- 歯周病
- インプラント
- 抜歯
50代男性 抜歯と同時にインプラントを埋めて歯を補った症例
ご相談内容
「転倒して上前歯のブリッジがとれた。他院で上あごの総入れ歯をすすめられたが、ほかに方法がないか知りたい」とセカンドオピニオンとしてご来院いただきました。
カウンセリング・診断結果
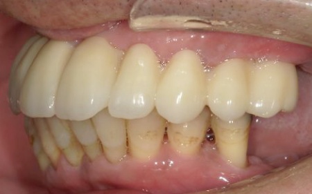
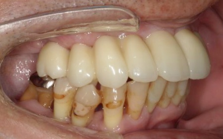
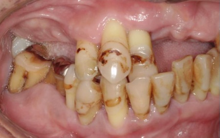
拝見したところ、患者様は上前歯が数本欠損しており、残っている歯を利用して橋渡しのように歯を補うブリッジ治療が行われていました。しかし、転倒による衝撃でブリッジが外れていました。
このまま放置すると見た目への影響だけでなく、食事をしっかりとることが難しくなるなどの問題が生じる可能性があります。
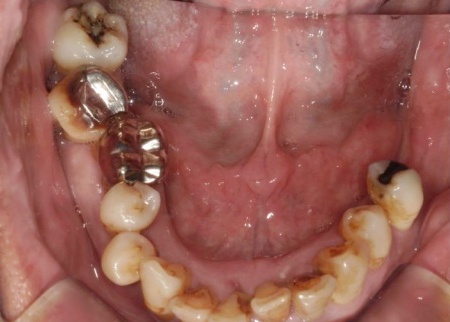
また、患者様は重度の歯周病によって歯を支える骨が減少し全体的に歯が揺れていました。
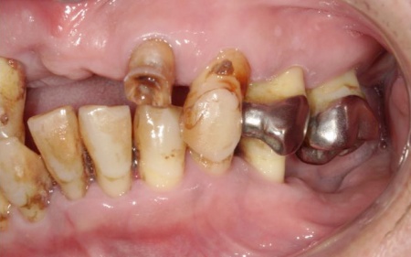
残っている上の歯7本(左右上側切歯、左右上犬歯、左右上第1小臼歯、左上第1大臼歯)と右下奥歯2本(第2大臼歯、第3大臼歯)は残すことが難しく抜歯が必要な状態です。
以上のことから、抜歯を行ったうえで歯を補う治療が必要と診断しました。
行ったご提案・治療内容
診断結果を丁寧に説明し、抜歯に同意いただきました。
下あごは抜歯後も11本の歯が残りますが、上あごは抜歯後に歯が1本も残らないため、しっかり噛めるようにするには上の歯を補う治療が必要とお伝えし、以下2つの方法を提案しました。
①インプラント治療
あごの骨に人工歯根を埋め、その上に人工歯を装着する方法
メリット:自然な見た目と噛み心地が期待できる。抜歯と同時に仮歯を装着できるため生活への影響が少ない
デメリット:自費診療のため費用がかかり、外科処置を伴うため身体的な負担がある
②取り外し式の総入れ歯
メリット:保険診療内でも治療が可能で、治療期間も比較的短く済む
デメリット:取り外して手入れを行う必要があり、自分の歯や①の方法と比べて噛み心地が劣る傾向がある。入れ歯は抜歯後に傷が治ってから型取りをして作製するため、歯のない期間が長くなる
インプラント治療が可能かどうかを調べるためレントゲンとCTの撮影を実施したところ、インプラントを支えるのに十分な骨の量があり問題なく治療できることが確認できました。
これらを踏まえ、患者様はすぐに仮歯を装着できる①のインプラント治療を希望されました。
【治療手順】
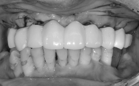
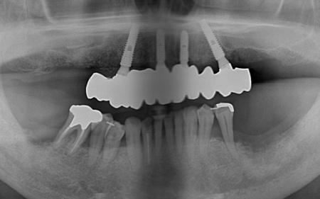
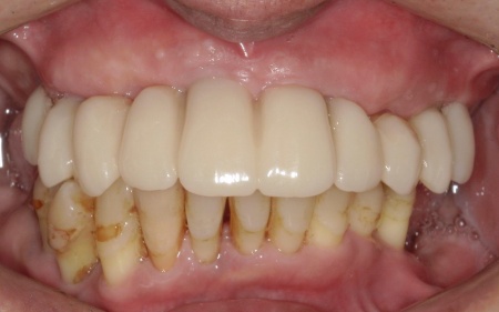
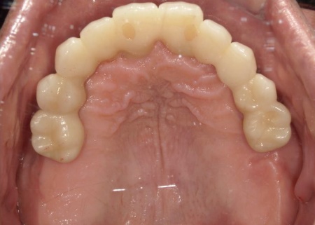
①上の歯7本、右下の奥歯2本を抜歯する。上あごには抜歯と同時に4本のインプラントを埋め、その上に10本分の仮歯を取り付けるオールオンフォーを行う。
インプラントの種類には、あごの骨と結合する力に優れたオステム社のETⅢを採用。インプラントが骨にしっかり定着するまでの間は、通常のインプラントよりも細い暫間インプラントを一時的に併用して仮歯を支える
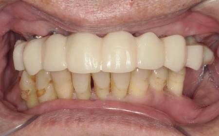
②インプラントが安定したことを確認してから、仮歯を外して最終的な人工歯を装着する
最後に、残っている下の歯としっかりと噛み合っていることを確認し、治療を終了しました。
この治療のリスクについて
・外科手術のため、術後に痛みや腫れ、違和感を伴います
・メンテナンスを怠ったり、喫煙したりすると、お口の中に大きな悪影響を及ぼし、インプラント周囲炎等にかかる可能性があります
・糖尿病、肝硬変、心臓病などの持病をお持ちの場合、インプラント治療ができない可能性があります
・高血圧、貧血・不整脈などの持病をお持ちの場合、インプラント治療後に治癒不全を招く可能性があります
・自費診療(保険適用外治療)です
- 年齢・性別 50代男性
- 診療種別 自由診療・一部保険診療
- 治療期間の目安 約7ヶ月
- 治療回数の目安 -
- 治療費総額の目安 約2,800,000円
※掲載された情報は治療の効果を保証するものではありません。
ご利用により万一何らかの損害が発生したとしても、当サイトは一切責任を負いかねますのでご了承ください。
画像をクリックすると拡大・詳細コメントを確認いただけます
