- 根管治療
- 詰め物・被せもの
- セラミック・ジルコニア
- 差し歯
- ラミネートベニア
60代女性 古い被せ物を作り直して審美性を改善させた症例
ご相談内容
「20年前、受け口を改善するために審美歯科で被せ物による治療を受けたが、仕上がりに不満が残った。最近、再び気になるようになったため、再治療が可能かを相談したい」とご相談いただきました。
カウンセリング・診断結果
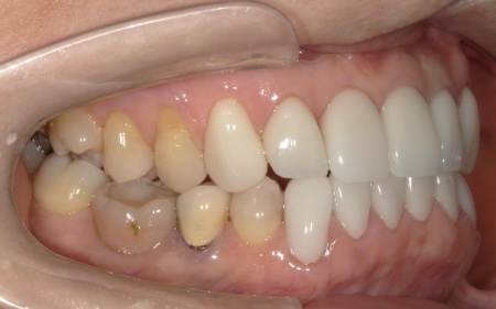
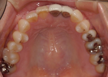
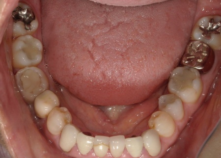
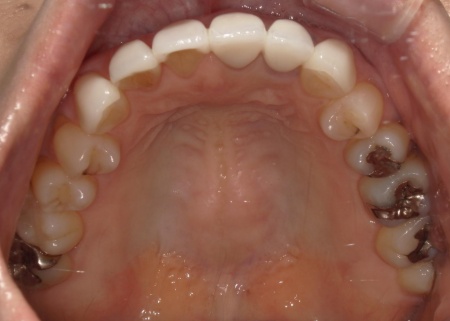
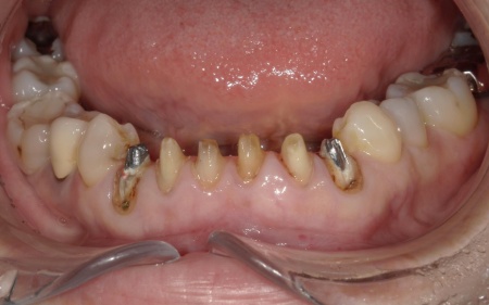
拝見したところ、上下前歯には金属製の土台「メタルコア」を使用した被せ物(クラウン)が装着されており、被せ物と歯茎の境目付近が黒くなっていました。
被せ物の土台がメタルコアの場合、以下のような理由から歯茎との境目が黒く見えることがあります。
・メタルコアから溶け出した金属成分が歯茎に沈着し、黒色〜青黒色に見えることがある
・歯茎が薄い方の場合、土台の金属色が透けて暗く見えることがある
・土台を作製したり形を整えたりする時に生じた金属の細かな粉が歯茎に入り込み、黒い点として見えることがある(メタルタトゥー)
そのため、黒ずみの原因であるメタルコアを除去する治療が必要でした。
また、保険適用の白い詰め物(コンポジットレジン)が充填されている部分には変色が見られます。ご自身の歯、被せ物、コンポジットレジン、それぞれの色調が異なっていることで審美性に影響が出ているため、上下前歯(合計12本)の被せ物と詰め物を新しくする必要があると診断しました。
また、左上前歯2本と左右下前歯2本は、細菌感染した神経を取り除いてから薬を詰める「根管治療」が施されていましたが、薬が歯根の先までしっかり詰められていなかったため、「再根管治療」が必要であることも併せてお伝えしています。
行ったご提案・治療内容
患者様には、以下の治療方針を提案しました。
1:左上前歯2本と左右下前歯2本に装着されていた被せ物を外し、先に再根管治療を行う。
2:メタルコアを除去し、白い樹脂製のファイバーコアを用いて土台を修復する。
ファイバーコアは自費診療なので比較的費用がかかり、メタルコアよりも強度は劣るため症例によっては使用できませんが、天然歯に近いしなやかさがあり、歯根が割れるリスクを低減できる点がメリットです。
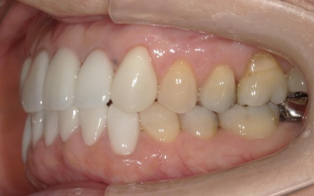
3:色味に違和感がある被せ物を除去し、左上前歯2本と下前歯6本は、天然歯に近い色が出せる「セラミック」の被せ物を装着する。
今回は被せ物の素材として、セラミックの一種である「ポーセレン前装ジルコニア」を選択しました。
ポーセレン前装ジルコニアは、内側には硬くて丈夫なジルコニアが用いられ、外側にはポーセレン(陶材)が焼き付けられており、審美性と強度のバランスに優れている被せ物です。ただ、強い力がかかると外側のポーセレンが欠けるリスクがあります。
4:右上前歯3本と左上前歯1本には、表面に薄いセラミックの板を貼り付けて色や形を整える「ポーセレンラミネートベニア」を行う。
強い衝撃で割れたり、噛み合わせによっては使用できなかったりしますが、歯をほとんど削らずに自然な見た目を再現することが可能です。
以上の流れをお伝えし、治療に同意いただきました。
まず、左上前歯2本と左右下前歯2本の古い被せ物と土台を除去してから再根管治療を行い、ファイバーコアで土台を作ります。
続いて、新しい被せ物やポーセレンラミネートベニアの装着をするため、各部位の型取りを行いました。
後日、完成した被せ物やポーセレンラミネートベニアを装着し、見た目や使用感に問題がないことを確認して、治療を終了しています。
この治療のリスクについて
・まれに根管治療後も再治療、外科手術、抜歯などの処置が必要となる場合があります
・中の歯の色の影響を受けやすいため、変色が強い歯には適さない場合があります
・装着に際し、天然歯を削る場合があります
・硬い素材の場合、他の天然歯を傷つけることがあります
・噛み合わせや歯ぎしりが強い場合、セラミックが割れる可能性があります
・一部の治療を除き、自費診療(保険適用外治療)です
- 年齢・性別 60代女性
-
診療種別
自由診療
