- 矯正歯科
- ワイヤー矯正
- 抜歯
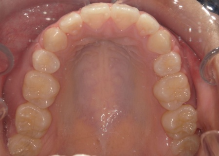
10代女性 突出感のある口元と乱れた歯並びをワイヤー矯正で改善した症例


ご相談内容
「歯が前に出ており、口元も突出しているのが気になっている」とご相談いただきました。
カウンセリング・診断結果
拝見したところ、上下奥歯の位置関係は「アングル1級」と呼ばれる状態であり、噛み合わせ自体に問題はありませんでした。
しかし、上下前歯が前方に傾いて生えているため口が閉じにくく、口を閉じても口元が前に突出しています。
また、歯が正しく並ぶスペースが足りず、デコボコに生えていました。
以上のことから、口元の突出感を解消し歯並びを整えるためには矯正治療が必要だと診断しました。
行ったご提案・治療内容
矯正治療を成功させるためには、歯を整列させるスペースを作る必要があります。そこで患者様には以下の治療方法を提案しました。
①歯を適切な位置に並べるスペースを確保するため、上下左右の歯(第1小臼歯)を計4本抜く
②歯の表面にブラケットと呼ばれるボタン状の装置を接着し、そこにワイヤーを通して歯を動かすマルチブラケット装置を使用して歯並びを整える
この方法であれば、抜歯でできたスペースを利用してデコボコの歯並びを解消し、併せて前歯を後退させることで、口元の突出感も改善できます。
また、治療期間が2年半程度になる見込みであることもお伝えし、同意いただきました。
まず、上下左右の第1小臼歯を計4本抜きます。
次に、マルチブラケット装置を上下の歯に装着し、ワイヤーの力で徐々に歯を動かしながら、時間をかけて歯並びを整えました。
約2年後、歯並びが整ったことを確認して、治療を終了しました。
この治療のリスクについて
・持病をお持ちの方や、服用中のお薬の種類によっては、外科処置ができない場合があります
・外科処置後に腫れ、出血が生じる場合があります
・治療中、発音しにくい場合があります
・治療中、装置によってまれに頬の内側が傷つき、口内炎になる場合があります
・歯の移動に伴って、違和感や痛みを感じる場合があります
・正しいブラッシングやメンテナンスを行わない場合、虫歯や歯周病のリスクが高まります
- 年齢・性別 10代女性
- 診療種別 自由診療
- 治療期間の目安 約2年
- 治療回数の目安 -
- 治療費総額の目安 844,500円
※掲載された情報は治療の効果を保証するものではありません。
ご利用により万一何らかの損害が発生したとしても、当サイトは一切責任を負いかねますのでご了承ください。
画像をクリックすると拡大・詳細コメントを確認いただけます
-
すえいし歯科矯正歯科TEL:0471325652
-
すえいし歯科矯正歯科TEL:0471325652
-
すえいし歯科矯正歯科TEL:0471325652
-
すえいし歯科矯正歯科TEL:0471325652
-
すえいし歯科矯正歯科TEL:0471325652
-
すえいし歯科矯正歯科TEL:0471325652
-
すえいし歯科矯正歯科TEL:0471325652
-
すえいし歯科矯正歯科TEL:0471325652
-
すえいし歯科矯正歯科TEL:0471325652
-
すえいし歯科矯正歯科TEL:0471325652
-
すえいし歯科矯正歯科TEL:0471325652
-
すえいし歯科矯正歯科TEL:0471325652








問題を報告する
掲載内容に問題がありますか?
こちらのフォームではココシカ!利用規約に違反している可能性のある情報や、
その他の問題がある内容について直接報告することができます。
この機能は、詐欺、スパム、虚偽、不正確であると思われる情報を報告するためのものです。
報告すべき情報の例
- ・差別的または不快感を与えるもの: 性別、年齢、人種、宗教、身体的特徴などに基づく差別が見られるものはこちらに該当します。過度な出血など過激な表現など不適切な内容が含まれる場合も対象です。
- ・虚偽の情報: 何らかの根拠により虚偽が認められる情報が対象です。
- ・不正確な情報: 治療名やリスク、金額、医院情報などに不正確な内容が含まれるものです。多くの場合、これらの問題はココシカ!の掲載基準違反ではありませんが、情報の更新が求められる場合があります。
- ・広告行為: 本サービスの趣旨に反する投稿です。サービス広告、企業やアプリの宣伝、その他問題があると確認された投稿が該当します。
- ・その他: これらのカテゴリーに当てはまらない問題については、[その他] を選択し詳しい情報をご提供ください。
ココシカ!の情報、技術的な問題、医院ページのレビュー、掲載情報に関する問い合わせ、検索結果などに関する一般的な質問、これらの問題に関するお問い合わせは、サポートチームまでご連絡下さい。
診療科目 | 一般歯科、インプラント、矯正歯科、小児歯科、小児矯正、虫歯、歯周病治療、予防歯科、口腔外科、入れ歯、ホワイトニング、訪問診療 |
---|---|
自由診療 | インプラント、矯正歯科、審美補綴、小児歯科、小児矯正、親知らず、口腔外科 |
住所 | 〒277-0827 千葉県柏市松葉町2-1-21 |
アクセス | 北柏駅 徒歩15分 |
診療時間 | 9:00~13:00 14:00~18:00 |
休診日 | 木曜 祝日 隔週日曜 |
代表者 | 末石 哲之 |
※記載の内容は最新の情報と異なる場合がございます。正確な情報は歯科医院にご確認ください。
この歯科医院の他の症例
NEW CONTENT 新着コンテンツ
-
「第22回 一般社団法人 日本外傷歯学会・総会・学術大会」開幕、リハビリにフォーカスして歯の損失リスク軽減を目指す
2022.8.8 一般歯科
-
クラウド型歯科用レセコン「POWER5G」が口腔内シミュレーションサービス「DMFTシミュレーター」と提携
2022.6.28 予防歯科
-
豪発のブランド「ビーボックス」から歯固め発売、乳幼児でも持ちやすい設計に
2022.6.24 小児歯科
-
韓国発ライフスタイルケアブランド「ソルトレイン」日本初上陸、伊勢丹新宿でポップアップも
2022.6.22 その他
-
デントウェーブ運営の歯科衛生士向けコミュニティ「歯科衛生士のcoe」無料オンラインイベント開催
2022.3.2 その他
-
竹素材のオーガニック歯ブラシ、日本発サステナブランド「ミヨオーガニック」展開
2022.2.17 予防歯科