- 矯正歯科
- 小児歯科
- マウスピース矯正
10歳女の子 顎の幅を広げる装置とマウスピース型の矯正装置で反対咬合を改善した症例
ご相談内容
「受け口が気になる。かかりつけの歯科医院で治療を考えていたが、友人にすすめられて来院した」とご相談いただきました。
カウンセリング・診断結果
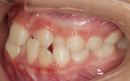
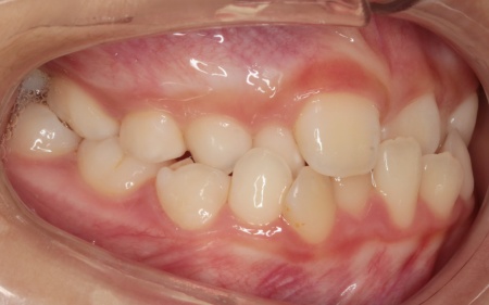
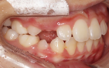
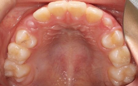
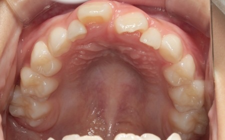
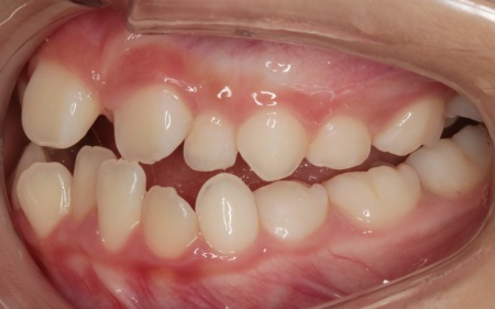
拝見したところ、上前歯が下前歯の内側に入り込む「反対咬合(こうごう)」が認められました。
詳しい検査の結果、患者様の反対咬合は歯の位置の問題ではなく、上顎の発育が十分ではないことが主な原因と考えられます。
このまま放置すると、顎のずれが大きくなり、将来的に外科手術が必要になるリスクがあるだけでなく、歯の位置関係が乱れることで発音に影響が出るおそれもあります。
また、お子様の場合は成長期のうちに顎の発育を適切に促すことが重要なので、早期に矯正治療を開始する必要があると診断しました。
行ったご提案・治療内容
まずは、「バイオブロック」による治療で上顎の発育を促すこと、その後、前歯の位置を細かく整えるためマウスピース型矯正装置「インビザラインファースト」と、上顎を前方へ引き出す「前方牽引装置」を併用する治療計画を提案しました。
・バイオブロック
成長期のお子様に使用する矯正装置です。上顎の骨を横方向に拡大して歯が並ぶためのスペースを確保し、反対咬合の改善を図ります。
使用できる年齢に制限があり、毎日しっかりと装置を着用する必要があります。
・インビザラインファースト
お子様向けの透明で取り外し可能な矯正装置で、マウスピースを段階的に交換しながら歯を少しずつ動かします。装着時間が不足すると十分な効果が得られにくい点がデメリットです。
・前方牽引装置
上顎の骨に前方への力をかけながら成長を促す装置で、主に就寝時に使用します。装着に際し、ご家庭での協力が治療結果に大きく影響することがあります。
治療内容と合わせて、成長の状況によっては将来追加の矯正治療が必要になる可能性も含めて丁寧に説明し、治療に同意いただきました。
まずは、バイオブロックを用いて上顎の拡大を行います。
慎重に調整を重ねながら、顎を適切な幅まで拡大するとともに、噛み合わせの変化を細かく確認して治療を進めました。
上顎の幅が整ったら、インビザラインファーストによる歯列の調整を開始します。
定期的に通院いただいてマウスピースの適合状態を確認し、計画通り歯が移動しているかを丁寧にチェックしました。
併せて、就寝時には前方牽引装置を使用していただいています。
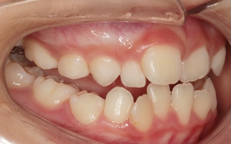
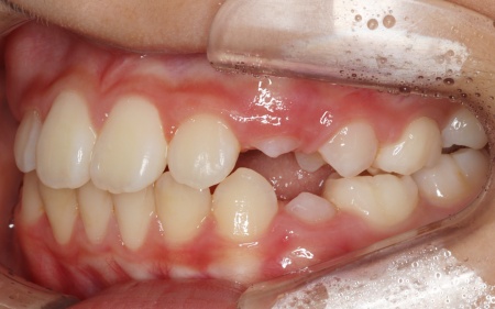
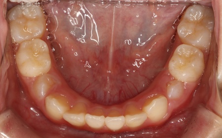
後日、噛み合わせや歯並びが整ったことを確認し、矯正治療を終了しました。
現在は、3ヶ月に1回のペースで来院いただきながら経過観察を続け、永久歯の生え変わりに合わせて、必要に応じてリテーナー(保定装置)の調整も行っています。
この治療のリスクについて
・決められたスケジュールを守らない場合、十分な効果が得られない可能性があります
・マウスピースに対応していない症例の場合、治療が難しい可能性があります
・歯の移動に伴って、痛みや違和感を感じる場合があります
・正しいブラッシングやメンテナンスを行わない場合、虫歯や歯周病のリスクが高まります
・治療中、発音しにくい場合があります
・冷たいものを飲んだときに歯がしみる「知覚過敏」の症状が出る場合があります
- 年齢・性別 10歳女の子
- 診療種別 自由診療
- 治療期間の目安 約1年10ヶ月
- 治療回数の目安 -
-
治療費総額の目安
583,000円
(毎月の調整料は保険の範囲)
