- 骨再生
- 詰め物・被せもの
- セラミック・ジルコニア
- インプラント
- 歯科口腔外科
- 抜歯
- 親知らず
50代女性 温存が難しい奥歯を抜いてインプラントで噛み合わせを回復した症例
ご相談内容
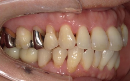
「他院で左上の親知らずを抜いたが、かなり腫れ、隣接する歯もグラグラするようになった。他院の説明では納得ができなかったため、セカンドオピニオンとしてこちらを受診した」とご相談いただきました。
カウンセリング・診断結果
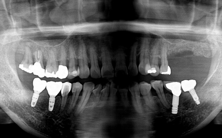
拝見したところ、左上の抜歯部周辺は歯を支える骨が溶ける「骨吸収」が進行し、隣接している歯を含めた複数の歯がひどくグラグラしており、温存が困難です。
噛み合わせも安定していなかったため、このままでは残っている歯への負担が増加し、歯の揺れやさらなる噛み合わせの悪化につながるリスクがあります。
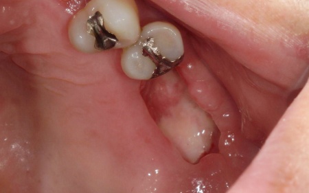
また、右下奥歯には、両隣の歯を土台にして橋を渡すように欠損部を補う被せ物「ブリッジ」が装着されていました。
右下奥歯は2本欠損しており、親知らず(第3大臼歯)と手前の奥歯(第2小臼歯)の2本でブリッジを支えていますが、これは親知らずに過度な負荷がかかる構造です。
親知らずはすでに大きく傾いており、こちらも温存が難しいため、ブリッジを除去してから親知らずを抜く必要があります。
以上のことから、ブリッジの除去と併せて、温存が難しい左上奥歯2本と右下の親知らず1本を抜き、欠損部位を補う治療を検討する必要があると診断しました。
行ったご提案・治療内容
骨吸収の影響で温存が難しい左上奥歯(第1大臼歯、第2大臼歯)と、大きく傾いてしまっている右下の親知らず(第3大臼歯)の3本は抜く必要があることをお伝えしました。
そのうえで、欠損部を補う方法としてインプラント治療を提案し、同意いただきました。
・インプラント治療
顎の骨に人工歯根を埋入し、その上に人工歯を装着する方法です。
メリット:周囲の歯に負担をかけずに欠損部を補える。長期的に安定した噛み心地が期待できる
デメリット:外科処置が必要なので、治療期間が比較的長くなる。骨の状態によっては、追加の前処置が必要になる場合がある
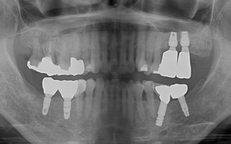
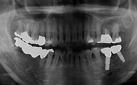
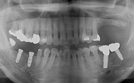
左上については、顎の骨が大きく失われているため、骨を再生させる処置「GBR(骨再生誘導法)」を実施してインプラントを支えるために必要な骨量を確保したうえで、インプラントを埋入する計画を立てました。
まずは左上奥歯2本を抜き、骨が足りない部分に骨補填剤を入れ骨の再生を促します。
経過観察後、十分な骨量を確保できたことを確認し、インプラントを埋入しました。
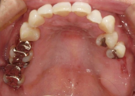
次に、右下に装着されているブリッジを除去してから右下の親知らずを抜き、欠損部(第1大臼歯、第2大臼歯の部分)にインプラントを埋入しました。
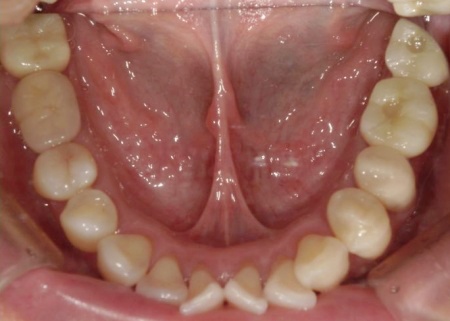
また、右下の手前にある奥歯2本(第1小臼歯、第2小臼歯)は、新しく詰め物を作製して噛み合わせと見た目を整えています。
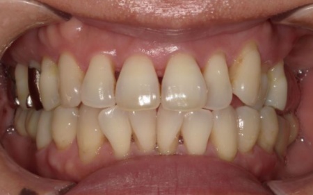
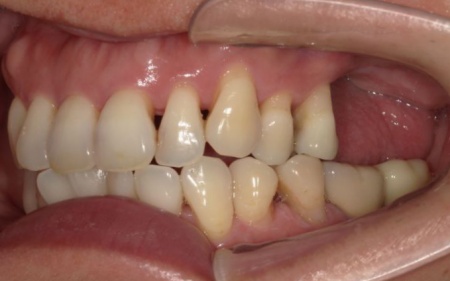
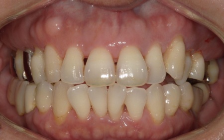
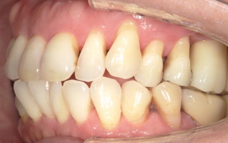
