- 詰め物・被せもの
- セラミック・ジルコニア
40代男性 折れた前歯をジルコニアとポーセレンを組み合わせた被せ物で修復した症例
ご相談内容
「以前、前歯が折れた際、応急処置としてプラスチックの詰め物をしたが、見た目が気になるので治したい」とご相談いただきました。
カウンセリング・診断結果
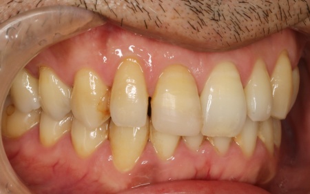
拝見したところ、右上前歯には歯科用プラスチックであるコンポジットレジンが充填されていましたが、
治療途中のまま時間が経過しており、歯の形や噛み合わせが整っていませんでした。
コンポジットレジンは、比較的短時間で処置ができる一方、長期間使用するとすり減りなどの劣化が生じることがあります。
このまま放置すると、さらに劣化したり詰め物が外れたりするリスクがあります。
また、前歯は審美性に大きく影響する部位でもあるため、強度と審美性の両方を考慮した被せ物による修復治療が必要であると診断しました。
行ったご提案・治療内容
診断結果をもとに、前歯を被せ物(クラウン)で修復する治療を提案し、同意いただきました。
被せ物の種類については、以下3つの選択肢をお伝えしています。
①ジルコニアクラウン:セラミックの中でも強度の高い素材で作製する被せ物
メリット:高い強度と耐久性をもち、壊れにくい
デメリット:透明感がやや低く、前歯に使用すると色合いが不自然になるおそれがある
②オールセラミック:すべて白いセラミックで作製する被せ物
メリット:天然歯に近い透明感と色調を再現でき、審美性に優れている
デメリット:ジルコニアと比較すると、強度はやや劣る
③ポーセレンビルトアップクラウン:強度の高いフレームの上に、セラミック(ポーセレン)を重ねて作製する被せ物
メリット:色調の再現性が高く、周囲の歯となじみやすい
デメリット:噛む力が強い場合、表面のポーセレン部分が欠ける場合がある
それぞれの特徴を説明したうえで、患者様は③のポーセレンビルトアップクラウンを選択されました。
また、今回はフレームにはジルコニアを使用し、表面の一部にポーセレンを重ねて作る「カットバッククラウン」という方法で製作します。
この方法なら、ジルコニアの高い強度を保ちながら、ポーセレンによって自然な色のグラデーションを再現することが可能です。
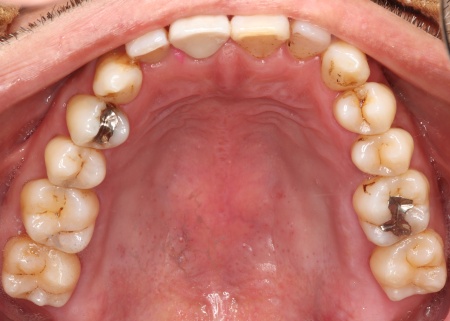
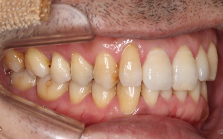
まず既存のコンポジットレジンを除去し、被せ物が合うように歯の形を整えます。その後、ぴったり合う被せ物を作るため歯の型取り(印象採得)を行いました。
被せ物が完成するまでの間は、見た目や噛み合わせを保つために仮歯を作製し、装着しています。
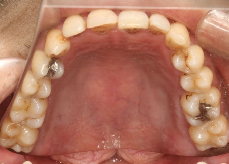
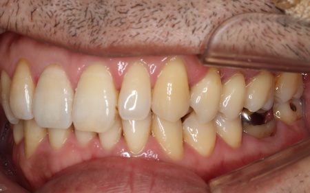
続いて採取した歯型をもとに、歯科技工士がカットバッククラウンを製作しました。被せ物は、患者様の歯の色や噛み合わせを確認しながら仕上げています。
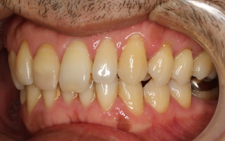
最後に、完成した被せ物を装着し、見た目や噛み合わせに問題がないことを確認して、治療を終了しました。
この治療のリスクについて
・装着に際し、天然歯を削る場合があります
・硬い素材の場合、他の天然歯を傷つけることがあります
・噛み合わせや歯ぎしりが強い場合、セラミックが割れる可能性があります
・一部の治療を除き、自費診療(保険適用外治療)です
- 年齢・性別 40代男性
- 診療種別 自由診療
- 治療期間の目安 -
- 治療回数の目安 3回
-
治療費総額の目安
約155,000円
(仮歯、被せ物、セット料/調整料なし)
※掲載された情報は治療の効果を保証するものではありません。
ご利用により万一何らかの損害が発生したとしても、当サイトは一切責任を負いかねますのでご了承ください。
画像をクリックすると拡大・詳細コメントを確認いただけます
-
三軒茶屋歯科TEL:0334249505
-
三軒茶屋歯科TEL:0334249505 -
三軒茶屋歯科TEL:0334249505
-
三軒茶屋歯科TEL:0334249505
-
三軒茶屋歯科TEL:0334249505 -
三軒茶屋歯科TEL:0334249505
-
三軒茶屋歯科TEL:0334249505
-
三軒茶屋歯科TEL:0334249505 -
三軒茶屋歯科TEL:0334249505
-
三軒茶屋歯科TEL:0334249505
-
三軒茶屋歯科TEL:0334249505 -
三軒茶屋歯科TEL:0334249505
画像をクリックすると拡大・詳細コメントを確認いただけます
問題を報告する
掲載内容に問題がありますか?
