- 矯正歯科
- ワイヤー矯正
- マウスピース矯正
- 抜歯
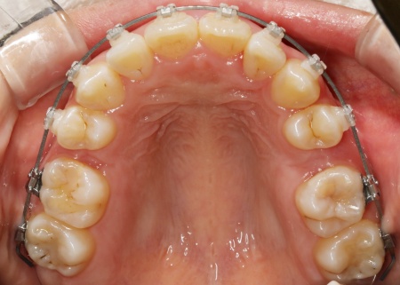
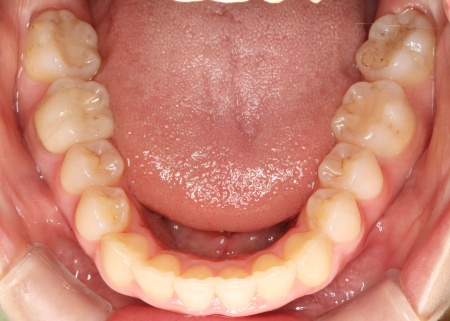
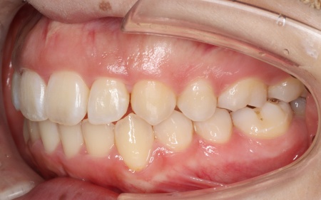
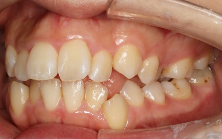
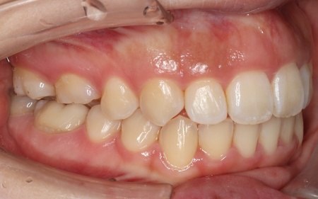
20代女性 ワイヤー矯正とマウスピース矯正を併用したハイブリッド矯正で歯並びを改善した症例
ご相談内容
「歯並びが気になるので、矯正できれいにしたい」とご相談いただきました。
カウンセリング・診断結果
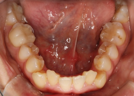
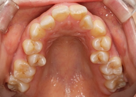
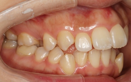
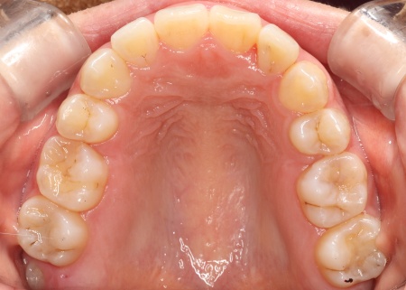
拝見したところ、上下の歯が正しく並ぶためのスペースが足りず、デコボコに生えていました。
とくに、犬歯が正しい歯並びから大きく飛び出した位置に生えており、いわゆる八重歯の状態です。
乱れた歯並びは見た目が気になるだけでなく、磨き残しが発生しやすくなって虫歯や歯周病の発症リスクも高まります。
また、奥歯を噛み合わせた際に上下前歯が噛み合わず隙間ができる開咬(かいこう)も認められました。
開咬は前歯で食べ物を噛み切ることができないうえ、発音に悪影響が出るケースもあります。
以上のことから、歯並びを改善するための矯正治療が必要だと診断しました。
行ったご提案・治療内容
矯正治療で歯を動かすスペースを確保するため、上左右奥歯2本(第2小臼歯)を抜く必要があることをお伝えしました。
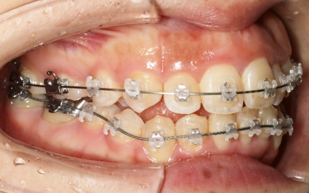
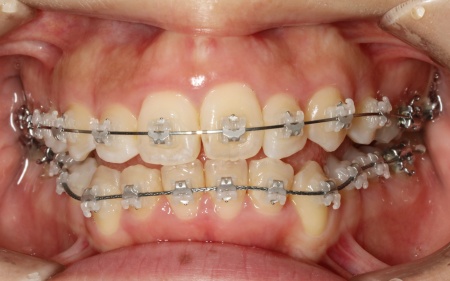
また上下とも歯の移動量が多いため、ワイヤー矯正である程度移動を行ったのち、マウスピース矯正で仕上げを行う「ハイブリッド矯正」を提案しました。
ハイブリッド矯正では、2種類の矯正を組み合わせることにより治療期間の短縮が望めますが、単独の矯正よりも費用は高くなります。
ワイヤー矯正
歯の表面にブラケットと呼ばれるボタン状の装置を接着し、そこにワイヤーを通して歯を移動させる方法です。
メリット:装置を着脱する手間がなく、歯をしっかりと移動させることができる
デメリット:固定式の装置なので、歯磨きがしにくい
マウスピース矯正(インビザラインモデレートパッケージ)
患者様専用のマウスピースを複数個作製し、定期的に交換しながら歯を移動させる方法です。
メリット:軽度〜中程度の歯並びに対応している。マウスピースは透明なので、目立たずに治療ができる
デメリット:適応可能な症例が限られている。マウスピースの装着時間を守るなど、自己管理が必須になる
ハイブリッド矯正のメリットとデメリットを丁寧に説明したところ、治療に同意いただきました。
まずは、上左右奥歯2本を慎重に抜きます。
続いて、上下の歯の表面に金属のブラケットよりも目立ちにくい「セラミックブラケット」を接着し、ワイヤー矯正を開始しました。
ワイヤー矯正である程度歯並びが整ったら、マウスピース矯正に移行します。
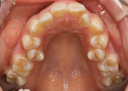
最後に、歯並びと噛み合わせがしっかりと整ったことを確認し、治療を終了しました。
この治療のリスクについて
・外科処置後に腫れ、出血が生じる場合があります
・治療中、装置によってまれに頬の内側が傷つき、口内炎になる場合があります
・歯の移動に伴って、違和感や痛みを感じる場合があります
・正しいブラッシングやメンテナンスを行わない場合、虫歯や歯周病のリスクが高まります
・決められたスケジュールを守らない場合、十分な効果が得られない可能性があります
・マウスピースに対応していない症例の場合、治療が難しい可能性があります
- 年齢・性別 20代女性
- 診療種別 自由診療
- 治療期間の目安 約1年5ヶ月
- 治療回数の目安 16回
- 治療費総額の目安 1,092,300円
