- 虫歯
- 矯正歯科
- ワイヤー矯正
- 部分矯正
- 詰め物・被せもの
- セラミック・ジルコニア
- インプラント
- 抜歯
- ダイレクトボンディング
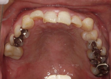
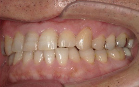
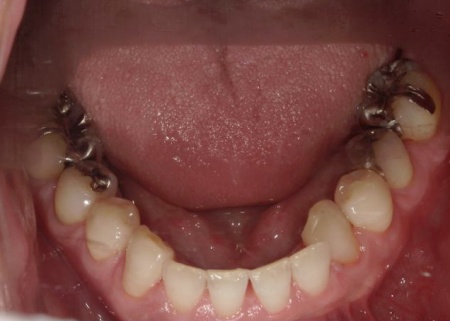
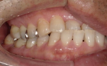
40代男性 虫歯治療やインプラント治療で口腔内全体を修復したあと部分矯正で噛み合わせを改善した症例
ご相談内容
「左下の歯の被せ物が外れてしまった」とご相談いただきました。
カウンセリング・診断結果
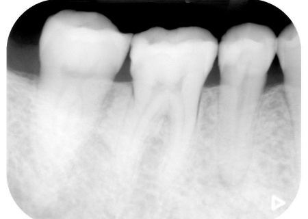
拝見したところ、複数の歯に虫歯が見られました。また、過去に治療した詰め物や被せ物が合わなくなっている部分や、歯が欠損している部位もあります。
・右上奥歯
一番奥の歯が欠損し、その手前の歯は詰め物の内部で虫歯が進行しています。
・右上前歯2本
虫歯が認められました。
・右下奥歯3本
噛む面や歯間に虫歯が見られ、歯が欠けている部分もあります。
・左上奥歯
一番奥の歯は、詰め物が合っていませんでした。また、詰め物が外れたままの歯もあります。
・左上前歯2本
虫歯や、被せ物の不具合が見られました。
・左下奥歯
一番奥の歯は虫歯が深くまで進行しており、歯の温存が難しい状態でした。さらに、その手前の歯2本は少し欠けています。
・前歯の噛み合わせ
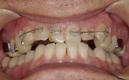
下前歯が上前歯より前に出ている「反対咬合(こうごう)」で、将来的に歯や顎への負担が生じるリスクがあります。
このままでは、虫歯が進行して痛みが出たり、合わない詰め物や被せ物が原因で汚れがたまりやすくなり、虫歯や歯周病のリスクが高まったりするおそれがあります。
さらに、欠損した部分を放置すると、噛み合わせ全体のバランスが乱れる場合もあります。
以上のことから、口腔内全体を改善するための治療が必要だと診断しました。
行ったご提案・治療内容
患者様は、これまで複数回にわたり治療を経験されています。今回は「長く健康な状態を維持して、再治療を避けたい。この機会に口腔内全体をしっかり治したい」と希望されたため、以下の治療方法を提案し、同意いただきました。
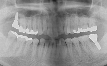
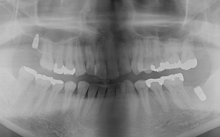
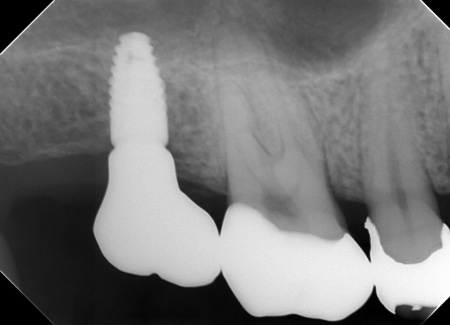
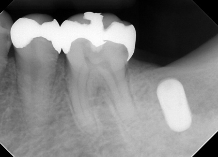
・インプラント治療
保存が難しい左下奥歯(第2大臼歯)と、すでに欠損していた右上の部位については、インプラント治療を行います。インプラント治療とは、顎の骨に人工歯根を埋め込み、そこに人工歯を取り付ける治療方法です。
メリット:周囲の健康な歯を削らずに、失った歯を補うことができる。天然歯に近い噛み心地が期待できる
デメリット:外科的な処置が必要で、治療期間が比較的長くなる。自費診療なので費用が高額になる
・詰め物や被せ物による治療
右上の歯には、見た目が自然で耐久性の高いセラミック素材「e-max」を用いて、アンレー(歯の一部を覆う詰め物)による治療を行います。
詰め物が合っていない左上奥歯2本は、強度に優れたセラミック素材「ジルコニア」を用いた修復を計画しました。
・歯を削る量を最小限に抑える治療
前歯部は歯の温存を優先し、虫歯を除去したあとに白い詰め物「CR(コンポジットレジン)」で修復します。
右下奥歯3本と左下奥歯2本については、虫歯を除去したあとに歯科用樹脂を直接歯に盛り付けて形を整える「ダイレクトボンディング」を行います。
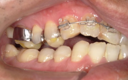
・矯正治療
前歯の反対咬合については、部分矯正で改善を図ります。