-
すえいし歯科矯正歯科TEL:0471325652
-
すえいし歯科矯正歯科TEL:0471325652
-
すえいし歯科矯正歯科TEL:0471325652
-
すえいし歯科矯正歯科TEL:0471325652
-
すえいし歯科矯正歯科TEL:0471325652
-
すえいし歯科矯正歯科TEL:0471325652
-
すえいし歯科矯正歯科TEL:0471325652
-
すえいし歯科矯正歯科TEL:0471325652
-
すえいし歯科矯正歯科TEL:0471325652
-
すえいし歯科矯正歯科TEL:0471325652
-
すえいし歯科矯正歯科TEL:0471325652
-
すえいし歯科矯正歯科TEL:0471325652
-
すえいし歯科矯正歯科TEL:0471325652
-
すえいし歯科矯正歯科TEL:0471325652
-
すえいし歯科矯正歯科TEL:0471325652
-
すえいし歯科矯正歯科TEL:0471325652 -
すえいし歯科矯正歯科TEL:0471325652
-
すえいし歯科矯正歯科TEL:0471325652 -
すえいし歯科矯正歯科TEL:0471325652 -
すえいし歯科矯正歯科TEL:0471325652
-
すえいし歯科矯正歯科TEL:0471325652 -
すえいし歯科矯正歯科TEL:0471325652 -
すえいし歯科矯正歯科TEL:0471325652
-
すえいし歯科矯正歯科TEL:0471325652 -
すえいし歯科矯正歯科TEL:0471325652 -
すえいし歯科矯正歯科TEL:0471325652
-
すえいし歯科矯正歯科TEL:0471325652
問題を報告する
掲載内容に問題がありますか?
こちらのフォームではココシカ!利用規約に違反している可能性のある情報や、
その他の問題がある内容について直接報告することができます。
この機能は、詐欺、スパム、虚偽、不正確であると思われる情報を報告するためのものです。
報告すべき情報の例
- ・差別的または不快感を与えるもの: 性別、年齢、人種、宗教、身体的特徴などに基づく差別が見られるものはこちらに該当します。過度な出血など過激な表現など不適切な内容が含まれる場合も対象です。
- ・虚偽の情報: 何らかの根拠により虚偽が認められる情報が対象です。
- ・不正確な情報: 治療名やリスク、金額、医院情報などに不正確な内容が含まれるものです。多くの場合、これらの問題はココシカ!の掲載基準違反ではありませんが、情報の更新が求められる場合があります。
- ・広告行為: 本サービスの趣旨に反する投稿です。サービス広告、企業やアプリの宣伝、その他問題があると確認された投稿が該当します。
- ・その他: これらのカテゴリーに当てはまらない問題については、[その他] を選択し詳しい情報をご提供ください。
ココシカ!の情報、技術的な問題、医院ページのレビュー、掲載情報に関する問い合わせ、検索結果などに関する一般的な質問、これらの問題に関するお問い合わせは、サポートチームまでご連絡下さい。
| 診療科目 | 一般歯科、インプラント、矯正歯科、小児歯科、小児矯正、虫歯、歯周病治療、予防歯科、口腔外科、入れ歯、ホワイトニング、訪問診療 |
|---|---|
| 自由診療 | インプラント、矯正歯科、審美補綴、小児歯科、小児矯正、親知らず、口腔外科 |
| 住所 | 〒277-0827 千葉県柏市松葉町2-1-21 |
| アクセス | 北柏駅 徒歩15分 |
| 診療時間 | 9:00~13:00 14:00~18:00 |
| 休診日 | 木曜 祝日 隔週日曜 |
| 代表者 | 末石 哲之 |
※記載の内容は最新の情報と異なる場合がございます。正確な情報は歯科医院にご確認ください。
この歯科医院の他の症例
NEW CONTENT 新着コンテンツ
-
「第22回 一般社団法人 日本外傷歯学会・総会・学術大会」開幕、リハビリにフォーカスして歯の損失リスク軽減を目指す
2022.8.8 一般歯科
-
クラウド型歯科用レセコン「POWER5G」が口腔内シミュレーションサービス「DMFTシミュレーター」と提携
2022.6.28 予防歯科
-
豪発のブランド「ビーボックス」から歯固め発売、乳幼児でも持ちやすい設計に
2022.6.24 小児歯科
-
韓国発ライフスタイルケアブランド「ソルトレイン」日本初上陸、伊勢丹新宿でポップアップも
2022.6.22 その他
-
デントウェーブ運営の歯科衛生士向けコミュニティ「歯科衛生士のcoe」無料オンラインイベント開催
2022.3.2 その他
-
竹素材のオーガニック歯ブラシ、日本発サステナブランド「ミヨオーガニック」展開
2022.2.17 予防歯科
