- 詰め物・被せもの
- セラミック・ジルコニア
- ブリッジ
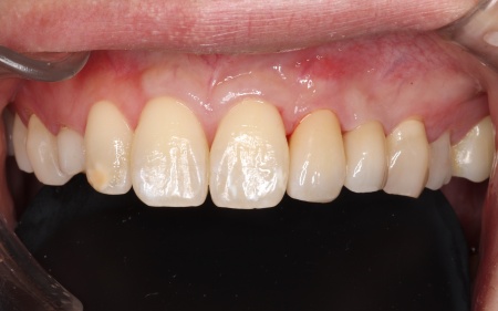
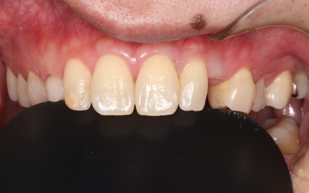
30代男性 歯が欠損した部分を片側固定ブリッジで補った症例
ご相談内容
「大人になってからも残っていた乳歯が抜けてしまったので、歯を入れたい」とご相談いただきました。
カウンセリング・診断結果
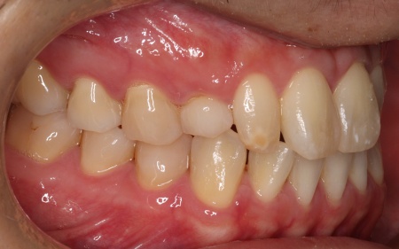
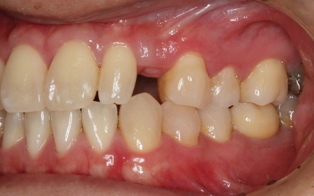
拝見したところ、左上の糸切り歯が欠損していました。
これまでは乳歯が残っていたものの、最近になって自然に抜けてしまったとのことです。
レントゲン検査で詳しく調べた結果、患者様は生まれつき左上の糸切り歯の永久歯が存在しないことが分かりました。
このケースでは、乳歯が抜けてしまうと今後歯が生えてくることはありません。
欠損したままの状態を放置すると、前後の歯が徐々に動いて歯並びが乱れたり噛み合わせに影響が出たりする可能性があります。
以上のことから、歯を補う治療が必要と診断しました。
行ったご提案・治療内容
診断結果を丁寧に説明したうえで、歯を補うために以下3つの治療法を提案しました。
①歯が抜けた部分に人工の歯根を埋め込み、その上に人工歯を装着するインプラント治療
メリット:周囲の歯を削る必要がなく欠損部分のみを補えるため、自分の歯のような見た目や噛み心地が期待できる
デメリット:外科的な処置を伴う。今回は歯を入れるためのスペースがやや狭かったため、矯正治療でスペースを確保してから行う必要があり、治療期間が約2年と長くなる
②失った歯の手前の前歯1本を支えとして、2本分の被せ物を装着する片側固定ブリッジ
メリット:外科的な処置を行わずに歯を補える。一般的なブリッジでは前後の歯を削る必要があるものの、今回は手前の歯のみを土台とするため、削る歯の本数を最小限に抑えられる
デメリット:支えとなる手前の歯をひとまわり小さく削る必要がある
③取り外し式の入れ歯
メリット:外科処置が不要で、保険診療の範囲でも対応できる
デメリット:装着時の違和感が出やすい。見た目が気になる場合がある
それぞれのメリット・デメリットをご説明したところ、患者様は当初①のインプラント治療をご希望でしたが、矯正治療の併用や治療期間の長さへの不安から、最終的に②の片側固定ブリッジを選択されました。
また今回はブリッジを装着するためのスペースがやや不足しているため、手前の歯を小さめに削って必要なスペースを確保する必要があることも併せて説明しています。
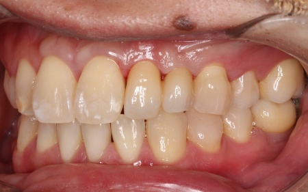
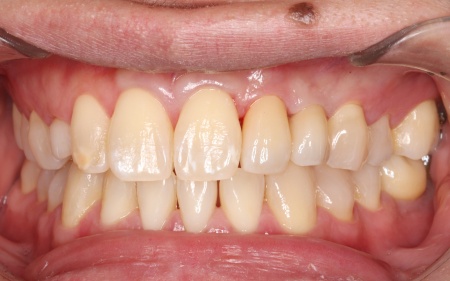
被せ物の素材は患者様と相談のうえ、自然な白さがあり変色や劣化が起こりにくいセラミックを選択しました。
まず手前の歯を削って土台を作り、精密な型取りを行います。
後日、完成したブリッジを装着し、噛み合わせなどに問題がないかを確認して治療を終了しました。
この治療のリスクについて
・ブリッジの装着に際し、天然歯を削る必要があります
・土台となる歯に負担がかかるため、将来的に歯が揺れたり、歯の根が割れたりする可能性があります
・噛み合わせや歯ぎしりが強い場合、被せ物が破損する可能性があります
- 年齢・性別 30代男性
- 診療種別 自由診療
- 治療期間の目安 -
- 治療回数の目安 2回
- 治療費総額の目安 275,000円
※掲載された情報は治療の効果を保証するものではありません。
ご利用により万一何らかの損害が発生したとしても、当サイトは一切責任を負いかねますのでご了承ください。
