- インプラント
- 歯科口腔外科
- 抜歯
70代女性 歯根が割れた左下奥歯を抜きインプラントで噛み合わせを回復させた症例
ご相談内容
「噛んだときに左下奥歯が痛むので診てほしい」とご相談いただきました。
カウンセリング・診断結果
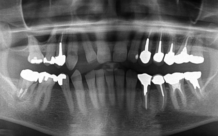
レントゲン撮影を行って詳しく拝見したところ、左下奥歯(第1小臼歯)の歯根が割れていました。
このまま放置すると、周囲の骨や歯茎に細菌感染が広がるリスクがあります。
以上のことから、早急に治療をする必要があると診断しました。
行ったご提案・治療内容
まずは歯の温存を目指し、細菌感染した神経を取り除いてから薬を詰める根管治療を行いました。
しかし、根管治療では痛みが改善しなかったため、抜歯をする必要がありました。
抜歯後の欠損を補う方法として、以下3つの治療を提案しています。
①インプラント治療
顎の骨に人工歯根を埋め、その上に人工歯を装着する方法です。
メリット:ほかの歯に負担をかけずに治療ができる。天然歯に近い噛み心地が期待できる
デメリット:外科的な処置が必要になる。自費診療なので費用負担が大きい
②ブリッジ
両隣の歯を土台として、連結した被せ物を装着する方法です。
メリット:固定式なので、取り外して管理する必要がない。保険診療内で治療できる場合がある
デメリット:土台となる健康な歯を削る必要がある。歯磨きなどの清掃がしにくい
③部分入れ歯
欠損部位に、取り外し式の人工歯を装着する方法です。
メリット:外科処置が必要ない。基本的に保険診療なので、費用を抑えられる
デメリット:噛み心地は、ほか2つの方法と比べて劣る場合がある。長く使用すると、バネを引っ掛ける隣の歯への負担が大きくなる
それぞれのメリットとデメリットを説明したところ、患者様は①のインプラント治療を希望されました。
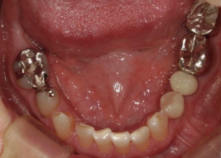
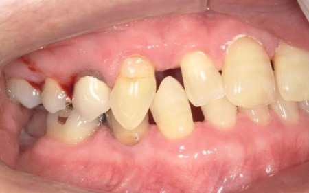
まず、周辺組織に負担をかけないよう配慮しながら、慎重に左下奥歯(第1小臼歯)を抜きます。
抜歯後は骨や歯茎の回復を待ち、口腔内の状態が安定したことを確認して、インプラント埋入手術へ進みました。
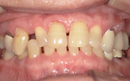
後日、インプラントと骨がしっかりと結合したら、精密な型取りを行い、被せ物を作製します。
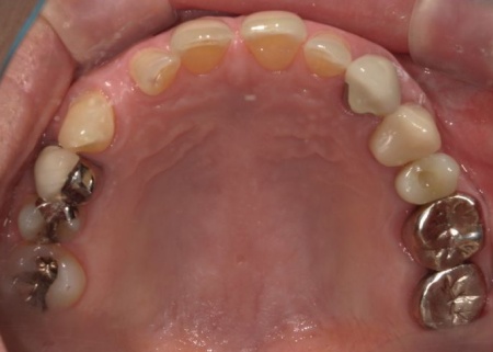
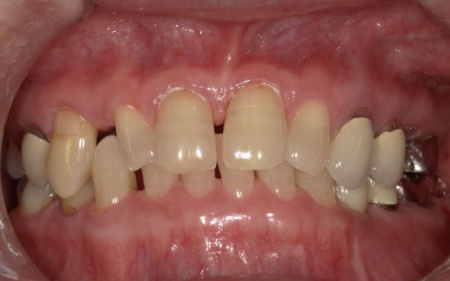
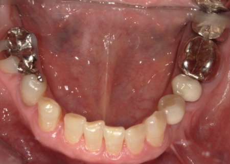
最後に完成した被せ物を装着し、痛みや違和感がないか、見た目や噛み合わせに問題がないかを確認して、治療を終了しました。
この治療のリスクについて
・外科手術のため、術後に痛みや腫れ、違和感を伴います
・メンテナンスを怠ったり、喫煙したりすると、お口の中に大きな悪影響を及ぼし、インプラント周囲炎等にかかる可能性があります
・糖尿病、肝硬変、心臓病などの持病をお持ちの場合、インプラント治療ができない可能性があります
・高血圧、貧血・不整脈などの持病をお持ちの場合、インプラント治療後に治癒不全を招く可能性があります
・自費診療(保険適用外治療)です
- 年齢・性別 70代女性
- 診療種別 自由診療
- 治療期間の目安 約6ヶ月
- 治療回数の目安 -
- 治療費総額の目安 約480,000円
※掲載された情報は治療の効果を保証するものではありません。
ご利用により万一何らかの損害が発生したとしても、当サイトは一切責任を負いかねますのでご了承ください。
画像をクリックすると拡大・詳細コメントを確認いただけます
-
すえいし歯科矯正歯科TEL:0471325652
-
