三軒茶屋歯科 世田谷区
アクセス・診療時間
154-0004 東京都世田谷区太子堂4-1-1 キャロットタワー北棟1
三軒茶屋駅 徒歩0分
| 診療時間 | 月 | 火 | 水 | 木 | 金 | 土 | 日 | 祝 |
|---|---|---|---|---|---|---|---|---|
| 8:30〜18:00 | ー | ● | ● | ● | ● | ● | ー | ー |
問題を報告する
掲載内容に問題がありますか?
こちらのフォームではココシカ!利用規約に違反している可能性のある情報や、
その他の問題がある内容について直接報告することができます。
この機能は、詐欺、スパム、虚偽、不正確であると思われる情報を報告するためのものです。
報告すべき情報の例
- ・差別的または不快感を与えるもの: 性別、年齢、人種、宗教、身体的特徴などに基づく差別が見られるものはこちらに該当します。過度な出血など過激な表現など不適切な内容が含まれる場合も対象です。
- ・虚偽の情報: 何らかの根拠により虚偽が認められる情報が対象です。
- ・不正確な情報: 治療名やリスク、金額、医院情報などに不正確な内容が含まれるものです。多くの場合、これらの問題はココシカ!の掲載基準違反ではありませんが、情報の更新が求められる場合があります。
- ・広告行為: 本サービスの趣旨に反する投稿です。サービス広告、企業やアプリの宣伝、その他問題があると確認された投稿が該当します。
- ・その他: これらのカテゴリーに当てはまらない問題については、[その他] を選択し詳しい情報をご提供ください。
ココシカ!の情報、技術的な問題、医院ページのレビュー、掲載情報に関する問い合わせ、検索結果などに関する一般的な質問、これらの問題に関するお問い合わせは、サポートチームまでご連絡下さい。
ABOUT 医院情報
ご挨拶
三軒茶屋歯科では
"安心"と"丁寧"な診療を心がけています。
お気付きの点があれば、お気軽にお伝えください。
医院詳細
| 診療科目 | 一般歯科、小児歯科、矯正歯科、ホワイトニング、インプラント |
|---|---|
| 保険診療 | 虫歯治療、歯周病治療、根管治療、小児歯科 |
| 自由診療 | 小児矯正、表側矯正、裏側矯正、ハーフリンガル矯正、マウスピース矯正、オフィスホワイトニング、ホームホワイトニング、セラミック治療、インプラント |
| 住所 | 〒154-0004 東京都世田谷区太子堂4-1-1 キャロットタワー北棟1 |
| アクセス | 三軒茶屋駅 徒歩0分 |
| 診療時間 | 【火〜土】 8:30〜18:00 |
| 休診日 | 月曜日・日曜日 |
| 代表者 | 後藤 晶子 |
※記載の内容は最新の情報と異なる場合がございます。正確な情報は歯科医院にご確認ください。
CASE 掲載症例
総症例数: 10件
現在指定中の条件
- 未選択
この条件の症例
10件
-
矯正歯科 小児歯科
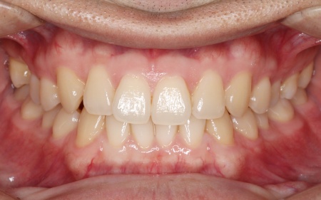
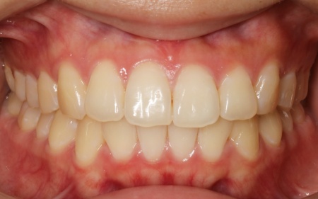
9歳女の子 反対咬合を顎の成長を利用した矯正装置を用いて改善した症例
三軒茶屋歯科TEL:0334249505
三軒茶屋歯科TEL:0334249505
治療期間の目安 約4年
(現在も保定にて経過観察中)治療回数の目安 - 治療費総額の目安 400,000円 治療のリスク
・治療中、発音しにくい場合があります ・治療中、舌が動かしにくいことがあります ・治療中、装置によってまれに頬の内側が傷つき、口内炎になる場合があります ...
2025/11/12 by.三軒茶屋歯科 -
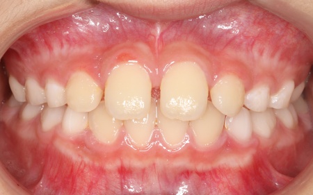
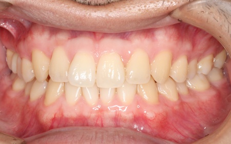
矯正歯科 ワイヤー矯正 マウスピース矯正
20代女性 乱れた上下の歯並びをハイブリッド矯正で改善した症例
三軒茶屋歯科TEL:0334249505
三軒茶屋歯科TEL:0334249505
治療期間の目安 約1年5ヶ月 治療回数の目安 - 治療費総額の目安 約935,000円
【内訳】
CT撮影、術前検査・説明、矯正、リテーナー治療のリスク
・治療中、舌が動かしにくいことがあります ・治療中、装置によってまれに頬の内側が傷つき、口内炎になる場合があります ・冷たいものを飲んだときに歯がしみる「知...
