- 矯正歯科
- 小児歯科
9歳女の子 反対咬合を顎の成長を利用した矯正装置を用いて改善した症例
ご相談内容
「受け口を治したい」とご相談いただきました。
カウンセリング・診断結果
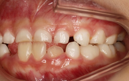
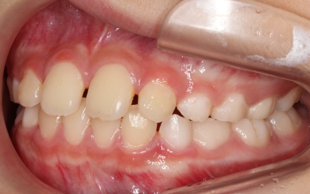
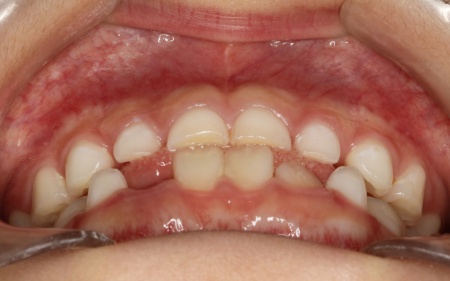
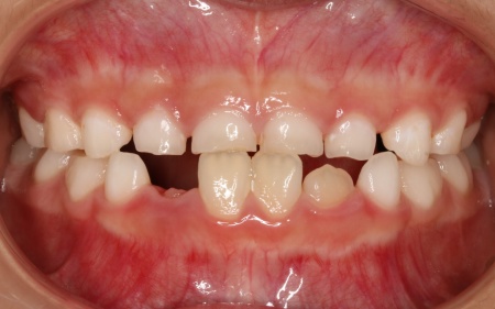
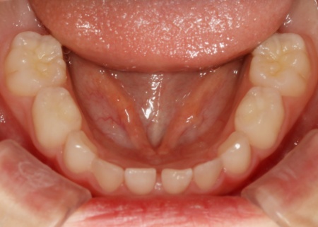
拝見したところ、患者様は乳歯のみが生えている乳歯列期の段階でしたが、この時点ですでに反対咬合が認められました。
反対咬合とは、下の前歯が上の前歯よりも前に出ている状態のことで、一般的に「受け口」とも呼ばれます。
反対咬合は、このまま放置すると永久歯に生えかわったあとも継続してしまうおそれがあり、顎の成長や噛み合わせ、発音や顔貌にも悪影響を及ぼすことがあります。
しかし、この時期は顎の骨が成長段階にあり、適切な治療を行うことで改善が期待できるため、早期に治療を開始する必要があると診断しました。
行ったご提案・治療内容
患者様には、上顎の骨を前方に成長させることで反対咬合を改善する治療方法を提案しました。
乳歯列期から治療を始めることで、顎の自然な成長を利用しながら、より効率的に反対咬合を改善することが可能です。
その一方で、以下の注意点も併せてお伝えしています。
・装置は着脱式なので、装着時間を守る必要がある
・装置に慣れるまでは、違和感や発音のしにくさを感じることがある
・成長を利用した治療のため、ある程度の期間を要する
治療内容について詳しく説明し、この治療には患者様とご家族の協力が不可欠であることもご理解いただいたうえで、患者様とご家族は「できる限り早期に改善したい」とのことから、治療に同意いただきました。
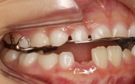
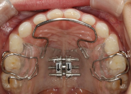
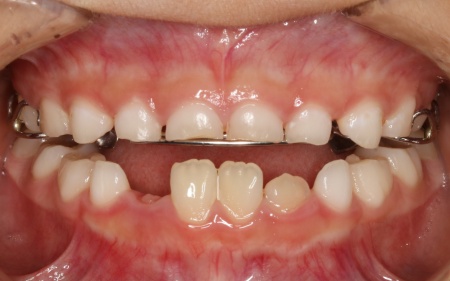
まずは上顎に「バイオブロック(BB1)」という装置を装着します。
バイオブロックとは、上顎の骨を前方に成長させることを目的とした、乳歯列期のお子様に適した矯正装置です。この装置により、上顎の骨の成長を促して反対咬合の改善を図りました。
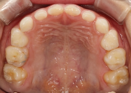
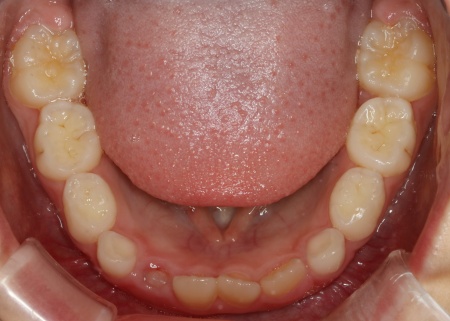
続いて下顎には、顎の幅を広げて歯が並ぶスペースを確保しながら、上下の噛み合わせのバランスを整える役割をもつ「拡大床」という装置を装着しました。
治療中は定期的に通院いただき、装置の調整を丁寧に行いながら、噛み合わせの状態を都度確認します。
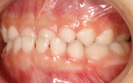
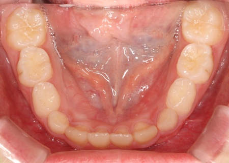
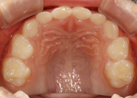
