することができます。
この機能は、詐欺、スパム、虚偽、不正確であると思われる情報を報告するためのものです。
報告すべき情報の例
- ・差別的または不快感を与えるもの: 性別、年齢、人種、宗教、身体的特徴などに基づく差別が見られるものはこちらに該当します。過度な出血など過激な表現など不適切な内容が含まれる場合も対象です。
- ・虚偽の情報: 何らかの根拠により虚偽が認められる情報が対象です。
- ・不正確な情報: 治療名やリスク、金額、医院情報などに不正確な内容が含まれるものです。多くの場合、これらの問題はココシカ!の掲載基準違反ではありませんが、情報の更新が求められる場合があります。
- ・広告行為: 本サービスの趣旨に反する投稿です。サービス広告、企業やアプリの宣伝、その他問題があると確認された投稿が該当します。
- ・その他: これらのカテゴリーに当てはまらない問題については、[その他] を選択し詳しい情報をご提供ください。
ココシカ!の情報、技術的な問題、医院ページのレビュー、掲載情報に関する問い合わせ、検索結果などに関する一般的な質問、これらの問題に関するお問い合わせは、サポートチームまでご連絡下さい。
| 診療科目 | 矯正歯科、小児矯正、ホワイトニング |
|---|---|
| 自由診療 | 矯正歯科、小児矯正、ホワイトニング |
| 住所 | 〒194-0013 東京都町田市原町田4-1-9 4F |
| アクセス | JR町田駅 徒歩2分 小田急町田駅 徒歩5分 |
| 診療時間 | 11:00-14:00 15:00-19:00 |
| 休診日 | 月曜 木曜 祝日 |
| 代表者 | 渡邉博人 |
※記載の内容は最新の情報と異なる場合がございます。正確な情報は歯科医院にご確認ください。
この歯科医院の他の症例
NEW CONTENT 新着コンテンツ
-
「第22回 一般社団法人 日本外傷歯学会・総会・学術大会」開幕、リハビリにフォーカスして歯の損失リスク軽減を目指す
2022.8.8 一般歯科
-
クラウド型歯科用レセコン「POWER5G」が口腔内シミュレーションサービス「DMFTシミュレーター」と提携
2022.6.28 予防歯科
-
豪発のブランド「ビーボックス」から歯固め発売、乳幼児でも持ちやすい設計に
2022.6.24 小児歯科
-
韓国発ライフスタイルケアブランド「ソルトレイン」日本初上陸、伊勢丹新宿でポップアップも
2022.6.22 その他
-
デントウェーブ運営の歯科衛生士向けコミュニティ「歯科衛生士のcoe」無料オンラインイベント開催
2022.3.2 その他
-
竹素材のオーガニック歯ブラシ、日本発サステナブランド「ミヨオーガニック」展開
2022.2.17 予防歯科