一部保険診療
- 治療期間の目安 約6ヶ月
- 治療回数の目安 -
- 治療費総額の目安 約1,650,000円
※掲載された情報は治療の効果を保証するものではありません。
ご利用により万一何らかの損害が発生したとしても、当サイトは一切責任を負いかねますのでご了承ください。
画像をクリックすると拡大・詳細コメントを確認いただけます
-
すえいし歯科矯正歯科TEL:0471325652
-
すえいし歯科矯正歯科TEL:0471325652
-
すえいし歯科矯正歯科TEL:0471325652
-
すえいし歯科矯正歯科TEL:0471325652
-
すえいし歯科矯正歯科TEL:0471325652 -
すえいし歯科矯正歯科TEL:0471325652
-
すえいし歯科矯正歯科TEL:0471325652
-
すえいし歯科矯正歯科TEL:0471325652 -
すえいし歯科矯正歯科TEL:0471325652
-
すえいし歯科矯正歯科TEL:0471325652
-
すえいし歯科矯正歯科TEL:0471325652 -
すえいし歯科矯正歯科TEL:0471325652
-
すえいし歯科矯正歯科TEL:0471325652
-
すえいし歯科矯正歯科TEL:0471325652 -
すえいし歯科矯正歯科TEL:0471325652
-
すえいし歯科矯正歯科TEL:0471325652 -
すえいし歯科矯正歯科TEL:0471325652 -
すえいし歯科矯正歯科TEL:0471325652
問題を報告する
掲載内容に問題がありますか?
こちらのフォームではココシカ!利用規約に違反している可能性のある情報や、
その他の問題がある内容について直接報告することができます。
この機能は、詐欺、スパム、虚偽、不正確であると思われる情報を報告するためのものです。
報告すべき情報の例
- ・差別的または不快感を与えるもの: 性別、年齢、人種、宗教、身体的特徴などに基づく差別が見られるものはこちらに該当します。過度な出血など過激な表現など不適切な内容が含まれる場合も対象です。
- ・虚偽の情報: 何らかの根拠により虚偽が認められる情報が対象です。
- ・不正確な情報: 治療名やリスク、金額、医院情報などに不正確な内容が含まれるものです。多くの場合、これらの問題はココシカ!の掲載基準違反ではありませんが、情報の更新が求められる場合があります。
- ・広告行為: 本サービスの趣旨に反する投稿です。サービス広告、企業やアプリの宣伝、その他問題があると確認された投稿が該当します。
- ・その他: これらのカテゴリーに当てはまらない問題については、[その他] を選択し詳しい情報をご提供ください。
ココシカ!の情報、技術的な問題、医院ページのレビュー、掲載情報に関する問い合わせ、検索結果などに関する一般的な質問、これらの問題に関するお問い合わせは、サポートチームまでご連絡下さい。
| 診療科目 | 一般歯科、インプラント、矯正歯科、小児歯科、小児矯正、虫歯、歯周病治療、予防歯科、口腔外科、入れ歯、ホワイトニング、訪問診療 |
|---|---|
| 自由診療 | インプラント、矯正歯科、審美補綴、小児歯科、小児矯正、親知らず、口腔外科 |
| 住所 | 〒277-0827 千葉県柏市松葉町2-1-21 |
| アクセス | 北柏駅 徒歩15分 |
| 診療時間 | 9:00~13:00 14:00~18:00 |
| 休診日 | 木曜 祝日 隔週日曜 |
| 代表者 | 末石 哲之 |
※記載の内容は最新の情報と異なる場合がございます。正確な情報は歯科医院にご確認ください。
この歯科医院の他の症例
NEW CONTENT 新着コンテンツ
-
「第22回 一般社団法人 日本外傷歯学会・総会・学術大会」開幕、リハビリにフォーカスして歯の損失リスク軽減を目指す
2022.8.8 一般歯科
-
クラウド型歯科用レセコン「POWER5G」が口腔内シミュレーションサービス「DMFTシミュレーター」と提携
2022.6.28 予防歯科
-
豪発のブランド「ビーボックス」から歯固め発売、乳幼児でも持ちやすい設計に
2022.6.24 小児歯科
-
韓国発ライフスタイルケアブランド「ソルトレイン」日本初上陸、伊勢丹新宿でポップアップも
2022.6.22 その他
-
デントウェーブ運営の歯科衛生士向けコミュニティ「歯科衛生士のcoe」無料オンラインイベント開催
2022.3.2 その他
-
竹素材のオーガニック歯ブラシ、日本発サステナブランド「ミヨオーガニック」展開
2022.2.17 予防歯科
