- 詰め物・被せもの
- セラミック・ジルコニア
- インプラント
- 抜歯
20代男性 割れた奥歯を抜いたあとインプラント治療を行った症例
ご相談内容
「歯が割れてしまったのでインプラントを入れたい」とご相談いただきました。
カウンセリング・診断結果
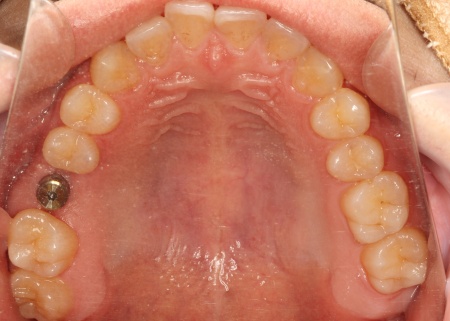
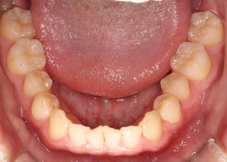
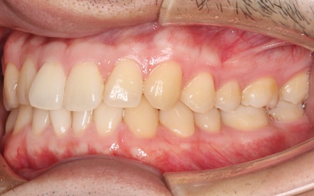
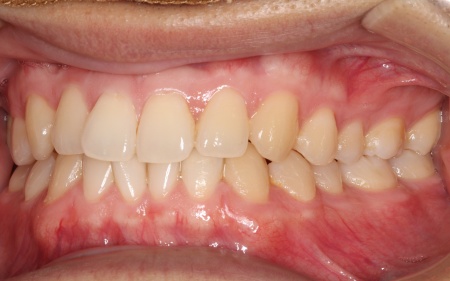
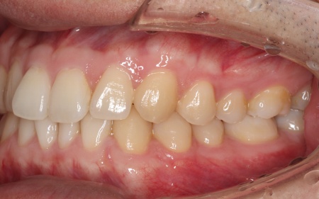
拝見したところ、右上の奥歯(第1大臼歯)が割れていました。
歯が割れている状態を放置すると、歯を支える骨が溶けたり強い痛みが出たりする恐れがあります。
そのため、割れた奥歯を抜いたうえで歯の機能を補う治療が必要と診断しました。
行ったご提案・治療内容
割れた右上の奥歯を抜いたあとの治療方法として、以下を提案しました。
①部分入れ歯
両隣の歯にバネをかけて装着する取り外し可能な人工歯
メリット:治療期間が短く、費用も抑えることができる
デメリット:装着時に違和感があったり、噛む力が弱かったりする場合がある
②ブリッジ
両隣の歯を削って土台にして、橋を渡すように被せ物を装着する方法
メリット:比較的短時間で治療が終了する
デメリット:土台にするため両隣の健康な歯を多く削る必要があり、装着後の清掃が難しい
③インプラント
顎の骨に人工歯根を埋め込み、その上に被せ物を装着する方法
メリット:周囲の歯に負担をかけずに治療でき、自然な見た目と噛み心地が期待できる
デメリット:入れ歯やブリッジに比べて治療期間が長く、費用も高くなる傾向にある
④矯正
歯を動かして欠損部を調整する方法
メリット:自然な歯並びに整えられる
デメリット:治療期間が長くなることがある
患者様は両隣の歯を削らずに済むこと、噛む力が強いため丈夫な治療方法を希望していることから、③のインプラントによる治療を選択されました。
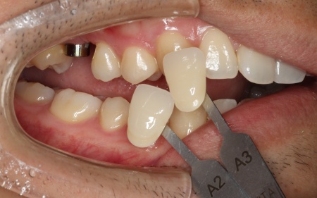
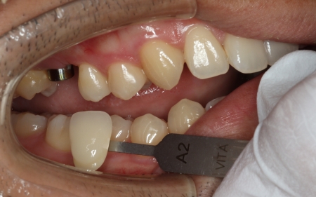
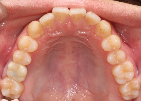
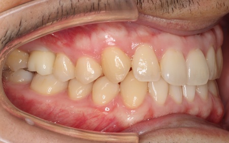
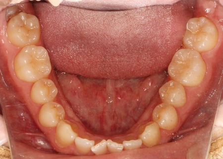
また奥歯は噛む力が強くかかる場所であるため、インプラント上部に装着する被せ物の素材にはセラミック(白い陶材)の中でも、とくに耐久性に優れたジルコニアを採用しています。
まず、インプラントの埋入位置・角度・深さを正確に誘導するためのガイド(インプラントガイド)を用いて、埋入位置をしっかりと確認しながら埋め込みました。
経過観察後、骨が再生していること、インプラントが骨にしっかりと固定していることを確認してから、インプラントに取り付ける被せ物を作製するための型取りを行っています。
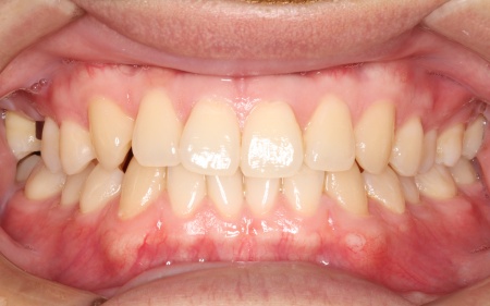
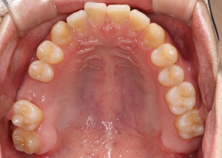
後日、完成したジルコニアクラウンが歯にぴったりと合っているか、噛み合わせに問題がないかを確認したうえでインプラントに装着し、治療を終了しました。
この治療のリスクについて
・外科手術のため、術後に痛みや腫れ、違和感を伴います
・メンテナンスを怠ったり、喫煙したりすると、お口の中に大きな悪影響を及ぼし、インプラント周囲炎などにかかる可能性があります
・糖尿病、肝硬変、心臓病などの持病をお持ちの場合、インプラント治療ができない可能性があります
・高血圧、貧血・不整脈などの持病をお持ちの場合、インプラント治療後に治癒不全を招く可能性があります
・噛み合わせや歯ぎしりが強い場合、セラミックが割れる可能性があります
・自費診療(保険適用外治療)です
- 年齢・性別 20代男性
- 診療種別 自由診療
- 治療期間の目安 -
- 治療回数の目安 7回
-
治療費総額の目安
約440,000円
【内訳】
CT撮影、インプラント体、ガイド製作、スクリュー、被せ物
※掲載された情報は治療の効果を保証するものではありません。
ご利用により万一何らかの損害が発生したとしても、当サイトは一切責任を負いかねますのでご了承ください。