続いて、インプラントに装着する人工歯を作製します。
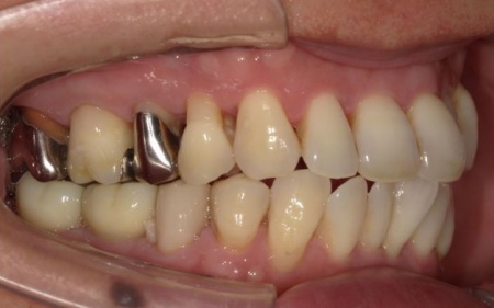
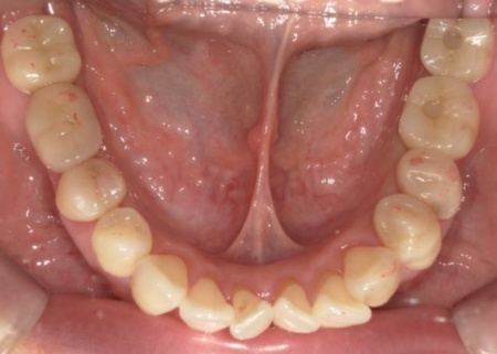
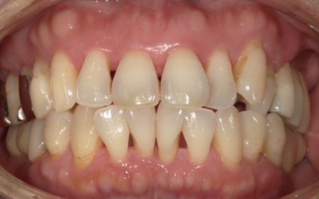
最後に、完成した人工歯をインプラントに取り付け、噛み合わせや見た目に問題がないことを確認し、治療を終了しました。
この治療のリスクについて
・外科手術のため、術後に痛みや腫れ、違和感を伴います
・メンテナンスを怠ったり、喫煙したりすると、お口の中に大きな悪影響を及ぼし、インプラント周囲炎などにかかる可能性があります
・糖尿病、肝硬変、心臓病などの持病をお持ちの場合、インプラント治療ができない可能性があります
・高血圧、貧血・不整脈などの持病をお持ちの場合、インプラント治療後に治癒不全を招く可能性があります
・噛み合わせや歯ぎしりが強い場合、セラミックが割れる可能性があります
・自費診療(保険適用外治療)です
- 年齢・性別 50代女性
- 診療種別 自由診療
- 治療期間の目安 約2年
- 治療回数の目安 -
- 治療費総額の目安 約1,450,000円
※掲載された情報は治療の効果を保証するものではありません。
ご利用により万一何らかの損害が発生したとしても、当サイトは一切責任を負いかねますのでご了承ください。
画像をクリックすると拡大・詳細コメントを確認いただけます
-
すえいし歯科矯正歯科TEL:0471325652
-
すえいし歯科矯正歯科TEL:0471325652
-
すえいし歯科矯正歯科TEL:0471325652
-
すえいし歯科矯正歯科TEL:0471325652
-
すえいし歯科矯正歯科TEL:0471325652
-
すえいし歯科矯正歯科TEL:0471325652
-
すえいし歯科矯正歯科TEL:0471325652
-
すえいし歯科矯正歯科TEL:0471325652
-
すえいし歯科矯正歯科TEL:0471325652
-
すえいし歯科矯正歯科TEL:0471325652
-
すえいし歯科矯正歯科TEL:0471325652
-
すえいし歯科矯正歯科TEL:0471325652
-
すえいし歯科矯正歯科TEL:0471325652 -
すえいし歯科矯正歯科TEL:0471325652
-
すえいし歯科矯正歯科TEL:0471325652
-
すえいし歯科矯正歯科TEL:0471325652 -
すえいし歯科矯正歯科TEL:0471325652
-
すえいし歯科矯正歯科TEL:0471325652
-
すえいし歯科矯正歯科TEL:0471325652 -
すえいし歯科矯正歯科TEL:0471325652
-
すえいし歯科矯正歯科TEL:0471325652 -
すえいし歯科矯正歯科TEL:0471325652 -
すえいし歯科矯正歯科TEL:0471325652
-
すえいし歯科矯正歯科TEL:0471325652 -
すえいし歯科矯正歯科TEL:0471325652 -
すえいし歯科矯正歯科TEL:0471325652
-
すえいし歯科矯正歯科TEL:0471325652 -
すえいし歯科矯正歯科TEL:0471325652 -
すえいし歯科矯正歯科TEL:0471325652
-
すえいし歯科矯正歯科TEL:0471325652 -
すえいし歯科矯正歯科TEL:0471325652 -
すえいし歯科矯正歯科TEL:0471325652
-
すえいし歯科矯正歯科TEL:0471325652 -
すえいし歯科矯正歯科TEL:0471325652 -
すえいし歯科矯正歯科TEL:0471325652
-
すえいし歯科矯正歯科TEL:0471325652 -
すえいし歯科矯正歯科TEL:0471325652 -
すえいし歯科矯正歯科TEL:0471325652
-
すえいし歯科矯正歯科TEL:0471325652
問題を報告する
掲載内容に問題がありますか?
