- 矯正歯科
- マウスピース矯正
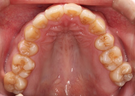
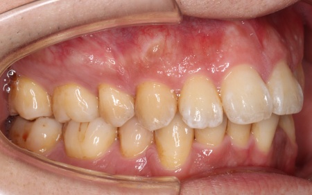
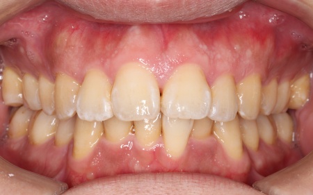
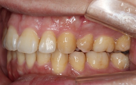
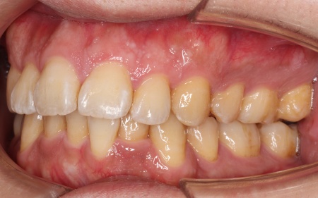
30代男性 透明なマウスピース型の矯正装置で前歯の歯並びを整えた症例
ご相談内容
「下前歯の歯並びがデコボコしているのが気になる」とご相談いただきました。
カウンセリング・診断結果
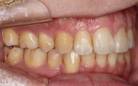
拝見したところ、下前歯がずれたりねじれたりしてデコボコに生えている「叢生(そうせい)」が認められました。また、上前歯もやや歯列の乱れがあり、審美性に影響を与えています。
現在は歯が重なって生えているため、歯ブラシが届きにくく、十分なセルフケアが難しい状態です。このまま矯正治療を行わずに放置すると、むし歯や歯周病のリスクが高くなります。
以上のことから、見た目だけでなく将来的なお口の健康を守るためにも、矯正治療が必要であると診断しました。
行ったご提案・治療内容
歯並びを整える治療として、以下3つの方法を提案しました。
①表側矯正
歯の表面に矯正器具を装着する方法です。
メリット:幅広い症例に対応できる。比較的治療期間が短く、費用を抑えやすい
デメリット:矯正装置が目立ちやすい。矯正装置周囲の歯磨きに工夫が必要になる
②裏側矯正
歯の裏側に矯正器具を装着する方法です。
メリット:外側から矯正装置が見えにくい
デメリット:費用が高額になりやすい。舌に違和感を覚えたり、発音がしにくくなったりするおそれがある
③インビザライン
透明なマウスピース型の矯正装置を装着する方法です。
メリット:装置が透明なので目立ちにくい。取り外しができるため、食事や歯みがきがしやすい
デメリット:1日20時間以上装着する、装置の清掃などをご自身で行うなど、自己管理が必要になる。症状によっては、適応できない場合がある
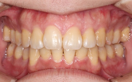
それぞれのメリットとデメリットを丁寧に説明したところ、患者様は「仕事上、装置が外から見えるのは避けたいので、できるだけ目立たない方法で治療をしたい。また、可能であれば抜歯は避けたい」とのことから、③のインビザラインでの治療を希望されています。
今回の症例は前歯部の軽度から中等度の叢生だったため、インビザラインでの治療が可能であることをお伝えし、治療に同意いただきました。
まず、歯の形や並びを正確に確認するために歯型をとり、その情報をもとにコンピューター上で治療計画を作成します。
続いて、患者様専用のマウスピース型矯正装置「インビザラインライト」を製作し、矯正治療を開始しました。
マウスピース(アライナー)は歯を少しずつ動かす設計となっているため10日ごとに新しいものへ交換していただくこと、装着時間が治療結果に大きく影響を及ぼすことも、併せてお伝えしています。
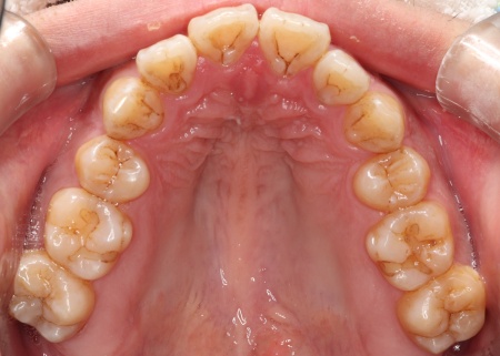
治療を始めてから約3ヶ月後に歯の動きを確認したところ、より精密に歯並びを整えるための調整が必要だと判断しました。
そこで再度歯型をとり、追加のマウスピースを作製し、お渡ししています。
その後は定期的に通院していただき、歯の移動状況や装着状態を確認しながら慎重に治療を進めました。
追加のマウスピースを作製してから約9ヶ月後、歯並びがしっかりと整ったこと、見た目や噛み合わせに問題がないことを確認したうえで、歯並びを安定させるためのリテーナー(保定装置)を装着しました。
現在も歯並びを安定させるために、リテーナーを継続して使用いただいています。
この治療のリスクについて
・決められたスケジュールを守らない場合、十分な効果が得られない可能性があります
・マウスピースに対応していない症例の場合、治療が難しい可能性があります
・歯の移動に伴って、痛みや違和感を感じる場合があります