※掲載された情報は治療の効果を保証するものではありません。
ご利用により万一何らかの損害が発生したとしても、当サイトは一切責任を負いかねますのでご了承ください。
画像をクリックすると拡大・詳細コメントを確認いただけます
-
三軒茶屋歯科TEL:0334249505
-
三軒茶屋歯科TEL:0334249505
-
三軒茶屋歯科TEL:0334249505
-
三軒茶屋歯科TEL:0334249505
-
三軒茶屋歯科TEL:0334249505
-
三軒茶屋歯科TEL:0334249505
-
三軒茶屋歯科TEL:0334249505
-
三軒茶屋歯科TEL:0334249505
-
三軒茶屋歯科TEL:0334249505
-
三軒茶屋歯科TEL:0334249505
-
三軒茶屋歯科TEL:0334249505
-
三軒茶屋歯科TEL:0334249505
-
三軒茶屋歯科TEL:0334249505
-
三軒茶屋歯科TEL:0334249505
-
三軒茶屋歯科TEL:0334249505
-
三軒茶屋歯科TEL:0334249505
-
三軒茶屋歯科TEL:0334249505 -
三軒茶屋歯科TEL:0334249505 -
三軒茶屋歯科TEL:0334249505
-
三軒茶屋歯科TEL:0334249505 -
三軒茶屋歯科TEL:0334249505
問題を報告する
掲載内容に問題がありますか?
こちらのフォームではココシカ!利用規約に違反している可能性のある情報や、
その他の問題がある内容について直接報告することができます。
この機能は、詐欺、スパム、虚偽、不正確であると思われる情報を報告するためのものです。
報告すべき情報の例
- ・差別的または不快感を与えるもの: 性別、年齢、人種、宗教、身体的特徴などに基づく差別が見られるものはこちらに該当します。過度な出血など過激な表現など不適切な内容が含まれる場合も対象です。
- ・虚偽の情報: 何らかの根拠により虚偽が認められる情報が対象です。
- ・不正確な情報: 治療名やリスク、金額、医院情報などに不正確な内容が含まれるものです。多くの場合、これらの問題はココシカ!の掲載基準違反ではありませんが、情報の更新が求められる場合があります。
- ・広告行為: 本サービスの趣旨に反する投稿です。サービス広告、企業やアプリの宣伝、その他問題があると確認された投稿が該当します。
- ・その他: これらのカテゴリーに当てはまらない問題については、[その他] を選択し詳しい情報をご提供ください。
ココシカ!の情報、技術的な問題、医院ページのレビュー、掲載情報に関する問い合わせ、検索結果などに関する一般的な質問、これらの問題に関するお問い合わせは、サポートチームまでご連絡下さい。
| 診療科目 | 一般歯科、小児歯科、矯正歯科、ホワイトニング、インプラント |
|---|---|
| 自由診療 | 小児矯正、表側矯正、裏側矯正、ハーフリンガル矯正、マウスピース矯正、オフィスホワイトニング、ホームホワイトニング、セラミック治療、インプラント |
| 住所 | 〒154-0004 東京都世田谷区太子堂4-1-1 キャロットタワー北棟1 |
| アクセス | 三軒茶屋駅 徒歩0分 |
| 診療時間 | 【火〜土】 8:30〜18:00 |
| 休診日 | 月曜日・日曜日 |
| 代表者 | 後藤 晶子 |
※記載の内容は最新の情報と異なる場合がございます。正確な情報は歯科医院にご確認ください。
この歯科医院の他の症例
NEW CONTENT 新着コンテンツ
-
「第22回 一般社団法人 日本外傷歯学会・総会・学術大会」開幕、リハビリにフォーカスして歯の損失リスク軽減を目指す
2022.8.8 一般歯科
-
クラウド型歯科用レセコン「POWER5G」が口腔内シミュレーションサービス「DMFTシミュレーター」と提携
2022.6.28 予防歯科
-
豪発のブランド「ビーボックス」から歯固め発売、乳幼児でも持ちやすい設計に
2022.6.24 小児歯科
-
韓国発ライフスタイルケアブランド「ソルトレイン」日本初上陸、伊勢丹新宿でポップアップも
2022.6.22 その他
-
デントウェーブ運営の歯科衛生士向けコミュニティ「歯科衛生士のcoe」無料オンラインイベント開催
2022.3.2 その他
-
竹素材のオーガニック歯ブラシ、日本発サステナブランド「ミヨオーガニック」展開
2022.2.17 予防歯科