こちらのフォームではココシカ!利用規約に違反している可能性のある情報や、
その他の問題がある内容について直接報告することができます。
この機能は、詐欺、スパム、虚偽、不正確であると思われる情報を報告するためのものです。
報告すべき情報の例
- ・差別的または不快感を与えるもの: 性別、年齢、人種、宗教、身体的特徴などに基づく差別が見られるものはこちらに該当します。過度な出血など過激な表現など不適切な内容が含まれる場合も対象です。
- ・虚偽の情報: 何らかの根拠により虚偽が認められる情報が対象です。
- ・不正確な情報: 治療名やリスク、金額、医院情報などに不正確な内容が含まれるものです。多くの場合、これらの問題はココシカ!の掲載基準違反ではありませんが、情報の更新が求められる場合があります。
- ・広告行為: 本サービスの趣旨に反する投稿です。サービス広告、企業やアプリの宣伝、その他問題があると確認された投稿が該当します。
- ・その他: これらのカテゴリーに当てはまらない問題については、[その他] を選択し詳しい情報をご提供ください。
ココシカ!の情報、技術的な問題、医院ページのレビュー、掲載情報に関する問い合わせ、検索結果などに関する一般的な質問、これらの問題に関するお問い合わせは、サポートチームまでご連絡下さい。
| 診療科目 | 一般歯科、インプラント、矯正歯科、小児歯科、小児矯正、虫歯、歯周病治療、予防歯科、口腔外科、入れ歯、ホワイトニング、訪問診療 |
|---|---|
| 自由診療 | インプラント、矯正歯科、審美補綴、小児歯科、小児矯正、親知らず、口腔外科 |
| 住所 | 〒277-0827 千葉県柏市松葉町2-1-21 |
| アクセス | 北柏駅 徒歩15分 |
| 診療時間 | 9:00~13:00 14:00~18:00 |
| 休診日 | 木曜 祝日 隔週日曜 |
| 代表者 | 末石 哲之 |
※記載の内容は最新の情報と異なる場合がございます。正確な情報は歯科医院にご確認ください。
この歯科医院の他の症例
NEW CONTENT 新着コンテンツ
-
「第22回 一般社団法人 日本外傷歯学会・総会・学術大会」開幕、リハビリにフォーカスして歯の損失リスク軽減を目指す
2022.8.8 一般歯科
-
クラウド型歯科用レセコン「POWER5G」が口腔内シミュレーションサービス「DMFTシミュレーター」と提携
2022.6.28 予防歯科
-
豪発のブランド「ビーボックス」から歯固め発売、乳幼児でも持ちやすい設計に
2022.6.24 小児歯科
-
韓国発ライフスタイルケアブランド「ソルトレイン」日本初上陸、伊勢丹新宿でポップアップも
2022.6.22 その他
-
デントウェーブ運営の歯科衛生士向けコミュニティ「歯科衛生士のcoe」無料オンラインイベント開催
2022.3.2 その他
-
竹素材のオーガニック歯ブラシ、日本発サステナブランド「ミヨオーガニック」展開
2022.2.17 予防歯科