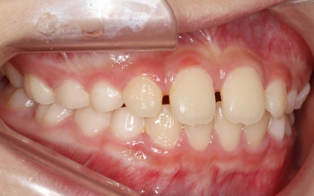
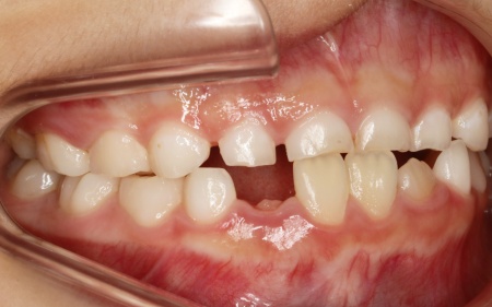
お子様の成長に合わせて慎重に治療を進めることで、無理のない自然な形で歯並びと噛み合わせを改善することができました。
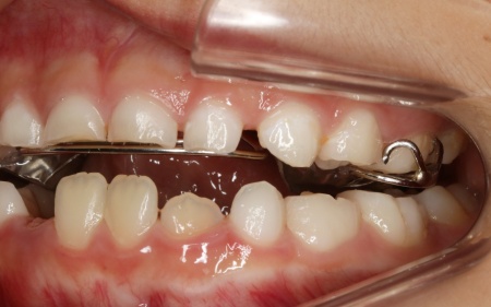
矯正治療が終了したあとは、治療後の状態を安定させて後戻りを防ぐための「保定装置」を装着し、経過観察を行います。
この段階でも定期的に通院いただいて、良好な状態が維持されていることを確認しました。
現在も保定装置を継続して使用していただいているため、安定した状態を保っています。
この治療のリスクについて
・治療中、発音しにくい場合があります
・治療中、舌が動かしにくいことがあります
・治療中、装置によってまれに頬の内側が傷つき、口内炎になる場合があります
・決められたスケジュールを守らない場合、十分な効果が得られない可能性があります
・歯の移動に伴って、痛みや違和感を感じる場合があります
・正しいブラッシングやメンテナンスを行わない場合、虫歯や歯周病のリスクが高まります
- 年齢・性別 9歳女の子
- 診療種別 自由診療
-
治療期間の目安
約4年
(現在も保定にて経過観察中) - 治療回数の目安 -
- 治療費総額の目安 400,000円
※掲載された情報は治療の効果を保証するものではありません。
ご利用により万一何らかの損害が発生したとしても、当サイトは一切責任を負いかねますのでご了承ください。
画像をクリックすると拡大・詳細コメントを確認いただけます
-
三軒茶屋歯科TEL:0334249505
-
三軒茶屋歯科TEL:0334249505
-
三軒茶屋歯科TEL:0334249505
-
三軒茶屋歯科TEL:0334249505
-
三軒茶屋歯科TEL:0334249505
-
三軒茶屋歯科TEL:0334249505
-
三軒茶屋歯科TEL:0334249505
-
三軒茶屋歯科TEL:0334249505
-
三軒茶屋歯科TEL:0334249505
-
三軒茶屋歯科TEL:0334249505
-
三軒茶屋歯科TEL:0334249505
-
三軒茶屋歯科TEL:0334249505
-
三軒茶屋歯科TEL:0334249505
-
三軒茶屋歯科TEL:0334249505
-
三軒茶屋歯科TEL:0334249505
-
三軒茶屋歯科TEL:0334249505 -
三軒茶屋歯科TEL:0334249505
-
三軒茶屋歯科TEL:0334249505 -
三軒茶屋歯科TEL:0334249505 -
三軒茶屋歯科TEL:0334249505
-
三軒茶屋歯科TEL:0334249505 -
三軒茶屋歯科TEL:0334249505 -
三軒茶屋歯科TEL:0334249505
-
三軒茶屋歯科TEL:0334249505 -
三軒茶屋歯科TEL:0334249505 -
三軒茶屋歯科TEL:0334249505
-
三軒茶屋歯科TEL:0334249505 -
三軒茶屋歯科TEL:0334249505 -
三軒茶屋歯科TEL:0334249505
-
三軒茶屋歯科TEL:0334249505
上顎にバイオブロックを装着しました。
問題を報告する
掲載内容に問題がありますか?