まず、保存が難しい左下奥歯(第2大臼歯)を抜きます。抜歯後は骨が治癒するまで経過観察を行い、治癒したことを確認後、インプラントの埋入手術を行いました。
右上の欠損部位についても、同じくインプラント治療を実施しています。
インプラント治療と並行して、虫歯治療を行いました。
深い虫歯がある歯については、歯の神経を残せるよう配慮しながら、慎重に虫歯を取り除きます。
詰め物が合っていない歯は、古い詰め物を除去し、新しい詰め物を作製しました。
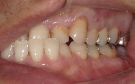
前歯部のCRやダイレクトボンディングは、周囲の歯の色調に合わせて材料を選択し、自然な見た目になるよう丁寧に仕上げています。
前歯の噛み合わせ治療では、上顎の内側に歯を内側から動かす装置「リンガルアーチ」を装着します。併せて、上前歯の表面に「ブラケット」と呼ばれるボタン状の装置を接着し、そこにワイヤーを通して歯を動かす「マルチブラケット装置」を用いて部分矯正を行いました。
最後に、噛み合わせが改善していること、インプラントや被せ物に痛みや違和感がないことなどを確認し、治療を終了しています。
この治療のリスクについて
・持病をお持ちの方や、服用中のお薬の種類によっては、外科処置ができない場合があります
・メンテナンスを怠ったり、喫煙したりすると、お口の中に大きな悪影響を及ぼし、インプラント周囲炎などにかかる可能性があります
・治療中に痛みを伴う場合があります
・噛み合わせや歯ぎしりが強い場合、セラミックが割れる可能性があります
・強い力や衝撃が加わった場合、割れたり欠けたりする可能性があります
・歯の移動に伴って、違和感や痛みを感じる場合があります
- 年齢・性別 40代男性
-
診療種別
自由診療
一部保険診療
- 治療期間の目安 4年2ヶ月
- 治療回数の目安 -
- 治療費総額の目安 約1,500,000円
※掲載された情報は治療の効果を保証するものではありません。
ご利用により万一何らかの損害が発生したとしても、当サイトは一切責任を負いかねますのでご了承ください。
画像をクリックすると拡大・詳細コメントを確認いただけます
-
すえいし歯科矯正歯科TEL:0471325652
-
すえいし歯科矯正歯科TEL:0471325652
-
すえいし歯科矯正歯科TEL:0471325652
-
すえいし歯科矯正歯科TEL:0471325652
-
すえいし歯科矯正歯科TEL:0471325652
-
すえいし歯科矯正歯科TEL:0471325652
-
すえいし歯科矯正歯科TEL:0471325652
-
すえいし歯科矯正歯科TEL:0471325652
-
すえいし歯科矯正歯科TEL:0471325652
-
すえいし歯科矯正歯科TEL:0471325652
-
すえいし歯科矯正歯科TEL:0471325652
-
すえいし歯科矯正歯科TEL:0471325652
-
すえいし歯科矯正歯科TEL:0471325652
-
すえいし歯科矯正歯科TEL:0471325652
-
すえいし歯科矯正歯科TEL:0471325652
-
すえいし歯科矯正歯科TEL:0471325652 -
すえいし歯科矯正歯科TEL:0471325652
-
すえいし歯科矯正歯科TEL:0471325652
-
すえいし歯科矯正歯科TEL:0471325652 -
すえいし歯科矯正歯科TEL:0471325652
-
すえいし歯科矯正歯科TEL:0471325652 -
すえいし歯科矯正歯科TEL:0471325652 -
すえいし歯科矯正歯科TEL:0471325652
-
すえいし歯科矯正歯科TEL:0471325652 -
すえいし歯科矯正歯科TEL:0471325652 -
すえいし歯科矯正歯科TEL:0471325652
-
すえいし歯科矯正歯科TEL:0471325652 -
すえいし歯科矯正歯科TEL:0471325652 -
すえいし歯科矯正歯科TEL:0471325652
-
すえいし歯科矯正歯科TEL:0471325652 -
すえいし歯科矯正歯科TEL:0471325652 -
すえいし歯科矯正歯科TEL:0471325652
-
すえいし歯科矯正歯科TEL:0471325652
問題を報告する
掲載内容に問題がありますか?
