- 小児歯科
- 小児矯正
- クリーニング
- フッ素塗布
- 予防歯科
3歳男の子 反対咬合を上顎の発育を促す装置で改善した症例
ご相談内容
「子どもの噛み合わせが受け口になっているようで気になる」とご相談いただきました。
カウンセリング・診断結果
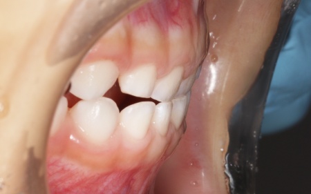
拝見したところ、反対咬合(受け口)が確認されました。
反対咬合とは、本来は上前歯が下前歯の外側に位置するところ、上前歯が下前歯の内側に入り込んでいる噛み合わせのことです。
反対咬合を放置すると、成長に伴って上下の顎のずれが大きくなり、将来的にあごの骨を削るような手術が必要になるリスクがあります。
反対咬合は、下顎が大きく成長しすぎているか、逆に上顎の成長が足りないことで起こる場合があります。
患者様の場合、ご家族に反対咬合の方がいらっしゃるとのことだったので、遺伝的な要因の可能性も考えられました。
3歳はまだ乳歯列期(乳歯のみが生えている時期)であり、顎の骨が活発に成長する重要な時期です。
そのため、成長が続いている今のうちに、顎の成長バランスを正しい方向へ誘導する治療が適切であると診断しました。
行ったご提案・治療内容
反対咬合を改善するために、3つの装置を提案しました。
①バイオブロック
上顎の発育を促し、顎の三次元的な成長を誘導することを目的とした装置です。
メリット:取り外すことができる。顎の骨の成長そのものを正しい方向へ導くことができる。将来的に顔の骨格を整えることにもつながる
デメリット:装置を作る際に歯型をとる処置が必要であり、3歳のお子さんにはやや負担になる。使い始めは違和感が強く、慣れるまで時間がかかる
②Vキッズ
既製品の装置で、主に就寝中に使用します。
メリット:取り外すことができる。3歳のお子さんには負担がかかる型取りの必要がない。基本的に使用は就寝中のみのため、比較的無理なく治療を進められる
デメリット:オーダーメイドではないため、顎の成長を促す効果が限定的になりやすい。患者様の成長具合によっては、将来的に別の治療が必要になる場合もある
③パナシールド
前歯部の噛み合わせの改善を目的とした、マウスピース型の矯正装置です。
メリット:取り外すことができる。シンプルな形で、お子さまでも扱いやすい
デメリット:主に前歯の向きを整える装置なので、顎の骨を根本から改善したい場合は十分な効果を得られないことがある
ご家族は「骨格的な改善を重視したい」とのことだったため、①のバイオブロックによる治療を希望されました。
ただ、バイオブロックを作るためには歯型をとる必要があります。
そこで、まずは通院に慣れてもらうことを優先しました。
むし歯予防のためのフッ素塗布など、段階的に練習を重ねて診療環境や処置に慣れたころに歯型をとり、その模型をもとにバイオブロックを作製して、慎重に装着しました。
装着時には圧迫感や痛みがないことを確認し、使用方法や管理方法についてしっかりとお伝えしています。
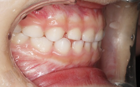
装置の使用を継続していただいた結果、反対咬合の改善が認められました。
最後に、見た目や噛み合わせに問題がないことを確認し、治療を終了しています。
この治療のリスクについて
・治療中、発音しにくい場合があります
・治療中、舌が動かしにくいことがあります
・治療中、装置によってまれに頬の内側が傷つき、口内炎になる場合があります
・決められたスケジュールを守らない場合、十分な効果が得られない可能性があります
・歯の移動に伴って、痛みや違和感を感じる場合があります
・正しいブラッシングやメンテナンスを行わない場合、虫歯や歯周病のリスクが高まります
- 年齢・性別 3歳男の子
- 診療種別 自由診療
- 治療期間の目安 約1年5ヶ月
- 治療回数の目安 -
-
治療費総額の目安
約100,000円
(調整料なし)
※掲載された情報は治療の効果を保証するものではありません。
ご利用により万一何らかの損害が発生したとしても、当サイトは一切責任を負いかねますのでご了承ください。
画像をクリックすると拡大・詳細コメントを確認いただけます
-
三軒茶屋歯科TEL:0334249505
-
三軒茶屋歯科TEL:0334249505 -
三軒茶屋歯科TEL:0334249505
-
三軒茶屋歯科TEL:0334249505 -
三軒茶屋歯科TEL:0334249505 -
三軒茶屋歯科TEL:0334249505
問題を報告する
掲載内容に問題がありますか?
