- 歯周病
- インプラント
- 入れ歯・義歯
- インプラントオーバーデンチャー
- 抜歯
70代女性 重度歯周病による抜歯後にインプラントを用いた入れ歯で噛み合わせを回復した症例
ご相談内容
「他院で新しく入れ歯を作製したが、痛みや圧迫感があってうまく噛むことができない。食事中に外れやすく、日常生活にも支障が出ているので、調整や作り直しなど可能な改善方法を知りたい」とご相談いただきました。
カウンセリング・診断結果
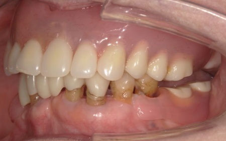
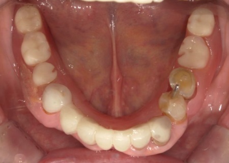
現在使用されている入れ歯を拝見したところ、患者様の口腔状態と合っておらず、これが痛みや外れやすさの原因になっていました。
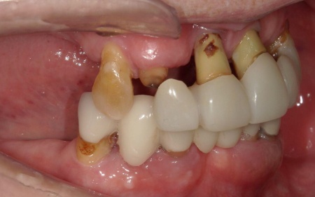
また口腔内を確認すると、重度の歯周病により、多くの歯が大きくぐらついています。
さらにレントゲン撮影をして詳しく検査した結果、歯を支えている骨が大きく失われていたことがわかり、温存が難しい状態の歯も複数ありました。
このまま無理に歯を温存しようとすると、ぐらついた歯で噛み続けることで健康な歯にも負担がかかり、連鎖的に歯を失うリスクが高まります。
以上のことから、歯周病の治療と入れ歯の作り直しが必要だと診断しました。
行ったご提案・治療内容
患者様には以下の治療方針を提案し、同意いただきました。
・歯周病が進行して温存が難しい歯は抜く
・上顎は、インプラント(人工歯根)を用いた入れ歯で治療を行う
・治療期間中もできるだけ食事に困らないよう、現在の入れ歯を調整しながら治療を進める
インプラントを用いた入れ歯「インプラントオーバーデンチャー」は、顎の骨に埋め込んだインプラントで入れ歯を支えるため、通常の入れ歯と比べて安定性が高い特徴があります。
一方で、外科処置が必要になること、治療期間が長くなること、費用が高額になることがデメリットです。
まず歯周病治療として、原因となる歯垢(細菌の塊)や、歯垢が唾液中の成分と結合して硬くなった歯石を丁寧に除去し、炎症のコントロールを行いました。歯周病による炎症が続いていると、抜歯後の傷の治りが遅れたり、インプラントを支える骨が十分に安定しなかったりするリスクがあります。
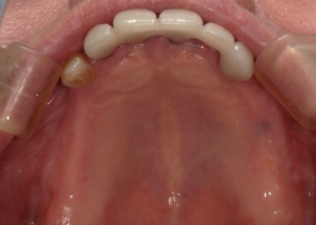
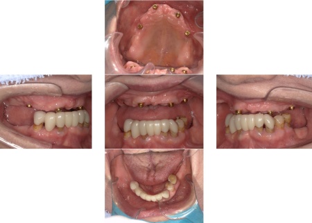
次に、温存が難しいと判断した上前歯5本(左右中切歯、左右犬歯、右側切歯)を抜き、その日のうちに左右の前歯と奥歯に計4本のインプラントを埋め込みました。
抜歯とインプラントを同じ日に行うことで治療にかかる期間を短縮できるうえ、入れ歯を支える骨をできるだけ守ることにもつながります。
インプラントと骨がしっかり結合するまでは、調整した既存の入れ歯を使用していただきました。
経過観察後、インプラントと骨の結合が確認できたため、最終的な入れ歯の製作に進みます。
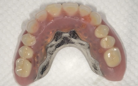
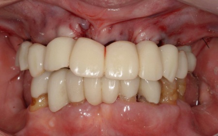
新しい入れ歯には、強度と安定性を高めるために土台部分に金属を使った「金属床義歯」を選択しました。
金属床は薄くできるため違和感が少なく、丈夫で長持ちしやすい特徴があります。
埋め込んだ4本のインプラントで入れ歯を支えるよう設計し、型取りを行いました。
後日、完成した入れ歯を装着し、噛み合わせや見た目に問題がないかを確認して、治療を終了しています。
この治療のリスクについて
・外科手術のため、術後に痛みや腫れ、違和感を伴います
・メンテナンスを怠ったり、喫煙したりすると、お口の中に大きな悪影響を及ぼし、インプラント周囲炎などにかかる可能性があります
・糖尿病、肝硬変、心臓病などの持病をお持ちの場合、インプラント治療ができない可能性があります
・高血圧、貧血・不整脈などの持病をお持ちの場合、インプラント治療後に治癒不全を招く可能性があります
・着脱式のため、食後の清掃が必要です
・自費診療(保険適用外治療)です
- 年齢・性別 70代女性
- 診療種別 自由診療
- 治療期間の目安 約6ヶ月
- 治療回数の目安 -
- 治療費総額の目安 約930,000円
※掲載された情報は治療の効果を保証するものではありません。
ご利用により万一何らかの損害が発生したとしても、当サイトは一切責任を負いかねますのでご了承ください。
画像をクリックすると拡大・詳細コメントを確認いただけます
-
すえいし歯科矯正歯科TEL:0471325652
