- 矯正歯科
- ワイヤー矯正
- マウスピース矯正
20代女性 乱れた上下の歯並びをハイブリッド矯正で改善した症例
ご相談内容
「歯並びが気になるので治療をしたい」とご相談いただきました。
カウンセリング・診断結果
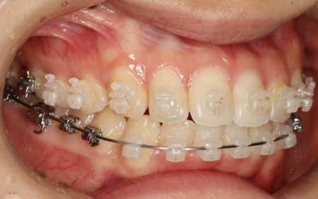
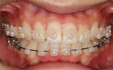
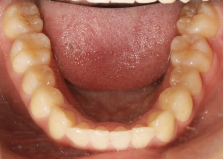
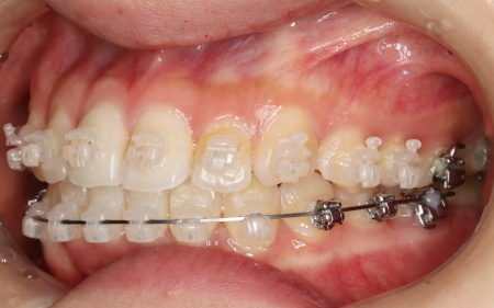
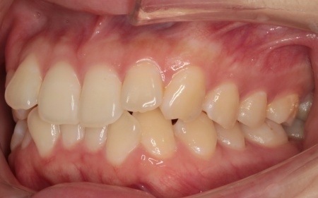
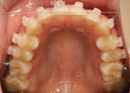
拝見したところ、上下の歯はデコボコに生えている状態でした。
このままでは見た目が気になるだけでなく、磨き残しが起こりやすくなることで虫歯や歯周病などの発症リスクが高まります。
以上のことから、歯並びを改善する矯正治療が必要だと診断しました。
行ったご提案・治療内容
患者様は「できるだけ目立たない治療方法で、なるべく早く終わらせたい」と希望されていたため、ハイブリッド矯正を提案し、同意いただきました。
ハイブリッド矯正とは、ワイヤー矯正とマウスピース矯正の両方を行う方法です。先にワイヤー矯正で歯を大きく移動させたあと、マウスピース矯正で仕上げることで、治療期間の短縮が望めます。
ただ2種類の矯正装置を使用するため、単独での矯正治療よりも費用が高くなる点がデメリットです。
・ワイヤー矯正
歯の表面にブラケットと呼ばれるボタン状の装置を接着し、そこにワイヤーを通して歯を移動させる方法です。
患者様は目立たない治療方法を望まれていたため、ブラケットには白く目立ちにくい「セラミックブラケット」を選択しました。
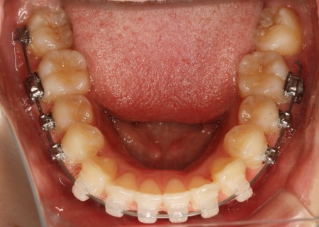
・マウスピース矯正
患者様専用のマウスピース(アライナー)を複数個作製して、定期的にご自身で交換しながら歯を移動させる方法です。
今回は、アライナーの枚数に制限がないプランである「インビザライン・コンプリヘンシブ」を選択しました。
まずは歯の表面にセラミックブラケットを装着し、ワイヤー矯正で歯を全体的に移動させます。
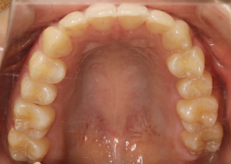
歯並びがある程度正しい位置に並んだら、マウスピース矯正で微調整を行いました。
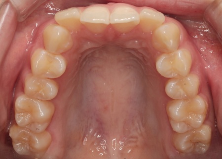
歯の移動が完了したあとは定期的に経過を確認しながら、後戻りを防ぐためのリテーナー(保定装置)を継続して使用いただき、治療を終了しました。
この治療のリスクについて
・治療中、舌が動かしにくいことがあります
・治療中、装置によってまれに頬の内側が傷つき、口内炎になる場合があります
・冷たいものを飲んだときに歯がしみる「知覚過敏」の症状が出る場合があります
・正しいブラッシングやメンテナンスを行わない場合、虫歯や歯周病のリスクが高まります
・決められたスケジュールを守らない場合、十分な効果が得られない可能性があります
・マウスピースに対応していない症例の場合、治療が難しい可能性があります
- 年齢・性別 20代女性
- 診療種別 自由診療
- 治療期間の目安 約1年5ヶ月
- 治療回数の目安 -
-
治療費総額の目安
約935,000円
【内訳】
CT撮影、術前検査・説明、矯正、リテーナー
※掲載された情報は治療の効果を保証するものではありません。
ご利用により万一何らかの損害が発生したとしても、当サイトは一切責任を負いかねますのでご了承ください。
画像をクリックすると拡大・詳細コメントを確認いただけます
-
三軒茶屋歯科TEL:0334249505
-
三軒茶屋歯科TEL:0334249505
-
三軒茶屋歯科TEL:0334249505
-
三軒茶屋歯科TEL:0334249505
-
三軒茶屋歯科TEL:0334249505
-
三軒茶屋歯科TEL:0334249505
-
三軒茶屋歯科TEL:0334249505
-
三軒茶屋歯科TEL:0334249505
-
三軒茶屋歯科TEL:0334249505
-
三軒茶屋歯科TEL:0334249505
-
三軒茶屋歯科TEL:0334249505
-
三軒茶屋歯科TEL:0334249505
-
三軒茶屋歯科TEL:0334249505
-
三軒茶屋歯科TEL:0334249505
-
三軒茶屋歯科TEL:0334249505
問題を報告する
掲載内容に問題がありますか?