2025/11/12 by.三軒茶屋歯科 -
詰め物・被せもの セラミック・ジルコニア インプラント 抜歯
20代男性 割れた奥歯を抜いたあとインプラント治療を行った症例
三軒茶屋歯科TEL:0334249505
三軒茶屋歯科TEL:0334249505
治療期間の目安 - 治療回数の目安 7回 治療費総額の目安 約440,000円
【内訳】
CT撮影、インプラント体、ガイド製作、スクリュー、被せ物治療のリスク
・外科手術のため、術後に痛みや腫れ、違和感を伴います ・メンテナンスを怠ったり、喫煙したりすると、お口の中に大きな悪影響を及ぼし、インプラント周囲炎などにかか...
2025/11/12 by.三軒茶屋歯科 -
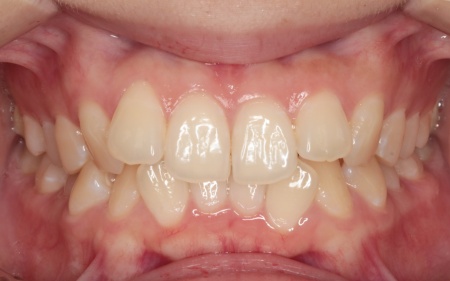
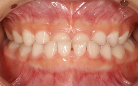
矯正歯科 ワイヤー矯正 マウスピース矯正 抜歯
20代女性 ワイヤー矯正とマウスピース矯正を併用したハイブリッド矯正で歯並びを改善した症例
三軒茶屋歯科TEL:0334249505
三軒茶屋歯科TEL:0334249505
治療期間の目安 約1年5ヶ月 治療回数の目安 16回 治療費総額の目安 1,092,300円 治療のリスク
・外科処置後に腫れ、出血が生じる場合があります ・治療中、装置によってまれに頬の内側が傷つき、口内炎になる場合があります ・歯の移動に伴って、違和感や痛みを...
2025/11/04 by.三軒茶屋歯科 -
虫歯 詰め物・被せもの セラミック・ジルコニア ダイレクトボンディング
30代男性 右下奥歯の隣接面にできた虫歯を取り除いたあとダイレクトボンディングで修復した症例
三軒茶屋歯科TEL:0334249505
三軒茶屋歯科TEL:0334249505
治療期間の目安 - 治療回数の目安 1回 治療費総額の目安 33,000円 治療のリスク
・強い力や衝撃が加わった場合、割れたり欠けたりする可能性があります ・広範囲にわたって修復が必要な場合は、適用できない可能性があります ・自費診療(保険適用...
2025/08/23 by.三軒茶屋歯科 -
矯正歯科 ワイヤー矯正 抜歯
50代女性 インプラントアンカーを併用したワイヤー矯正で乱れた歯並びと噛み合わせを改善した症例
三軒茶屋歯科TEL:0334249505
三軒茶屋歯科TEL:0334249505
治療期間の目安 3年 治療回数の目安 - 治療費総額の目安 約1,019,500円
【CTレントゲン、術前診査検査、
ハイブリッド矯正(透明なブラケットと金属製のブラケットを併用したワイヤー矯正)、抜歯(4本)、インプラントアンカー、調整料24回分】治療のリスク
・治療中、発音しにくい場合があります ・治療中、舌が動かしにくいことがあります ・治療中、装置によってまれに頬の内側が傷つき、口内炎になる場合があります ...
2025/08/18 by.三軒茶屋歯科 -
矯正歯科 小児歯科 小児矯正
5歳男の子 顎の幅を広げて永久歯が生えるスペースを確保する1期治療で歯並びを整えた症例
三軒茶屋歯科TEL:0334249505
三軒茶屋歯科TEL:0334249505
治療期間の目安 2年 治療回数の目安 - 治療費総額の目安 約430,000円
(検査代、1期治療費、リテーナー代)治療のリスク
・治療中、発音しにくい場合があります ・治療中、舌が動かしにくいことがあります ・治療中、装置によってまれに頬の内側が傷つき、口内炎になる場合があります ...
