- 根管治療
- 詰め物・被せもの
- セラミック・ジルコニア
- インプラント
- 歯科口腔外科
- 抜歯
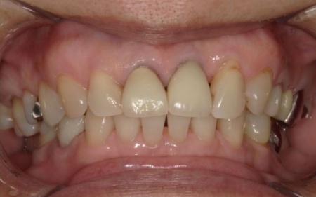
70代女性 歯根が折れた左上奥歯を抜いてインプラント治療で噛み合わせを回復した症例
ご相談内容
「左上奥歯の被せ物が外れてしまった」とご相談いただきました。
カウンセリング・診断結果
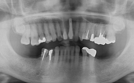
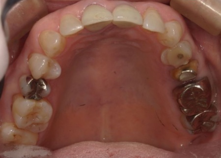
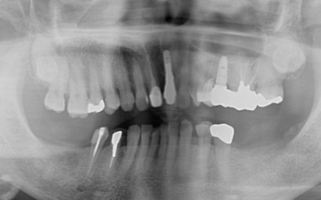
拝見したところ、左上奥歯2本(第1小臼歯、第2小臼歯)の被せ物が外れていたため、レントゲン撮影で詳しく検査をした結果、歯根が折れていることが確認できました。
また、以前歯の神経を除去する根管治療を受けたそうですが、その際に使用された細い器具 (リーマー)の破片が根管内に残っています。
さらに、歯の周囲にある歯周ポケットの深さを測定したところ、口蓋側(上顎の内側)は歯根の先端まで達していました。
これでは、再度根管治療を行っても歯茎の状態が改善する可能性は低いと考えられます。
このまま放置すると周囲の骨や歯茎に炎症が広がるリスクがあるため、早急に適切な治療をする必要があると診断しました。
行ったご提案・治療内容
まず、根管内を消毒する目的で貼薬による治療を行って経過を観察しましたが、症状の改善は認められませんでした。
患者様にはあらかじめ「貼薬で症状が改善しない場合は抜歯をする可能性がある」とお伝えしていたため、抜歯後にインプラント治療を行う提案をし、同意いただきました。
・インプラント治療
顎の骨にチタンの人工歯根を埋入し、その上に人工歯を装着する治療方法です。
メリット:周囲の歯に負担をかけずに歯を補える。天然歯に近い見た目や噛み心地が期待できる
デメリット:治療期間が長くなる。自費診療なのでほかの治療方法に比べて費用がかかる
まずは局所麻酔を行い、左上奥歯(第2小臼歯)を抜きます。
次に、抜歯した穴の状態を慎重に確認しながら、インプラント体を適切な深さと方向に埋入しました。今回は、抜歯と同時にインプラントを埋入する「抜歯即時埋入」を実施しています。
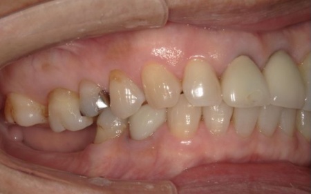
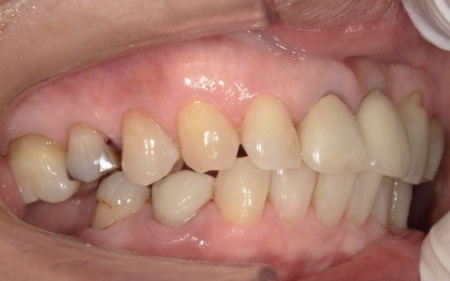
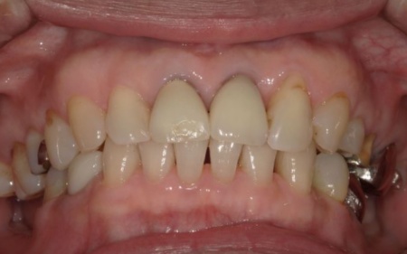
インプラントが顎の骨と結合したあと、人工歯を装着します。
また、手前の歯にも新しい被せ物を装着しました。
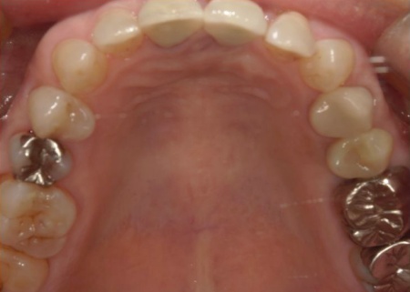
最後に、見た目や噛み合わせに問題がないことを確認し、治療を終了しています。
この治療のリスクについて
・外科手術のため、術後に痛みや腫れ、違和感を伴います
・外科処置後に痛みが長引く場合があります。必要に応じ痛み止めを併用します
・メンテナンスを怠ったり、喫煙したりすると、お口の中に大きな悪影響を及ぼし、インプラント周囲炎等にかかる可能性があります
・糖尿病、肝硬変、心臓病などの持病をお持ちの場合、インプラント治療ができない可能性があります
・高血圧、貧血・不整脈などの持病をお持ちの場合、インプラント治療後に治癒不全を招く可能性があります
・自費診療(保険適用外治療)です
- 年齢・性別 70代女性
- 診療種別 自由診療
- 治療期間の目安 約8ヶ月
- 治療回数の目安 -
- 治療費総額の目安 約350,000円
※掲載された情報は治療の効果を保証するものではありません。
ご利用により万一何らかの損害が発生したとしても、当サイトは一切責任を負いかねますのでご了承ください。
画像をクリックすると拡大・詳細コメントを確認いただけます
-