こちらのフォームではココシカ!利用規約に違反している可能性のある情報や、
その他の問題がある内容について直接報告することができます。
この機能は、詐欺、スパム、虚偽、不正確であると思われる情報を報告するためのものです。
報告すべき情報の例
- ・差別的または不快感を与えるもの: 性別、年齢、人種、宗教、身体的特徴などに基づく差別が見られるものはこちらに該当します。過度な出血など過激な表現など不適切な内容が含まれる場合も対象です。
- ・虚偽の情報: 何らかの根拠により虚偽が認められる情報が対象です。
- ・不正確な情報: 治療名やリスク、金額、医院情報などに不正確な内容が含まれるものです。多くの場合、これらの問題はココシカ!の掲載基準違反ではありませんが、情報の更新が求められる場合があります。
- ・広告行為: 本サービスの趣旨に反する投稿です。サービス広告、企業やアプリの宣伝、その他問題があると確認された投稿が該当します。
- ・その他: これらのカテゴリーに当てはまらない問題については、[その他] を選択し詳しい情報をご提供ください。
ココシカ!の情報、技術的な問題、医院ページのレビュー、掲載情報に関する問い合わせ、検索結果などに関する一般的な質問、これらの問題に関するお問い合わせは、サポートチームまでご連絡下さい。
| 診療科目 | 一般歯科、小児歯科、矯正歯科、ホワイトニング、インプラント |
|---|---|
| 自由診療 | 小児矯正、表側矯正、裏側矯正、ハーフリンガル矯正、マウスピース矯正、オフィスホワイトニング、ホームホワイトニング、セラミック治療、インプラント |
| 住所 | 〒154-0004 東京都世田谷区太子堂4-1-1 キャロットタワー北棟1 |
| アクセス | 三軒茶屋駅 徒歩0分 |
| 診療時間 | 【火〜土】 8:30〜18:00 |
| 休診日 | 月曜日・日曜日 |
| 代表者 | 後藤 晶子 |
※記載の内容は最新の情報と異なる場合がございます。正確な情報は歯科医院にご確認ください。
この歯科医院の他の症例
NEW CONTENT 新着コンテンツ
-
「第22回 一般社団法人 日本外傷歯学会・総会・学術大会」開幕、リハビリにフォーカスして歯の損失リスク軽減を目指す
2022.8.8 一般歯科
-
クラウド型歯科用レセコン「POWER5G」が口腔内シミュレーションサービス「DMFTシミュレーター」と提携
2022.6.28 予防歯科
-
豪発のブランド「ビーボックス」から歯固め発売、乳幼児でも持ちやすい設計に
2022.6.24 小児歯科
-
韓国発ライフスタイルケアブランド「ソルトレイン」日本初上陸、伊勢丹新宿でポップアップも
2022.6.22 その他
-
デントウェーブ運営の歯科衛生士向けコミュニティ「歯科衛生士のcoe」無料オンラインイベント開催
2022.3.2 その他
-
竹素材のオーガニック歯ブラシ、日本発サステナブランド「ミヨオーガニック」展開
2022.2.17 予防歯科