こちらのフォームではココシカ!利用規約に違反している可能性のある情報や、
その他の問題がある内容について直接報告することができます。
この機能は、詐欺、スパム、虚偽、不正確であると思われる情報を報告するためのものです。
報告すべき情報の例
- ・差別的または不快感を与えるもの: 性別、年齢、人種、宗教、身体的特徴などに基づく差別が見られるものはこちらに該当します。過度な出血など過激な表現など不適切な内容が含まれる場合も対象です。
- ・虚偽の情報: 何らかの根拠により虚偽が認められる情報が対象です。
- ・不正確な情報: 治療名やリスク、金額、医院情報などに不正確な内容が含まれるものです。多くの場合、これらの問題はココシカ!の掲載基準違反ではありませんが、情報の更新が求められる場合があります。
- ・広告行為: 本サービスの趣旨に反する投稿です。サービス広告、企業やアプリの宣伝、その他問題があると確認された投稿が該当します。
- ・その他: これらのカテゴリーに当てはまらない問題については、[その他] を選択し詳しい情報をご提供ください。
ココシカ!の情報、技術的な問題、医院ページのレビュー、掲載情報に関する問い合わせ、検索結果などに関する一般的な質問、これらの問題に関するお問い合わせは、サポートチームまでご連絡下さい。
| 診療科目 | 一般歯科、小児歯科、矯正歯科、ホワイトニング、インプラント |
|---|---|
| 自由診療 | 小児矯正、表側矯正、裏側矯正、ハーフリンガル矯正、マウスピース矯正、オフィスホワイトニング、ホームホワイトニング、セラミック治療、インプラント |
| 住所 | 〒154-0004 東京都世田谷区太子堂4-1-1 キャロットタワー北棟1 |
| アクセス | 三軒茶屋駅 徒歩0分 |
| 診療時間 | 【火〜土】 8:30〜18:00 |
| 休診日 | 月曜日・日曜日 |
| 代表者 | 後藤 晶子 |
※記載の内容は最新の情報と異なる場合がございます。正確な情報は歯科医院にご確認ください。
この歯科医院の他の症例
NEW CONTENT 新着コンテンツ
-
「第22回 一般社団法人 日本外傷歯学会・総会・学術大会」開幕、リハビリにフォーカスして歯の損失リスク軽減を目指す
2022.8.8 一般歯科
-
クラウド型歯科用レセコン「POWER5G」が口腔内シミュレーションサービス「DMFTシミュレーター」と提携
2022.6.28 予防歯科
-
豪発のブランド「ビーボックス」から歯固め発売、乳幼児でも持ちやすい設計に
2022.6.24 小児歯科
-
韓国発ライフスタイルケアブランド「ソルトレイン」日本初上陸、伊勢丹新宿でポップアップも
2022.6.22 その他
-
デントウェーブ運営の歯科衛生士向けコミュニティ「歯科衛生士のcoe」無料オンラインイベント開催
2022.3.2 その他
-
竹素材のオーガニック歯ブラシ、日本発サステナブランド「ミヨオーガニック」展開
2022.2.17 予防歯科