2025/08/18 by.三軒茶屋歯科 -
歯周外科 根管治療 詰め物・被せもの セラミック・ジルコニア インプラント 歯科口腔外科 抜歯
40代男性 温存が難しい割れた奥歯を抜いてインプラントで噛み合わせを回復した症例
三軒茶屋歯科TEL:0334249505
三軒茶屋歯科TEL:0334249505
治療期間の目安 8ヶ月
(遠方在住で通院できる頻度が限られていたため)治療回数の目安 - 治療費総額の目安 440,000円 治療のリスク
・持病をお持ちの方や、服用中のお薬の種類によっては、外科処置ができない場合があります ・外科手術のため、術後に痛みや腫れ、違和感を伴います ・メンテナンスを...
2025/08/17 by.三軒茶屋歯科 -
歯周外科 詰め物・被せもの セラミック・ジルコニア 歯科口腔外科
30代女性 歯肉骨形成とセラミックの被せ物で右上前歯の審美性を改善した症例
三軒茶屋歯科TEL:0334249505
三軒茶屋歯科TEL:0334249505
治療期間の目安 6ヶ月 治療回数の目安 - 治療費総額の目安 269,500円
(歯冠長延長術、TEK修正3回、ポーセレンビルドアップセラミッククラウン)治療のリスク
・持病をお持ちの方や、服用中のお薬の種類によっては、外科処置ができない場合があります ・外科処置後に腫れ、出血が生じる場合があります ・外科処置後に痛みが長...
2025/07/30 by.三軒茶屋歯科 -
口腔筋トレーニング(MFT) 矯正歯科 小児歯科
7歳女の子 口周りや全身の筋肉バランスを整えるトレーニングでガタガタに生えている下前歯の歯並びを改善した症例
三軒茶屋歯科TEL:0334249505
三軒茶屋歯科TEL:0334249505
治療期間の目安 1年3ヶ月
現在も治療継続中治療回数の目安 週1回×12回、その後は月1回 治療費総額の目安 約150,000円
(検査料、診断料、トレーニンググッズ)
別途再診料(トレーニング)
8,000円/回治療のリスク
・決められたトレーニングを指示通り実施しない場合、十分な効果が得られない可能性があります...
2025/06/06 by.三軒茶屋歯科
COMMITMENT 当院のこだわり
痛みの少ない治療
「痛くなくできませんか?」とよくご要望を頂きます。治療の内容により限界はありますが、できるかぎり『痛みの少ない治療』を行います。
将来を考えた治療
自分の歯に勝るものはありません。『できるだけ長持ちをさせたい』という思いから、ご自身の歯が長持ちをするように『将来を見据えた治療』をご提案します。
滅菌の徹底・感染予防対策
安心して治療を受けられるように、『感染予防の対策』『除菌・滅菌』と院内を清潔に保っています。
STAFF スタッフ紹介
院長 後藤 晶子
経歴
- 2009年 国立九州大学歯学部卒業
- 2009年 九州大学病院歯科総合診療科研修医
- 2010年 福岡市内歯科医院にて勤務医・分院長
- 2016年 東京都渋谷のかみ合わせ専門の歯科医院に勤務
- 2021年 三軒茶屋歯科 開院
所属団体
- 顎咬合学会
- 日本成人矯正歯科学会
ごあいさつ
私たちに生涯、快適なお口で過ごせるお手伝いをさせてください。
あなたの歯は、私たちがお守りいたします。
ご家族・ご友人の歯も、私たちがお守りいたします。
歯科口腔外科医師 高鍋 雄亮
経歴
- 2009年 国立九州大学歯学部卒業
- 2010年 東京大学医学部附属病院研修医
- 2012年 国立国際医療研究センター病院歯科口腔外科レジデントフェロー
- 国立国際医療研究センター国府台病院
- 東京医科大学歯科口腔外科・矯正歯科兼任助教
所属団体
- 日本口腔外科学会認定医
- 日本有病者歯科医療学会認定医
- 歯科医師臨床研修指導歯科医
ごあいさつ
患者さんひとりひとりにあった最善の医療を提供できるよう努力いたします。
NEW CONTENT 新着コンテンツ
-
「第22回 一般社団法人 日本外傷歯学会・総会・学術大会」開幕、リハビリにフォーカスして歯の損失リスク軽減を目指す
2022.8.8 一般歯科
-
クラウド型歯科用レセコン「POWER5G」が口腔内シミュレーションサービス「DMFTシミュレーター」と提携
2022.6.28 予防歯科
-
豪発のブランド「ビーボックス」から歯固め発売、乳幼児でも持ちやすい設計に
2022.6.24 小児歯科
-
韓国発ライフスタイルケアブランド「ソルトレイン」日本初上陸、伊勢丹新宿でポップアップも
2022.6.22 その他
-
デントウェーブ運営の歯科衛生士向けコミュニティ「歯科衛生士のcoe」無料オンラインイベント開催
2022.3.2 その他
-
竹素材のオーガニック歯ブラシ、日本発サステナブランド「ミヨオーガニック」展開
2022.2.17 予防歯科