こちらのフォームではココシカ!利用規約に違反している可能性のある情報や、
その他の問題がある内容について直接報告することができます。
この機能は、詐欺、スパム、虚偽、不正確であると思われる情報を報告するためのものです。
報告すべき情報の例
- ・差別的または不快感を与えるもの: 性別、年齢、人種、宗教、身体的特徴などに基づく差別が見られるものはこちらに該当します。過度な出血など過激な表現など不適切な内容が含まれる場合も対象です。
- ・虚偽の情報: 何らかの根拠により虚偽が認められる情報が対象です。
- ・不正確な情報: 治療名やリスク、金額、医院情報などに不正確な内容が含まれるものです。多くの場合、これらの問題はココシカ!の掲載基準違反ではありませんが、情報の更新が求められる場合があります。
- ・広告行為: 本サービスの趣旨に反する投稿です。サービス広告、企業やアプリの宣伝、その他問題があると確認された投稿が該当します。
- ・その他: これらのカテゴリーに当てはまらない問題については、[その他] を選択し詳しい情報をご提供ください。
ココシカ!の情報、技術的な問題、医院ページのレビュー、掲載情報に関する問い合わせ、検索結果などに関する一般的な質問、これらの問題に関するお問い合わせは、サポートチームまでご連絡下さい。
| 診療科目 | 一般歯科、小児歯科、矯正歯科、ホワイトニング、インプラント |
|---|---|
| 自由診療 | 小児矯正、表側矯正、裏側矯正、ハーフリンガル矯正、マウスピース矯正、オフィスホワイトニング、ホームホワイトニング、セラミック治療、インプラント |
| 住所 | 〒154-0004 東京都世田谷区太子堂4-1-1 キャロットタワー北棟1 |
| アクセス | 三軒茶屋駅 徒歩0分 |
| 診療時間 | 【火〜土】 8:30〜18:00 |
| 休診日 | 月曜日・日曜日 |
| 代表者 | 後藤 晶子 |
※記載の内容は最新の情報と異なる場合がございます。正確な情報は歯科医院にご確認ください。
この歯科医院の他の症例
NEW CONTENT 新着コンテンツ
-
「第22回 一般社団法人 日本外傷歯学会・総会・学術大会」開幕、リハビリにフォーカスして歯の損失リスク軽減を目指す
2022.8.8 一般歯科
-
クラウド型歯科用レセコン「POWER5G」が口腔内シミュレーションサービス「DMFTシミュレーター」と提携
2022.6.28 予防歯科
-
豪発のブランド「ビーボックス」から歯固め発売、乳幼児でも持ちやすい設計に
2022.6.24 小児歯科
-
韓国発ライフスタイルケアブランド「ソルトレイン」日本初上陸、伊勢丹新宿でポップアップも
2022.6.22 その他
-
デントウェーブ運営の歯科衛生士向けコミュニティ「歯科衛生士のcoe」無料オンラインイベント開催
2022.3.2 その他
-
竹素材のオーガニック歯ブラシ、日本発サステナブランド「ミヨオーガニック」展開
2022.2.17 予防歯科