画像をクリックすると拡大・詳細コメントを確認いただけます
-
三軒茶屋歯科TEL:0334249505
-
三軒茶屋歯科TEL:0334249505
-
三軒茶屋歯科TEL:0334249505
-
三軒茶屋歯科TEL:0334249505
-
三軒茶屋歯科TEL:0334249505
-
三軒茶屋歯科TEL:0334249505
-
三軒茶屋歯科TEL:0334249505
-
三軒茶屋歯科TEL:0334249505
-
三軒茶屋歯科TEL:0334249505
-
三軒茶屋歯科TEL:0334249505
-
三軒茶屋歯科TEL:0334249505
-
三軒茶屋歯科TEL:0334249505
-
三軒茶屋歯科TEL:0334249505
-
三軒茶屋歯科TEL:0334249505
-
三軒茶屋歯科TEL:0334249505
-
三軒茶屋歯科TEL:0334249505 -
三軒茶屋歯科TEL:0334249505
-
三軒茶屋歯科TEL:0334249505 -
三軒茶屋歯科TEL:0334249505 -
三軒茶屋歯科TEL:0334249505
-
三軒茶屋歯科TEL:0334249505 -
三軒茶屋歯科TEL:0334249505 -
三軒茶屋歯科TEL:0334249505
-
三軒茶屋歯科TEL:0334249505 -
三軒茶屋歯科TEL:0334249505 -
三軒茶屋歯科TEL:0334249505
-
三軒茶屋歯科TEL:0334249505
問題を報告する
掲載内容に問題がありますか?
こちらのフォームではココシカ!利用規約に違反している可能性のある情報や、
その他の問題がある内容について直接報告することができます。
この機能は、詐欺、スパム、虚偽、不正確であると思われる情報を報告するためのものです。
報告すべき情報の例
- ・差別的または不快感を与えるもの: 性別、年齢、人種、宗教、身体的特徴などに基づく差別が見られるものはこちらに該当します。過度な出血など過激な表現など不適切な内容が含まれる場合も対象です。
- ・虚偽の情報: 何らかの根拠により虚偽が認められる情報が対象です。
- ・不正確な情報: 治療名やリスク、金額、医院情報などに不正確な内容が含まれるものです。多くの場合、これらの問題はココシカ!の掲載基準違反ではありませんが、情報の更新が求められる場合があります。
- ・広告行為: 本サービスの趣旨に反する投稿です。サービス広告、企業やアプリの宣伝、その他問題があると確認された投稿が該当します。
- ・その他: これらのカテゴリーに当てはまらない問題については、[その他] を選択し詳しい情報をご提供ください。
ココシカ!の情報、技術的な問題、医院ページのレビュー、掲載情報に関する問い合わせ、検索結果などに関する一般的な質問、これらの問題に関するお問い合わせは、サポートチームまでご連絡下さい。
| 診療科目 | 一般歯科、小児歯科、矯正歯科、ホワイトニング、インプラント |
|---|---|
| 自由診療 | 小児矯正、表側矯正、裏側矯正、ハーフリンガル矯正、マウスピース矯正、オフィスホワイトニング、ホームホワイトニング、セラミック治療、インプラント |
| 住所 | 〒154-0004 東京都世田谷区太子堂4-1-1 キャロットタワー北棟1 |
| アクセス | 三軒茶屋駅 徒歩0分 |
| 診療時間 | 【火〜土】 8:30〜18:00 |
| 休診日 | 月曜日・日曜日 |
| 代表者 | 後藤 晶子 |
※記載の内容は最新の情報と異なる場合がございます。正確な情報は歯科医院にご確認ください。
この歯科医院の他の症例
NEW CONTENT 新着コンテンツ
-
「第22回 一般社団法人 日本外傷歯学会・総会・学術大会」開幕、リハビリにフォーカスして歯の損失リスク軽減を目指す
2022.8.8 一般歯科
-
クラウド型歯科用レセコン「POWER5G」が口腔内シミュレーションサービス「DMFTシミュレーター」と提携
2022.6.28 予防歯科
-
豪発のブランド「ビーボックス」から歯固め発売、乳幼児でも持ちやすい設計に
2022.6.24 小児歯科
-
韓国発ライフスタイルケアブランド「ソルトレイン」日本初上陸、伊勢丹新宿でポップアップも
2022.6.22 その他
-
デントウェーブ運営の歯科衛生士向けコミュニティ「歯科衛生士のcoe」無料オンラインイベント開催
2022.3.2 その他
-
竹素材のオーガニック歯ブラシ、日本発サステナブランド「ミヨオーガニック」展開
2022.2.17 予防歯科