こちらのフォームではココシカ!利用規約に違反している可能性のある情報や、
その他の問題がある内容について直接報告することができます。
この機能は、詐欺、スパム、虚偽、不正確であると思われる情報を報告するためのものです。
報告すべき情報の例
- ・差別的または不快感を与えるもの: 性別、年齢、人種、宗教、身体的特徴などに基づく差別が見られるものはこちらに該当します。過度な出血など過激な表現など不適切な内容が含まれる場合も対象です。
- ・虚偽の情報: 何らかの根拠により虚偽が認められる情報が対象です。
- ・不正確な情報: 治療名やリスク、金額、医院情報などに不正確な内容が含まれるものです。多くの場合、これらの問題はココシカ!の掲載基準違反ではありませんが、情報の更新が求められる場合があります。
- ・広告行為: 本サービスの趣旨に反する投稿です。サービス広告、企業やアプリの宣伝、その他問題があると確認された投稿が該当します。
- ・その他: これらのカテゴリーに当てはまらない問題については、[その他] を選択し詳しい情報をご提供ください。
ココシカ!の情報、技術的な問題、医院ページのレビュー、掲載情報に関する問い合わせ、検索結果などに関する一般的な質問、これらの問題に関するお問い合わせは、サポートチームまでご連絡下さい。
| 診療科目 | 一般歯科、インプラント、矯正歯科、小児歯科、小児矯正、虫歯、歯周病治療、予防歯科、口腔外科、入れ歯、ホワイトニング、訪問診療 |
|---|---|
| 自由診療 | インプラント、矯正歯科、審美補綴、小児歯科、小児矯正、親知らず、口腔外科 |
| 住所 | 〒277-0827 千葉県柏市松葉町2-1-21 |
| アクセス | 北柏駅 徒歩15分 |
| 診療時間 | 9:00~13:00 14:00~18:00 |
| 休診日 | 木曜 祝日 隔週日曜 |
| 代表者 | 末石 哲之 |
※記載の内容は最新の情報と異なる場合がございます。正確な情報は歯科医院にご確認ください。
この歯科医院の他の症例
NEW CONTENT 新着コンテンツ
-
「第22回 一般社団法人 日本外傷歯学会・総会・学術大会」開幕、リハビリにフォーカスして歯の損失リスク軽減を目指す
2022.8.8 一般歯科
-
クラウド型歯科用レセコン「POWER5G」が口腔内シミュレーションサービス「DMFTシミュレーター」と提携
2022.6.28 予防歯科
-
豪発のブランド「ビーボックス」から歯固め発売、乳幼児でも持ちやすい設計に
2022.6.24 小児歯科
-
韓国発ライフスタイルケアブランド「ソルトレイン」日本初上陸、伊勢丹新宿でポップアップも
2022.6.22 その他
-
デントウェーブ運営の歯科衛生士向けコミュニティ「歯科衛生士のcoe」無料オンラインイベント開催
2022.3.2 その他
-
竹素材のオーガニック歯ブラシ、日本発サステナブランド「ミヨオーガニック」展開
2022.2.17 予防歯科