※掲載された情報は治療の効果を保証するものではありません。
ご利用により万一何らかの損害が発生したとしても、当サイトは一切責任を負いかねますのでご了承ください。
画像をクリックすると拡大・詳細コメントを確認いただけます
-
三軒茶屋歯科TEL:0334249505
-
三軒茶屋歯科TEL:0334249505 -
三軒茶屋歯科TEL:0334249505
-
三軒茶屋歯科TEL:0334249505
-
三軒茶屋歯科TEL:0334249505 -
三軒茶屋歯科TEL:0334249505
-
三軒茶屋歯科TEL:0334249505
-
三軒茶屋歯科TEL:0334249505 -
三軒茶屋歯科TEL:0334249505
-
三軒茶屋歯科TEL:0334249505
-
三軒茶屋歯科TEL:0334249505 -
三軒茶屋歯科TEL:0334249505
-
三軒茶屋歯科TEL:0334249505
-
三軒茶屋歯科TEL:0334249505 -
三軒茶屋歯科TEL:0334249505 -
三軒茶屋歯科TEL:0334249505
-
三軒茶屋歯科TEL:0334249505 -
三軒茶屋歯科TEL:0334249505
画像をクリックすると拡大・詳細コメントを確認いただけます
問題を報告する
掲載内容に問題がありますか?
こちらのフォームではココシカ!利用規約に違反している可能性のある情報や、
その他の問題がある内容について直接報告することができます。
この機能は、詐欺、スパム、虚偽、不正確であると思われる情報を報告するためのものです。
報告すべき情報の例
- ・差別的または不快感を与えるもの: 性別、年齢、人種、宗教、身体的特徴などに基づく差別が見られるものはこちらに該当します。過度な出血など過激な表現など不適切な内容が含まれる場合も対象です。
- ・虚偽の情報: 何らかの根拠により虚偽が認められる情報が対象です。
- ・不正確な情報: 治療名やリスク、金額、医院情報などに不正確な内容が含まれるものです。多くの場合、これらの問題はココシカ!の掲載基準違反ではありませんが、情報の更新が求められる場合があります。
- ・広告行為: 本サービスの趣旨に反する投稿です。サービス広告、企業やアプリの宣伝、その他問題があると確認された投稿が該当します。
- ・その他: これらのカテゴリーに当てはまらない問題については、[その他] を選択し詳しい情報をご提供ください。
ココシカ!の情報、技術的な問題、医院ページのレビュー、掲載情報に関する問い合わせ、検索結果などに関する一般的な質問、これらの問題に関するお問い合わせは、サポートチームまでご連絡下さい。
| 診療科目 | 一般歯科、小児歯科、矯正歯科、ホワイトニング、インプラント |
|---|---|
| 自由診療 | 小児矯正、表側矯正、裏側矯正、ハーフリンガル矯正、マウスピース矯正、オフィスホワイトニング、ホームホワイトニング、セラミック治療、インプラント |
| 住所 | 〒154-0004 東京都世田谷区太子堂4-1-1 キャロットタワー北棟1 |
| アクセス | 三軒茶屋駅 徒歩0分 |
| 診療時間 | 【火〜土】 8:30〜18:00 |
| 休診日 | 月曜日・日曜日 |
| 代表者 | 後藤 晶子 |
※記載の内容は最新の情報と異なる場合がございます。正確な情報は歯科医院にご確認ください。
この歯科医院の他の症例
NEW CONTENT 新着コンテンツ
-
「第22回 一般社団法人 日本外傷歯学会・総会・学術大会」開幕、リハビリにフォーカスして歯の損失リスク軽減を目指す
2022.8.8 一般歯科
-
クラウド型歯科用レセコン「POWER5G」が口腔内シミュレーションサービス「DMFTシミュレーター」と提携
2022.6.28 予防歯科
-
豪発のブランド「ビーボックス」から歯固め発売、乳幼児でも持ちやすい設計に
2022.6.24 小児歯科
-
韓国発ライフスタイルケアブランド「ソルトレイン」日本初上陸、伊勢丹新宿でポップアップも
2022.6.22 その他
-
デントウェーブ運営の歯科衛生士向けコミュニティ「歯科衛生士のcoe」無料オンラインイベント開催
2022.3.2 その他
-
竹素材のオーガニック歯ブラシ、日本発サステナブランド「ミヨオーガニック」展開
2022.2.17 予防歯科