画像をクリックすると拡大・詳細コメントを確認いただけます
-
三軒茶屋歯科TEL:0334249505
-
三軒茶屋歯科TEL:0334249505 -
三軒茶屋歯科TEL:0334249505
-
三軒茶屋歯科TEL:0334249505
-
三軒茶屋歯科TEL:0334249505 -
三軒茶屋歯科TEL:0334249505
-
三軒茶屋歯科TEL:0334249505
-
三軒茶屋歯科TEL:0334249505 -
三軒茶屋歯科TEL:0334249505
-
三軒茶屋歯科TEL:0334249505 -
三軒茶屋歯科TEL:0334249505 -
三軒茶屋歯科TEL:0334249505
問題を報告する
掲載内容に問題がありますか?
こちらのフォームではココシカ!利用規約に違反している可能性のある情報や、
その他の問題がある内容について直接報告することができます。
この機能は、詐欺、スパム、虚偽、不正確であると思われる情報を報告するためのものです。
報告すべき情報の例
- ・差別的または不快感を与えるもの: 性別、年齢、人種、宗教、身体的特徴などに基づく差別が見られるものはこちらに該当します。過度な出血など過激な表現など不適切な内容が含まれる場合も対象です。
- ・虚偽の情報: 何らかの根拠により虚偽が認められる情報が対象です。
- ・不正確な情報: 治療名やリスク、金額、医院情報などに不正確な内容が含まれるものです。多くの場合、これらの問題はココシカ!の掲載基準違反ではありませんが、情報の更新が求められる場合があります。
- ・広告行為: 本サービスの趣旨に反する投稿です。サービス広告、企業やアプリの宣伝、その他問題があると確認された投稿が該当します。
- ・その他: これらのカテゴリーに当てはまらない問題については、[その他] を選択し詳しい情報をご提供ください。
ココシカ!の情報、技術的な問題、医院ページのレビュー、掲載情報に関する問い合わせ、検索結果などに関する一般的な質問、これらの問題に関するお問い合わせは、サポートチームまでご連絡下さい。
| 診療科目 | 一般歯科、小児歯科、矯正歯科、ホワイトニング、インプラント |
|---|---|
| 自由診療 | 小児矯正、表側矯正、裏側矯正、ハーフリンガル矯正、マウスピース矯正、オフィスホワイトニング、ホームホワイトニング、セラミック治療、インプラント |
| 住所 | 〒154-0004 東京都世田谷区太子堂4-1-1 キャロットタワー北棟1 |
| アクセス | 三軒茶屋駅 徒歩0分 |
| 診療時間 | 【火〜土】 8:30〜18:00 |
| 休診日 | 月曜日・日曜日 |
| 代表者 | 後藤 晶子 |
※記載の内容は最新の情報と異なる場合がございます。正確な情報は歯科医院にご確認ください。
この歯科医院の他の症例
NEW CONTENT 新着コンテンツ
-
「第22回 一般社団法人 日本外傷歯学会・総会・学術大会」開幕、リハビリにフォーカスして歯の損失リスク軽減を目指す
2022.8.8 一般歯科
-
クラウド型歯科用レセコン「POWER5G」が口腔内シミュレーションサービス「DMFTシミュレーター」と提携
2022.6.28 予防歯科
-
豪発のブランド「ビーボックス」から歯固め発売、乳幼児でも持ちやすい設計に
2022.6.24 小児歯科
-
韓国発ライフスタイルケアブランド「ソルトレイン」日本初上陸、伊勢丹新宿でポップアップも
2022.6.22 その他
-
デントウェーブ運営の歯科衛生士向けコミュニティ「歯科衛生士のcoe」無料オンラインイベント開催
2022.3.2 その他
-
竹素材のオーガニック歯ブラシ、日本発サステナブランド「ミヨオーガニック」展開
2022.2.17 予防歯科