こちらのフォームではココシカ!利用規約に違反している可能性のある情報や、
その他の問題がある内容について直接報告することができます。
この機能は、詐欺、スパム、虚偽、不正確であると思われる情報を報告するためのものです。
報告すべき情報の例
- ・差別的または不快感を与えるもの: 性別、年齢、人種、宗教、身体的特徴などに基づく差別が見られるものはこちらに該当します。過度な出血など過激な表現など不適切な内容が含まれる場合も対象です。
- ・虚偽の情報: 何らかの根拠により虚偽が認められる情報が対象です。
- ・不正確な情報: 治療名やリスク、金額、医院情報などに不正確な内容が含まれるものです。多くの場合、これらの問題はココシカ!の掲載基準違反ではありませんが、情報の更新が求められる場合があります。
- ・広告行為: 本サービスの趣旨に反する投稿です。サービス広告、企業やアプリの宣伝、その他問題があると確認された投稿が該当します。
- ・その他: これらのカテゴリーに当てはまらない問題については、[その他] を選択し詳しい情報をご提供ください。
ココシカ!の情報、技術的な問題、医院ページのレビュー、掲載情報に関する問い合わせ、検索結果などに関する一般的な質問、これらの問題に関するお問い合わせは、サポートチームまでご連絡下さい。
| 診療科目 | 一般歯科、小児歯科、矯正歯科、ホワイトニング、インプラント |
|---|---|
| 自由診療 | 小児矯正、表側矯正、裏側矯正、ハーフリンガル矯正、マウスピース矯正、オフィスホワイトニング、ホームホワイトニング、セラミック治療、インプラント |
| 住所 | 〒154-0004 東京都世田谷区太子堂4-1-1 キャロットタワー北棟1 |
| アクセス | 三軒茶屋駅 徒歩0分 |
| 診療時間 | 【火〜土】 8:30〜18:00 |
| 休診日 | 月曜日・日曜日 |
| 代表者 | 後藤 晶子 |
※記載の内容は最新の情報と異なる場合がございます。正確な情報は歯科医院にご確認ください。
この歯科医院の他の症例
NEW CONTENT 新着コンテンツ
-
「第22回 一般社団法人 日本外傷歯学会・総会・学術大会」開幕、リハビリにフォーカスして歯の損失リスク軽減を目指す
2022.8.8 一般歯科
-
クラウド型歯科用レセコン「POWER5G」が口腔内シミュレーションサービス「DMFTシミュレーター」と提携
2022.6.28 予防歯科
-
豪発のブランド「ビーボックス」から歯固め発売、乳幼児でも持ちやすい設計に
2022.6.24 小児歯科
-
韓国発ライフスタイルケアブランド「ソルトレイン」日本初上陸、伊勢丹新宿でポップアップも
2022.6.22 その他
-
デントウェーブ運営の歯科衛生士向けコミュニティ「歯科衛生士のcoe」無料オンラインイベント開催
2022.3.2 その他
-
竹素材のオーガニック歯ブラシ、日本発サステナブランド「ミヨオーガニック」展開
2022.2.17 予防歯科