すえいし歯科矯正歯科TEL:0471325652 -
すえいし歯科矯正歯科TEL:0471325652
-
すえいし歯科矯正歯科TEL:0471325652
-
すえいし歯科矯正歯科TEL:0471325652 -
すえいし歯科矯正歯科TEL:0471325652
-
すえいし歯科矯正歯科TEL:0471325652
-
すえいし歯科矯正歯科TEL:0471325652 -
すえいし歯科矯正歯科TEL:0471325652
-
すえいし歯科矯正歯科TEL:0471325652
-
すえいし歯科矯正歯科TEL:0471325652 -
すえいし歯科矯正歯科TEL:0471325652
-
すえいし歯科矯正歯科TEL:0471325652
-
すえいし歯科矯正歯科TEL:0471325652 -
すえいし歯科矯正歯科TEL:0471325652
問題を報告する
掲載内容に問題がありますか?
こちらのフォームではココシカ!利用規約に違反している可能性のある情報や、
その他の問題がある内容について直接報告することができます。
この機能は、詐欺、スパム、虚偽、不正確であると思われる情報を報告するためのものです。
報告すべき情報の例
- ・差別的または不快感を与えるもの: 性別、年齢、人種、宗教、身体的特徴などに基づく差別が見られるものはこちらに該当します。過度な出血など過激な表現など不適切な内容が含まれる場合も対象です。
- ・虚偽の情報: 何らかの根拠により虚偽が認められる情報が対象です。
- ・不正確な情報: 治療名やリスク、金額、医院情報などに不正確な内容が含まれるものです。多くの場合、これらの問題はココシカ!の掲載基準違反ではありませんが、情報の更新が求められる場合があります。
- ・広告行為: 本サービスの趣旨に反する投稿です。サービス広告、企業やアプリの宣伝、その他問題があると確認された投稿が該当します。
- ・その他: これらのカテゴリーに当てはまらない問題については、[その他] を選択し詳しい情報をご提供ください。
ココシカ!の情報、技術的な問題、医院ページのレビュー、掲載情報に関する問い合わせ、検索結果などに関する一般的な質問、これらの問題に関するお問い合わせは、サポートチームまでご連絡下さい。
| 診療科目 | 一般歯科、インプラント、矯正歯科、小児歯科、小児矯正、虫歯、歯周病治療、予防歯科、口腔外科、入れ歯、ホワイトニング、訪問診療 |
|---|---|
| 自由診療 | インプラント、矯正歯科、審美補綴、小児歯科、小児矯正、親知らず、口腔外科 |
| 住所 | 〒277-0827 千葉県柏市松葉町2-1-21 |
| アクセス | 北柏駅 徒歩15分 |
| 診療時間 | 9:00~13:00 14:00~18:00 |
| 休診日 | 木曜 祝日 隔週日曜 |
| 代表者 | 末石 哲之 |
※記載の内容は最新の情報と異なる場合がございます。正確な情報は歯科医院にご確認ください。
この歯科医院の他の症例
NEW CONTENT 新着コンテンツ
-
「第22回 一般社団法人 日本外傷歯学会・総会・学術大会」開幕、リハビリにフォーカスして歯の損失リスク軽減を目指す
2022.8.8 一般歯科
-
クラウド型歯科用レセコン「POWER5G」が口腔内シミュレーションサービス「DMFTシミュレーター」と提携
2022.6.28 予防歯科
-
豪発のブランド「ビーボックス」から歯固め発売、乳幼児でも持ちやすい設計に
2022.6.24 小児歯科
-
韓国発ライフスタイルケアブランド「ソルトレイン」日本初上陸、伊勢丹新宿でポップアップも
2022.6.22 その他
-
デントウェーブ運営の歯科衛生士向けコミュニティ「歯科衛生士のcoe」無料オンラインイベント開催
2022.3.2 その他
-
竹素材のオーガニック歯ブラシ、日本発サステナブランド「ミヨオーガニック」展開
2022.2.17 予防歯科