・正しいブラッシングやメンテナンスを行わない場合、虫歯や歯周病のリスクが高まります
- 年齢・性別 30代男性
- 診療種別 自由診療
- 治療期間の目安 -
- 治療回数の目安 7回
- 治療費総額の目安 550,000円
※掲載された情報は治療の効果を保証するものではありません。
ご利用により万一何らかの損害が発生したとしても、当サイトは一切責任を負いかねますのでご了承ください。
画像をクリックすると拡大・詳細コメントを確認いただけます
-
三軒茶屋歯科TEL:0334249505
-
三軒茶屋歯科TEL:0334249505 -
三軒茶屋歯科TEL:0334249505
-
三軒茶屋歯科TEL:0334249505
-
三軒茶屋歯科TEL:0334249505 -
三軒茶屋歯科TEL:0334249505
-
三軒茶屋歯科TEL:0334249505
-
三軒茶屋歯科TEL:0334249505 -
三軒茶屋歯科TEL:0334249505
-
三軒茶屋歯科TEL:0334249505
-
三軒茶屋歯科TEL:0334249505 -
三軒茶屋歯科TEL:0334249505
画像をクリックすると拡大・詳細コメントを確認いただけます
問題を報告する
掲載内容に問題がありますか?
こちらのフォームではココシカ!利用規約に違反している可能性のある情報や、
その他の問題がある内容について直接報告することができます。
この機能は、詐欺、スパム、虚偽、不正確であると思われる情報を報告するためのものです。
報告すべき情報の例
- ・差別的または不快感を与えるもの: 性別、年齢、人種、宗教、身体的特徴などに基づく差別が見られるものはこちらに該当します。過度な出血など過激な表現など不適切な内容が含まれる場合も対象です。
- ・虚偽の情報: 何らかの根拠により虚偽が認められる情報が対象です。
- ・不正確な情報: 治療名やリスク、金額、医院情報などに不正確な内容が含まれるものです。多くの場合、これらの問題はココシカ!の掲載基準違反ではありませんが、情報の更新が求められる場合があります。
- ・広告行為: 本サービスの趣旨に反する投稿です。サービス広告、企業やアプリの宣伝、その他問題があると確認された投稿が該当します。
- ・その他: これらのカテゴリーに当てはまらない問題については、[その他] を選択し詳しい情報をご提供ください。
ココシカ!の情報、技術的な問題、医院ページのレビュー、掲載情報に関する問い合わせ、検索結果などに関する一般的な質問、これらの問題に関するお問い合わせは、サポートチームまでご連絡下さい。
| 診療科目 | 一般歯科、小児歯科、矯正歯科、ホワイトニング、インプラント |
|---|---|
| 自由診療 | 小児矯正、表側矯正、裏側矯正、ハーフリンガル矯正、マウスピース矯正、オフィスホワイトニング、ホームホワイトニング、セラミック治療、インプラント |
| 住所 | 〒154-0004 東京都世田谷区太子堂4-1-1 キャロットタワー北棟1 |
| アクセス | 三軒茶屋駅 徒歩0分 |
| 診療時間 | 【火〜土】 8:30〜18:00 |
| 休診日 | 月曜日・日曜日 |
| 代表者 | 後藤 晶子 |
※記載の内容は最新の情報と異なる場合がございます。正確な情報は歯科医院にご確認ください。
この歯科医院の他の症例
NEW CONTENT 新着コンテンツ
-
「第22回 一般社団法人 日本外傷歯学会・総会・学術大会」開幕、リハビリにフォーカスして歯の損失リスク軽減を目指す
2022.8.8 一般歯科
-
クラウド型歯科用レセコン「POWER5G」が口腔内シミュレーションサービス「DMFTシミュレーター」と提携
2022.6.28 予防歯科
-
豪発のブランド「ビーボックス」から歯固め発売、乳幼児でも持ちやすい設計に
2022.6.24 小児歯科
-
韓国発ライフスタイルケアブランド「ソルトレイン」日本初上陸、伊勢丹新宿でポップアップも
2022.6.22 その他
-
デントウェーブ運営の歯科衛生士向けコミュニティ「歯科衛生士のcoe」無料オンラインイベント開催
2022.3.2 その他
-
竹素材のオーガニック歯ブラシ、日本発サステナブランド「ミヨオーガニック」展開
2022.2.17 予防歯科