すえいし歯科矯正歯科TEL:0471325652
-
すえいし歯科矯正歯科TEL:0471325652 -
すえいし歯科矯正歯科TEL:0471325652
-
すえいし歯科矯正歯科TEL:0471325652
-
すえいし歯科矯正歯科TEL:0471325652 -
すえいし歯科矯正歯科TEL:0471325652
-
すえいし歯科矯正歯科TEL:0471325652
-
すえいし歯科矯正歯科TEL:0471325652 -
すえいし歯科矯正歯科TEL:0471325652
-
すえいし歯科矯正歯科TEL:0471325652
-
すえいし歯科矯正歯科TEL:0471325652 -
すえいし歯科矯正歯科TEL:0471325652
-
すえいし歯科矯正歯科TEL:0471325652
-
すえいし歯科矯正歯科TEL:0471325652 -
すえいし歯科矯正歯科TEL:0471325652
問題を報告する
掲載内容に問題がありますか?
こちらのフォームではココシカ!利用規約に違反している可能性のある情報や、
その他の問題がある内容について直接報告することができます。
この機能は、詐欺、スパム、虚偽、不正確であると思われる情報を報告するためのものです。
報告すべき情報の例
- ・差別的または不快感を与えるもの: 性別、年齢、人種、宗教、身体的特徴などに基づく差別が見られるものはこちらに該当します。過度な出血など過激な表現など不適切な内容が含まれる場合も対象です。
- ・虚偽の情報: 何らかの根拠により虚偽が認められる情報が対象です。
- ・不正確な情報: 治療名やリスク、金額、医院情報などに不正確な内容が含まれるものです。多くの場合、これらの問題はココシカ!の掲載基準違反ではありませんが、情報の更新が求められる場合があります。
- ・広告行為: 本サービスの趣旨に反する投稿です。サービス広告、企業やアプリの宣伝、その他問題があると確認された投稿が該当します。
- ・その他: これらのカテゴリーに当てはまらない問題については、[その他] を選択し詳しい情報をご提供ください。
ココシカ!の情報、技術的な問題、医院ページのレビュー、掲載情報に関する問い合わせ、検索結果などに関する一般的な質問、これらの問題に関するお問い合わせは、サポートチームまでご連絡下さい。
| 診療科目 | 一般歯科、インプラント、矯正歯科、小児歯科、小児矯正、虫歯、歯周病治療、予防歯科、口腔外科、入れ歯、ホワイトニング、訪問診療 |
|---|---|
| 自由診療 | インプラント、矯正歯科、審美補綴、小児歯科、小児矯正、親知らず、口腔外科 |
| 住所 | 〒277-0827 千葉県柏市松葉町2-1-21 |
| アクセス | 北柏駅 徒歩15分 |
| 診療時間 | 9:00~13:00 14:00~18:00 |
| 休診日 | 木曜 祝日 隔週日曜 |
| 代表者 | 末石 哲之 |
※記載の内容は最新の情報と異なる場合がございます。正確な情報は歯科医院にご確認ください。
この歯科医院の他の症例
NEW CONTENT 新着コンテンツ
-
「第22回 一般社団法人 日本外傷歯学会・総会・学術大会」開幕、リハビリにフォーカスして歯の損失リスク軽減を目指す
2022.8.8 一般歯科
-
クラウド型歯科用レセコン「POWER5G」が口腔内シミュレーションサービス「DMFTシミュレーター」と提携
2022.6.28 予防歯科
-
豪発のブランド「ビーボックス」から歯固め発売、乳幼児でも持ちやすい設計に
2022.6.24 小児歯科
-
韓国発ライフスタイルケアブランド「ソルトレイン」日本初上陸、伊勢丹新宿でポップアップも
2022.6.22 その他
-
デントウェーブ運営の歯科衛生士向けコミュニティ「歯科衛生士のcoe」無料オンラインイベント開催
2022.3.2 その他
-
竹素材のオーガニック歯ブラシ、日本発サステナブランド「ミヨオーガニック」展開
2022.2.17 予防歯科