-
すえいし歯科矯正歯科TEL:0471325652
-
すえいし歯科矯正歯科TEL:0471325652
-
すえいし歯科矯正歯科TEL:0471325652
-
すえいし歯科矯正歯科TEL:0471325652 -
すえいし歯科矯正歯科TEL:0471325652
-
すえいし歯科矯正歯科TEL:0471325652
-
すえいし歯科矯正歯科TEL:0471325652 -
すえいし歯科矯正歯科TEL:0471325652
-
すえいし歯科矯正歯科TEL:0471325652
-
すえいし歯科矯正歯科TEL:0471325652 -
すえいし歯科矯正歯科TEL:0471325652
-
すえいし歯科矯正歯科TEL:0471325652
-
すえいし歯科矯正歯科TEL:0471325652 -
すえいし歯科矯正歯科TEL:0471325652
-
すえいし歯科矯正歯科TEL:0471325652
-
すえいし歯科矯正歯科TEL:0471325652 -
すえいし歯科矯正歯科TEL:0471325652
取り外し可能なインプラントオーバーデンチャーを装着します
画像をクリックすると拡大・詳細コメントを確認いただけます
-
すえいし歯科矯正歯科TEL:0471325652
-
すえいし歯科矯正歯科TEL:0471325652
-
すえいし歯科矯正歯科TEL:0471325652
-
すえいし歯科矯正歯科TEL:0471325652
-
すえいし歯科矯正歯科TEL:0471325652
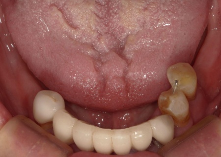
他院にて作製
問題を報告する
掲載内容に問題がありますか?
こちらのフォームではココシカ!利用規約に違反している可能性のある情報や、
その他の問題がある内容について直接報告することができます。
この機能は、詐欺、スパム、虚偽、不正確であると思われる情報を報告するためのものです。
報告すべき情報の例
- ・差別的または不快感を与えるもの: 性別、年齢、人種、宗教、身体的特徴などに基づく差別が見られるものはこちらに該当します。過度な出血など過激な表現など不適切な内容が含まれる場合も対象です。
- ・虚偽の情報: 何らかの根拠により虚偽が認められる情報が対象です。
- ・不正確な情報: 治療名やリスク、金額、医院情報などに不正確な内容が含まれるものです。多くの場合、これらの問題はココシカ!の掲載基準違反ではありませんが、情報の更新が求められる場合があります。
- ・広告行為: 本サービスの趣旨に反する投稿です。サービス広告、企業やアプリの宣伝、その他問題があると確認された投稿が該当します。
- ・その他: これらのカテゴリーに当てはまらない問題については、[その他] を選択し詳しい情報をご提供ください。
ココシカ!の情報、技術的な問題、医院ページのレビュー、掲載情報に関する問い合わせ、検索結果などに関する一般的な質問、これらの問題に関するお問い合わせは、サポートチームまでご連絡下さい。
| 診療科目 | 一般歯科、インプラント、矯正歯科、小児歯科、小児矯正、虫歯、歯周病治療、予防歯科、口腔外科、入れ歯、ホワイトニング、訪問診療 |
|---|---|
| 自由診療 | インプラント、矯正歯科、審美補綴、小児歯科、小児矯正、親知らず、口腔外科 |
| 住所 | 〒277-0827 千葉県柏市松葉町2-1-21 |
| アクセス | 北柏駅 徒歩15分 |
| 診療時間 | 9:00~13:00 14:00~18:00 |
| 休診日 | 木曜 祝日 隔週日曜 |
| 代表者 | 末石 哲之 |
※記載の内容は最新の情報と異なる場合がございます。正確な情報は歯科医院にご確認ください。
この歯科医院の他の症例
NEW CONTENT 新着コンテンツ
-
「第22回 一般社団法人 日本外傷歯学会・総会・学術大会」開幕、リハビリにフォーカスして歯の損失リスク軽減を目指す
2022.8.8 一般歯科
-
クラウド型歯科用レセコン「POWER5G」が口腔内シミュレーションサービス「DMFTシミュレーター」と提携
2022.6.28 予防歯科
-
豪発のブランド「ビーボックス」から歯固め発売、乳幼児でも持ちやすい設計に
2022.6.24 小児歯科
-
韓国発ライフスタイルケアブランド「ソルトレイン」日本初上陸、伊勢丹新宿でポップアップも
2022.6.22 その他
-
デントウェーブ運営の歯科衛生士向けコミュニティ「歯科衛生士のcoe」無料オンラインイベント開催
2022.3.2 その他
-
竹素材のオーガニック歯ブラシ、日本発サステナブランド「ミヨオーガニック」展開
2022.2.17 予防歯科
